23.1 MM done Flashcards

(144 cards)

1
Q

23.1 One metabolic equivalent (1 MET) is defined as the

a. O2 consumption walking 4km/h
b. O2 consumption when sitting
c. Energy expenditure walking 4km/h
d. Energy expenditure when sitting.

A

b) O2 consumption when sitting

One metabolic equivalent (MET) is defined as the amount of oxygen consumed while sitting at rest and is equal to 3.5 ml O2 per kg body weight x min.

How well did you know this?
1
Not at all
2
3
4
5
Perfectly
2
Q

23.1 A Laser-Flex tube has a double cuff with two separate pilot balloons. The correct
colours of the pilot balloons are that

a. Blue proximal cuff, clear distal cuff
b. Clear proximal cuff, blue distal cuff
c. Blue both
d. Clear both

A

b) Clear Proximal, Blue Distal

https://www.medtronic.com/content/dam/covidien/library/us/en/product/intubation-products/shiley-laser-oral-nasal-tracheal-tube-information-sheet.pdf

How well did you know this?
1
Not at all
2
3
4
5
Perfectly
3
Q

23.1 The initial treatment of a trigeminocardiac reflex during skull base surgery should be

a. Tell surgeons to stop stimulus
b. Atropine
c. LA to site

A

a) Tell the surgeons to stop stimulus

https://www.ncbi.nlm.nih.gov/pmc/articles/PMC1821135/

https://jamanetwork.com/journals/jamaotolaryngology/fullarticle/1864754

Careful dissection for prevention and early intervention with stimulus removal and anticholinergic use as needed are paramount to ensure good outcomes

N.B
Trigeminocardiac reflex refers to the sudden development of bradycardia or even asystole with arterial hypotension from manipulation of any sensory branches of the trigeminal nerve. Although it has only rarely been associated with morbidity and tends to be self-limited with removal of the stimulus, it is an important phenomenon for head and neck surgeons to recognize and respond to

How well did you know this?
1
Not at all
2
3
4
5
Perfectly
4
Q

23.1 You have diagnosed malignant hyperthermia in a person weighing 80 kg. Australian
and New Zealand guidelines recommend an initial dose of dantrolene (Dantrium) of

a. 10 vials
b. 20 vials
c. 30 vials
d. 40 vials

A

a) 10

Dose of Dantrolene = 2.5mg/kg
Repeat every 10 minutes to a Maximum dose of 10mg/kg (Total Vials = 35)
Each Vial Dantrolene = 20mg

80 x 2.5mg = 200mg
Therefore 10 Vials of 20mg Dantrolene

Or,
TBW(kg)/8 = number of vials required for initial dose

repeat Q5-10mins until signs of MH regress (ETCO2 <45/temp <38.5),

Dantrium 20mg/vial to be mixed with 60mL of sterile water
Ryanodex 250mg/vial to be mixed with 5mL sterile water (50mg/ml)

As per MHANZ - each hospital needs at least 24 (20mg) vials of Dantrium or 2 (250mg) vials of Ryanodex
- larger or remote hospitals -> at least 36 vials
https://malignanthyperthermia.org.au/wp-content/uploads/2018/09/MALIGNANT-HYPERTHERMIA-RESOURCE-KIT-2018-1.pdf”

How well did you know this?
1
Not at all
2
3
4
5
Perfectly
5
Q

23.1 Rotational thromboelastometry (ROTEM) is performed on a bleeding patient with the
following series of graphs produced. The most appropriate therapy to be
administered is

a. TXA
b. Fibrinogen
c. Cryo
d. FFP

A

a) TXA

Hyperfibrinolysis

https://derangedphysiology.com/main/required-reading/haematology-and-oncology/Chapter%201.2.0.1/intepretation-abnormal-rotem-data

How well did you know this?
1
Not at all
2
3
4
5
Perfectly
6
Q

23.1 In order to provide anaesthesia of the scalp for awake craniotomy, it is necessary to
block branches of the

a. Greater and lesser occipital and greater auricular nerves
b. Trigeminal, greater and lesser occipital nerves
c. Trigeminal, greater occipital and greater auricular nerves
d. Facial, trigeminal and greater occipital nerves
e. Facial, greater and lesser occipital nerves

A

b) Trigeminal, greater and lesser occipital nerves

2005 blue book article: six nerves need to be blocked bilaterally
- supratrochlear
- supraorbital
- zygomaticotemporal
- auriculotemporal
- lesser occipital nerve
- greater occipital nerve

Minor contributions from the greater auricular nerve and third occipital nerve rarely encroach into the surgical field

How well did you know this?
1
Not at all
2
3
4
5
Perfectly
7
Q

23.1 The parameter that changes most with increasing age in the otherwise normal lung is the

a. Closing capacity
b. Residual volume
c. FRC
d. Lung capacity.

A

a) Closing capacity

see graph in Millers

How well did you know this?
1
Not at all
2
3
4
5
Perfectly
8
Q

23.1 You are called to an airway emergency in the intensive care unit. A 40-year-old
woman with morbid obesity and pneumonia had an elective percutaneous
tracheostomy inserted eight hours previously. She is sedated, paralysed and
ventilated. After being turned for pressure care, she desaturates and there is no clear
CO2 trace on capnography. The tracheostomy tube is still in the neck but you are
concerned it has been displaced. Your immediate management should be to:

a Reintubate from mouth
b. Use a fibreoptic scope to assess the position of the tracheostomy
c. Place an airway exchange catheter down the stoma
d. Pass a gum elastic bougie through tracheostomy
e. Needle cricothyroidotomy

A

a) reintubate from the mouth

O2 CISCO

O2 - apply 100% oxygen to both the tracheosomy site and the face
C - Check the cuff is still up, remove any caps and check CO2 trace is present
I - Remove the inner tube ± replace with a new one
S - Attempt to pass a fine-bore suction catheter down the tracheostomy
C - Take the cuff down
O - Consider oral airway

The key principles of the algorithm are:
1.Waveform capnography has a prominent role at an early stage in emergency management.
2.Oxygenation of the patient is prioritised.
3.Trials of ventilation via a potentially displaced tracheostomy tube to assess patency are avoided.
4.Suction is only attempted after removing a potentially blocked inner tube.
5.Oxygen is applied to both potential airways.
6.Simple methods to oxygenate and ventilate via the stoma are described.
7.A blocked or displaced tracheostomy tube is removed as soon as this is established and not as a ‘last resort’
BJA: Update on management of tracheostomy
https://www.bjaed.org/article/S2058-5349(19)30125-8/fulltext

https://www.tracheostomy.org.uk/storage/files/Patent%20Airway%20Algorithm.pdf

How well did you know this?
1
Not at all
2
3
4
5
Perfectly
9
Q

23.1 In patients without other comorbidities, bariatric weight loss surgery is indicated when
the body mass index (kg/m2) is greater than

a. 35
b. 40
c. 45
d. 50

A

a. 35

Major updates (2022) to 1991 National Institutes of Health guidelines for bariatric surgery

Metabolic and bariatric surgery (MBS) is recommended for individuals with a body mass index (BMI) 35 kg/m2 , regardless of presence, absence, or severity of co-morbidities.

MBS should be considered for individuals with metabolic disease and BMI of 30-34.9 kg/m2

BMI thresholds should be adjusted in the Asian population such that a BMI 25 kg/m2 suggests clinical obesity, and individuals with BMI 27.5 kg/m2 should be offered MBS.

Long-term results of MBS consistently demonstrate safety and efficacy.

Appropriately selected children and adolescents should be considered for MBS.

https://www.soard.org/article/S1550-7289(22)00641-4/fulltext#:~:text=The%201991%20NIH%20Consensus%20Statement,surgery%20that%20is%20applied%20universally.

How well did you know this?
1
Not at all
2
3
4
5
Perfectly
10
Q

23.1 A patient with long-term severe anorexia nervosa is commenced on a normal diet.
Three days later she develops cardiac failure and exhibits a decreased level of
consciousness. The most important parameter to assay and normalise is the plasma

a. Phosphate
b. Potassium
c. Magnesium
d. Sodium
e. Calcium

A

a) Phosphate

hypophosphate: Clinical symptoms range from muscle weakness and paraesthesia to severe cardiac failure, seizures and diaphragmatic paralysis

Refeeding malnourished patients with anorexia nervosa can be associated with hypophosphatemia, cardiac arrhythmia and delirium. Phosphorus repletion should be started early with and serum levels maintained above 3 mg/dL

weakness and fatigue, in the context of a recent history of starting a regular diet while in a state of chronic malnutrition, are concerning for refeeding syndrome, which typically occurs 2 to 5 days after beginning nutritional repletion. Depleted phosphate stores due to prolonged starvation, hypocalcemia, and hypokalemia can lead to impaired muscle contractility and subsequently weakness, myalgia, and tetany.

https://www.ncbi.nlm.nih.gov/pmc/articles/PMC4168120/

How well did you know this?
1
Not at all
2
3
4
5
Perfectly
11
Q

23.1 A 69-year-old man is dyspnoeic and complains of right shoulder tip pain whilst in the
postanaesthesia care unit after a laparoscopic-assisted anterior resection. A focused
thoracic ultrasound is performed and an image of the right lung is shown below. This
represents

A

Normal Lung

normal in M-mode
normal - sand on the beach

PTX - statosphere/barcode sign

Haemothorax - pleural effusion + echogenic material = haematocrit sign

Interstitial oedema - b lines
pneumonia - bronchograms - looks like liver

https://www.pocus101.com/lung-ultrasound-made-easy-step-by-step-guide/#Lung_Ultrasound_Signs_and_Findings

How well did you know this?
1
Not at all
2
3
4
5
Perfectly
12
Q

23.1 A 50-year-old man presents with a subarachnoid haemorrhage. He undergoes
cerebral angiography and the frontal view is shown below. His cerebral aneurysm is
in the

(exact image on exam)

a. Anterior choroidal
b. Anterior communicating artery
c. MCA
d. PCA

A

b) anterior communicating artery

https://case.edu/med/neurology/NR/SubarachnoidHemorrhageAComm3.htm

https://www.thieme-connect.com/products/ejournals/pdf/10.1055/s-0039-1681979.pdf

https://case.edu/med/neurology/NR/NRHome.htm (scroll down to subarachnoid imaging area)

How well did you know this?
1
Not at all
2
3
4
5
Perfectly
13
Q

23.1 A patient with idiopathic pulmonary hypertension has had a right heart catheter with
the following results The transpulmonary gradient is

(table of numbers from RHC given, including mPAP 40 and PCWP 13)

a. -4mmHg
b. 23mmHg
c. 27mmHg
d. 40mmHg
e. 50mmHg

A

MPAP – PCWP = Transpulmonary gradient

40-13 = 27

27mmHg

TPG = mPAP – PCWP

How well did you know this?
1
Not at all
2
3
4
5
Perfectly
14
Q

23.1 Desufflation after surgical pneumoperitoneum is NOT associated with an increase in

a) SVR
b) CI
c) EF
d) preload
e) LV work

A

a) SVR

How well did you know this?
1
Not at all
2
3
4
5
Perfectly
15
Q

23.1 A woman is having a potentially curative primary breast cancer resection. Compared
with a sevoflurane and opioid technique, using a regional anaesthesia-analgesia
technique with paravertebral block and a propofol infusion will result in

A) decrease cancer recurrance
B) decrease chronic pain and recurrence
C) decrease incision pain at 6 months
D) dec CPSP at 6 months
E) dec CPSP at 12 months
F) no impact on pain or recurrence

A

F) no impact

conflicting evidence

best paper we could find

https://pubmed.ncbi.nlm.nih.gov/31645288/

published in the lancet in 2019 and seems tailored to this question.

In summary, regional anaesthesia-analgesia by paravertebral blocks and propofol did not reduce breast cancer recurrence after potential curative surgery compared with general anaesthesia with the volatile anaesthetic sevoflurane and opioids for analgesia. The incidence and severity of persistent incisional breast pain was unaffected by anaesthetic technique. Chronic pain did not differ between the study groups at 6 months and 12 months

could also be:

e) reduced CPSP at 12 months

ANZCA pain book

https://www.bjaed.org/article/S2058-5349(18)30101-X/fulltext

For breast cancer surgery any form of regional anaesthesia (18 RCTs, n=1,297) reduces CPSP 3 to 12 months after surgery compared with systemic analgesia (OR 0.43; 95%CI 0.28 to 0.68) (NNT 7); specifically paravertebral block (PVB) (6 RCTs, n=419) is effective (OR 0.61; 95%CI 0.39 to 0.97) (NNT 11).

APMSE 2020:
Page Iv:
Following breast cancer surgery, paravertebral block (S) (Level I [Cochrane Review]) and lidocaine IV infusions *reduce the incidence of chronic postsurgical pain *(N) (Level I PRISMA]).

Page 349:
Paravertebral block for breast cancer surgery
For mastectomy, PVB reduces the risk of CPSP at 12 mth postoperatively (OR 0.43; 95% CI 0.28 to 0.68) (18 RCTs, n=1,297) (Weinstein 2018 Level I (Cochrane), 63 RCTs, n=3,027).

