25.1 Flashcards

(152 cards)

1
Q

When can prophylactic clexane be given post epidural catheter removal

a) 2 hrs
b) 4 hrs
c) 6hrs
d) 12hrs
e) 24hrs

A

NA or surgery - 12h
Catheter removal - 4h

How well did you know this?
1
Not at all
2
3
4
5
Perfectly
2
Q

Temperature measurement during cardiopulmonary bypass - ?most accurate

A) Nasopharynx
B) Oxygenator arterial outlet
C) Oxygenator venous inflow
D) Bladder temp
E) PA Cath

A

Oxygenator arterial outlet - most accurate during bypass
Nasopharynx - best surrogate during warming and immediately post bypass
PAC best overall

How well did you know this?
1
Not at all
2
3
4
5
Perfectly
3
Q

Giving DDAVP to VWD type 3
a) No effect
b) If they’ve had a positive challenge test

A

No effect

How well did you know this?
1
Not at all
2
3
4
5
Perfectly
4
Q

Which of the following have least effect on chronic pain following surgery
a. Ketamine
b. Duloxetine
c. Regional blocks
d. Gabapentinoids

A

Gabapentinoids - per APS PG

Duloxetine has L2 evidence

How well did you know this?
1
Not at all
2
3
4
5
Perfectly
5
Q

Parkinson’s patient on apomorphine infusion what is the most appropriate antiemetic?

a) Ondansetron
b) Droperidol
c) Metoclopramide
d) Cyclizine
e) Another dopaminergic drug

A
  1. Domperidone best
  2. Cyclizine

Ondansetron CI if on MAOi as will force 5HT down 5HT1/2 pathway

How well did you know this?
1
Not at all
2
3
4
5
Perfectly
6
Q

What has the most favourable number needed to treat (?for post op pain)

a) Paracetamol
b) Paracetamol + codeine
c) Paracetamol + ibuprofen
d) codeine
e) ibuprofen

A

Paracetamol + ibuprofen

Paracetamol + ibuprofen NNT = 1.5
Ibuprofen NNT = 2
Paracetamol + codeine NNT = 2.2
Ibuprofen + codeine NNT = 2.2
Paracetamol NNT = 3.5

How well did you know this?
1
Not at all
2
3
4
5
Perfectly
7
Q

When does deflation of an aortic balloon occur
a. Commencement of the T wave
b. Middle of the T wave
c. End of the T wave
d. R wave
e. S Wave

A

Inflate - peak of T wave
Deflate - peak of R wave

How well did you know this?
1
Not at all
2
3
4
5
Perfectly
8
Q

Best NNT for prevention of post-amputation pain

a) neuraxial
b) peripheral catheter
c) ketamine
d) gabapentinoid

A

Neuraxial analgesia has the strongest evidence for reducing the incidence and severity of chronic post-amputation pain.

How well did you know this?
1
Not at all
2
3
4
5
Perfectly
9
Q
  1. A 20kg child in ED requies IM Ketamine for procedural sedation, what is the ideal starting dose?
A

4mg/kg = 80mg

How well did you know this?
1
Not at all
2
3
4
5
Perfectly
10
Q

Suxamethonium peak IM onset time?
30sec
1min
2min
4min
5min

A

Onset: 3-4min
Peak: 4min
Duration: 10-30min

How well did you know this?
1
Not at all
2
3
4
5
Perfectly
11
Q

42) You puncture the thyrohyoid membrane to anaesthetise the airway. What nerve are you anaesthetising inferior to the epiglottis and superior to the cords?
a. Recurrent laryngeal
b. Lingual
c. Superior laryngeal
d. Inferior laryngeal
e. Glossopharyngeal

A

a) Internal branch of superior laryngeal nerve

How well did you know this?
1
Not at all
2
3
4
5
Perfectly
12
Q

Analgesia for sternal fracture
Which will work
Which wont work

PVB
Transvers thoracic plane
TED
Thoracodosal
Intercostobrachial
PECI or PECII
Sternal bed blocks
Intercostal n. block (ant)
Intercostal n. block (lat)
Serratus anterior

A

YES:
- Sternal bed blocks – superficial to transversus thoracis muscle
- Intercostal (ant)
- Paravertebral
- Erector spinae

NO
PECS block (lateral and medial pectoral nerves)
- serratus anterior
- Long thoracic (serratus)
- intercostal (lat)
- intercostobrachial
- thoracodorsal (lat dorsi)

How well did you know this?
1
Not at all
2
3
4
5
Perfectly
13
Q

Fibrinogen replacement during postpartum haemorrhage, what level to aim? vs below what level do you replace fibrinogen?

