21.1 Flashcards

(141 cards)

1
Q

21.1 The optimal position, under ultrasound guidance, to place a catheter tip to provide continuous erector
spinae plane block for post-thoracotomy analgesia is

a. Between the fascial plane of erector spinae and rhomboids
b. Posterior to both erector spinae and spinous process
c. Anterior to erector spinae and posterior to transverse process 5th rib
d. Superficial to the infraspinatus fossa
e .Superficial to the lamina

A

c. Anterior to erector spinae and posterior to transverse process 5th rib

Place anterior to transverse process and posterior to erector spine

Midpoint between T5-6
(Usual Incision T4-5, ICC T6)

Source - Blue book 2019

How well did you know this?
1
Not at all
2
3
4
5
Perfectly
2
Q

21.1 A structure that is NOT clamped during a Pringle manoeuvre is the

a. Hepatic artery
b. hepatic vein
c. Portal vein
d. Bile duct
e. Hepato-duodenal ligament

A

b. hepatic vein

Pringle Manoeuvre = clamping hepatoduodenal ligament (clamps hepatic artery, portal vein, CBD)

How well did you know this?
1
Not at all
2
3
4
5
Perfectly
3
Q

21.1 The muscle or muscle group with the greatest sensitivity to the action of non-depolarising neuromuscular blocking agents is/are the

a. Abdominal muscles
b. Adductor pollicis
c. Pharyngeal muscles
d. Diaphragm

A

b. Adductor pollicis

see combined deck/millers

How well did you know this?
1
Not at all
2
3
4
5
Perfectly
4
Q

21.1 The most common cause of mortality in children with diabetic ketoacidosis is

a. Cerebral oedema
b. Septic shock
c. Central pontine myelinolysis

A

a. Cerebral oedema

Cerebral Oedema

Source: UpToDate

How well did you know this?
1
Not at all
2
3
4
5
Perfectly
5
Q

21.1 The intubating dose of atracurium in a patient with post-polio syndrome should be

a. 10 %
b. 20
c. 50
d. 100
e. 200

A

0.25mg/kg (Half)

Source: PolioSA

How well did you know this?
1
Not at all
2
3
4
5
Perfectly
6
Q

21.1 In the morbidly obese the induction dose of propofol should be calculated based on

a. Lean body weight
b. Total body weight
c. Ideal body weight
d. Ideal body weight + 70%

A

Lean Body Weight

For infusion: Adjusted body weight
NDMB: Lean Body weight
Sux: Total body weight

Source: SOBA UK

How well did you know this?
1
Not at all
2
3
4
5
Perfectly
7
Q

21.1 All of the following conditions are associated with acromegaly EXCEPT

a. Myocardial fibrosis
b. biventricular enlargement
c. Arrhythmia
d. Left ventricular enlargement
e. AAA

A

e. AAA

Osteoarthritis
nerve compression syndrome due to bony overgrowth, and carpal tunnel syndrome
Hypertension
Diabetes mellitus
Cardiomyopathy/HF
Colorectal cancer
Sleep Apnea
Thyroid nodules and thyroid cancer
Hypogonadism
Compression of the optic chiasm

Source: BJA

How well did you know this?
1
Not at all
2
3
4
5
Perfectly
8
Q

21.1 The composition of blood returned to the patient from intraoperative cell salvage shows

A. No evidence of haemolysis
B. Normal 2,3 DPG
C. Nil evidence of bone cement or some embolism type
D. Normal levels of coagulation factors

A

B. Normal 2,3 DPG

higher Hct-60%
No immunimodulation
require reinfusion within 6hrs
pause with sement, caution metal fragments

How well did you know this?
1
Not at all
2
3
4
5
Perfectly
9
Q

21.1 When performing a brachial plexus block at the level of the axilla, the structure indicated by the arrow
is the (ultrasound image shown)

a. Musculocutaneous nerve
b. Median
c. Radial
d. Ulnar

A

Ultrasound view of right axillary brachial plexus AA = axillary artery AV = axillary vein McN = musculocutaneous nerve RN = radial nerve UN = ulnar nerve MN = median nerve CoBM = coracobrachialis muscle CT = conjoint tendon

How well did you know this?
1
Not at all
2
3
4
5
Perfectly
10
Q

21.1 Severe obstructive sleep apnoea in a 6-year-old child is confirmed if during polysomnography the
apnoea/hypopnea index (AHI) is greater than or equal to

A >5
B >10
C >15
D >20
E >30

A

> 10

How well did you know this?
1
Not at all
2
3
4
5
Perfectly
11
Q

21.1 Predictors of successful awake extubation after volatile anaesthesia in infants include

a. 2mL/kg tidal volume,
b. grimacing
c. coughing
d. RR > 20

A

b. grimacing

conjugate gaze
facial grimace
eye opening
purposeful movement
tidal volume greater than 5 ml/kg
suitable for age upto 7

Source: SPANZA 2019 article

How well did you know this?
1
Not at all
2
3
4
5
Perfectly
12
Q

21.1 Major international guidelines recommend maintaining the core body temperature between 32°C and
36°C in comatose patients after

A. SAH
B. Stroke
C. Cardiac Arrest

A

Cardiac Arrest

Source: LITFL

How well did you know this?
1
Not at all
2
3
4
5
Perfectly
13
Q

21.1 A man presents with a fractured tibia. He has increasing pain in his leg, loss of sensation on the plantar surface of his foot and weakness of toe flexion. This is most consistent with a compartment syndrome of the leg in the

A. Anterior
B. Lateral
C. Superficial Posterior
D. Deep posterior

A

Deep Posterior Compartment

Source: UpToDate

How well did you know this?
1
Not at all
2
3
4
5
Perfectly
14
Q

21.1 The coagulopathy that can result from intrahepatic cholestasis of pregnancy is due to

a. Platelet dysfunction
b. All clotting factors made by the liver
c. Thrombocytopenia
d. 2/7/9/10
e. Fibrinolysis

A

d. 2/7/9/10

Hypovitaminosis of Vitamin K

(Bile required for absorption)

Source: BMC Article
https://bmcpregnancychildbirth.biomedcentral.com/articles/10.1186/s12884-022-04875-w

How well did you know this?
1
Not at all
2
3
4
5
Perfectly
15
Q

21.1 The best patient position to evaluate the gastric contents with ultrasound is

a. Right lateral
b. Trendelburg
c. Supine
d. Left lateral
e. Reverse trendelenberg

A

Right lateral Decubitus

BJA: ultrasound

How well did you know this?
1
Not at all
2
3
4
5
Perfectly
16
Q

21.1 A 50-year-old man is seen prior to his hip revision surgery. His blood results are (FBE and Iron
Studies shown). The most likely diagnosis is

Hb 110 (130-170 normal range)
Ferritin 31 (30-100 range)
Transferrin saturation 21% (normal 20-80)
CRP 10 (0.1-10 normal)

A

Anaemia of chronic inflamation with iron deficiciency

How well did you know this?
1
Not at all
2
3
4
5
Perfectly
17
Q

21.1 Of the following, allergy based on cross reaction to penicillin sensitivity is most likely with

A) Cephazolin
B) ceftriaxone
C) cefapime
D) cefaclor
E) cefoxatin

A

D) Cefaclor

  1. Cephalexin? More so than Cephazolin (no B-lactam)
  2. Cefaclor
  3. cefapime

Source: UpToDate

How well did you know this?
1
Not at all
2
3
4
5
Perfectly
18
Q

21.1 In maternal cardiac arrest the most common arrhythmia is

a) PEA
b) VT
c) VF
d) Asystole
e) SVT

A

a) PEA

I couldn’t find a great article on this anywhere. BJAED hasn’t got much either

How well did you know this?
1
Not at all
2
3
4
5
Perfectly
19
Q

21.1 You are performing a regional block for analgesia following knee surgery. You have an ultrasound
probe scanning the anterior mid-thigh. The muscle indicated by the arrow in the ultrasound image
below is the