How well did you know this?
1
Not at all
2
3
4
5
Perfectly
16
Q

23.1 The main advantage of using noradrenaline (norepinephrine) over phenylephrine for
the prevention of hypotension as a result of spinal anaesthesia for elective
caesarean section is

a) Better APGAR
b) Better foetal acid-base balance
c) Less nausea & vomiting
d) Less maternal bradycardia

A

d) less maternal bradycardia (repeat)

“d) less maternal bradycardia (26 vs 42%)
- nil pt required anticholinergic so clinical significance unclear
No difference in N/V
No difference in hypotension
No difference in acid base profiles and APGAR at 1min and 5mins

https://www.bjanaesthesia.org.uk/article/S0007-0912(20)30442-6/fulltext
Norad vs phenyl in spinal LSCS 2020 BJA”

How well did you know this?
1
Not at all
2
3
4
5
Perfectly
17
Q

23.1 A feature of citrate toxicity following massive blood transfusion is

a. Hypotension
b. Metabolic acidosis
c. Hypokalaemia

A

Hypotension

Citrate is the anticoagulant used in blood products. It is usually rapidly metabolised by the liver. Rapid administration of large quantities of stored blood may cause hypocalcaemia and hypomagnesaemia when citrate binds calcium and magnesium. This can result in myocardial depression or coagulopathy. Patients most at risk are those with liver dysfunction or neonates with immature liver function having rapid large volume transfusion

https://litfl.com/citrate-toxicity/

Hypocalcaemia resulting in
long QT,
reduced inotropy,
hypotension
systemic hypocoag

Metabolic
Met alk with HCO3 formation
HAGMA with citrate accumulation
Hypernatraemia from Na citrate
Hypomag due to citrate chelation
Hypokalaemia due to low mag and met alk

How well did you know this?
1
Not at all
2
3
4
5
Perfectly
18
Q

23.1 Features of hypocalcaemia include all of the following EXCEPT

a. Polydipsia
b. Circumoral tingling
c. Long QTc
d. Laryngospasm
e. Hallucinations

A

a) polydipsia

Hypocalcemia varies from a mild asymptomatic biochemical abnormality to a life-threatening disorder. Acute hypocalcemia can lead to paresthesia, tetany, and seizures (characteristic physical signs may be observed, including Chvostek sign, which is poorly sensitive and specific of hypocalcemia, and Trousseau sign).

https://bestpractice.bmj.com/topics/en-us/160

polydipsia (occurs in hypercalcaemia) - stones (renal), (painful) bones, groans (abdo - N/V, constipation, GORD), psychic moans, thrones (polyuria, constipation)

Signs of Low Ca
CNS - mental status changes - circumoral tingling, tetany, confusion, memory loss, depression, delirium, hallucination, seizures
CVS - prolong QTc, arrythmia, hypotension
Airway - laryngospasm “

How well did you know this?
1
Not at all
2
3
4
5
Perfectly
19
Q

23.1 A non-obese adult patient is administered a target-controlled propofol infusion for more than 15 minutes, with a constant target plasma concentration of 4 μg/mL propofol. Compared to the Marsh model, the propofol dose given by the Schnider model will be a:

a) Smaller bolus smaller total dose
b) Smaller bolus larger total dose
c) Larger bolus smaller total dose
d) Larger bolus larger total dose
e) Smaller bolus same total dose

A

a) Smaller bolus smaller total dose

How well did you know this?
1
Not at all
2
3
4
5
Perfectly
20
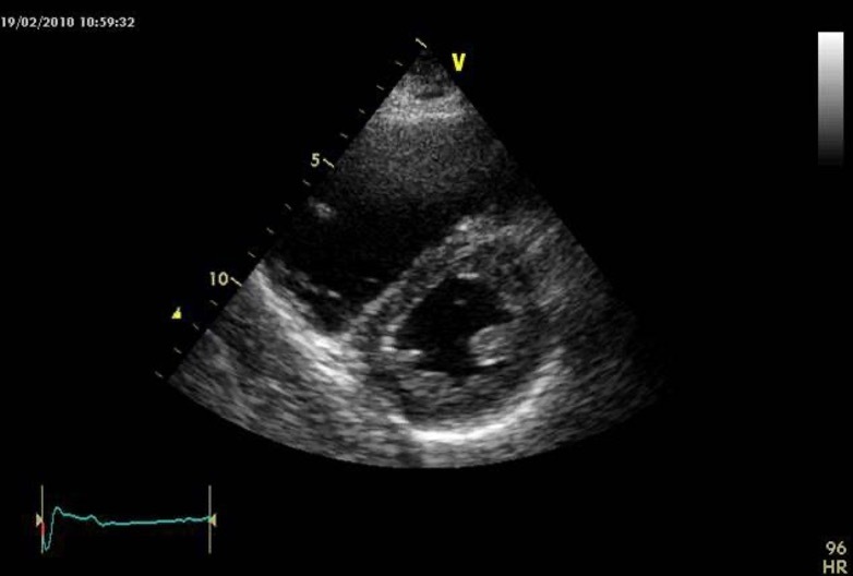
Q

23.1 You are called to assist in the resuscitation of a 75-year-old patient in the emergency
department who is in extremis with severe hypotension and hypoxaemia. The image
shown is of a focused transthoracic echocardiogram, parasternal short axis view.
The most likely diagnosis is

a) Pulmonary embolism
b) Anterior MI
c) Cardiac tamponade
d) Pneumothorax

A

a) PE

D-shaped left ventricle

ECHO features of PE
- RV dilatation
* End-diastolic diameter >30 mm inparastemal view
* RV larger than LV in sobcostal orapical view
* Small LV cavity size with normal LV systolic function
* Septal flattening consistent with RV pressure overload
* RV wall hypokinesis: Moderate or severe
* McConnell’s sign: Echocardiographic pattern of RV dysfunction consisting of akinesia of the mid free wall but normal motion at the apex”

How well did you know this?
1
Not at all
2
3
4
5
Perfectly
21
Q

23.1 In subarachnoid block for caesarean section, hyperbaric local anaesthetic compared
to regular local anaesthetic has been shown to reduce the

a. Decreased risk of total spinal
b. Analgesic properties
c. Faster onset of anaesthetic
d. Faster offset of anaesthetic
e. Less chance of inadequate anaesthetic

A

reduce onset time

c) faster onset of anaesthetic

https://pubmed.ncbi.nlm.nih.gov/28708665/ agrees with faster onset but for non obstetric surgery

UTD
hyperbaric bupivacaine because of its rapid onset and the option to modify the spinal level by changing the position of the operating table. Plain bupivacaine (ie, slightly hypobaric, prepared in saline) may also be used for spinal anesthesia for CD. The literature comparing safety and efficacy of hyperbaric with isobaric bupivacaine for CD is inconclusive

No difference in AE or inadequate analgesia (i.e. conversion to GA or additional analgesia)

https://www.ncbi.nlm.nih.gov/pmc/articles/PMC6457713/ 2016 Cochrane review”

How well did you know this?
1
Not at all
2
3
4
5
Perfectly
22
Q

23.1 Pulse pressure variation is defined as

a. 100x SBP max - SBP min / SBP min
b. 100 x PPmax - PPmax / PPmin
c. 100x SBP max - SBP min/ SBP mean
d. 100 x PPmax - PPmin / PPmean

A

d) 100 x PPmax - PPmin / PPmean

PPV >13% fluid responsive
2011 Anaesthesiology paper: 9-13% is grey zone
PPV <9% not fluid responsive
https://anesthesia.ucsf.edu/sites/anesthesia.ucsf.edu/files/wysiwyg/Pulse%20Pressure%20Variation.pdf “

How well did you know this?
1
Not at all
2
3
4
5
Perfectly
23
Q

23.1 The BALANCED Anaesthesia Study compared older patients having deep
anaesthesia (bispectral index target of 35) to lighter anaesthesia (bispectral index
target of 50). It assessed postoperative mortality, and a substudy assessed
postoperative delirium. These showed that, compared to light anaesthesia, deep
anaesthesia causes

a) Decreased mortality, no change in post op delirium (POD)
b) No change mortality, reduced POD
c) Decreased mortality, reduced POD
d) no change mortality, increased delerium

A

“Deep anaesthesia increases POD and no change in mortality
- Inclusion criteria: age>60, ASA 3/4, >2hr duration of surgery, hospital stay>2days
- delirium assessed for 5 days
- light anaesthesia prevented 1 in 10 cases of POD

https://www.bjanaesthesia.org/article/S0007-0912(21)00493-1/fulltext “

How well did you know this?
1
Not at all
2
3
4
5
Perfectly
24
Q

23.1 According to National Audit Project (NAP) 5, the incidence of awareness during
general anaesthesia for lower segment caesarean section should be quoted as

a) 1:700
b) 1:3,000
c) 1:8,000
d) 1:19,000
e) 1:36,000

A

a) 1:670 (or 1:700)

Overall 1:20 000
with NMBD (MC RF) 1: 8000 (136 000 without lol).
cardiothoracic surgery 1:8600
GA C/S 1:670
1:60 000 paeds
Higher risk: emergencies, cardiac, unexpected difficult airway, NMB, TIVA (two-fold)