A

Aim Fib >2g/L
Always first to fall in obstetric bleeding. Consider replacing early.
E.g. obstetric trauma - give 4g fibcon stat

How well did you know this?
1
Not at all
2
3
4
5
Perfectly
14
Q

Max safe ropivacaine dose in adults

18mg/h
20mg/h
24mg/h
28mg/h
30mg/h

A

28mg/h

770mg/24h

Max dose bupivacaine 400mg/24h

How well did you know this?
1
Not at all
2
3
4
5
Perfectly
15
Q

ANZCA endorsed guideline of GLP-1 perioperative management
a) Do not cease periop and treat as unfasted
b) Cease 4 week
c) Cease 1 week
d) Various other options

A

Most patients may continue GLP-1 RAs

How well did you know this?
1
Not at all
2
3
4
5
Perfectly
16
Q

How to prevent microschock

a) Equipotential earthing
b) LIM
c) RCD
d) Fuse

A

Equipotential earthing ensures every conductive surface is at the same electrical potential.

➡️ No potential difference → no microshock, even if a leakage fault exists.

How well did you know this?
1
Not at all
2
3
4
5
Perfectly
17
Q

Intralipid dose/max dose?

A

1.5ml/kg bolus -> 15ml/kg/hr
- max dose 12ml/kg 20% intralipid

If cardiovascular stability not restored or an adequate circulation deteriorates can:
- repeat bolus at 5 and 10 mins
- Can double infusion rate to 30ml/kg/hr after 5 mins

How well did you know this?
1
Not at all
2
3
4
5
Perfectly
18
Q

Fluid status in children
Formula for fluid deficit (2)

A

Volume
= Δ weight in grams
= weight grams · % dehydration

How well did you know this?
1
Not at all
2
3
4
5
Perfectly
19
Q

Minimum current for VF macroshock

A

a) 100 mA

Micro shock 0.05-0.1mA

How well did you know this?
1
Not at all
2
3
4
5
Perfectly
20
Q

Abnormal capnogram trace
a) ETT cuff leak
b) Gas analyser partial disconnection
c) Unilateral lung transplant
d) Spont breathing during PPV

A

Gas analyser partial disconnection

How well did you know this?
1
Not at all
2
3
4
5
Perfectly
21
Q

Management of a can’t intubate, can’t oxygenate (CICO) scenario: when you inflate for 2sec breath, how frequently do you cycle breaths?

A

breath cycling during CICO cannula insufflation via Leroy rapid O2 device
-2s inflation Q30sec

NOT same as manual jet vent
- 1s inflate + 4s passive deflate
- I.e. 12bpm

How well did you know this?
1
Not at all
2
3
4
5
Perfectly
22
Q

Diabetes ANZCA document, which don’t require a higher control of 10 +- 2.5
a. Autonomic dysreflexia
b. Older than 75 years
c. Pregnancy
d. Hypo unawareness

A

Pregnancy = lower control
5 +/- 1 (i.e. 4-6mmol/L)

Usual = 7.5 +/- 2.5 (i.e. 5-10mmol/L)

How well did you know this?
1
Not at all
2
3
4
5
Perfectly
23
Q

Which of the following does not effect the defibrillation potential of an AICD?
a. Sotalol
b. Flecainide
c. Verapamil
d. Lignocaine

A

Sotalol if it is which does not increase the defibrillation threshold

No effect = procainamide, propafenone

How well did you know this?
1
Not at all
2
3
4
5
Perfectly
24
Q

Young male with burns.
First 24hrs.
Which of the following expected.