A
How well did you know this?
1
Not at all
2
3
4
5
Perfectly
20
Q

21.1 The recommended antibiotic prophylaxis for insertion of an intrauterine device is

a. cephalexin PO
b. cefazolin IV
c. doxycycline PO
d. none

A

d. none

Increase in presence of mycobacterium vaginosis, doxycylcine will kill commensal bacteria

Doxycycline is used for copper IUD in the setting of emergency insertion with PID

How well did you know this?
1
Not at all
2
3
4
5
Perfectly
21
Q

21.1 The independent predictors for severe bone cement implantation syndrome (BCIS) in cemented
hemiarthroplasty for hip fracture do NOT include

a. Male
b. GA
c. severe cardiopulmonary disease
d. Diuretic use
e. Age

A

b. GA

Independent predictors for severe BCIS were:
ASA grade III—IV
chronic obstructive pulmonary disease
medication with diuretics or warfarin

Source: BJA 2014 Article
https://academic.oup.com/bja/article/113/5/800/2920080

How well did you know this?
1
Not at all
2
3
4
5
Perfectly
22
Q

21.1 The 12 lead ECG shown is most consistent with acute total occlusion of the
ECG with ST depression V1-V5, perhaps 1mm ste in lead 3.

A. Posterior descending
B. RCA
C. LAD
D. OM

A

LAD

How well did you know this?
1
Not at all
2
3
4
5
Perfectly
23
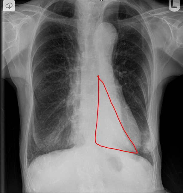
Q
  1. A 45 Year old man has poor oxygenation in the post anaesthesia care unit after a low anterior resection. His chest xray is below. The most likely diagnosis is

a. LLL collapse
b. Pneumothorax
c. L pleural effusion

A

The lungs are hyperinflated with relatively flat diaphragms - a sign of pulmonary emphysema. There is a dense triangular opacity overlying the cardiac shadow with increased lucency of the left upper zone relative to the right upper zone. This is the “sail sign” of left lower lobe collapse with subsequent left upper lobe hyper-expansion.

How well did you know this?
1
Not at all
2
3
4
5
Perfectly
24
Q

According to National Audit Project (NAP) 5, the incidence of awareness during general anaesthesia using a non relaxant technique with a volatile agent is
a. 1:700
b. 1:8000
c. 1:10000
d. 1:19000
e. 1:136,000