2/3 experienced during induction or emergence
1/3 during maintenaince “

How well did you know this?
1
Not at all
2
3
4
5
Perfectly
25
23.1 A 75-year-old man has this right heart catheter trace as part of his investigation of dyspnoea. His pulmonary capillary wedge pressure is 24 mmHg. The most likely diagnosis is: A. Idiopathic Pulmonary Arterial Hypertension B. Portopulmonary Syndrome C. Left Heart Failure D. Pulmonary Embolism E. Pulmonary Fibrosis
C. Left heart failure causing PulmHTN Normal PAPs/d is 25/7. This would be classed as severe (55) - (if image is correct) PAWP >15 means ‘ post-capillary’ cause or combined pre- and post. This is either group 2 or 5. A PVR might help differentiate. All other options (group 1,3,4 and 5) would likely have a isolated ‘pre-capillary’ PAWP of <15 LITFL and blue book 2015 article
26
23.1 According to the ANZICS Statement on Death and Organ Donation (2021), for the diagnosis of brain death after resuscitation and return of circulation following cardiorespiratory arrest, clinical testing should be delayed for at least a. 12hr b. 24hr c. 36hr d. 48hr e. 72hr
b) 24 hrs
27
23.1 The glossopharyngeal nerve does NOT supply sensory innervation to the a. Anterior third of tongue b. Walls of pharynx c. Motor to stylopharyngeal muscle d. Pharyngeal plexus
a) anterior third of the tongue
28
23.1 The following pressure-volume loop is displayed on your ventilator screen. The shape of this loop indicates a. Over-expansion b. Under-expansion c. Normal ventilation d. PEEP too high e. PEEP too low
a) over-expansion https://www.respiratorytherapyzone.com/ventilator-waveforms/#:~:text=Note%3A%20A%20pressure%2Dvolume%20loop,hand%2C%20indicates%20increased%20lung%20compliance.
29
23.1 A patient has an acute attack of shingles (herpes zoster). The development of post-herpetic neuralgia can best be reduced by the administration of A. Ibuprofen B. Gabapentin C. Aciclovir D. Amitriptyline E. Oxycodone
D. Amitriptyline Amitriptyline (used in low doses for 90 days from onset of the herpes zoster rash) reduces the incidence of postherpetic neuralgia N.B Antiviral agents started within 72 hours of onset of the herpes zoster rash accelerate the resolution of acute pain (U) (Level I) but **do not reduce** the incidence, severity and duration of postherpetic neuralgia UTD Both Gabapentinoids and TCAs are effective at TREATING postherpetic neuralgia. The former have lower risk of discontinuation due to adverse side effects. For moderate or severe pain, use gabapentinoids.
30
23.1 An otherwise healthy child with a history of leukaemia four years ago, now in remission, has an American Society of Anesthesiologists (ASA) classification of at least a. 1 b. 2 c. 3 d. 4 e. 5
ASA 2
31
23.1 The Sequential Organ Failure Assessment (SOFA) score is used in intensive care for the assessment of sepsis. This score does NOT include the a. Bilirubin b. Platelets c. PaO2/FiO2 d. GCS e. Hypoglycaemia
e) hypoglycaemia
32
23.1 Causes of exhaled carbon dioxide detection following oesophageal intubation include all of the following EXCEPT a. Massive bronchopleural fistula. b. Carbonated drink. c. Vigorous bag valve masking previously. d. Previous gastric insufflation with CO2 for endoscopy. e. Tracheoesophageal fistula.
A Massive bronchopleural fistula. Nick Chrimes 2022 - Journal of Anaesthesia ‘Preventing unrecognised oesophageal intubation: a consensus guideline from the Project for Universal Management of Airways and international airway societies’ Causes of exhaled carbon dioxide detection despite oesophageal intubation No alveolar ventilation occurring -Prior ingestion of carbonated beverages or antacids -Gastric insufflation of CO2 for upper gastrointestinal endoscopy -Prolonged ventilation with facemask or poorly positioned supraglottic airway before attempting tracheal intubation -Bystander rescue breaths Some alveolar ventilation potentially occurring -Tracheo-oesophageal fistula with tube tip proximal to fistula -Proximal oesophageal intubation with uncuffed tube in a paediatric patient
33
23.1 Double sequential external defibrillation is performed by applying two shocks from a. Single set of pads, <1 second apart b. Single set of pads, <5 seconds apart c. Two sets of pads, <1 second apart d. Two sets of pads, <5 seconds apart e. Two sets of pads, simultaneously
c. Two sets of pads, <1 second apart For DSED, to avoid possible defibrillator damage caused by shocks applied at the same instant, a short delay (<1 second) between shocks was created by having a single paramedic depress the “shock button” on each defibrillator in rapid sequence (anterior–lateral followed by anterior–posterior) Among patients with refractory ventricular fibrillation, survival to hospital discharge occurred more frequently among those who received DSED or VC defibrillation than among those who received standard defibrillation. https://www.nejm.org/doi/full/10.1056/NEJMoa2207304
34
23.1 Diagnostic criteria for adult systemic inflammatory response syndrome include all of the following EXCEPT a. Leukopenia b. Hypothermia c. Tachycardia d. Tachypnoea e. Hypotension
e. Hypotension https://www.safetyandquality.gov.au/sites/default/files/2022-06/sepsis_clinical_care_standard_2022.pdf | SIRS criteria: 2 or more Temp >38 or <36 HR >90 RR >20 or PaCo2 <32 WBC
35
23.1 Cerebral salt wasting and syndrome of inappropriate antidiuretic hormone secretion (SIADH) have the following common features EXCEPT for a. High urinary concentration b. High urinary osmolality c. Increased extracellular fluid
c. inc extracellular fluid https://derangedphysiology.com/main/required-reading/electrolytes-and-fluids/Chapter%20531/hyponatremia-lazy-mans-classification ECF/fluid status differentiates the two ECF = Plasma volume + ISF; Key feature: CSWS - dehydrated w/ high urine output - ↓plasma volume SIADH - euvolaemic (or hypervolaemic) w/ low urine output ->↑ADH in both (appropriately 2o to hypovolaemia in CSWS, inappropriate in SIADH) ∴ -> hyponatraemia and low uric acid level in both https://www.ncbi.nlm.nih.gov/pmc/articles/PMC2912080/#:~:text=The%20key%20differentiation%20is%20that,CSW%2C%20despite%20correction%20of%20hyponatremia"
36
23.1 This Doppler trace obtained by transoesophageal echocardiography of the descending aorta suggests a. AS b. AR
b. AR https://litfl.com/oesophageal-doppler/
37
23.1 According to Australian and New Zealand Anaesthetic Allergy Group (ANZAAG) anaphylaxis guidelines for adults, cardiopulmonary resuscitation should commence at a systolic blood pressure of less than a. 70 b. 60 c. 50 d. 40
c) 50mmHg Initial Fluid bolus/adrenaline Gr 2: 500mL; 10-20mcg, then 50mcg if no response Gr 3: 1L; 50mcg-100mcg, then 200mcg if no response Gr 4: 2L >3 boluses of adrenaline -> start infusion (can be peripheral) Give 100% FiO2
38
23.1 To assist with guiding intravenous fluid resuscitation in adults with sepsis or septic shock, the 2021 Surviving Sepsis Guidelines suggest using any of the following EXCEPT a. PPV b. Response to straight leg raise c. Response to fluid bolus d. ECHO e. Urine output
E. Urine output For adults with sepsis or septic shock, we suggest using dynamic measures to guide fluid resuscitation over physical examination or static parameters alone. Weak recommendation, very low-quality evidence. Remarks: Dynamic parameters include response to a passive leg raise or a fluid bolus, using stroke volume (SV), stroke volume variation (SVV), pulse pressure variation (PPV), or echocardiography, where available. https://journals.lww.com/ccmjournal/Fulltext/2021/11000/Surviving_Sepsis_Campaign__International.21.aspx
39
23.1 Findings associated with massive pericardial tamponade include a. Electrical alternans b. Exaggerated collapsible IVC on ECHO during respiratory cycle c. Pulses alternans d. Kussmaul breathing
a) electrical alternans Physical findings in Tamponade: - A number of findings may be present on physical examination, depending upon the type and severity of cardiac tamponade - None of the findings alone are highly sensitive or specific for the diagnosis. Beck's triad 1. Low arterial blood pressure 2. Dilated neck veins 3. Muffled heart sounds - Are present in only a minority of cases of acute cardiac tamponade. Diagnosis: Clinical diagnosis is usually suspected based on the history and physical examination findings, which may include: ●Chest pain ●Syncope or presyncope ●Dyspnea and tachypnea ●Hypotension ●Tachycardia ●Peripheral edema ●Elevated jugular venous pressure ●Pulsus paradoxus - most common ECG finding is sinus tachy, electrical alternans in severe"" Pulsus alternans = arterial pulse with alternating strong and weak beats. Indicative of severe LV dysfunction (HF, cardiomyopathy) Kussmaul breathing: deep, laboured breathing in MA (DKA)
40
23.1 A patient will open her eyes in response to voice, speak with inappropriate words and withdraw to a painful stimulus. Her Glasgow Coma Scale score is a. 6 b. 7 c. 8 d. 9 e. 10
e. 10
41
23.1 The nerve labelled with the arrow in the diagram is the (diagram of the brachial plexus shown) a. Musculocutaneous b. Median c. Radial d. Ulnar e. Axillary
a) musculocutaneous RT - DCB; Read That Damn Cadaver Book Roots - Interscalene Trunks - Superior trunk Divisions - Supraclav Cords - Infraclav Branches - Axillary""
42
23.1 Burns sustained from electrocardiography equipment during magnetic resonance imaging (MRI) scanning are minimised by a. Low impedance ECG leads b. Wet skin c. Shaved skin d. Looped leads e. Ensure leads securely attached
e) ensure leads securely attached https://journals.lww.com/nursing/Citation/2006/11000/Cables_and_electrodes_can_burn_patients_during_MRI.12.aspx#:~:text=The%20radiofrequency%20fields%20that%20occur,enough%20to%20require%20plastic%20surgery. https://www.ahajournals.org/doi/10.1161/CIRCULATIONAHA.107.187256#d1e281 bullshit question. the radiographers in MRI had no clue
43
23.1 Despite two separate 300 IU/kg doses of heparin, you have failed to attain your target activated clotting time prior to instituting cardiopulmonary bypass. An appropriate option now would be to give a. More heparin b. FFP c. Dalteparin d. bivalirudin
b. FFP or recombinant ATIII concentrates (better) >600IU/kg heparin = heparin resistance (if cannot achieve ACT >480s) - may be due to ATIII deficiency or ^protein binding of heparin - aquired defiiciency can be due to recent heparin administration Heparin resistance: ACT >480s using 300-400IU/kg; generally up to 600IU/kg acceptable - can be due to AT deficiency (e.g. prior heparin), AT-independent or pseudoresistance"
44
23.1 A patient is suffering an acute myocardial infarction. Australian and New Zealand guidelines recommend the threshold for the use of supplemental oxygen is when the SpO2 falls below a. 88% b. 90% c. 93% d. 97% e. 100%
c) 93% ANZCOR suggests against the routine administration of oxygen in persons with chest pain.13 [2015 COSTR, weak recommendation, very-low certainty evidence] For persons with heart attack, routine use of oxygen is not recommended if the oxygen saturation is >93% [National Heart Foundation of Australia & Cardiac Society of Australia and New Zealand: practice advice]. AHA go with 90%
45
23.1 In a 20-year-old with cystic fibrosis, the most likely finding on pulmonary function tests is a. Mixed obstruction and restrictive pattern b. Restrictive with normal DLCO c. Restrictive with low DLCO d. Obstruction with reduced RV e. Obstructive with reduced FEV1
e. Obstructive w/ reduced FEV1 Mucous narrowing airways = obstructive Parenchymal damage = restrictive Obstructive PFP remains the most common pulmonary function pattern in adult CF and is associated with -decrease FEV1 & FVC/FEV1 For patients with CF, an obstructive pattern is generally seen, with a decrease in forced expiratory volume in 1 s (FEV1), and forced vital capacity (FVC) to FEV1 ratio. https://academic.oup.com/bjaed/article/11/6/204/263786 can have mixed pattern also
46
23.1 Self-report of pain in children is usually possible by the age of a. 2 yo b. 4 yo c. 6 yo d. 8 yo
b) 4yo 4 yo = wong baker faces score 3-18. 8 yo = Visual analogue scale. https://www.rch.org.au/rchcpg/hospital_clinical_guideline_index/Pain_assessment_and_measur ement/ APMSE 5 also
47
23.1 The dose of hydrocortisone that has equivalent glucocorticoid effect to dexamethasone 8 mg is a. 50mg hydrocortisone b. 100mg hydrocortisone c. 150mg hydrocortisone d. 200mg hydrocortisone e. 250mg hydrocortisone
c. 200mg hydrocortisone 200mg Hydrocortisone or 25mg Prednisolone Dex:pred:hydrocort conversion 4:25:100 8:50:200"
48
23.1 In preschool-aged children having tonsillectomy under general anaesthesia, delirium is more likely with the use of a. Inhalational anesthesia b. Remifentanil at end of case c. Dexamethasone d. Intranasal ketamine
a) inhalational anaesthesia https://resources.wfsahq.org/atotw/emergence-delirium-in-pediatric-patients/ occurs in 9-18% paeds - eye and ENT surgery at higher risk - higher incidence in preschool 2-5 years old (male), anxious patients, negative behaviour on induction TIVA better than Sevo in decreasing PoD https://academic.oup.com/bja/article/118/3/335/2999642 2017 review"
49
23.1 According to the Australian and New Zealand Anaesthetic Allergy Group (ANZAAG) guidelines for the investigation of a suspected anaphylactic reaction, serum tryptase should be measured at a. 0, 4, 12 b. 0, 2, 4, 24 c. 0, 1, 4, 24 d. 0, 4 , 6, 24 e. 1, 6, 24
c) 0, 1, 4, 24 Serum tryptase levels are recommended to be collected as soon as possible after the onset of symptoms and then at 1 hour, 4 hours and after 24 hours. https://www.anzca.edu.au/resources/professional-documents/endorsed-guidelines/anaphylaxis-guideline-2022.pdf
50
23.1 To provide anaesthesia to the medial malleolus, the key nerve to block is the a. Saphenous b. Deep peroneal c. Superficial peroneal d. Tibial
a) saphenous To block foot/ankle completely, need saphenous to complement popliteal sciatic nerve block"
51
23.1 The technique of airway pressure release ventilation a. Has a prolonged expiratory time b. Augments cardiac output in hypovolaemic patients c. Results in reduced mean airway pressures d. Augments Cardiac output in patients with LV failure
d. Augments Cardiac output in patients with LV failure Airway pressure release ventilation (APRV) is an open-lung mode of invasive mechanical ventilation mode, in which spontaneous breathing is encouraged. APRV uses longer inspiratory times; this results in increased mean airway pressures, which aim to improve oxygenation. Brief releases at a lower pressure facilitate carbon dioxide clearance. The terminology and methods of initiation, titration, and weaning are distinct from other modes of mechanical ventilation. The use of APRV is increasing in the UK despite a current paucity of high-quality evidence high intrathoracic pressure decreases the transmural left ventricular pressure, reducing the work of contraction and increasing cardiac output. In the context of hypoxaemia, a mode of mechanical ventilation that improves arterial oxygenation will improve myocardial oxygen delivery, myocardial function and cardiac output. As APRV is a spontaneous breathing mode, in addition to the benefits of spontaneous ventilation, reduced doses of sedative drugs can often be used, with subsequent reduction of requirement for vasoactive drugs and improvement in haemodynamic state. Airway pressure release ventilation (APRV) is an open-lung mode of invasive mechanical ventilation mode, in which spontaneous breathing is encouraged. APRV uses longer inspiratory times; this results in increased mean airway pressures, which aim to improve oxygenation https://www.bjaed.org/article/S2058-5349(19)30178-7/fulltext https://derangedphysiology.com/main/required-reading/respiratory-medicine-and-ventilation/Chapter%20518/airway-pressure-release-ventilation-aprv-ards