a) Increased cardiac index
b) Inc stroke volume
c) Increased PVR
d) Increased hepatic blood flow
e) Reduced SVR

A

c) Increased PVR

How well did you know this?
1
Not at all
2
3
4
5
Perfectly
25
Drug dosing in a morbidly obese patient - midazolam - LMWH - neostigmine - gentamicin - lignocaine IV vs RA/NA
Midaz: LBW LMWH: TBW Neo: ABW Gent: ABW Lig IV: LBW Lig RA/NA: no adjustment
26
Abnormal capnogram trace a) ETT cuff leak b) Gas analyser partial disconnection c) Unilateral lung transplant d) Spont breathing during PPV
ETT cuff leak
27
Clinical features in carcinoid heart disease MR AR TR MS AS
TR
28
Postoperative visual loss - painless - intact pupillary reflex - no RAPD a) vertebrobasilar ischaemia b) posterior ION c) retinal detatchment d) corneal abrasion
a) cortical vision loss ION & CRAO - painless - loss of pupillary light reflex - RAPD ION - delayed over few hours - progressive optic disc swelling - normal retina CRAO - noted on waking up - retinal pallor/oedema + cherry red spot (macula) - normal optic disc (Acutely)
29
SOFA score doesn't include Lactate GCS PF ratio Bili Plt
lactate
30
Hyperbaric o2 therapy - most common AE
Middle ear barotrauma #1 Sinus barotrauma #2 Transient myopia #3 PUL O2 toxicity (ROS) #4
31
In brain death testing, which is NOT a method of imaging? a) Intracerebral arterial catheter b) Radionucleotide scan c) CT angio d) MRI
D: MRI not in any guidelines Ancillary tests Cerebral angiography (4-vessel) i.e. intracerebral arterial catheter CT angiography (CTA) Radionuclide cerebral perfusion scan (“hollow skull” sign) Transcranial Doppler (TCD) (showing reverberating flow/systolic spikes) EEG (accepte in some guidelines)
32
Conns syndrome what happens to glucose, Na, pH and K
↓K+, ↑Na+, ↑pH, ↑BSL
33
Management of an inadvertently placed central line in the carotid artery - recognised on US before dilation and removed with pressure applied for 10mins, now what….
Withdraw Pressure 10min 24h neck/neuro obs CT carotids vascular referral
34
Arndt blocker- which port does the bronch go down?
Bronch - 0° BB - 45° Circuit - 90°
35
Medical air - what colour is the cylinder?
a) White body with black and white shoulder
36
Which one is NOT a risk factor for cardiac adverse events? Uncontrolled HTN Prev Hx cardiac failure IHD DM CKD
HTN Lee's RCRI Chichi (father) - CKD - HF - IHD - CVA - High risk surgery - IDDM
37
Methylprednisolone dose in TBI 0mg/kg 5mg/kg 10mg/kg 15 20
0
38
Takotsubo cardiomyopathy: What % of Takostubo CM patients fully recover to normal LVEF? a) 10% b) 20% c) 50% d) 75% e) 90%
90% apparnelty Approximately 70–80% of patients with Takotsubo cardiomyopathy recover to normal left ventricular ejection fraction, typically within weeks to months of onset.
39
Internal defibrillation Maximum joules?
50J (per paddle manufacturers) Start 10-20J
40
Why do we stop sitagliptin (DPP4i) in the perioperative period? a. Risk of eDKA b. Risk of hypoglycemia c. Aspiration risk d. Lactic acidosis e. Don’t withhold
Hard to say (potentially misremembered - hopefully question makes clear what stopping means) - only withhold on the day of surgery. All I could find is one old Japanese study showing higher rates of aspiration pnumonia.
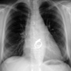
41
CXR showing valve replacement, which one is most cephalad a) Aortic valve b) Mitral valve c) Pulmonary valve d) Tricuspid valve
Aortic
42
STOP-BANG Strong suspicion of OSA cut-off Refer for sleep study cut-off AHI Severe cut-offs - adult - child
Sus 3 Refer 6 AHI severe: adult >30 paeds >10
43
Lambert-Eaton myasthenia syndrome Sensitivity to muscle relaxants - sux vs NDMR