A

e. 1:136,000

1/670 E-LSCS
1/8000 with muscle relaxation
1/8600 CTS
Overall 1:19000

How well did you know this?
1
Not at all
2
3
4
5
Perfectly
25
21.1 The drug which has the LEAST impact on somatosensory evoked potentials (SSEPs) monitored in a 15-year-old patient undergoing scoliosis surgery is A) propofol B) fentanyl C) desflurane D) Midazolam E) sevoflurane
B) fentanyl Drugs which have the least impact on SSEPs 1. Ketamine 2. Opioids 3. Dexmedetomidine Article in Anaesthesiology https://pubs.asahq.org/anesthesiology/article/99/3/716/40407/Pharmacologic-and-Physiologic-Influences-Affecting
26
21.1 Toxicity of methylene blue is likely to be seen after single bolus dose (in mg/kg) greater than a. 1mg/kg b. 2mg/kg c. 5mg/kg d. 0.5mg/kg e. 0.1mg/kg
c. 5mg/kg Methylene blue due to its monoamine oxidase(MAO) inhibiting property may precipitate potentially fatal serotonin toxicity at doses >5mg/kg.
27
21.1 A woman is having a potentially curative primary breast cancer resection. Compared with a sevoflurane and opioid technique, using a regional anaesthesia-analgesia technique with paravertebral block and a propofol infusion will result in a. Decreased cancer recurrence b. Decreased chronic pain and recurrence c. Decreased incision pain at 6 months d. Decreased neuropathic pain at 6 months e. Decreased neuropathic pain at 12 months
e. Decreased neuropathic pain at 12 months ANZCA pain book
28
21.1 A normal 75 kg term parturient may be expected to have a total blood volume of a. 5250 b. 6000 c. 6750 d. 7500
d. 7500 7.5L (Average increase around 48%) BJAed
29
21.1 A patient undergoing robotic prostatectomy with controlled mandatory volume ventilation has the following measurements: plateau pressure 32 cmH2O, PEEP 8 cmH2O, autoPEEP 4 cmH2O, peak pressure 38 cmH2O, tidal volume 600mL The static compliance is 20 ml/cmH20 23 ml/cmH2O 25 ml/cmH20 30 ml/cm H20
25ml/cm H2O 600/32-8 = 25 The answer is 30ml/cmH20 because total PEEP is 8+4=12 Static lung compliance (Cstat), mL/cm H2O = TV / (Plateau pressure (Pplat) – PEEP)
30
21.1 A 30-year-old professional athlete who underwent a knee arthroscopy under general anaesthesia becomes tachycardic in the recovery room. His non-invasive systolic blood pressure is 90 mmHg. A 12-lead ECG is obtained. The most appropriate therapy is a. Adenosine 6mg (or 60mg remembered by other cohort) b. valsalva c. 50J d. 200J
b. valsalva Fluid and magnesium - fixes all. But could also be conscious VT or something stupid....
31
21.1 A patient requiring an elective joint replacement has had a recent stroke. The minimum time to wait after the stroke before proceeding with surgery is a. 3 b. 6 c. 9 d. 12 months
c. 9 AHA guidelines 12 Months But 12 weeks minimum
32
21.1 The direct physiological effects of electroconvulsive therapy include a) reduced contractility b) initial htn c) initial bradycardia d) initial tachycardia e) reduced ICP
c) initial bradycardia ANS Stimulation (PNS first, then SNS) - Bradycardic/Tachycardic - Hypertensive Neuro - Increased CMR/CBF/ICP - Increased IOP Increased Gastric pressure
33
21.1 A man is brought into hospital after a motor vehicle accident 45 minutes ago. His chest x-ray is shown. This is most consistent with a left-sided
?? XR Reviews
34
21.1 A common electrolyte disturbance following the administration of ferric carboxymaltose is a. hypophosphatemia b. hypocalicaemia c. hypokalaemia d. hypercalicaemia e. hypernatraemia
Hypophosphataemia
35
21.1 Globe perforation during eye block is more common in myopic eyes because
Best answer? Staphylopias? But also reduced space between globe and orbit
36
21.1 A five-year-old child weighing 25 kg is to be strictly nil by mouth overnight following a laparotomy. The most appropriate fluid prescription is a. 65ml/hr N Saline b. 45ml/hr N saline w 5% dex c. 45ml/hr N Saline w 2.5% dex d. 65ml/hr .45% saline w 2.5% dex e. 65ml/hr .45% saline w 5% dex
b. 45ml/hr N saline w 5% dextrose A guide to paediatric anaesthesia fluid management -421 rule overestimates fluid resus -due to stress response from ADH release -post-op fluid maintenace is 2/3rds calculated -never use hypotonic solution -unlikely to need glucose as not a neonate
37
21.1 A four-year-old boy with a history of waddling gait, larger than normal calves and frequent falls receives a spontaneously breathing volatile-based anaesthetic with sevoflurane. One hour into the case he develops peaked T waves and then the end-tidal CO2 begins to rise. The most appropriate immediate treatment is to a. Temp probe, and go from there b. Cool + dantrolene c. Stop volatile, cool + dantrolene d. Stop volatile, calcium e. Stop volatile
d. Stop volatile, calcium ?Duchenne muscular dystrophy? Immediate MH Management: Stop administering Sevo, flush machine (or new), charcoal filters. Dantrolene.
38
21.1 The substance that should be avoided in a patient with history of anaphylaxis to MMR vaccine is a. Protamine b. Gelofusine c. Sulphonamides d. Penicilins
b. Gelofusin Gelatin
39
21.1 A patient with a history of hereditary angiooedema requires an appendectomy for acute appendicitis. The most effective therapy for the prevention of an acute attack in the perioperative period is a) FFP b) Icatibant c) Hydrocortisone d) Danazole e) cetirizine
b) Icatibant https://www.allergy.org.au/hp/papers/hereditary-angioedema
40
21.1 Sensory innervation of the cornea is by the A. ophthalmic division of the Trigeminal nerve B. Nasocilliary Nerve C. Frontal Nerve D. Oculomotor
B. Nasocilliary Nerve a branch of Ophthalmic division of trigeminal
41
21.1 Local anaesthetic-induced myotoxicity is most likely to be associated with A. Biers B. Interscalene C. Sciatic D. Adductor Canal
D. Adductor Canal unclear phenomonenon prolonged exposure and high concentrations of local anaesthetic
42
21.1 The minimum microshock current required to elicit ventricular fibrillation is A) 0.1 mA B) 1 mA C) 10 mA D) 100 mA
0.05-0.1mA Source: LITFL
43
21.1 You give a dose of intravenous indocyanine green to facilitate videoangiography during cerebral aneurysm surgery. The displayed pulse oximetry (SpO2) and cerebral oxygen tissue saturation (SctO2) changes you expect to see are a. Increases NIRS , decreases peripheral b. Decreases NIRS, decreases peripheral c. No change NIRS, decreases peripheral d. Increases NIRS and peripheral e. Decreases NIRS, increases peripheral
a. Increases NIRS , decreases peripheral SctO2 up, SpO2 down. Source: Korean Journal Anaesthesia https://www.researchgate.net/publication/274570990_Effects_of_intravenously_administered_indocyanine_green_on_near-infrared_cerebral_oximetry_and_pulse_oximetry_readings
44
21.1 Non-anaesthetist practitioners wishing to provide procedural sedation should have training in sedation and/or anaesthesia for a minimum of 6 weeks 3 months 6 months 12 months
3 months full time Source: ANZCA PG 09
45
21.1 Of the following classes of medication for diabetes mellitus, the most likely to cause hypoglycaemia in the fasted patient are the A. Biguanides B. Sulphonylureas C. Acarbose D. SGLT2 inhibitors E. DPP4 inhibitors
Absolute most = Insulin, but probably not an option. Sulphonylureas most likely
46
21.1 A 25-year-old ASA I patient develops ongoing seizures five minutes after receiving a brachial plexus block with ropivacaine. Of the following, the most suitable initial intravenous treatment is a) Midazolam b) Intralipid c) Propofol d) Levetiracetam e) Phenytoin
Control seizures first a) Midazolam if an option or c) propofol or treat seizures 1st followedLAST - ABCD - Intralipid 1.5mL/kg
47
21.1 A 50 year old man has the following pulmonary function test result. The most consistent diagnosis is FEV1 - test result - predicted - % predicted 68% FVC - test result - predicted - % predicted 68% DLCO 46% a) Asthma b) Myasthenia Gravis c) Emphysema d) Sarcoidosis e) Pulmonary Hypertension
d) Sarcoidosis Time to loof at PFTs
48
21.1 The nerve labelled with the arrow in the diagram is the (diagram of a nerve plexus shown)
49
21.1 You have been asked to anaesthetise a patient with a history of severe depression which has been well controlled on moclobemide. The most appropriate medications in combination with propofol are a. Sevoflurane, morphine, phenylephrine b. Sevoflurane, pethidine, phenylephrine c. Midazolam, fentanyl, ephedrine d. sevoflurane, oxycodone, ephedrine