52
23.1 Application of a pacemaker magnet to a dual-chamber implanted pacemaker would be expected to convert the operating mode to a. AOO b. VOO c. DOO d. AAI
c) DOO The pacing mode will be DOO when the programmed pacing mode is a dual chamber mode, VOO when the programmed pacing mode is a single chamber ventricular mode, and AOO when the programmed pacing mode is a single chamber atrial mode.
53
23.1 In children, severe sleep apnoea is suggested by an apnoea-hypopnoea index greater than a. 10 b. 15 c. 20 d. 30 e. 40
a) 10 Paeds: 1-5 mild, 5-10 mod, 10+ severe (i.e. 1+ = OSA); 1 - 5 - 10 https://www.sleepfoundation.org/sleep-apnea/ahi ADULT (note scale always inclusive of lower number); 5 - 15 - 30 normal <5 mild 5-15 moderate 15-30 severe > 30 Apnoea = breathing stop or reduce to 10% of normal levels for 10 secs Hypopnea = airflow decreases by more than 30% for 10 seconds AHI = total apnoea+hypopnoea / total no. of hours asleep"
54
23.1 In a patient with glucose-6-phosphate dehydrogenase deficiency (G6PD), the intravenous agent that should be avoided is a. Methylene blue b. Indocyanine green (ICG) c. Iodine d. Dextrose
a) methylene blue "a) methylene blue G6PD deficiency most common enzymatic disorder of RBC --> enzyme G6PD generateds NADPH --> protects RBC from oxidative stress. G6PD deficiency -->haemolytic anaemia https://www.uptodate.com/contents/diagnosis-and-management-of-glucose-6-phosphate-dehydrogenase-g6pd-deficiency?search=G6PD%20deficiency&source=search_result&selectedTitle=1~150&usage_type=default&display_rank=1#H5" Drugs to avoid: Antibiotics Sulphonamides (check with your doctor) Co-trimoxazole (Bactrim, Septrin) Dapsone Chloramphenicol Nitrofurantoin Nalidixic acid Antimalarials Chloroquine Hydroxychloroquine Primaquine Quinine Mepacrine Chemicals Moth balls (naphthalene) Methylene blue Foods Fava beans (also called broad beans) Other drugs Sulphasalazine Methyldopa Large doses of vitamin C Hydralazine Procainamide Quinidine Some anti-cancer drugs
55
23.1 A new antiemetic reduces the risk of postoperative vomiting by 20%. In a population with a baseline risk of postoperative vomiting of 10%, the number needed to treat is a. 2 b. 5 c. 10 d. 20 e. 50
(base rate is 10%, experimental group is 8% (20% below 10%) therefore 100/ 2 = 50 or 1 divided by risk reduction population risk = 10/100 patients get PONV population risk + new antiemetic = 8/100 patients get PONV (8/100 as reduction by 20% with new drug) RR= 0.10-0.08=0.02 NNT= 1/RR =1/0.02 =50
56
23.1 The odds ratio is the measure of choice for a a. Case control b. Cohort c. RCT d. Epidemiological study
a) case control https://www.cdc.gov/csels/dsepd/ss1978/lesson3/section5.html
57
23.1 According to the categorisation system used in Australia and New Zealand for prescribing medicines safely in pregnancy, category X denotes drugs which are a. Drugs that absolutely must not be used for pregnancy. (absolute contraindication) b. Untested drugs in pregnancy c. Drugs safe in pregnancy
a. Drugs that absolutely must not be used for pregnancy. (absolute contraindication) https://www.tga.gov.au/australian-categorisation-system-prescribing-medicines-pregnancy
58
23.1 A patient is undergoing a posterior spinal fusion with somatosensory evokedpotential (SSEP) monitoring. Ischaemia is suggested by a. Increased amplitude, increased latency b. Increased amplitude, decreased latency c. Decreased amplitude, increased latency d. Decreased amplitude, decreased latency
c. Decreased amplitude, increased latency SSEP used for spine, intracranial, endovascular, carotid surgeries - stimulate peripheral nerves (ulnar/median/posterior tibial) Brainstem auditory evoked potential - post fossa surgery https://www.bjaed.org/article/S2058-5349(19)30019-8/fulltext 2019 BJA intraop neuromonitoring in paed spinal surgery"
59
The initial management for a seizure during an awake craniotomy is a. Cold saline irrigation b. Midazolam c. Propofol d. Phenytoin
a) Cold Saline Irrigation 1st line: Irrigation of the brain with sterile iced saline. 2nd line:Propofol bolus (10 to 20 mg IV) or midazolam (1 to 2 mg IV) to terminate seizure https://www.ncbi.nlm.nih.gov/books/NBK572053/"
60
23.1 An absolute contraindication to skin prick testing for the diagnosis of allergies is a. Pregnancy b. Severe dermatographia c. Concurrent antihistamine use d. Concurrent beta blocker e. Asthma
b) severe dermatographia ABSOLUTE CONTRAINDICATIONS to skin testing - no healthy skin (at all) - severe dermatographism - hx of severe non-immediate hypersensitivity - erythema multiforme, stevens johnson syndrome, toxic epidermal necrolysis, lucocytoclastic vasculitis, DRESS RELATIVE contraindication: - recent antihistamine use - severe asthma – b-blocker /ACEI (may worsen severe reaction - usually still continued) - should not be carried out on limbs affected by lymphoedema, paralysis, neurogenic abnormalities - pregnancy"
61
A 63-year-old man has undergone a right pneumonectomy for malignancy. Twelve hours postoperatively he suddenly develops profound hypotension and shock. Clinical examination reveals a raised central venous pressure. The most useful IMMEDIATE action would be to a. Turn left lateral b. Re-insert chest drain on operative site c. Tamponade
a) turn left lateral "suspect cardiac herniation - turn pt to non-operative side down and then return to OT ASAP https://www.bjaed.org/article/S2058-5349(19)30078-2/fulltext#secsectitle0135 2019 - mortality >50%; can occur in R - acute hypotension, shock, cyanosis, w/ SVC obstruction (chest pain/dyspnoea) PS: chest drains removed for 1min every hour to assess for haemorrhage (if unclamped for prolonged periods -> risk of acute mediastinal shift into empty hemithorax -> circulatory collapse" UTD: Cardiac herniation is usually seen within three days of surgery, presenting as sudden onset of hypotension and shock, cyanosis, chest pain, and superior vena cava syndrome. The acute event is usually preceded immediately by coughing, moving the patient, vomiting, or extubation. Treatment involves emergent surgery to reposition the heart and close the pericardial defect to prevent recurrence. ?bleeding Rapid filling of the PPS with blood can occur within 24 hours of surgery. This complication is more common after pleuropneumonectomy or pneumonectomy for suppurative lung disease. The clinical presentation may be with hypotension and shock due to the loss of intravascular blood volume. The mainstay of treatment is surgical reexploration and control of bleeding sources.
62
23.1 In cardiac surgery a low-normal central venous pressure and a low blood pressure with a hyperdynamic heart is suggestive of a. Hypovolaemia b. Vasoplegia c. Left ventricular dysfunction
b) vasoplegia Vasoplegia - vasodilatory shock post cardiac bypass - normal or high cardiac output state with low SVR causing organ hypoperfusion - within 24hrs if CI >2.2 AND SVR <800dynes - criteria non specific and found in other diseased states like adrenal insufficiency, sepsis, liver failure - main distintion being aetiology (ie. post bypass - likely vasoplegia, infection - sepsis) - ^ risks of vasoplegia if on ACEI / b-blockers / CCB; also w/ vasodilatory inotropes (e.g. dobumatine, milrinone)"
63
23.1 Expected features of Guillain-Barré syndrome include A. Descending paralysis B. Flaccid paralysis C. Unilateral leg weakness
b) flaccid paralysis Guillain–Barré syndrome (GBS) is an inflammatory disease of the PNS and is the most common cause of acute flaccid paralysis
64
23.1 A 36-year-old woman sustains an injury to her left arm and presents with pain. She informs you that she experiences unpleasant intermittent and spontaneous shooting sensations in her arm. This sensation is a. Dysaesthesia b. Allodynia c. Hyperalgesia d. Hyperaesthesia e. Paraesthesia
a. Dysaesthesia Chronic pain that may involve itchiness, burning, electric shock, or a general tightening in any part of the body. Allodynia Pain from stimuli which are not normally painful. The pain may occur other than in the area stimulated. Hyperalgesia is an abnormally increased sensitivity to pain Hyperesthesia is a condition that involves an abnormal increase in sensitivity to stimuli of the sense https://www.iasp-pain.org/resources/terminology/#:~:text=DYSESTHESIA,sen
65
23.1 In Australia and New Zealand, the proportion of blood donors who are cytomegalovirus (CMV) seropositive is a. 65 to 85 per million b. 650 to 850 per million c. 6.5 to 8.5 per hundred d. 65 to 85 per hundred
d. 65 to 85 per hundred Risk of acquiring CMV through a leucodepleted blood product is estimated at around 1 in 13,575,000. This compares to a community acquired risk where 85% of Australian adults are infected by the age of 40. 85% of australians are CMV positive by the age of 40 https://www.blood.gov.au/system/files/documents/cmv-blood-components.pdf CMV negative blood recommended for: pregnant women. May be considered for: transplant recipeints, chemotherapy, intrauterine RBC transfusion, premature or immunocompromised neonates,.
66
23.1 The sensory supply of the external nose is provided by all of the following nerves EXCEPT the A. Lacrimal B. Supratrochlear C. Infratrochlear D. Infraorbital E. Anterior ethmoidal
Lacrimal
67
23.1 Of the following drugs, the LEAST suitable for managing atrial arrhythmias in a patient with a left ventricular assist device is A. Metoprolol B. Amiodarone C. Digoxin D. Diltiazem
d) diltiazem Nondihydropyridine calcium channel blockers should be used cautiously in patients with HFrEF because of their negative inotropic effects, and the role of these agents in LVAD recipients remains unclear https://www.ahajournals.org/doi/10.1161/CIR.0000000000000673 Should also avoid sotolol Atrial arrythmia mx: - already on anticoagulation of LVAD - rate control: b-blocker (carvedilol, bisoprolol, metoprolol approved for HFrEF) + digoxin ↓hospitalisations -> NON-dihydropyridine CCB usually avoided due to negative inotropy effects (e.g. verapamil, diltiazem) (note amloDIPINE is a dihydropyriDINE) - rhythm control w/ amiodarone, sotalol (caution -ve introopy) - controversial if works. Ventricular arrhythmia: no antiarrhythmic drug better than ICD therapy for survival Amiodarone probably good (but beware SEs) AFlutter: ablation first-line (>95% success rate)"
68
23.1 A level two check of the inhalational anaesthesia delivery device does NOT include checking the A. Accurate delivery of volatile concentration from vaporiser B. Connection of vaporiser and seating C. Secure vaporiser cap D. Adequate filling of vaporizers E. Power to vaporiser
a) Accurate delivery of volatile concentration from vaporiser PS31 Level two check should be performed at the start of each anaesthetic list. 4.2.3.2 Inhalational anaesthesia delivery devices (vapouriser) 4.2.3.2.1 Ensure electricity is connected to vapourisers that require it. 4.2.3.2.2 Check the anaesthetic liquid level is within marked limits. 4.2.3.2.3 Ensure all filling ports are sealed. 4.2.3.2.4 Check correct seating, locking and interlocking of detachable vapourisers or casettes. 4.2.3.2.5 Test for circuit leaks with a cassette installed or for each vapouriser in the “on” and “off” state. 4.2.3.3 Check for machine leaks upstream from the common gas outlet or breathing system, using a protocol appropriate for the anaesthesia delivery system. One: detailed check (by trained personnel) of all systems (new or after service/repair) Two: at start of every anaesthetic list Three: prior to each pt (all anaesthesia personnel should be trained and accredited for two/three)"
69
23.1 A 30-year-old woman has her bipolar disorder well controlled with lithium therapy. The analgesic agent LEAST suitable for her is a. Tramadol b. Diclofenac c. Oxycodone d. Methadone
b) diclofenac LIthium perioperative concerns: - Prolongation of NMB - Reduction in anaesthetic agent requirement - Avoid NSAIDs - No withdrawl symptoms - Discontinue 24hrs before surgery NSAIDs differentially alter lithium concentrations by multiple mechanisms, and one of these is to reduce prostaglandin E2 BJA: perioperative advice for psychotropic drugs
70
23.1 You are planning to extubate a patient following airway surgery. The patient has FAILED the cuff-leak test when a. <110ml leak with cuff deflated b. >110ml leak with cuff deflated c. Audible leak with cuff deflated d. No audible leak with cuff deflated e. No audible leak with cuff pressure <30cm H2O
a. <110ml leak with cuff deflated approach is to use 110 mL or 10% of tidal volume as the cut-off https://litfl.com/cuff-leak-test/ "Normal cuff leak is >110ml (cuff leak volume = between inspiratory TV pre-deflation and average expiratory TV (after deflation) - average three lowest values over next six breathing cycles post-deflation - if <110mL associated with increased post extubation stridor - >110mL difference in exp TV before and after cuff down has NPV 98% for post extubation stridor (essentially rules it out in original study from 1996) - 2009 meta-analyses: absence of leak -> higher risk airway obstruction presence of a leak -> low predictive value; does NOT rule out obstruction absence of a leak should alert the clinician to a higher risk of upper airway obstruction; however, the presence of a leak has a low predictive value and does not rule out the occurrence of upper airway obstruction 2017 BJA postop mx difficult airway We define a ‘failed CLT’ as the RT being unable to identify air leak during auscultation. 2019 BMJ The positive cuff-leak test can, in a high percentage, predict post-extubation airway obstruction. However, due to its low to moderate sensitivity, a negative test cannot exclude potential complications after the patient has been extubated. GE cuff leak "
71
23.1 Under the NEXUS criteria, requirements to clear the cervical spine of trauma patients without radiographic imaging include all of the following EXCEPT A. No distracting injury B. No limitation in neck movement C. No midline tenderness D. No focal neurological deficit E. No altered level of consiousness
b) no limitation in neck movement One of the most commonly used mnemonics is “NSAID” which stands for: N eurological deficit S pinal tenderness A ltered mental status I ntoxication D istracting injury
72