Both increased - pre-synaptic anti-L-type-Ca2+ channel
44
What is the duration of action of carbetocin IV vs IM? a) 1 hrs b) 2 hrs c) 3hrs d) 4hrs e) 5hrs
IV 1hr IM 2hr Oxytocin 15-30min
45
A nerve that does not provide sensory innervation to the shoulder joint is the Axillary Lateral Pectoral Subscapular Supraclavicular Suprascapular
Supraclavicular
46
What is the likelihood of a p value equal to or greater than 0.05 for a study repeated with exactly the same conditions and same sample size that produced a p-value = 0.05? 5% 20% 50% 80% 95%
50% is safest assumption without knowing if it’s a normal distribution and given that we cannot reject the null hypothesis because p is NOT LESS than 5%. But the ANZCA retards are probably just checking that we know p=0.05% means 5% due to change 95% repeatability or something.
47
Which risk factor is the LEAST associated with extravasation of vasopressor? a) elderly b) neonate c) low infusion rate d) drugs below pH 5.5 e) diabetes
c) low infusion rate
48
A level 2 check of the inhalational anaesthesia delivery device does NOT include checking the... a) Integrity and correct seating of the vaporiser b) Presence and correct filling of the CO₂ absorbent c) Function of the oxygen analyser d) Scavenging system connection and patency e) Accurate delivery of volatile concentration from vaporiser
Level 1 - daily Level 2 - start of case Level 3 - annual engineer Vaporiser accuracy = Delivery of volatile concentration within specified tolerance (typically ±10–20% of dial setting) across a range of flows, temperatures, and back-pressures, measured against a calibrated reference standard.
49
Obesity in pregnancy is not associated w/ what?
Cholestasis
50
Refeeding syndrome - expected ECG changes
Low K+ -> TWI, U waves Low Mg2+ -> long QT, long PR Low PO4 -> long QT Bradycardia
51
During induction of anaesthesia, the oxygen analyser alarms and displays an FiO₂ of 0.21 despite the oxygen flowmeter being turned on. The oxygen pipeline pressure gauge reads normal. Which of the following explanations is MOST consistent with a medical gas pipeline system fault? a) Failure of the oxygen pressure regulator within the anaesthetic machine b) Nitrous oxide pipeline crossover at the wall outlet c) Depletion of the oxygen pipeline supply upstream of the zone valve d) Failure of the hypoxic guard (proportioning system) e) Incorrect calibration of the oxygen analyser
b) Nitrous oxide pipeline crossover at the wall outlet
52
Nerve stimulator to posterior cord what would you expect a) Elbow flexion b) Elbow extension c) Wrist extension d) Wrist flexion e) Thenar eminence
Wrist extension - radial n.
53
A person is taking 100mg BD of Tramadol What is the oral morphine equivalent? a. 20 b. 40 c. 60 d. 80 e. 100
OME tramadol = dose 0.2 200mg x 0.2 = 40mg Codeine 0.15 Tramadol 0.2 Tapentadol 0.33
54
A 34-year-old man is rescued from a house fire. He is confused, tachycardic, and has a lactate of 6.2 mmol/L. Pulse oximetry reads SpO₂ 99% on high-flow oxygen. Arterial blood gas shows PaO₂ 180 mmHg. Co-oximetry reveals carboxyhaemoglobin (COHb) 22%. Which of the following statements is MOST correct? a) The high PaO₂ excludes significant tissue hypoxia b) The pulse oximeter accurately reflects arterial oxygen saturation c) Carbon monoxide reduces oxygen delivery primarily by causing methemoglobinaemia d) Hyperbaric oxygen shortens the half-life of COHb and improves mitochondrial oxygen utilisation e) A COHb level of 22% mandates hyperbaric oxygen therapy in all patients