a. Sevoflurane, morphine, phenylephrine Moclobemide = MAOi
50
21.1 Infection control management of patients with carbapenemase-producing Enterobacteriaceae (CPE) infection should include all of the following EXCEPT a) isolation b) contact precautions c) droplet precautions d) screening at risk patients with rectal swab and urine mcs
c) droplet precautions https://www.safetyandquality.gov.au/sites/default/files/migrated/Recommendations-for-the-control-of-Carbapenemase-producing-Enterobacteriaceae.pdf
51
21.1 Blocking the sciatic nerve results in loss of function of all of the following EXCEPT
The sciatic nerve block results in anesthesia of the posterior aspect of the knee, hamstring muscles, and entire lower limb below the knee, both motor and sensory block, with the exception of skin on the medial leg and foot (supplied by the saphenous nerve). The skin of the posterior aspect of the thigh is supplied by the posterior femorocutaneous nerve, which deviates away from in the sciatic nerve proximal to the level of the anterior approach, and is therefore not blocked. NYSORA
52
21.1 21.2 Benztropine ameliorates the side effects of drugs that antagonize a) Dopamine receptor b) Nicotinic Ach receptor c) Muscarinic Ach receptor d) Serotonin e) Noradrenaline
a) Dopamine receptor MOA: central acting anticholinergic
53
21.1 You are anaesthetising a 35-year-old woman undergoing a laparoscopic appendectomy. She uses a levonorgestrel-releasing intrauterine device (Mirena®) for contraception and you have used sugammadex for reversal of neuromuscular blockade at the end of the procedure. Your postoperative advice to her regarding contraception should state that a. Barrier protection for a week b. Barrier protection until the next period. c. The mirena is sufficient d. OCP for a week e. OCP until next period
a. Barrier protection for a week
54
21.1 You are resuscitating a 60 kg man in cardiac arrest secondary to severe hyperkalaemia. You decide to give intravenous sodium bicarbonate. Australian and New Zealand resuscitation guidelines state the initial dose of 8.4% sodium bicarbonate should be a. 30ml b. 40 ml c. 50 ml d. 60 ml e. 70ml
60 mmol 1mmol/kg
55
21.1 Regarding healthcare research, the SQUIRE guidelines describe a) Standards for RCTs b) Standards for meta-analysis c) Standards for observational studies d) Standards for systematic reviews e) Standards of quality improvement
e) Standards of quality improvement Quality Improvement (Standards for QUality Imporvement and Reporting Excellence) CONSORT: randomised trials PRISMA: systematic reviews and meta-analysis (Preferred Reporting Items for Systematic reviews and meta-analysis). STROBE: observational studies
56
21.1 A 30-year-old woman is administered an anaesthetic for a laparoscopic cholecystectomy for acute cholecystitis. She is breastfeeding her six-week-old infant. During anaesthesia she receives the following drugs: propofol, fentanyl, sevoflurane, rocuronium, oxycodone, parecoxib, ondansetron, sugammadex and cefuroxime. The best advice regarding breastfeeding after anaesthesia is to a) Discard 12 hours post procedure b) discard 24 hours post procedure c) discard 1st feed d) discard first 2 feeds e) discarding not required
Disregard not required
57
21.1 The most common cause of postoperative visual loss after spinal surgery is a. Central retinal artery occlusion b. Central retinal vein occlusion c. Ischemic optic neuropathy d. Haemorrhage e. corneal abrasion
c. Ischemic optic neuropathy Cardiac: Anterior Spinal: Posterior ION
58
21.1 A baby is brought to the emergency department three days after a term home birth. It has not been feeding well and has had few wet nappies. The child is grey in appearance and femoral pulses are difficult to palpate. You note an enlarged liver and marked tachycardia. Pulse oximetry reveals saturations of 75% despite oxygen being administered. You suspect a duct-dependent circulation. The best initial management is
Prostaglandin Baby needs fluids first and prostaglandins case hypotension esp in acidaemic infants
59
21.1 A patient with a history of restless leg syndrome is experiencing significant agitation in the post-anaesthesia care unit. After excluding other precipitating causes, the best treatment of the agitation in this patient is a. Midazolam b. Olanzepine c. Haloperidol d. Clozapine e. Droperidol
midazolam
60
21.1 During trauma resuscitation in adults, contraindications to blind nasogastric tube insertion include all of the following EXCEPT a) High C-spine injury b) Recent nasal surgery c) Oesophageal fracture d) Base of skull fracture e) oesophageal varices
a) High C-spine injury
61
21.1 Cardiovascular effects of hyperthyroidism include a. Decreased PVR b. Increased SVR c. Decreased diastolic relaxation d. Decreased SVR e. Increased diastolic blood pressure
decreased SVR
62
21.1 Effective pharmacotherapy options to support smoking cessation in the perioperative period include all of the following EXCEPT a) bupropion b) clonidine c) nortoptyline d) Varenicicline e) fluoxetine
Fluoxetine
63
21.1 The main advantage of using norepinephrine (noradrenaline) over phenylephrine for the prevention of hypotension as a result of spinal anaesthesia for elective caesarean section is A. Better APGAR B. Better foetal acid/base C. Less nausea/vomiting D. Less maternal bradycardia
less maternal bradycardia
64
21.1 The atmospheric lifetime of nitrous oxide (in years) is approximately 1yr 10 yr 50 yrs 100years
100 years Desflurane: 10yrs Sevoflurane 1yr
65
21.1 The risk of a perioperative respiratory adverse event in a child is least likely to be increased by A. Asthma B. infection 3 weeks ago, C. history of eczema, D. passive smoking
history of eczema
66
21.1 In elderly patients without diabetes mellitus the use of aspirin in primary prevention of disease a. Reduced cardiovascular mortality b. Increased incidence of major bleeding c. Increased cancer related death d. Lower all cause mortality e. Reduced thromboembolic events
increased incidence of major bleeding
67
21.1 You are involved in the care of a two-year-old child who has ingested a button battery in the last four hours. You would consider giving a. milk, b. sodium bicarbonate c. Pantoprazole d. sucrulfate
sucrulfate or honey
68
21.1 The most likely cause of hip adduction in a patient undergoing transurethral resection of a bladder tumour is
obturator nerve
69
21.1 In critically ill patients undergoing mechanical ventilation, energy dense enteral nutrition (1.5 kcal/mL/kg) compared to routine (1 kcal/mL/kg) enteral feeding provides a) high incidence of VAP b) low AKI c) Lower all cause 90day mortality d) no difference
no difference
70
21.1 Chronic recreational use of nitrous oxide may lead to a. Anaemia due to decreased EPO b. Anaemia from glutathione deficiency c. Neurological damage due to methionine deficit d. Pulmonary hypertension
neurological damage due to methionine deficit
71
21.1 Risk factors for chronic postsurgical pain do NOT include a. Smoking b. Pre-existing pain c. High level of anxiety d. Young age e. High level of education
high level of education
72
21.1 A drug which is likely to slow the heart rate in a patient with a heart transplant is a. Adenosine b. Digoxin c. Metaraminol d. Phenylephrine
adenosine
73
21.1 The following is an image from a focussed cardiac ultrasound in a patient with dyspnoea presenting for thoracic surgery. The diagnosis is A. RWMA B. Pericardial effusion C. Dilated aorta D. Aortic regurgitation
74
21.1 Once a unit of fresh packed red blood cells has been removed from controlled refrigeration the transfusion should be completed within
4 hours
75
21.1 The abnormality shown in this image is LEAST likely to be caused by an injury to the (image of a patient’s back shown) Supraclavular nerve = sensory only OR suprascpular nerve = also wont cause winging Dorsal scapular nerve = cause Long thoracic nerve = cause Accessory nerve = cause
supraclavicular
76
21.1 When commencing treatment of proximal deep vein thrombosis or pulmonary embolus, factor Xa inhibitors (apixaban, rivaroxaban) are preferred to dabigatran or warfarin because they do not require a. No need to dose reduce in pregnancy b. No need to dose reduce in renal failure (yes needed) c. No need to bridge (all of them don’t bridge except consider warfarin) d. No need for monitoring e. once daily dosing