23.1 You are called to recovery to review an 80-year-old woman after neck of femur fracture fixation performed under general anaesthesia with a fascia iliaca block. She has a history of mild dementia. She has become confused and agitated after initially being cooperative and is pain-free. The most appropriate drug therapy to manage her is intravenous a. Clonidine b. dexmedetomidine c. propofol d. midazolam e. haloperidol
e) haloperidol Bluebook - suggest antipsychotics with caution Mx - treat underlying cause - infection, pain, dehydration, metabolic derangement, constipation, urinary retention - antipsychotics (e.g. haloperidol 0.5mg-1 PO/IM/IV, quetiapine 25mg PO STAT = preferred w/ PD or demential w/ Lewy bodies) is first line for agitation but does not alter time course of delirium or modify its prognosis - avoid benzo - may worsen symptoms NOF surgery - 70% risk of post op delirium Post-op (usually days 2-5) - non pharm mx - re-orientation, sleep optimisation, mobilisation, nutrition - prophylactic antipsychotic (risperidone, olanzapine), melatonin"
73
23.1 The neurosurgical registrar has telephoned about a patient with a spinal cord tumour who is on the list for tomorrow. The registrar tells you the patient has Brown-Séquard syndrome (hemisection of the spinal cord). On clinical examination, below the level of the lesion, you would expect to find all EXCEPT ipsilateral A. Hyperreflexia B. Loss of tactile stimulation C. Paralysis D. Loss of pain/temperature E. Loss of vibration/proprioception
d) loss of pain and temperature Brown Sequard - lateral damage to the cord with ipsilateral loss of motor function, proprioception, light touch and contralateral loss of pain and temperature below level of injury
74
23.1 A technique which is NOT effective in providing analgesia for a sternal fracture is a A. Pecs 1 B. Pecs 2 C. Thoracic transversus plane block D. Subpectoral fascial plane block
A. Pecs 1 - between pecs major and pecs minor - blocks lateral and medial pectoral nerves Stenum innervated by interocostal nerves. All 3 options below can be used for sternal fracture PECS 2 - between pecs minor and serratous ant - blocks intercostal brachial, long throacic, intercostal III - VI nerve Subpectoral interfascial plane block - between pec major and interocstal Transverus thoracic plane block = parasternal plane block https://www.asra.com/news-publications/asra-newsletter/newsletter-item/asra-news/2020/05/01/how-i-do-it-transversus-thoracic-plane-and-pecto-intercostal-fascial-block "
75
23.1 A newborn baby is pale, limp, grimacing with stimulation, gasping weakly, and has a pulse rate of 90 beats per minute. This corresponds to an Apgar score of A. 1 B. 2 C. 3 D. 4 E. 5
C. 3 Appearance - pink > peripherial cyanosis > blue/pale Pulse - >100 > (<100) > absent Grimace - cry/active withdrawal > grimace > no response Activity - active motion (flexed arms/legs resisting extnesion) > some flexion > limp Respiration - strong cry/good breathing > irregular/shallow breathing, weak cry > apnoea "
76
23.1 A patient’s glomerular filtration rate is estimated at 35 mL/min/1.73m2. The patient’s chronic kidney disease can be classified as Stage a. 5 b. 4 c. 3a d. 3b e. 2
Category GFR ml/min/1.73 m2 Terms G1 ≥90 Normal or high G2 60-89 Mildly decreased* G3a 45-59 Mildly to moderately decreased G3b 30-44 Moderately to severely decreased G4 15-29 Severely decreased G5 <15 Kidney failure Assign Albuminuria category as follows: Albuminuria categories in CKD Category ACR (mg/g) Terms A1 <30 Normal to mildly increased A2 30-300 Moderately increased* A3 >300 Severely increased** Abbreviations: ACR, albumin-to-creatinine ratio; CKD, chronic kidney disease. *Relative to young adult level. **Including nephrotic syndrome (albumin excretion ACR >2220 mg/g) **Collectively referred to as “CGA Staging” REPEAT
77
23.1 Patients with rheumatoid arthritis and the most common form of atlantoaxial instability have a widened atlantodental interval. This is measured between the A. distance from posterior surface of dens to anterior surface of posterior arch of atlas B. distance from anterior surface of dens to anterior surface of posterior arch of atlas C. distance from posterior surface of dens to anterior surface of anterior arch of atlas D. distance from posterior surface of dens to posterior surface of posterior arch of atlas E. distance from anterior surface of dens to posterior surface of anterior arch of atlas
E. distance from anterior surface of dens to posterior surface of anterior arch of atlas The atlantodental interval is used in the diagnosis of atlanto-occipital dissociation injuries and injuries of the atlas and axis. The anterior atlantodental interval is the horizontal distance between the posterior cortex of the anterior arch of the atlas (C1) and the anterior cortex of the dens in the median (midsagittal) plane Normal values for anterior atlantodental interval are: radiographs: adults: males: <3 mm females: <2.5 mm 1 (although most authors describe <3 mm ref) children: <5 mm ref CT: adults: <2 mm Atlantoaxial subluxation ~25% of patients with severe RA - ~80 % ant subluxation (so atlas (C1) moves forward on axis (C2) - due to destruction of transverse ligament (>3mm distance is signficant) - worsened by neck flexion
78
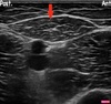
23.1 Reviewing the below image (ultrasound image shown), in order to safely perform an erector spinae block the probe needs to be moved (exact exam image) A. Move medial B. Move lateral C. Move superior
A. Move medial
79
23.1 Suxamethonium may be safely given to patients with a. Becker muscular dystrophy b. Friedreich’s ataxia c. Guillain-Barre d. Cerebral palsy e. Duchenne muscular dystrophy
d) myasthenia gravis or d) Cerebral palsy ->sux and volatiles are not contraindicated -> presence of extrajunctional receptors may cause hyperkalaemia if responses remembered incorrectly but of this list CP is probably the answer a. Becker muscular dystrophy -> essentially milder Duchenne's (see duchenne response to Sux) b. Cerebral palsy -> Sux and volatiles not contraindicated -> reduced MAC requirement -> increased sensitivity to muscle relaxants c. Guillain Barre -> sux contraindicated due to risk of hyperkalaemia -> increased sensitivity to Non depolarising NB d. Frederich’s ataxia -> sux should be avoided due to risk of hyperkalaemia e. Duchenne muscular dystrophy -> sux and volatiles contraindicated due to rick of hyperkalaemia and rhabdomyolysis In contrast to other neuromuscular disorders, succinylcholine may be used in myasthenia gravis. The required dose may need to be increased by up to two-fold, as those with the disease show a relative resistance to the drug. Sux is not recommended in patients with neuromuscular disease due to: 1. presence of extrajunctional receptors and risk of hyperkalaemia and rhabodmyolysis 2. fasiculations causing temperomandibular muscle spasm preventing intubation REPEAT
80
23.1 A 24-year-old man has been brought into the emergency department with a traumatic fracture of the femur. His observations are: heart rate 90 beats per minute; blood pressure 120/80 mmHg; respiratory rate 25 breaths per minute. A peripheral VENOUS blood gas sample shows a pH of 7.29. The arterial blood pH can be estimated to be A. 7.29 B. 7.32 C. 7.35 D. 7.4
B. 7.32 https://emj.bmj.com/content/18/5/340 The values of pH on arterial and venous samples were highly correlated (r=0.92) with an average difference between the samples of −0.4 units. There was also a high level of agreement between the methods with the 95% limits of agreement being −0.11 to +0.04 units. https://litfl.com/vbg-versus-abg/ VBG vs ABG pH + 0.035 PCO2 - mean difference +6mmHg; good correlation in normocapnoea (unreliable when PaCO2>45mmHg) Correlate well: HCO3-, Base Excess, Lactate - dissociation above 2mmol/L https://litfl.com/vbg-versus-abg/ "
81
23.1 The antiemetic action of aprepitant is via receptors for A. Serotonin B. Neurokinin-A C. Dopamine D. Substance P E. Glycine
D. Substance P Development of aprepitant, the first neurokinin-1 receptor antagonist for the prevention of chemotherapy-induced nausea and vomiting (2011) https://www.ncbi.nlm.nih.gov/pubmed/21434941 Aprepitant acts centrally at NK-1 receptors in vomiting centres within the central nervous system to block their activation by substance P released as an unwanted consequence of chemotherapy. REPEAT
82
23.1 In a 21-year-old man with an isolated acute severe traumatic brain injury, systolic blood pressure should be maintained at a level equal to or greater than a) 90 b) 100 c) 110 d) 120 e) 140
c) 110 Brain trauma foundation Level III recommendation. To decrease mortality and improve outcomes: Maintain SBP at >100mmHg for patients 50 - 69 Maintain SBP at >110 for patients 15 - 49 Maintain SBP at >110 for patients 70 or older
83
23.1 A patient you anaesthetised for a cervical fusion reports rapidly progressing unilateral visual loss commencing two days postoperatively. Fundoscopic examination reveals optic disc oedema. The most likely diagnosis is A. AION B. PION C. CRAO D. Vertebrobasilar stroke E. Retinal detachment
A. AION Answer is more likely ‘A - Anterior Ischaemic Optic Neuropathy, because: 1. Most common 2. One or two days post - up to 12 3. Optic disc oedema (CRAO - fundoscopic appearance is that retina appears pale with cherry red central spot). PION fundoscopy is normal at first but has late developing oedema. It is less common than AION. https://eyewiki.aao.org/Non-Arteritic_Anterior_Ischemic_Optic_Neuropathy_(NAION) Symptoms: The classic description of patients with AION presenting with acute, painless unilateral vision loss that is often described as a blurring or cloudiness of vision, often inferiorly, has been expanded. Although the majority of patients do not have accompanying pain, headache or periocular pain is reported in 8-12% of patients, which can make it difficult to differentiate from optic neuritis post op ischaemic optic neuropathy - most common cause of POVL after nonocular surgery - ^risk with cardiac, spine, orthopaedic, steep trendelenberg positions - anterior ION - more common with cardiac - posterior ION - more common with prone procedures, steep trendelenberg, cardiac - presents with painless b/l vision loss - risk factors for POVL with spine surgery - male, ^BMI, wilson frame, long duration, ^ blood loss - PION more common however only AION has fundoscopic changes -- AION - fundoscopy - swollen disc - can be uni or bilateral -- AION onset usually immediate after awakening but can also have onset a day or so afterwards - sudden unilateral or bilateral, progressive vision loss Central retinal artery occlusion - most common retinal cause of POVL - usually unilateraly and immediately after awakening from anaesthesia - fundoscopy - ischaemic retina + cherry red spot at macula https://www.uptodate.com/contents/postoperative-visual-loss-after-anesthesia-for-nonocular-surgery#H437018973 "
84
23.1 A patient requiring an elective major joint replacement has had a recent stroke. The minimum recommended duration between the stroke and surgery is a) 3 months b) 6 months c) 9 months d) 12 months
a. 3 months is the minimum time period for delay (one could argue that a major joint can wait 9 months but they specified minimum) Elective surgery should preferably be delayed for 9 months after a previous stroke; emergency surgery should not be delayed. - <3 months high risk (68-fold increase) cf. 9 months - ↓stroke/MI/death risk at 9 months
85
23.1 A multitrauma patient is being managed with a resuscitative endovascular balloon occlusion device of the aorta (REBOA) as part of damage control resuscitation. The balloon has been inserted for intractable pelvic bleeding. The most appropriate location for the device placement is between the A. Between artery of adamkiewicz to coeliac artery B. Between coeliac artery to renal artery C. Between lowest renal artery to bifurcation of aorta D. Between coeliac and bifurcation
C. Between lowest renal artery to bifurcation of aorta https://litfl.com/reboa-in-resuscitation/ Anatomy: The aorta is divided into three separate zones for the purposes of REBOA (aortic length varies between individuals) Zone I of the aorta extends from the origin of the left subclavian artery to the coeliac artery (approx 20cm long in a young adult male) Zone II extends from the coeliac artery to the most caudal renal artery (approx 3cm long) Zone III extends distally from the most caudal renal artery to the aortic bifurcation (approx 10cm long) REBOA location based on injury: >suspected or diagnosed intra-abdominal haemorrhage due to blunt trauma or penetrating torso injuries (Zone I REBOA), or >blunt trauma patients with suspected pelvic fracture and isolated pelvic haemorrhage (Zone III REBOA), or >patients with penetrating injury to the pelvic or groin area with uncontrolled haemorrhage from a junctional vascular injury (iliac or common femoral vessels) (Zone III REBOA) Simplistic rendering of aorta. Zone 1 (from left subclavian artery to the upper border of the celiac trunk), Zone 2 (the upper border of the celiac trunk to the lower border of the distal take-off of the renal arteries), and Zone 3 (from the lower border of the lower renal artery to the aortic bifurcation). Zone 1 is occluded in the case of cardiac arrest or life-threatening intra-abdominal hemorrhage; Zone 2 has no current indication; and Zone 3 is occluded in the case of life-threatening pelvic or lower limb haemorrhage7. REBOA Resuscitative Endovascular Balloon Occlusion of the Aorta.
86
23.1 Therapeutic privilege is defined as A. Withholding information to obtain consent B. Getting presents and money for treating someone. C. Not telling pt info because of their religious or cultural beliefs. D. Withholding information to the patient if you think it will cause harm
D. Withholding information to the patient if you think it will cause harm https://www.sciencedirect.com/topics/medicine-and-dentistry/therapeutic-privilege “Therapeutic privilege,” also known as “therapeutic nondisclosure,” is defined as the withholding of relevant health information from the patient if nondisclosure is believed to be in the best interests of the patient (President’s Commission, 1982; Berger, 2005). The two most common justifications for such nondisclosure are that the disclosure would create incapacitating emotional distress and that disclosure would violate a patient’s personal, cultural, or other social requirements (Crawley et al., 2001; Berger, 2005). ANZCA PG 67 - Therapeutic privilege - in an emergency, consent does not need to be obtained for treatment that will save a person's life or prevent sigfnicant harm or distress to the patient. - this applies WHEN patients lack decision-making capacity and their substitute decision maker is unavailable in a reasonable time frame to provide consent. - Advance care directives, where known, can be used to guide treatment."
87