d) Hyperbaric oxygen shortens the half-life of COHb and improves mitochondrial oxygen utilisation 2amt ↓CO-Hb t1/2 to ~25min (from 4h) Hyperbaric O2 indications - >25% CO-Hb - >15% CO-Hb + Preg - ALOC - pH <7.1 - end organ injury
55
A 3-year-old child with single-ventricle physiology has undergone a bidirectional Glenn shunt. Which of the following statements regarding the post-operative circulation is MOST correct? a) Pulmonary blood flow is driven primarily by right ventricular systolic pressure b) Inferior vena caval blood flows directly into the pulmonary arteries c) Pulmonary blood flow is non-pulsatile and dependent on low pulmonary vascular resistance d) Coronary venous blood drains directly into the pulmonary circulation e) Atrial contraction is essential for maintaining pulmonary blood flow
C) Glenn shunt anatomy - SVC -> R PA - Blood flows into both PAs by passive venous flow as it bypasses the ventricle IVC still drains to the heart (until Fontan), but this does not reach PUL circulation due to pulmonary valve stenosis Norwood - Blalock-Taussig: R SC a -> R PA - Sano: RV -> PA Glenn - SVC -> R PA Fontan - IVC -> R PA
56
Least likely to affect thrombin time a) Bivalirudin b) Dabigatran c) Warfarin d) Clexane e) Heparin
Warfarin All else inhibit thrombin or mixed Xa & thrombin Dalteparin = direct F2 inhibitorr
57
Addition of vancomycin to cephalozin effect on SSI? a) Reduce by 20% b) Reduce by 40% c) No change d) Increase by 20% e) Increase by 40%
No change
58
Which causes the most gastric ulceration? a) Naproxen b) Ibuprofen c) Diclofenac d) Ketorolac e) Indomethacin
Different sources give - Ketorolac - kills the gut & kidneys - Indomethacin Diclofenac - you Die of CVS (TE) disease
59
Showing a modern chest drain, what do the numbers 1-5 represent a) Severity of air leak b) Suction c) Intrapleural pressure
Severity of air leak Bubbling at 1-2 → small persistent leak Bubbling rising to 4-5 → large bronchopleural fistula or system leak
60
LMA - minimum weight: iGEL vs classic - size 5 weight cut off iGEL vs classic
Minimum weight iGEL 2kg cLMA 2.5kg Size 5 iGEL > 90kg cLMA > 70kg
61
Intraosseous blood sample Which correlates best with IV Cl- Ca2+ WCC BSL Hct
Hct
62
Amiodarone dose 20kg child
5mg/kg - 100 mg
63
Paediatric SVT - DCCV dose a) 1 b) 2 c) 4 d) Other options
1j/kg -> 2j/kg -> 4j/kg
64
Anzca open disclosure framework's purpose includes all except a) Explanation to the patient b) Patient gets to be heard c) Opportunity to satisfy medical legal requirements d) Other reasonable-sounding options
c) Opportunity to satisfy medical legal requirements Expression of regret Factual explanation of what happened Opportunity for the patient (and family/carer) to be heard Explanation of steps taken to manage the event and prevent recurrence
65
What is not in beriplex? a) Factor 7 b) Factor 10 c) Factor 2 d) Protein S e) VWF
vWF
66
Driving pressure guided ventilation A 62-year-old man (PBW 70 kg) with moderate ARDS is mechanically ventilated, sedated, and paralysed. Current ventilator settings and measurements are: Volume-controlled ventilation VT = 420 mL PEEP = 10 cmH₂O Plateau pressure = 28 cmH₂O PaO₂/FiO₂ = 150 Static compliance = 30 mL/cmH₂O Which of the following interventions is most likely to reduce ventilator-induced lung injury according to the strongest available evidence? A. Increase PEEP to 15 cmH₂O to improve oxygenation B. Reduce VT to 5 mL/kg PBW without changing PEEP C. Increase respiratory rate to maintain minute ventilation D. Switch to pressure-controlled ventilation E. Accept current settings because plateau pressure is <30 cmH₂O