no need for monitoring
77
21.1 A neonate born by emergency caesarean section is limp, pale, has a weak grimace and weak cry, and a heart rate of 60 beats per minute. The Apgar Score is A. 3 B. 4 C. 5 D. 6 E. 7
3
78
21.1 Of the following, the LEAST likely cause of high anion gap metabolic acidosis is a) lactic acidosis b) renal failure c) tuberculosis on isoniazid d) renal tubular acidosis e) salicylate overdose
renal tubular acidosis-> NAGMA
79
21.1 A patient presents with a serum sodium of 110 mmol/L. A feature NOT consistent with a diagnosis of syndrome of inappropriate antiduretic hormone (SIADH) is a. Urine osmolality <100 b. Euvolemia c. Increased cortisol d. urinary sodium >40
urine osmolality <100
80
21.1 A patient with C6 tetraplegia is undergoing removal of bladder stones under general anaesthesia. The blood pressure rises to 166/88 mmHg. The appropriate response is to a. Clonidine b. Hydralazine c. Decompress the bladder d. Fentanyl e. Deepen your anaesthetic
decompress the bladder
81
21.1 A 26-year-old man is brought into the Emergency Department four hours after an accidental chemical exposure during crop spraying. His clinical signs include bradycardia, vomiting, diarrhoea, coughing, miosis and weakness. A drug which is NOT recommended during his resuscitation and treatment is a. Pralidoxime b. Glycopyrrolate c. Benzodiazepine d. Suxamethonium e. Rocuronium
suxamethonium
82
21.1 A 30-year-old previously healthy woman is four days post-caesarean section. You are asked to see her to manage her abdominal pain. Over the last two days she has had increasing abdominal pain, increasing abdominal distension, tachycardia and nausea. An abdominal x-ray shows a caecal diameter of 9 cm. After excluding mechanical obstruction, an appropriate management option is a) neostigmine infusion b) morphine PCA c) Naloxone d) Lactulose
neostigmine
83
21.1 The following ECG is consistent with
84
21.1 A 40-year-old man suffers a hydrofluoric acid burn to 60% of his total body surface area in an industrial accident. An expected electrolyte disturbance is: a. Hypocalcemia b. Hyponatremia c. Hypophosphatemia d. Hypomagnesemia
hypoCALCEMIA
85
21.1 The lung ultrasound finding most consistent with atelectasis is three or more A. B lines B. A lines C. Comet tails D. Z lines E. Lung Pulse
comet tails
86
21.1 If group A RhD negative fresh frozen plasma is not available for use in an A RhD positive patient, of the following your next best choice should be a. AB + b. B+ c. B-. d. O+ e. O-
AB+
87
21.1 Perioperative overheating is most likely to cause worsening of symptoms of a) Duchenne Muscular dystrophy b) Myasthenia gravis c) Multiple sclerosis d) Myotonica dystrophia e) Eaton Lambert syndrome
multiple sclerosis.
88
21.1 A transhiatal oesophagectomy is performed via a a) laparotomy + right thoracotomy b) laparotomy + left neck incision c) laparotomy + left neck incision + Right thoractomy d) Laparotomy + left thoractomy
midline laparotomy and left cervical incision
89
21.1 A 69-year-old woman has a recent onset of dyspnoea and undergoes a right heart catheterisation, with results displayed below. Her pulmonary capillary wedge pressure is 10 mmHg. The most likely 21.1 diagnosis is a. Mitral stenosis b. Mitral regurg c. Emphysema d. Pulmonary embolus e. Aortic stenosis
PE
90
21.1 The modified Aldrete scoring system uses all of the following EXCEPT a) BP b) Pain score c) Resp rate d) sedation level
pain score
91
21.1 A woman with preeclampsia presents with a blood pressure of 150/100 mmHg. An appropriate first line treatment to reduce the blood pressure is a. Labetalol b. Nifedipine c. Magnesium
labetaolol
92
21.1 The ANZCA Choosing Wisely recommendations advise avoiding all of the following EXCEPT a) Doing an epidural on a patient who is labouring normally with a normal pregnancy and no comorbidities b) Not giving blood transfusion on a healthy 20yo male with Hb > 70g/L, except when severe and symptomatic c) Not giving an anaesthetic to a high risk patient with severe comorbidities without risk stratifying them and taking an anaesthetic history and assessment d) Avoid routinely performing preoperative blood investigations, chest X-ray or spirometry prior to surgery, but instead order in response to patient factors, symptoms and signs, disease, or planned surgery. e) Avoid ordering cardiac stress testing for asymptomatic patients prior to undergoing low to intermediate risk non-cardiac surgery.
doing an epidural on a patient who is labouring with normal pregnancy and no comorbidities
93
21.1 A 55-year-old man with no past history of ischaemic heart disease is three days post-total hip replacement surgery. He has an episode of chest pain characteristic of angina which began at rest and lasted thirty minutes before resolving fully. There are no ECG changes. Six hours later there is a troponin rise above the 99th percentile upper reference limit. The diagnosis is a. No diagnosis made b. Unstable angina c. STEMI d. NSTEMI e. MINS
NTEMI vs MINS
94
21.1 Consideration for same-day discharge in an ex-premature infant after orchidopexy for undescended testis would be suitable at a minimum postmenstrual age of
54 weeks 46 weeks if term infant
95
21.1 The implemention of comprehensive multidisciplinary geriatric assessments in the peri-operative period has been shown to
less time in aged care and reduced mortality
96
21.1 The advantage of the Mapleson E circuit in paediatric anaesthesia is due to its A. Can use low gas flows B. Feel compliance C. Assess tidal volume D. Can rapidly change levels of CPAP E. Low resistance
low resistance
97
21.1 A 30-year-old woman, gravida 2, parity 1, undergoes an elective lower segment caesarean section for breech presentation. The international consensus statement on the use of uterotonic agents recommends that the first line uterotonic management is a) 1unit b) 1 unit followed by infusion 2.5-7.5 Units/hr c) 3 units d) 3 units followed by infusion
Bolus 1 IU oxytocin; start oxytocin infusion at 2.5–7.5IU.h1(0.04–0.125 IU.min1) EmLSCS; 3 IU oxytocinover≥30 s; start oxytocininfusion at 7.5–15 IU.h1(0.125–0.25 IU.min1).
98
21.1 An 84-year-old woman with dementia presents for surgery for a breast lump. She lives in a care facility and is accompanied by the nurse manager from the facility and her son. Neither have a written legal authority to act on her behalf. Regarding consent for her surgery a) Anaesthetic consent implied in surgical consent b) Son can’t consent c) Legal guardian can’t consent d) 2 Doctors e) nil consent required if would be in patients interest/ not against wishes
anaesthetic consent implied in surgical consent - this is specifically incorrect as per anzca doc ps26. Must be misremembered options.
99
21.1 The apical four–chamber view of a transthoracic echocardiogram below shows
100
21.1 A man who had successful treatment of a germ cell tumour 10 years ago presents for laparoscopic appendectomy. Your intraoperative management should consider
oxygen administration/ low fio2 assumed bleomycin
101
21.1 A 100 kg 32-year-old male presents two hours after suffering a 30% total body surface area electrical burn. He has had no resuscitation fluids. The infusion rate of isotonic crystalloid resuscitation fluid required for this man for the next six hours is a. 500 ml/hr b. 750 ml/hr c. 1000 ml/hr d. 1200 ml/hr
1000mls/hr
102
21.1 Intraoperative lung protective ventilation strategies include all of the following EXCEPT A. Vt 6-8ml/kg B. Patient titrated PEEP C. Recruitment manourve D. I:E ratio 1:3
I:E ration 1:3 - aim 1:1
103
21.1 An ECG abnormality which is NOT usually associated with severe anorexia nervosa is a) QT prolongation b) TWI c) ST depression d) prolonged PR interval e) tachycardia
e) tachycardia
104
21.1 Of the following, the lifestyle modification that is least effective in reducing essential hypertension is a. Stopping caffeine b. Low sodium diet c. Low potassium diet d. Exercise
low potassium diet
105