23.1 A central venous catheter is recognised as being inadvertently placed in the common carotid artery five hours after insertion. The most appropriate management is A. Open repair B. Percutaneous repair C. Remove and put pressure on it.
a) Open repair Flow chart from Blue book https://jamanetwork.com/journals/jamasurgery/fullarticle/1741862 - recommended when injury is recognised >4hrs after cannulation or where no endovascular treatment service available Other options - percutaneous closure device, temporary balloon tamponade with concurrent external mannual pressure or external pressure alone (in palpable artery like common carotid) Current ASA guidelines - leave catheter in place (note all adult CVCs are ≥7 Fr) and contact general or vascular surgeon or interventional radiologist. Postpone elective surgery https://www.ncbi.nlm.nih.gov/pmc/articles/PMC9503793/ 2022"
88
23.1 The glucagon-like peptide-1 receptor (GLP-1) agonist semaglutide is associated with A. delayed gastric emptying B. hypoglycaemia C. hyperlactataemia
a) delayed gastric emptying
89
23.1 A five-year-old child weighing 25 kg is to be strictly nil by mouth overnight following a laparotomy. The most appropriate fluid prescription is a) 45ml/hr 0.9% NS 2.5% dextrose b) 65ml/hr 0.9% NS 5% dextrose c) 45ml/hr 0.45% saline with 2.5% dextrose d) 65ml/hr 0.45% saline with 5% dextrose e) 45ml/hr 0.9% NS 5% dextrose
e. 45ml/hr 0.9% NS 5% dextrose Total fluid requirement = maintenaince + replacement of deficit + replacement of ongoing losses - replace deficit over 24-48hrs (first 5% over 24hrs, then rest over next 24hrs). -> deficit (L) = weight change in kg (most accurate) ->Deficit (mL) = weight (kg) x % dehydration x 10 - ongoing losses replaced over 4hr period (or hourly if significant) Maintenance fluid = 4,2,1 rule (4mL/kg/hr for 1st 10kg, 2mL/kg/hr for 2nd 10kg, then 1mL/kg/hr after that; max 100mL/hr) = 65ml/hr - in all unwell children (acute CNS/pulmonary conditions, post op & trauma) - **2/3 maintenance rate due to ^ADH secretion (risk fluid overload/hyponatraemia)**
90
23.1 The following is a chest X-ray from a patient complaining of dyspnoea after thoracic surgery. The diagnosis is (not the image from the exam) A. Dextracardia B. Cardiac hernation C. LLL collapse D. Tension Pneumohorax
B. Cardiac hernation https://www.ahajournals.org/doi/10.1161/CIRCULATIONAHA.109.896829
91
23.1 A 65-year-old man with hypertension, type 2 diabetes and significant obstructive sleep apnoea on CPAP is scheduled for an abdominoperineal resection, with a high dependency unit admission planned postoperatively. He currently takes a calcium channel blocker, a sodium-glucose cotransporter 2 (SGLT2) inhibitor and metformin. ANZCA guidelines recommend withholding SGLT2 inhibitors A. Day of and 2 days prior B. Day of and 3 days prior C. Continue on the day of surgery. D. Stop day of surgery.
a) day of and 2 days prior For surgery/procedures requiring 1 or more days in hospital / colonoscopy requiring bowel prep - omit SGLT2i for at least 3 days (2 days pre-procedure and day of procedure) For day stay procedures (including gastroscopy) that does not require bowel prep - SGLT2i can be stopped just for day of procedure. Limit fasting before/after procedure https://www.diabetessociety.com.au/wp-content/uploads/2023/05/ADS-ADEA-ANZCA-NZSSD_DKA_SGLT2i_Alert_Ver-May-2023.pdf
92
23.1 A nerve that does NOT provide sensory innervation to the shoulder joint is the A. Axillary B. Lateral pectoral C. Subscapular D. Supraclavicular E. Suprascapular
d) Supraclavicular Axillary nerve innervates skin to inferior deltoid (regimental badge)+ motor to terres minor and deltoid. Lateral pectoral nerve innervates the anterosuperior part of the glenohumeral joint. Subscapular nerves - upper subscapular nerve serves the upper portion of the subscapularis muscle; the middle subscapular nerve (thoracodorsal nerve) innervates latissiumus dorsi; lower subscapular nerve innervates subscapularis and terres major. Supraclavicular nerve - sensory only and innervates skin across entire shoulder and trapezius in a ‘cape-like’ fashion - sometimes missed in interscalene block. Suprascapular nerve sensory innervation to glenohumeral joint and acromiovlavicular joint + motor to supraspinatus/infraspinatous (rotator cuff) https://pubmed.ncbi.nlm.nih.gov/32712453/
93
23.1 For a woman who has a history of preeclampsia in a previous pregnancy, the intervention with the best evidence for prevention of preeclampsia during future pregnancies is A. Aspirin 150mg daily B. Magnesium C. Heparin subcut D. Calcium
A. Aspirin 150mg daily (option was definitely 150mg not 100mg) or D. Ca Aspirin should be given at a dose between 75 and 150 mg per day, started preferably before 16 weeks, possibly taken at night, and continued until delivery; https://www.somanz.org/content/uploads/2023/06/SOMANZ_Hypertension_in_Pregnancy_Guideline_2023.pdf Calcium supplementation (1.5g/day) should therefore be offered to women with moderate to high risk of preeclampsia, particularly those with a low dietary calcium intake (247) - 100-150mg /day for moderate to high risk groups ideally before 16weeks gestation to K36 - NNT 61 Calcium 1.2-1.5g/day in high risk women where there is deficient calcium intake (<600mg/day) Mg, Zinc, salt restriction and antioxidants not supported https://www.health.qld.gov.au/__data/assets/pdf_file/0034/139948/g-hdp.pdf "
94
23.1 You are using intraoperative cell salvage during a high-risk caesarean section. The salvaged blood has been washed and reinfused through a leukodepletion filter. This process should remove all of the following EXCEPT A. Vernix B. Alpha fetoprotein C. Foetal RBC D. Amniotic fluid E. Foetal squamous cell
c) Foetal RBC All others removed with leukodepletion filter Leucocyte depletion filters are adhesive filters (removes 98-100% bacteria) - removes plasma phase elements of amniotic fluid, AFP (plasma protein in fetus), vernix and squamous cells, but RBCs still present - can cause bradykinin mediated hypotension - removes most cancer cells but not all (no evidence of increased recurrence of metastatic disease) No absolute contraindications to cell salvage. Relative contraindications - potential contamination of aspirated blood with bowel contents, infection or tumor cells (specific consent for latter).
95
23.1 In patients with primary adrenal insufficiency, a markedly elevated renin is most likely due to A Insufficient corticosteroid replacement B Insufficient fludrocortisone replacement C Excessive corticosteroid replacement D Excessive fludrocortisone replacement
b. Insufficient fludrocortisone replacement In Primary Adrenal Insufficency, cortisol deficiency results in decreased feedback to the HPA axis, leading to increased secretion of ACTH to stimulate the adrenal cortex. Simultaneously, MCs deficiency causes increased release of renin by the juxtaglomerular apparatus of the kidneys.
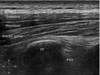
96
20.2 You are performing a regional block for analgesia following knee surgery. You have an ultrasound probe scanning the anterior mid-thigh. The muscle indicated by the arrow in the ultrasound image below is the A. biceps femoris B. Sartorius C. Gracillis D. Adductor longus E. Adductor magnus
Sartorius
97
23.1 A risk factor for the development of chronic postsurgical pain is having a. Age >65 b. Male c. Pain at site 1 month prior to surgery d. Higher SES
c. Pain at site 1 month prior to surgery Pain itself is a risk factor: the strongest predictors of CPSP are chronic preoperative pain and the severity of acute postoperative pain https://www.ncbi.nlm.nih.gov/pmc/articles/PMC5741327/#:~:text=Pain%20its CPSP - pain develoing or increasing in intesnity after a surgical procedure, in the area of the surgery, persisting beyond the healing process (~3mths) and not better explained by another rcause such as infection, malignancy or pre-exisiting pain condition.
98
23.1 According to the Fourth Consensus Guidelines for the Management of Post-operative Nausea and Vomiting (PONV) published in 2020, multimodal PONV prophylaxis should be implemented in adult patients a. For everyone b. 1 or more RF c. 2 or more RF d. 3 or more RF e. 4 or more RF
b) 1 or more RF Risk factors - female (MC), age<50, post-op opioids, hx PONV, non-smoker recommendation from new consensus guideline - 2 forms of prophylaxis for patients with 1-2 risk factors and 3-4 for more risk factors https://www.ashp.org/-/media/assets/policy-guidelines/docs/endorsed-documents/endorsed-documents-fourth-consensus-guidelines-postop-nausea-vomiting.pdf "
99
23.1 A patient with an acute subarachnoid haemorrhage arrives in the emergency department. Her Glasgow Coma Scale score is 10 and she has no motor deficit. A CT brain shows diffuse subarachnoid haemorrhage with no localised areas of blood greater than 1mm thick, and no intracerebral or intraventricular blood. Her World Federation of Neurosurgical Societies (WFNS) grade of subarachnoid haemorrhage is A. 1 B. 2 C. 3 D. 4 E. 5
D. 4 WFNS (based on GCS) (survival; based on GCS); FND = morbidity I – GCS 15 (70%) II – GCS 13-14 w/o focal neurological deficit (60%) III – GCS 13-14, focal neurological deficit (e.g. hemiparesis, aphasia) (50%) IV – GCS 7-12 (20%) V – GCS 3-6 (10%) * alternatively her Fisher score is: grade 2 (​diffuse thin (<1 mm) SAH, no clots; which estimates an incidence of symptomatic vasospasm of 25%) Note the new modified Fischer scale. G0 No SAH or IVH (0%) G1 Focal or diffuse thin SAH but no IVH (6-24%) G2 Focal or diffuse thin SAH with IVH (15-33%) G3 Thick SAH no IVH (33-35%) G4 Thicc SAH with IVH (34-40%) The main differences between the Fisher scale and modified Fisher scale are: 1) Fisher scale, no SAH is grade 1, but 0 in modified Fisher scale 2) Fisher scale, thin SAH & no IVH is grade 2, but 1 in modified Fisher scale 3) Fisher scale, thick SAH with no IVH is grade 3 and the same 3 in modified Fisher scale 4) Fisher scale, any IVH is grade 4, irrespective of the presence of SAH but in modified Fisher scale it is either 2 if thin or no SAH, or grade 4 if thick SAH REPEAT
100
23.1 ANZCA recommends that after confirmed COVID-19 infection, non-urgent elective major surgery should be delayed for a minimum of A. 4 weeks B. 5 weeks C. 6 weeks D. 7 weeks E. 8 weeks
2-3weeks if asymptomatic PG68(A) If not symptomatic: 2-3 weeks for major surgery. No delay if minor surgery (must be beyond infectious period as per local guidelines) If symptomatic: delay 7 weeks for major surgery clock starts from first symptoms or first positive test For most patients, it is safe to proceed with surgery TWO TO THREE WEEKS post SARS-CoV-2 infection provided no ongoing symptoms are present. For high-risk patients, it is recommended to perform an individualised risk assessment and utilise Shared Decision Making to determine optimal timing of surgery post SARS-CoV-2 infection. Patients who are asymptomatic, have returned back to baseline, are vaccinated, aged <70 years and without comorbidity can proceed with non-urgent elective minor surgery (day case) and endoscopy procedures without delay beyond the infectious period (timeframe as per local guideline and expertise ALL patient with ongoing symptoms, especially those who have not returned to baseline function and those patients with a history of moderate or more severe25 SARS-CoV-2 infection: recommended delay for non-urgent elective surgery is still 7 weeks
101
23.1 A 35-year-old woman is brought to the emergency department following a suspected amitriptyline overdose. She has a Glasgow Coma Scale score of 6 and her blood pressure is 90/46 mmHg. Her electrocardiogram is most likely to show A. AF B. CHB C. Sinus tachy with prolonged QRS D. Sinus brady with prolonged QRS E. VT
c. sinus tachy with prolonged QRS TCA overdose - toxicity develops 30mins post overdose, peaks 2-6hrs post. - 4 receptors antagonsim invovled - central and peripheral Ach receptors, alpha adrenergic receptors, norad and srototnin reuptake, fast sodium channels in myocardial cells - anticholinergic symptoms - agitation, restless, delirium, mydriasis (big pupils), warm skin, tachycardia, ileus, urinary retention (SLUDGE) - CVS toxicity - tachycardia, arrythmia, HTN, Hypotension (due to alpha blockade), broad complex tachy but can also develop bradycardia pre arrest) - CNS toxcicity - delirium, agitation, sedation, seizures, coma (often precedes CVS signs) - metabolic acidosis https://litfl.com/another-tca-overdose/"
102
23.1 Sacubitril use reduces the plasma levels of A. NT proBNP B. Angiotensin II C. BNP D. Neprolysin E. Bradykinin
a) NT ProBNP Sacubitrilat inhibits the enzyme neprilysin, which is responsible for the degradation of atrial and brain natriuretic peptide, two blood pressure–lowering peptides that work mainly by reducing blood volume. In contrast, in comparison with enalapril, patients receiving LCZ696 had consistently lower levels of NTproBNP (reflecting reduced cardiac wall stress) and troponin (reflecting reduced cardiac injury) throughout the trial. ## Footnote https://www.ahajournals.org/doi/10.1161/CIRCULATIONAHA.114.013748?url_ver=Z39.88-2003&rfr_id=ori:rid:crossref.org&rfr_dat=cr_pub%20%200pubmed
103
23.1 A drug that is NOT useful for the treatment of vasoplegic shock is A. Hydroxycobalamin B. Methylene blue C. Dobutamine D. vasopressin E. Dopamine
c. dobutamine - causes dose dependent vasodilation --> hypotension Vasodilatory shock - norad, vasopressin, methylene blue, angiotensin II, vitamin C, hydroxycobalamin (vit B12) (UpToDate) - norad, adrenaline, dopamine, terlipressin, angiotensin II, methylene blue (BJA) https://docs.google.com/document/d/1aIYS372hPVynvKXATrMBakn4T43vi2OoWqW-Vi4cjKw/edit?usp=sharing " ## Footnote UTD
104
23.1 A man has symptomatic carbon monoxide poisoning. His pulse oximetry (SpO2) and arterial blood gas (PaO2) would be expected to show a. Normal SpO2, Normal PaO2 b. Normal SpO2, reduced PaO2 c. Reduced SpO2, normal PaO2 d. Reduced SpO2, reduced PaO2
a. Normal - Normal A normal or high oximetry reading should be disregarded because saturation monitors cannot differentiate between carboxyhaemoglobin and oxyhaemoglobin, owing to their similar absorbances. The blood gas PO2 will also be normal in these cases (despite the presence of tissue hypoxia). SpO2 (pulse ox can't differentiate COHb and OxyHb) -> SpO2 not useful PaO2 (PaO2 reflects dissolved O2 in blood - not affected by CO) - only SaO2 (Hb-bound O2) is reduced (in presence of CO binding) https://www.uptodate.com/contents/carbon-monoxide-poisoning#:~:text=Diagnosis%20–%20The%20diagnosis%20of%20CO,in%20smokers%20confirms%20the%20diagnosis. " ## Footnote file:///Users/newuser/Downloads/BTS%20Guideline%20for%20oxygen%20use%20in%20adults%20in%20healthcare%20and%20emergency%20settings.pdf
105
23.1 A 60-year-old woman presents for thrombectomy with left lower leg ischaemia. She has not received any medications since presentation and takes none at home. The sole abnormality on laboratory testing is an activated partial thromboplastin time (APTT) of 52 seconds. The most likely cause of the raised APTT is a. Lupus anticoagulant b. Erroneous reading c. Cold agglutinins d. Factor VII deficiency e. Haemophilia A