21.1 A 25-year-old man suffers a 30% total body surface area burn. A cardiovascular physiological change expected within the first 24 hours is a. Decreased PVR b. Increased SVR c. Decreased SVR d. Reduced PA pressure e. Increased hepatic blood flow
increased SVR/ increased PVR
106
21.1 Hepcidin production is inhibited in response to a. Anaemia b. Inflammation c. Acute leukemia d. Infection e. Excess iron stores
anaemia Iron deficiency can be caused by depletion of total Iron stores or a chronic loss of blood. Metabolism of Iron is also influenced by disease states including inflammation and malignancy. Raised Iron stores and inflammation upregulate the production of HEPCIDIN, a hormone responsible for the inhibition of enteral Iron absorption HEPCIDIN degrades iton trans-membrane transporter ferroportin on duodenal enterocyte membranes. it also inhibits the transport of stored iron from hepatocytes and macrophages into plasma in a similar manner. Upregulation of HEPCIDIN can produce functional iron deficiency, lading to what has been tradionally known as the anaemia of chronic disease HEPCIDIN deficiency is the cause of iron overload in hereditary hemochromatosis, iron-loading anemias, and hepatitis C HEPCIDIN is suppressed in iron deficiency, allowing increased absorption of dietary iron and replenishment of iron stores. Increased erythropoietic activity also suppresses HEPCIDIN production. HEPCIDIN is decreased in iron deficiency anemia, hemolytic anemia, and anemias with ineffective erythropoiesis
107
21.1 The function of the bottle labelled 'D' in the diagram below is to protect against the consequences of (diagram of chest drain bottles) a. Suction failure b. Excess positive pressure c. Drain kinking d. Excess negative pressure
bottle A = fluid trap or collection bottle, can be independently emptied and allows accurate record of drainage amount - first tube connecting drain to drainage bottles must be wide to decreased resistance - volume capacity of this tube should exceed ½ of patient’s maximum inspiratory volume (otherwise H2O may enter chest) bottle B = underwater seal drain, maintained at a predetermined level whilst still allowing for drainage of pleural fluid (if bubbling continuously -> bronchopleural fistula) - volume of H2O in bottle B should exceed ½ patient’s maximum inspiratory volume to prevent indrawing of air during inspiration bottle C = manometer or pressure-regulating bottle allows suction to be attached and should bubble continuously - The maximum negative pressure (in cm H2O) generated by suction equals to the distance (in cm) the vent tube is below the water line (this can be adjusted) -The negative pressure generated by the vent tube is independent of the amount of pleural drainage that is collected in the trap bottle - If suction is turned off then tubing must be unplugged -> so air can escape into atmosphere
108
21.1 The domains described in the Edmonton Frail Scale do NOT include a. Cognition b. Mental illness c. Weight d. Age e. Functional assessment
age Domains: 1. Cognition 2. General health status 3. Functional independance 4. social support 5. Medication use 6. Nutrition 7. Mood ?interpreted as mental illness in stem? 8. Continence 9. Functional performance Scoring 0-5= Not frail 6-7= Vulnerable 8-9= Mild Frailty 10-11= Moderate Frailty 12-17= Severe Frailty
109
21.1 Unsupported ventilation in a non-anaesthetised patient with long-standing tetraplegia is improved when
supine
110
21.1 21.2 The breast does NOT receive sensory innervation from the a. Long thoracic b. Thoracodorsal c. Anterior intercostals d. Posterior intercostals e. Supraclavicular
b. Thoracodorsal Thoracodorsal nerve (C6-C8) is a branch of the posterior cord of the brachial plexus. Its primary function is motor innervation of the latissimus dorsi muscle. Its blockade is relevant in more extensive breast reconstruction procedures. The Pecs I, Pecs II and Serratus Plane blocks are superficial thoracic wall blocks which through blockade of the 1. Pectoral N. 2. Intercostal N. 3. Thoracodorsal N. 3. Long thoracic N. It can be used to provide analgesia for breast surgery and other procedures/surgery involving the anterior chest wall.
111
21.1 A respiratory effect of high flow nasal oxygen therapy is A. Reduced RR B. Reduced MV C. Increased work of breathing
A. Reduced RR BJA HFNOT It has been demonstrated that patients with acute hypoxaemic respiratory failure experience improved comfort and tolerance with HFNOT compared with humidified oxygen via a facemask, and traditional non-invasive ventilation masks. Subjective feelings of dyspnoea AND RESPRIATORY RATES are REDUCED as is airway dryness.
112
21.1 A condition or therapy that is NOT a contraindication to hyperbaric oxygen therapy is A. Bleomycin B. Cisplatin C. Preterm neonate D. Cerebral Abscess
D. Cerebral Abscess HBOT Indications: - air or gas embolism - arterial insufficiencies (central retinal artery occlusion, enhancement of healing in wound problems) - Carbon monoxide poisoning - Clostridium myonecrosis (gas gangrene) - Compromised grafts and flaps - Acute traumatic ischaemia - Decompression sickness - Delayed radiation injuries - Sudden sensorineural hearing loss - Intracranial abscess - Necrotising soft tissue infections - Refractory osteomyelitis - Severe Anaemia - Thermal burns Absolute Contraindications to HBOT: - untreated PTx - Premature Infants - Bleomycin - Disulfiram (antabuse) - Cisplatin Relative contraindications: - Pregnancy - Asthma - Thoracic Surgery - Emphysema with CO2 retention - upper respiratory tract infections - History of middle ear surgery or disorder - History of seizures - Fevers - Congenital spherocytosis - Optic neuritis
113
21.1 In patients without other co-morbidities, bariatric weight loss surgery is indicated when the body mass index (kg/m2) is greater than
BMI >35 kg m−2 Contraindications: - Inflammatory disease of GI tract (ulcers, oesophagitis, Crohn's) - Upper GI bleeding - Portal Htn - Liver Cirrhosis - Chronic Pancreatitis - Laparascopic surgery may be technically difficult in patients weighing >180kg and may be considered a relative contraindication
114
21.1 The image below shows a normal central venous pressure (CVP) trace on the left. The CVP trace shown on the right is most consistent with a. Tricuspid regurg b. Mitral stenosis c. Mitral regurg d. Pericarditis e. Tamponade
a. Tricuspid regurg Regurgitant CV waves: tricuspid regurgitation In tricuspid regurgitation, the backflow of blood out of the right ventricle obliterates the normal x descent. The c wave becomes accentuated and fuses with the v wave, as both are the results of right ventricular contraction (and the v wave peak pressure is often the same as the right ventricular peak systolic pressure). the reality is that they usually fuse completely to produce huge mutant waves, as seen here:
115
21.1 Of the following, the device that delivers the greatest flow when using 'Level 1® Fast Flow Fluid Warmer' rapid fluid infuser system is a (list of intravascular catheters) a. 6.5 Fr sheath b. 8.5 Fr Multilumen line c. 8.5 Fr Swan Ganz Sheath d. Multilumen something 14G cannula (50mm?) e. Peripheral RICC line, 8.5 Fr
e. Peripheral RICC line, 8.5 Fr
116
21.1 The most reliable clinical indicator of opioid-induced ventilatory impairment (OIVI) is decreased a) resp rate b) conscious state c) BP d) heart rate
b) conscious state No mention of BP or HR in ANZCA OIVI monitoring document In many published reports of patient deaths resulting from OIVI, undue reliance has been placed on respiratory rate as a unidimensional measure of OIVI, either without formal assessment of patient sedation, or without recognising the significance of excessive sedation Respiratory rate and oxygen saturation levels are not direct measures of adequacy of ventilation. Sedation scores should be assessed repeatedly at intervals that are appropriate to the route of opioid administration Continuous measurement of a patient’s carbon dioxide concentrations is more likely to identify OIVI than continuous pulse oximetry
117
21.1 A patient had prolonged surgery with a laryngeal mask airway in situ. The following day he reports a problem with his tongue. You examine him and see the following when he protrudes his tongue: The most likely cause of the abnormality is a. R hypoglossal nerve injury b. L hypoglossal c. R glossopharyngeal d. L glossopharyngeal
L hypoglossal The hypoglossal nerve innervates all the extrinsic and intrinsic muscles of the tongue, except the palatoglossus which is innervated by the vagus nerve. Injury to the hypoglossal nerve causes ipsilateral tongue deviation (pathognomonic), with dysarthria and dysphagia in severe cases. The tongue deviates towards the side that is affected due to the unopposed action of the contralateral genioglossus The symptoms and signs of hypoglossal neurapraxia are often self-limiting and 43% of diagnosed patients achieve resolution within 6 weeks of surgery and an additional 40% are symptom free within 6 months after surgery Nerves injured by SAD - Lingual nerve (2ry to tube) - Hypoglossal nerve (2ry to cuff) - Recurrent laryngeal nerve (2ry to cuff) Presenting symptoms and signs Lingual nerve: - loss of taste and sensation to tip of tongue Hypoglossal nerve: - dysphagia - dysarthria - tongue deviation in unilateral injury Recurrent laryngeal nerve: - altered voice - rarely: stridor Risk factors for injury: - use of nitrous oxide-> over inflation - selection of SAD that is too small-> over inflation - LMA maximum inflation pressure 60cmH2O
118
21.1 A 10-year-old boy (weight 30 kg) has a displaced distal forearm fracture that requires manipulation and application of plaster. The volume of 0.5% lidocaine (lignocaine) that should be used for intravenous regional anaesthesia (Bier block) is a. 12 ml b. 18ml c. 30 ml d. 42 ml
b. 18ml 3mg/kg max dose as per RCH guidelines 3mg x 30kg = 90mg 90mg/5mg/ml = 18ml or 0.6ml/kg of 0.5% Lignocaine 0.6ml x 30kg = 18ml
119
21.1 Local anaesthetic systemic toxicity does NOT manifest as
After LA administration, any abnormal cardiovascular or neurological symptoms and signs, including isolated cardiac arrest, should raise suspicion of LAST Presenting features of LAST vary widely. Cardiovascular collapse may occur without preceding neurological changes. Clinical features of LAST: CNS - 2 stage process of excitatory phase followed by a depressive phase - early signs: 1. perioral tingling 2. tinnitus 3. slurred speech 4. lightheadedness 5. tremor 6. change in mental state: confusion and agitation - excitatory phase culminates in generalised convulsions -Depressive phase: 1. Coma 2. Respiratory depression CVS - 3 phases: - initial phase: Htn and tachycardia - intermediate phase: myocardial depression and hypotension - terminal phase: peripheral vasodialtion severe hypotension arrhythmias: 1. sinus bradycardia 2. conduction blocks 3. VT 4. Asystole
120
21.1 A patient has bipolar disorder and is on long term lithium therapy. An analgesic which should be avoided is a. Diclofenac b. Tramadol c. Oxycodone d. Methadone
a. Diclofenac LIthium perioperative concerns: - Prolongation of NMB - Reduction in anaesthetic agent requirement - Avoid NSAIDs - No withdrawl symptoms - Discontinue 24hrs before surgery BJA: perioperative advice for psychotropic drugs
121
21.1 According to the ANZCA 'Guideline on infection control in anaesthesia', skin preparation prior to central neuraxial blockade should be performed using a. 10% Povidine iodine b. 0.5% Chlorhexidine/ETOH c. 5% Chlorhexidine d. 3% chlorhexidine
b. 0.5% Chlorhexidine/ETOH For skin preparation, 0.5 per cent chlorhexidine in alcohol, where available, is recommended for neuraxial techniques although it should be noted that very small quantities of neuraxial chlorhexidine have been implicated in cases of severe neurotoxicity
122
21.1 The following muscles of the larynx are all innervated by the recurrent laryngeal nerve, EXCEPT a) Posterior Cricoarytenoid b) Lateral Cricoarytenoid c) Interarytenoid d) Thyroarytenoid e) Vocalis f) Cricothyroid
f)Cricothyroid Nerve supply of larynx: 1. Superior laryngeal nerve: - Cricothyroid muscle - sensory supply to the interior of larynx down to vocal cords 2. internal laryngeal nerve - 3. Recurrent laryngeal nervs - motor supply to the intrinsic muscles of the larynx apart from cricothyroid - sensory supply to laryngeal mucosa inferior to the cords Intrinsic muscles of the larynx a) Posterior Cricoarytenoid - abducts the cords, opens the glottis - only muscle to open glottis b) Lateral Cricoarytenoid - adducts the cords and closes the glottis c) Interarytenoid - only unpaired muscle - closes the glottis - continues upwards to form the aryepiglottic muscle which acts as a weak sphincter d) Thyroarytenoid - relaxes vocal cords e) Vocalis -adjusts tension in the cords f) Cricothyroid - only intrinsic muscle that lies outside the cartilagenous framework - only tensor of the vocal cords actions of intrinsic laryngeal muscles 1. Abductor of the cords: posterior cricoarytenoids 2. Adductors of the cords: lateral cricoarytenoids, interarytenoids 3. Sphincter to the vestibule: aryepiglottics, thyroepiglotics 4. Tension regulators of the cords: Cricothyroids (tensors), Thyroarytenoids (relaxors), Vocales (fine adjustment)
123
21.1 A patient who usually takes oral morphine 50 mg bd develops a bowel obstruction and experiences withdrawal symptoms. They may be described as having
Dependence
124
21.1 The risk of major bleeding in patients taking direct oral anticoagulants (DOACs) is NOT significantly increased by commencing administration of a) Atorvastatin b) Amiodarone c) Digoxin d) Diltiazem e) Fluconazole
1st a) atorvastatin 2nd c) Digoxin All of the DOACs are avid substrates for the excretory P-gp system of the gastrointestinal epithelial cells, and drugs that inhibit or induce the P-gp system may affect plasma DOAC levels Dabigatran and edoxaban are substrates for P-glycoprotein (P-gp) Apixaban and rivaroxaban are metabolised by cytochrome P450 enzyme CYP3A4 and are substrates for P-gp There is study evidence that among patients taking DOACs for non-valvular atrial fibrillation, concurrent use of amiodarone, fluconazole, rifampicin, and phenytoin compared with the use of DOACs alone, was associated with increased risk of major bleeding It is unlikely that clinically significant interactions occur between dabigatran and other drugs that are merely substrates for P-gp-mediated excretion. When dabigatran was coadministered with digoxin neither digoxin nor dabigatran plasma levels were significantly altered Rivaroxaban and apixaban are metabolised to an extent of 40–50 % in the liver to variable degrees by CYP3A4 and may interact with drugs that inhibit this enzyme. The metabolism of Apixaban and rivaroxaban can be decreased when combined with Atorvastatin which is also metabolised by CYP3A4
125
21.1 The most common cause of cor pulmonale is
Chronic obstructive pulmonary disease (COPD) is the most common cause of cor pulmonale leads to an increase in RV afterload secondary to changes in pulmonary vascular structure and mechanics, and lung hyperinflation. Patients with COPD who subsequently develop RV dysfunction have an increased risk of admission to hospital and mortality
126
21.1 The management of a patient who has experienced a cardiac arrest within 10 days of cardiac surgery should NOT routinely include a. Atropine 3mg b. adrenaline 1mg boluses c. 3 stacked shocks d. amiodarone 300 e. 1L fluid
b. adrenaline 1mg boluses The risk of administering adrenaline in conventional doses is with profound hypertension, bleeding, or tearing of vessel anastomoses on return of spontaneous circulation (ROSC), which can precipitate catastrophic harm or further cardiac arrest. Adrenaline remains a useful drug in peri-arrest situations in smaller doses.
127
21.1 A third heart sound at the apex may be heard with a) pulmonary stenosis b) pulmonary hypertension c) pericarditis d) pregnancy
d) pregnancy A third heart sound reflects rapid left ventricular distention along with an increased atrioventricular flow Heard in Congestive heart failure Associated with Dilated Cardiomyopathy with dilated ventricles Less commonly valvular regurgitation and left to right shunts May be normal physiological finding in patients less than 40yrs old
128
21.1 A patient presents for endovascular clot retrieval after experiencing a right hemisensory loss and right homonymous hemianopia. The vessel most likely occluded is the left a) MCA b) ACA c) PCA d) AICA e) PICA
a) PCA
129