A. Lupus anticoagulant (normal PT, raised APTT) Lupus anticoagulant (more likely to be associated with thrombosis than bleeding) "Lupus anticoagulant (i.e. antiphospholipid syndrome) - cause prolonged APTT, and is associated w/ thrombosis. BJA 2007 - Abs that block phospholipids important for coagulation Haemophilia A (VIII deficiency) and B can cause isolated prolonged APTT, but associated with bleeding (repeat MCQ 2017B – guy with dental bleeding). Cold agglutinins prolongs PT and APTT -> (IgM autoantiboidies against RBC antigens that bind at cold temperature --> haemolytic anaemia) Factor VII deficiency prolongs PTs w/ normal APTT " ## Footnote https://www.uptodate.com/contents/image?imageKey=HEME%2F79969
106
23.1 A diagnosis of metabolic syndrome is NOT supported by A. Impaired glucose tolerance B. High HDL C. Obesity D. High triglycerides E. Hypertension
b. high HDL-C 3 or more of: (5 H's) 1) Heavy: central obesity: waist >94cm men, >80cm women 2) HTN (>140/90) 3) High levels of triglycerides 4) HDL - low levels 5) High blood surgar (impaired fasting glucose or diabetes)" ## Footnote https://www.ahajournals.org/doi/10.1161/CIRCULATIONAHA.105.169405
107
23.1 The nerve most likely to be inadequately anaesthetised with an incomplete interscalene brachial plexus block is the A. Medial brachial cutaneous nerve B. Median… C. Supraclavicular D. Musculocutaneous nerve
a. medial cutanous brachial nerve C8/T1 roots are often missed. Therefore, interscalene blocks tend to fail on the ulnar side of the arm Medial brachial cutaneous nerve (C8-T1, arises from the medial cord of the brachial plexus): upper medial arm ## Footnote NYSORA
108
23.1 A 58-year-old man with alcohol-related cirrhosis is booked to undergo a transjugular intrahepatic portosystemic shunt (TIPS) procedure. The calculation of his MELD-Na score to estimate his mortality risk requires all of the following EXCEPT A. Sodium B. INR C. Cr D. Albumin E. Bilirubin
D. Albumin MELD-Na score components: (BICS) Bilirubin INR Creatinine Sodium (serum) Low serum sodium is an independent predictor of mortality in patients with cirrhosis estimates 90 day survival >15 - listed for deceased donor transplant. TIPS best if MELD <15" ## Footnote https://www.tamingthesru.com/blog/r1-diagnostics/labs-in-hepatic-failure
109
23.1 Following the insertion of a peripherally inserted central catheter (PICC) into the cephalic vein in the upper arm, the patient complains of numbness in their forearm. It is likely that during insertion the operator has injured the A. Median cutaneous antebrachial B. Median antebrachial C. Lateral antebrachial D. Posterior brachial E. Posterior cutaneous nerve (of the forearm)
"d) lateral antebrachila cutaneous N (continuation of musculocutaenous nerve) tracks behind cephalic vein in upper forarm and provides cutaneous innervation to forearm"
110
23.1 Ongoing cerebral seizure activity induced by electroconvulsive therapy should be medically terminated after a) 30s b) 60s c) 90s d) 120s e) 150s
d) 120s Optimal seizure duration somewhere between 10-120seconds. https://academic.oup.com/bjaed/article/10/6/192/299664 Apparently Oxford Handbook says 60 secs (MCQ TL) ""It is recommended that motor and/or EEG seizures lasting more than 120 seconds be terminated pharmacologically by a benzodiazepine (for example, diazepam or midazolam) or anaesthetic agent in consultation with the anaesthetist."" QLD Health ECT guidelines"
111
23.1 Of the following drugs, the LEAST likely to cause pulmonary vasodilation when used at low doses in patients with chronic pulmonary hypertension is a) Vasopressin b) Dobutamine c) Dopamine d) Milrinone
Dopamine - least likely to cause pulmonary vasodilation (all the others do to my knowledge) - From UP TO DATE: > At low doses of 1 to 3 mcg/kg per min, dopamine acts primarily on dopamine-1 receptors to dilate the renal and mesenteric artery beds > At 3 to 10 mcg/kg per min (and perhaps also at lower doses), dopamine also stimulates beta-1 adrenergic receptors and increases cardiac output, predominantly by increasing stroke volume with variable effects on heart rate. > At medium-to-high doses, dopamine also stimulates alpha-adrenergic receptors, although a small study suggested that renal arterial vasodilation and improvement in cardiac output may persist as the dopamine dose is titrated up to 10 mcg/kg per min *clinically, the haemodynamic effects of dopamine demonstrate individual variability Dobutamine (inodilator): - selective β1-agonist that increases cardiac contractility and reduces pulmonary vascular and systemic vascular resistances Vasopressin: - vasopressin may have pulmonary vasodilatory effects in addition to a systemic vasoconstrictive effect Milrinone (inodilator): - the phosphodiesterase-3 inhibitors, milrinone and enxoimone, have positive inotropic effects combined with the capacity to reduce RV afterload (‘inodilators’) without significant chronotropic effect, but they can be associated with significant systemic hypotension ## Footnote https://pubs.asahq.org/anesthesiology/article/121/5/914/13855/VasopressinThe-Perioperative-Gift-that-Keeps-on
112
23.1 According to the Revised Cardiac Risk Index, a 72-year-old male scheduled for a laparoscopic cholecystectomy with a history of hypertension, 20 pack-year history of smoking, type 2 diabetes requiring insulin and a previous stroke has a score of A. 1 B. 2 C. 3 D. 4 E. 5
C. 3 lap chole, insulin, stroke Not originally specified as open verse lap. One of the big critiques of the RCRI. https://www.bjaed.org/article/S2058-5349(18)30128-8/fulltext ## Footnote UTD
113
23.1 Cryoprecipitate contains coagulation factors A. 2, 8, 13, von willebrands B. 1, 7, 13 , von willebrands. C. 1,8, 13, von willebrands. D. 2, 7, 13, von willebrands.
C. Cryoprecipitate contains Factor VIII, XIII, fibrinogen (factor I), fibronectin, vWF Cryo - volume 10-20mL - fibrinogen (i.e. Factor I, 150-250mg) , F VIII, vWF, fibronectin, FXIII -> Cryo -> think VolksWagen (lucky unlucky one) - vWF, fibronectin - eight, thirteen, one). - not used to replace factors as factor concentrates and recombinant products are safer and better FFP - volume 250-300mL - fibrinogen (700-800mg) - all coag factors including II, VII, VIII, IX, X, XI, vWF" ## Footnote https://www.lifeblood.com.au/health-professionals/products/blood-components/cryoprecipitate
114
23.1 Three-factor prothrombin complex concentrate reverses warfarin therapy within A. 5 mins B. 15 mins C. 60 mins D. 120 mins
a) 15 mins 50UI/kg, Prothrombinex-VF is able to completely reverse a supratherapeutic INR within 15 minutes however, vitamin K is also required to sustain the reversal effect as the half-lives of the infused clotting factors are similar to endogenous factors. ## Footnote https://www.mja.com.au/journal/2013/198/4/update-consensus-guidelines-warfarin-reversal#:~:text=Prothrombinex%2DVF%20is%20able%20to,similar%20to%20endogenous%20clotting%20factors.
115
23.1 The difference between a size 5.0 microlaryngeal tube (MLT) and a standard size 5.0 endotracheal tube is that the size 5 MLT A. Smaller cuff B. Longer length C. Larger external diameter
Longer length Different cuff size/ length: The MLT® has a cuff size/ length that would be typical for an adult-sized 'standard' ETT. A 'standard' pediatric 5.0 endotracheal tube has a smaller cuff made for a pediatric-sized trachea (see picture below). Distance of cuff from tube tip: In an MLT® the cuff is further away from the tube tip which is acceptable as the adult trachea is obviously longer than the pediatric one (see picture below). - same diameters and larger cuff size (i.e. 5.0 MLT cuff would be typical for adult-sized standard ETT) - MLT cuff further away from tube tip - size of tube is internal diameter MLT = Massively Long Tube - for vocal cord surgery - beware high AWR -> high airway pressures - gas flow slow in expiration -> may need lower I:E ratio for complete expiration" ## Footnote https://aam.ucsf.edu/microlaryngoscopy-tube-mlt%C2%AE
116
23.1 A third heart sound at the apex may be heard in a) pulmonary stenosis b) pulmonary hypertension c) pericarditis d) pregnancy
d. pregnancy "S3 at apex normal in children, pregnant females, well trained athletes, but disappears before middle age. Can also be systolic heart failure (if re-emerges later in life) - during passive ↑LV filling (when blood strikes compliant LV) 'ventricular gallop' - can be severe MR/TR https://www.healio.com/cardiology/learn-the-heart/cardiology-review/topic-reviews/s3-heart-sound "
117
23.1 Consideration for same-day discharge in an ex-premature infant after orchidopexy for undescended testis would be suitable at a minimum postmenstrual age of A. 44 weeks B. 46 weeks C. 50 weeks D. 54 weeks
d. 54 Ex-preterm infants at risk of post-operative apnoea should not be considered for same day discharge unless they are medically fit and have reached a postmenstrual age of 54 weeks. Term infants should not be considered for same day discharge unless they are medically fit and have reached a postmenstrual age of 46 weeks.d) 54 weeks ## Footnote https://www.anzca.edu.au/getattachment/568bad2d-7517-4eea-9c5d-cb7aa1c60
118
23.1 A feature that is atypical of multiple sclerosis is A. Unilateral visual loss B. Aphasia C. Diplopia D. Lower limb motor E. Some sensory thing
B. Aphasia All can happen in pts with MS but aphasia is less common (more commonly associated with disease of grey matter) - only a handful of case reports in literature https://jamanetwork.com/journals/jamaneurology/fullarticle/777200 " ## Footnote UTD
119
23.1 A patient with severe abdominal trauma develops acute respiratory distress syndrome. A diagnosis of abdominal compartment syndrome is confirmed if the patient also has a sustained intraabdominal pressure greater than A. 10mmHg B. 16mmHg C. 20mmHg D. 24mmHg
c) 20mmHg Intra-abdominal hypertension is defined as a sustained intra-abdominal pressure of >12 mm Hg, and abdominal compartment syndrome occurs at a pressure >20 mm Hg in association with new organ dysfunction. Intra-abdominal hypertension is graded as follows: Grade 1=12–15 mm Hg; Grade 2=16–20 mm Hg; Grade 3=21–25 mm Hg; and Grade 4 >25 mm Hg. ## Footnote https://academic.oup.com/bjaed/article/12/3/110/258792
120
23.1 The tip of an ideally-placed intra-aortic balloon catheter should lie in the A. Distal to aortic root B. Distal to left subclavian artery C. Distal to left carotid D. Distal to renal veins.
B. distal to LSCA The appropriate performance of the IABP is dependent on proper position. Ideally, the tip of the balloon should be positioned 2–3 cm distal to the origin of the left subclavian artery (LSCA) https://radiopaedia.org/articles/intra-aortic-balloon-pump - femoral artery sheath extends to proximal descending aorta ~1cm below subclavian artery -> if left radialpulse lost -> balloon is too high - radio-opaque tip lies in 2nd intercostal space just above left main bronchus -> lower end of balloon cephalad to renal arteries" ## Footnote https://academic.oup.com/bja/article/110/2/316/228037
121
23.1 Tranexamic acid is NOT useful for managing A. Post cardiac bypass B. Neurotrauma C. PPH D. Trauma E. Upper GI bleed
E. Upper GI bleed Incompressible sites, large volume blood loss and mortality risk are a few of the things that made GI bleeds seem like a natural fit for TXA administration. Early research seemed promising, but trials were small. The HALT-IT trial examined over 15,000 patients to see if TXA reduced death [14]. Not only did TXA have no effect on mortality, it increased the risk of seizure and thromboembolic events. Take home: No demonstrated benefit with TXA in GI bleeding ## Footnote https://www.ems1.com/research-reviews/articles/understanding-txa-AFkqRLajUv46X7xV/
122
23.1 A 40-year-old woman is administered a nerve block for extraction of her right lower wisdom tooth. The nerve that should be blocked is the A. Mental B. Lingual C. Inferior alveolar
c) inf alveolar The conventional inferior alveolar nerve block is the most commonly used nerve block technique in dentistry The nerves anesthetized are the inferior alveolar, incisor, mental, and lingual nerves. The mandibular teeth to the midline, the body of the mandible, the lower part of the mandibular ramus, buccal periosteum and mucous membrane to the premolars, anterior 2/3 of the tongue, oral floor, lingual soft tissue, and the periosteum are all anesthetized Mental nerve is terminal branch of inf alveolar and exits mental foramen - innervates skin over lower lip and chin region ## Footnote https://www.ncbi.nlm.nih.gov/pmc/articles/PMC6218392/
123
23.1 An adult patient undergoing surgical aortic valve replacement is in ventricular fibrillation after the removal of the aortic cross clamp and requires internal defibrillation. It has been shown it is safe to deliver a charge of up to: a) 10J b) 20J c) 30J d) 50J e) 100J
"50J UK resus - defib Internal defib requires less energy. Biphasic more effective than monophasic. For biphasic shocks, use 10- 20 J, delivered directly to the myocardium through internal paddles. Monophasic shocks require approximately double these energy levels. Do not exceed 50 J when using internal defibrillation - failure to defibrillate at these energy levels requires myocardial optimisation before defibrillation is attempted again. Energy selection is automatically limited to a range of 2—50 joules when internal paddles are connected. Stryker PDI Make sure the maximum energy available is 50 Joules. Product PDI " ## Footnote https://www.ncbi.nlm.nih.gov/books/NBK499899/
124
23.1 During neonatal resuscitation, the pulse oximeter should be placed on the A. Right hand B. Left hand C. Right foot D. Left foot
Pre-ductal -> right "d) Right hand/wrist (pre-ductal): avoids right to left shunt of ductus arteriosus - reliable 90 secs after birth Post-ductal = either foot (preductal higher immediately after birth) Time after birth (mins) / targets: 1 / 60-70% 2 / 65 - 85% 3 / 70-90% 4 / 75-90% 5 / 80-90% 10 / 85-90%"
125
23.1 The causes of macrocytic anaemia include A. Liver failure B. Renal failure C. Thalassaemia D. Thyrotoxicosis E. Vitamin e deficiency
A A - Alcohol is a common cause of macrocytosis and macrocytic anemia. (UpToDate) B - No - normally nomrocytic chronic disease anaemia C - No - microcytic D - I can't find anything on macrocytosis with thyrotoxicosis, but hypothyroidism definitely does E - Possibly.... https://hemonc.mhmedical.com/content.aspx?bookid=1783§ionid=121720217 Causes of macrocytic anaemia: (lacking vit/B12, Thyroid/BM function, liver from alcohol) Vitamin B12 deficiency, folate deficiency Liver disease (↑cholesterol/phospholipids deposit on RBC -> ↑size), alcoholism Hypothyroidism Myelodysplastic disease Medication - for cancer, seizure, autoimmune disorrder ↑ RBC production to correct anaemia post blood loss "
126
23.1 The function of the (electrical) earth conductor in operating theatre patient monitoring equipment is to A. Prevent microshock B. Prevent electrocution