21.1 A 45-year-old man has the following results on his blood biochemistry testing (Liver function tests shown). The most likely diagnosis is a. Cholecystitis b. Metastatic liver disease c. Hepatitis C d. Chronic liver disease e. Paracetamol toxicity
a. Cholecystitis Example and explanation taken from RACGP: The raised AlP relative to Alt suggests cholestasis and the high GGt confirms liver origin. The mild hyperbilirubinaemia confirms the clinical impression of jaundice. Biliary disease is highly likely with gallstones the most likely differential diagnosis. however, this clinical picture may also occur in drug reactions or infiltrative conditions. After a careful history, abdominal ultrasound is the most appropriate next investigation.
130
21.1 In cardiac surgery, volatile-based anaesthesia compared to total intravenous anaesthesia
no observed beneficial effect of sevoflurane on the composite endpoint of prolonged ICU stay, mortality, or both in patients undergoing high-risk cardiac surgery
131
21.1 Suxamethonium may be safely given to patients with a) chronic spinal cord injury b) Hypokalaemic periodic paralysis c) muscular dystrophy d) myasthenia gravis e) multiple sclerosis
d) myasthenia gravis In contrast to other neuromuscular disorders, succinylcholine may be used in myasthenia gravis. The required dose may need to be increased by up to two-fold, as those with the disease show a relative resistance to the drug. Sux is not recommended in patients with neuromuscular disease due to: 1. presence of extrajunctional receptors and risk of hyperkalaemia and rhabodmyolysis 2. fasiculations causing temperomandibular muscle spasm preventing intubation
132
21.1 A patient has numbness and weakness in her hand postoperatively. You are trying to distinguish between an ulnar nerve lesion and a C8-T1 radiculopathy. You can diagnose a C8-T1 radiculopathy if she has weakness a) Thumb adduction b) Thumb abduction c) Fingers adduction d) Fingers Abduction e) Little finger flexion or A. Paraethesia of the 5th digit B. Paraesthesia over index finger C. Flexor carpi ulnaris function D. Paraesthesia/sensory loss over medial forearm E. Adductor pollicis function
b) Thumb abduction (flexor pollicis brevis) D. Paraesthesia/sensory loss over medial forearm (medial antebrachial cutaneous) Severing Ulnar nerve alone results in numbness of the 4th (ring) and 5th (little) fingers alone C8 and T1 supply the medial antebrachial cutaneous nerve Muscles weak in C8-T1 radiculopathy but intact in ulnar neuropathy 1. flexor pollicis brevis 2. abductor pollicis brevis 3. opponens pollicis 4. lateral lumbricals AbOF the Law may be useful—the abductor (Ab) and flexor (F) pollicis brevis, opponens pollicis (O), and lateral lumbricals (Law) are “above the law” that intrinsic hand muscles are ulnar-innervated
133
21.1 The recommended cleaning protocol for a laryngoscope handle which has been used but which has no visible soiling is a) Disinfect with chlorhex/alcohol b) Autoclave c) Wipe with detergent d) Nothing e) Sterilise
c) Wipe with detergent Laryngoscope handles: -non-critical devices -should be cleaned with detergent and water between each patient use. -If contaminated with blood, they should be washed and disinfected. Laryngoscope blades: -considered critical equipment because they may penetrate skin or mucous membranes, require sterilisation. Bougies: -Re-use of these items has been associated with cross-infection. -It is preferable that alternative single-use intubation aids are employed when possible Face Masks: -In contact with intact skin, these items are frequently contaminated by secretions -considered semi-critical, requiring cleaning and thermal disinfection
134
21.1 Considering emergency front-of-neck airway access, the major blood vessel that is most likely to lie anterior to the trachea above the sternal notch is the a) Brachiocephalic artery b) Brachiocephalic Vein c) Superior thyroid artery d) Inferior thyroid artery e) Carotid artery
a) Brachiocephalic artery Major vessels, most commonly the brachiocephalic artery, traverse the anterior tracheal wall in up to 53% patients at the suprasternal notch
135
21.1 In the treatment of persistent mucosal bleeding in patients with von Willebrand disease type 3,desmopressin (DDAVP) is a) contraindicated due to risk of thrombocytopenia b) indicated if previous response documented c) indicated to improve plt function d) contraindicated as it won’t work
d) contraindicated as it won’t work Type 1: -Quantitative defect of VWF Type 2: -Qualitative Defect of VWF -Type 2 subclassification depending on plt binding function, F8 binding capcacity, number of high molecular weight VWF multimers Type 3: - complete absence of VWF Treatment: - do not need blood components to control haemorrhage -F8 plasma concentration >100 for major surgery and >50 for minor surgery -DDAVP approved for use in Type 1, no use in type 3, discuss its use with haematology in type 2 due to its variable effect -DDAVP given atleast 90mins before operation -TXA may be useful -VWF/F8 concentrates indicated in severe cases, type 3 and qualitiative defects in VWF -Plt infusions should be considered in persistent bleeding -Cryo has an unpredictable effect, only used if other treatments have failed
136
21.1 Of the following, the incidence of venous air embolism is considered highest for a) LUSCS b) Prostatectomy c) Coronary artery surgery d) Spinal surgery e) Gastric endoscopy
a) LUSCS Rates of VAE by surgical procedure: LUSCS: 10%-97% Neurosurgery: Posterior Fossa: 76% Cervical Laminectomy: 7-25% Lateral/Prone Neurosurgery: 15-25 % Total Hip Replacement: 30% Lap Cholecystectomy: 69%
137
21.1 The equipment shown in the picture is a (airway device shown)
Hunsaker Mon-jet ventilation tube for microlarnygeal surgery Description: -Laser-safe -fluoroplastic -self-centring catheter Uses: -subglottic ventilation during microlaryngeal surgery Components: - proximal end for attaching to jet insufflation system -proximal end allows passage of stylet to aid insertion -Side port at proximal end for monitopring airway pressure and ETCO2 -Outer diameter 4.3mm for maintaining good surgical access -Green basket to keep the centre port at its tip away from tracheal mucosa and avoiding potential damage from jet ventilation
138
21.1 High-risk transthoracic echocardiogram findings associated with aortic dissection include all of the following EXCEPT a) pericardial effusion b) dilated Ao root c) RV dilatation d) RWMA e) AR
EXCEPT C) RV dilation Echo findings in Aortic Dissection: 1. Intimal flap 2. Type A dissection: - Aortic regurgitation -Acute dilation of aortic root -Aortic leaflet prolapse -Dissection flap prolapse -Pre-existing disease -Pericardial Effusion/Tamponade -RWMA 3. Colour flow doppler -identifies true and false lumen -aortic branch occlusion/dissection
139
21.1 A 48 year old male is day two post-laparoscopic high anterior resection. He has used 42 mg of intravenous morphine in the past 24 hours. You wish to start him on oral tapentadol immediate release. The most appropriate equianalgesic dosage would be a. 100 QID b. 50 QID c. 150 QID d. 200 QID
A. 100mg QID 42mg IV Morphine = 126mg Oral Morphine 126/8= 15.75 15.75 x 25 = 393.75 (*400mg/day Tapentadol) Oral Tapentadol 25mg = 8mg Oral Morphine Oral Oxycodone 5mg = 8mg Oral Morphine Oral Tramadol 25mg = Oral Morphine 5mg Oral Hydromorphone 4mg = Oral Morphine 20mg S/L Buprenorphine 200mcg = 8mg Oral Morphine IV Oxycodone 5mg = Oral Morphine 15mg IV Morphine 5mg = Oral Morphine 15mg IV Hydromorphone 1mg = Oral Morphine 15mg
140
21.1 A patient with a purely metabolic acidosis has a serum bicarbonate of 14 mmol/L and a lactate of 3.8 mmol/L. The expected PaCO2 is a. 24 b. 29 c. 35 d. 40
B. 29 PaCO2= 1.5 x 14 + 8 PaCO2= 21 + 8 PaCO2= 29 Winter’s formula: expected PaCO2 = [1.5 x (serum HCO3)] + [8±2] if PaCO2 lower, there is a concomitant primary respiratory alkalosis if PaCO2 higher, there is a concomitant primary respiratory acidosis
141
21.1 The part of the lung that is typically divided into superior, medial, anterior, lateral and posterior segments is the A. RLL B. Right upper lobe C. L upper lobe D. R middle lobe E. Lingula
RLL 1.Superior (apical bronchus 6) -> most common site for foreign body or secretions to collect if patient laying flat in bed