B - prevention of electrocution. BJA Education
127
23.1 The next patient on your endoscopy list is a 50-year-old woman who has been scheduled for gastroscopy and colonoscopy under sedation, after unsatisfactory proceduralist-supervised midazolam and fentanyl sedation in the past. She states that she has egg anaphylaxis and carries an adrenaline (epinephrine) auto-injector. The most appropriate agent to use for her sedation is A. Propofol B. Ketamine C. Remifentanil D. Sevofluarane
A The situation in adults is straightforward: there is convincing evidence that propofol is safe in patients who are allergic to peanut and/or soy and/or egg. BJA Ed https://academic.oup.com/bja/article/116/1/11/2566111 safe in egg anaphlaxis (and soy/peanuts). Shellfish/contrast allergy no ↑risk to povidone iodine ""Current literature supports the administration of propofol in patients allergic to egg, soy and peanuts. Patients with shellfish allergy or allergy to contrast material have the same risk of allergy to povidone iodine as the general population"". ANZCA 2021 bulletin Risk of anaphylaxis 1:10 000"
128
23.1 During standard diagnostic nocturnal polysomnography for investigation of obstructive sleep apnoea, apnoea is defined as cessation of airflow for A. 10 sec B. 20 sec C. 30 sec D. 10 sec with 3% desat E. 20 sec with 3 % desat
A Apnea is defined as the cessation of airflow for ten or more seconds. Hypopnea is defined as a recognizable, transient reduction, but not a complete cessation of, breathing for ten or more seconds. Hypopnea requires a 4% fall in SpO2 https://www.ncbi.nlm.nih.gov/books/NBK441909/#:~:text=Obstructive%20Sleep%20Apnea%20(OSA)%2C,for%20ten%20or%20more%20seconds.
129
23.1 A healthy woman is admitted to the obstetric unit with threatened preterm labour at 29 weeks gestation. Her blood pressure is 140/80 mmHg. A magnesium sulfate infusion is indicated for the purpose of A. Maternal seizure prevention B. Fetal lung development C. Foetal neuroprotection
C. Foetal neuroprotection (Mg infusion for 4g over 20 mins, then 1g/hr for 24hrs - further 2g over 5 mins if seizure during load) <30 weeks GA = fetal neuroprotection https://www.bjaed.org/article/S2058-5349(20)30114-1/fulltext 2020 BJA on pre-eclampsia https://www.health.qld.gov.au/__data/assets/pdf_file/0034/139948/g-hdp.pdf " https://www.kemh.health.wa.gov.au/~/media/HSPs/NMHS/Hospitals/WNHS/Documents/Clinical-guidelines/Obs-Gyn-Guidelines/Preterm-Labour-Magnesium-Sulphate-for-Neuroprotection-of-the-Fetus.pdf?thn=0#:~:text=MgSO4%20is%20only%20given%20to,4%20hours%20prior%20to%20delivery.
130
23.1 You are asked to review a 5-year-old child weighing 24 kg in the recovery room for acute pain management after a tonsillectomy performed for obstructive sleep apnoea. The most appropriate analgesic regimen would be Painstop formulation (codeine 1mg/ml, paracetamol 24mg/ml). (interestingly composition of painstop not included in the released stem but was on the day of the exam) A Painstop q6h PRN, ibuprofen, tramadol B Painstop q6h, oxycodone PRN C Paracetamol 300mg q6h oxycodone D Paracetamol 300mg QID, ibuprofen 200mg TDS, tramadol 20mg PRN
"b) paracetamol, ibuprofen, tramadol PRN PROSPECT guideline - Paracetamol + NSAIDS (pre op, intraop and postop) - single dose IV dexamethasone (For pain and antiemetic) - note ↑risk of reoperation but not ↑risk of bleeding - opioids for rescue in post op - preop gabapentinoids or intra op (peritonsillar) ketamine (for children) or intraop dexmed when basic analgesia contraindicated - adjuncts - dextramorphan, magnesium, acupuncture, honey - both work https://associationofanaesthetists-publications.onlinelibrary.wiley.com/doi/full/10.1111/anae.15299 " "DO NOT use codeine after andenotonsillectomy due to risk of apnoea/death (ANZCA pain) Note ibuprofen may ↑severity of haemorrhage post tonsillectomy Aspirin/ketorlac ↑risk of reop in adults, but not children Celecoxib optimal (selective) Note giving peritonsillar ketamine/tramadol or parenterally were similar in Pain Book"
131
23.1 The bioavailability of an oral dose of ketamine is approximately A. 10% B. 20% C. 40% D. 70% E. 80%
B. 20% 25% (a few studies have higher ranges but typically around 20-25%) https://doi.org/10.1192/bjp.bp.115.165498 Oral - 20% Subling - 30% IN - 40-50% IM - 93%
132
23.1 A patient presents for a transurethral resection of the prostate (TURP). He had a single drug-eluting coronary stent for angina pectoris inserted six months ago and is taking clopidogrel and aspirin. The most appropriate preoperative management of his medications is to a) Cease aspirin, continue clopidogrel b) Cease aspirin for 10 days, cease clopidogrel for 5 days c) Cease clopidogrel for 5 days, continue aspirin d) Cease clopidogrel for 10 days, continue aspirin e) Continue both aspirin and clopidogrel
C) Cease clopidogrel for 5 days, continue aspirin WFSA update document https://resources.wfsahq.org/wp-content/uploads/uia29-Perioperative-management-of-patients-with-coronary-stents-for-non-cardiac-surgery.pdf "b) cease clopidogrel for 5 days (high risk), continue aspirin 2016 AHA 1) Elective noncardiac surgery should be delayed 30 days after BMS implantation and optimally 6 months after DES implantation - if P2Y12 needs to stop, can consider surgery 3 months after DES if risk of further delay > risk of stent thrombosis -> Do NOT perform surgery <3 months post DES 1st year DES = riskiest; 1% risk after 6 mths of adverse cardiac events 2) If pts on DAPT (post PCI), and P2Y12 needs to stop -> continue with aspirin -> Spanish (European) guidelines say switch clopidogrel only to aspirin 2023 CHEST (see top right) - Elective surgery, DAPT for Stents within last 3-12 months, stop P2Y12 inhibitor (without bridging) "
133
23.1 Of the following, the drug that is LEAST likely to provide effective analgesia following paediatric tonsillectomy is A. Inhalational anesthesia B. Remifentanil at end of case C. Dexamethasone D. Intranasal ketamine or a. Ketamine b. Clonidine c. NSAIDs d. Paracetamol e. Dexamethasone
A. Inhalational anesthesia or b. Clonidine Prospect: two studies focused on tonsillectomy, and those did not show any additional analgesic effect of clonidine when used on top of adequate baseline medication after tonsillectomy. PROSPECT https://associationofanaesthetists-publications.onlinelibrary.wiley.com/doi/10.1111/anae.15299#:~:text=The%20basic%20analgesic%20regimen%20should,analgesic%20and%20anti%2Demetic%20effects.
134
23.1 A 72-year-old woman on aspirin therapy presents to her ophthalmologist for follow up three days after you performed a transconjunctival peribulbar block for cataract surgery on her left eye. She complains of painless periorbital swelling, erythema and mild chemosis which started the day after surgery but is improving. She also had a peribulbar block three weeks ago for surgery on the other eye. The most likely diagnosis is a. Retrobulbar haemorrhage b. Residual swelling from peribulbar block c. Periorbital cellulitis d. Hyalase/hyaluronidase reaction/allergy E. Conjunctivitis
d. Hyalase/hyaluronidase reaction/allergy https://www.ncbi.nlm.nih.gov/pmc/articles/PMC4850816/ " retrobulbar haemorrhage - will have ^IOP and decreased VA https://pubmed.ncbi.nlm.nih.gov/16362314/ 12-72hrs post cataract surgery: - axial proptosis, - periorbital erythema with swelling. Periorbital pain/itch - extraocular muscle (EOM) function restriction (5/5) - conjunctival chemosis (4/5). Retrobulbar haemorrhage: 2-3 hrs severe orbitalpain, periorbital ecchymosis, eyelid hematoma, ophthalmoplegia, proptosis, subconjunctival hemorrhage. Visual loss and RAPD +ve in orbital compartment syndrome Periorbital cellulitis = infection of eyelid and surrounding skin (swelling/pain/erythema)"
135
23.1 This 12 lead ECG shows A. Complete heart block B. Mobitz I C. Mobitz II D. LPFB + RBBB E. LAFB + RBBB
E Can't remember if this was the exact ECG but it had LAD
136
23.1 A 25-year-old woman has critical bleeding following major trauma. Her blood group is unknown. Fresh frozen plasma that she receives should ideally be from A. Any B. A C. B D. AB E. O
D - AB Group AB plasma or group A plasma that is high-titre negative can be given in an emergency when the blood group is unknown. Group AB plasma is universal but in short supply. Our guidelines say type A is appropriate as type AB is very rare. In neonates, infants under 1 use group AB. FFP - volume 250-300mL - fibrinogen (700-800mg) - all coag factors including II, VII, VIII, IX, X, XI, vWF - Deranged: preferably ABO-typed, as donor plasma may contain anti-ABO antibodies. Crossmatch/RhD not necessary"
137
23.1 The success rate of stopping smoking before surgery is NOT improved by a) Bupropion b) Clonidine c) Nortroptyline d) Varencicline e) SSRI
E - SSRIs ANZCA PG12 Background Paper
138
23.1 A woman who is to undergo a caesarean section reports that she is allergic to amoxicillin. The reaction is limited to a rash. For surgical antimicrobial prophylaxis, you should administer A. Cefoxitin B. Cefazolin C. Doxycycline D. Clindamycin
Cefazolin A first-generation cephalosporin is recommended, such as 2g intravenous cefazolin. The dose should be increased to 3g for women weighing over 120kg. Consideration should also be given to a repeat dose if the procedure is prolonged (over 3 hours). * For women with a history of immediate or delayed nonsevere hypersensitivity to penicillins, cefazolin, as above, remains appropriate. * For women with a history of immediate or delayed severe hypersensitivity to penicillins, use Clindamycin 600mg iv plus Gentamicin 2mg/kg iv. * For women colonised with Methicillin-resistant Staphylococcus aureas (MRSA) or at increased risk of being colonised with MRSA, add Vancomycin 15mg/kg iv. * Azithromycin may be considered at caesarean sections performed during labour or at least four hours after rupture of membranes (2). Administration of azithromycin 500mg has been shown to reduce a composite outcome of endometritis, wound infection or other infection (3). However, a strong recommendation in favour of routine use is not yet warranted given the concerns around the external validity of the paper, inducing resistance to azithromycin and possible effects on the establishment of the indigenous microbiome. According to MSH guidelines - alternate therapy If severe hypersensitivity - Teicoplanin 400mg IV (800mg if >80kg) + tobramycin 2mg/kg IV Lincomycin 600mg in practice"
139
23.1 Compared to a continuous epidural infusion, patient controlled epidural analgesia does NOT reduce A. cesarean section rate. B. Instrumental delivery. C. Total dose of local anaesthetic. D. height of block, motor block. E. clinical workload
"a) c/s rate Epidural does not affect c/s rate (with either type of epidural, compared to those without) Assoc/ decrease in instrumental deliveries in nulliparous females with intermittent bolus with no difference in C-section rate Lower concentration LA decreased rate of instrumental delivery (w/ less motor blockade & improved fetal outcomes) with similar levels of analgesia ANZCA blue book 2021 pg 195 PCEA vs continuous epidural infusion: - Decreased motor blockade - decreased total LA consumption - decreased workload - similar obstetric outcomes and analgesia
140
23.1 The use of erythropoietin before major surgery results in a) Less transfusion, same thrombosis b) Less transfusion, more thrombosis c) No change in transfusion or thrombosis d) No change in transfusion, more thrombosis
repeat a) Less transfusion, same thrombosis 2020 Cochrane review: Moderate-quality evidence suggests that preoperative rHuEPO + iron therapy for anaemic adults prior to non-cardiac surgery reduces the need for RBC transfusion and, when given at higher doses, increases the haemoglobin concentration preoperatively. The administration of rHuEPO + iron treatment did not decrease the mean number of units of RBC transfused per patient. There were no important differences in the risk of adverse events or mortality within 30 days, nor in length of hospital stay. Further, well-designed, adequately powered RCTs are required to estimate the impact of this combined treatment more precisely. https://www.cochrane.org/evidence/CD012451_use-erythropoietin-plus-iron-correct-anaemia-surgery-reduce-risk-blood-transfusion
141
23.1 Anaesthesia-induced rhabdomyolysis differs from malignant hyperthermia in that it is NOT a. Reduced Myoglobinaemia b. Less increase in ETCO2 C. Less muscle rigidity
a. Reduced Myoglobinaemia Repeat but its not myoglobinuria it was myoglobinaemia - There is NOT reduced myoglobinuria with AIR compared to MH (both have myoglobinuria) - There IS less increase in ETCO2 - There IS less muscle rigidity
142
23.1 Of the following, the drug which is most effective in the management of severe hyperthermia in serotonergic syndrome is A. Paracetamol B. Diazepam C. Dantrolene D. rocuronium
"d) rocuronium (as severe) - diazepam if mild #Hyperthermia in SS - mostly mediated by muscle hyperactivity - paracetamol, dantrolene ineffective - mild: topical cooling and benzos to ↓muscle activity - severe (>41.1 degrees) -> rhabdo, metabolic acidosis, DIC -> Rx = sedation, NDMB necessary (avoid suxamethonium due to hyperkalaemia) https://www.medsafe.govt.nz/profs/PUArticles/Dec2012Neuroleptic.htm#:~:text=However%2C%20NMS%20is%20characterised%20by,are%20indicative%20of%20serotonin%20syndrome "#Agitation/anxiety -> benzos #Autonomic instability - IV fluids for hypotension (helps with rhabdo as well) +/- direct acting (phenyl/norad/Adr) - HTN/Tachycardia -> esmolol and GTN (short-acting as unpredictable); dexmedetomidine also an option -> avoid hydralazine (inhibits MAO) and indirect (e.g. ephedrine, dopamine) -> unpredictable) Consider cyproheptadine (H1 antagonist) -> helps w/ symptoms and in severe presentations Algorithm on right from BJA 2020 https://www.bjaed.org/article/S2058-5349(19)30153-2/fulltext "
143
23.1 In order to minimise the risk of cardiac arrhythmia, surgical diathermy has been designed to operate with A. High frequency B. High amplitude C. Low frequency D. Low amplitude E. Using EES
A. High frequency
144
23.1 The medication most strongly associated with an acute primary hypotensive reaction following transfusion of blood products is A. Aspirin B. Metoprolol C. Hydralazine D. perindopril
* D. perindopril isolated hypotension is rare - most likely due to excess bradykinin, especially when bradykinin metabolism is inhibited (eg. In patients on ACEi) https://www.lifeblood.com.au/health-professionals/clinical-practice/adverse-events/hypotension " Acute hypotensive transfusion reaction (AHTR) is characterized by the abrupt onset of hypotension immediately after the start of transfusion and usually resolves when transfusion ceases. Recent studies have shown an association with pre-operative treatment with an angiotensin-converting enzyme (ACE) inhibitor https://www.lifeblood.com.au/health-professionals/clinical-practice/adverse-events/hypotension