Probably B Increasing PEEP will reduce driving pressure Reduce VT to 5 mL/kg PBW without changing PEEP --> may drop Pplat Driving pressure = Pplat - PEEP Aim ΔP ≤ 15 cmH₂O ΔP helps identify if PEEP is helping Good PEEP: recruit lung → ↑ compliance → ΔP ↓ Bad PEEP: overdistension → ↓ compliance → ΔP ↑ Best evidence is in ARDS - high diriving pressure predict mortality
67
You have been managing a case of malignant hyperthermia in an 80 kg man and have given a total of 400 mg of dantrolene (Dantrium). The amount of mannitol you have also administered is a. None b. 1.6g c. 12g d. 40g e. 60g
400mg/20mg vials = 20 vials Contains 3g mannitol / vial 60g
68
A person with an allergy to mammalian beef will most likely to be allergic to a) Factor 7 b) Protamine c) Heparin d) Clexane e) Bivalirudin f) Prothrombinex
Heparin probably most correct F7 - hamsters Proatmine - salmon sperm Heparin - porcine Clex - chemical mod of heparin Bivalirudin - synthetic Prothrombinex - plasma
69
In hyperkalaemia, when does the maximum effect of 10mg nebulised salbutamol occur? a) 5min b) 15min c) 30min d) 4hrs
Peak 90min for 5mg per QCH Studies show faster onset with 10mg - so presumably earlier peak 30min
70
US picture superficial cervical plexus - what will result a) Anterolateral neck numbness b) Carotid sheath analgesia c) Phrenic nerve palsy
a)Anterolateral neck numbness Risks of DEEP cervical plexus block Vertebral a. puncture Neuraxial spread Phrenic n. block RLN block Brachial plexus block
71
A patient presents to ED after a TCA overdose with a potassium of 6.5 and a widened complex tachycardia. They are 80kg. What is the dose of bicarb?
1mL/kg = 80mL ANZCOR suggests sodium bicarbonate 8.4% 1 to 2 mL/kg up to 100 mL IV, every 3 to 5 minutes, titrated to a narrowing of the QRS complex (aim for serum pH 7.45 to 7.55). Maximum total dose is 6 mL/kg (6 mmol/kg) (expert advice on dosing required) (Good Practice Statement). Alternatively, or in addition hyperventilate an intubated patient aiming for a serum pH between 7.45 and 7.55 (maintaining PaCO2 between 30 and 35 mmHg) (Good Practice Statement).
72
Pressure-volume loop - cause
Over distension - bird beaking
73
Leucodepletion - benefits
All RBCS and platelets to remove > 99% white cells (WBC < 5 x 10^6 per unit). Reduces risk of: - CMV transmission - non-febrile haemolytic transfusion reactions - alloimmunization to human leukocyte antigents (HLA) - Reduce graft vs host disease (donor T cells attach recipient – failure of recipient immune system to recognise and eliminate donor t-cells due to immunosuppression or shared HLA antigens) - Yersinia enerocolitica contamination of RBCs - ? Prion disease Done using cellulose acetate filters
74
Bone cement implantation syndrome Which is not a RF - old - male - GA - previous BCIS - no previous instrumentation
Previous BCIS RFs Old Male No previous instrumentation ^vessels intact i.e. Hx BCIS not RF CVS/RESP disease e.g. PUL HTN Diuretics Pathological fracture Intertrochanteric fracture GA ↑ severity as loss of ability to compensate Long-stem arthroplasty Cement pressurisation
75
Graph of days in hospital vs frequency three lines needed to identify the mode mean and median
A: mode B: median C: mean
76
PONV is increased in paediatrics with age greater than or equal to a) 1 b) 2 c) 3 d) 4 e) 5
3
77
A patient is unstable with TDP on ECG but has a palpable pulse. What is the most appropriate treatment choice? a.Unsynchronised DCCV 50J biphasic b.Unsynchronised DCCV 200J biphasic c.IV Mg 2g over 10 minutes d.Synchronised DCCV 50J biphasic e.Synchronised DCCV 200J biphasic
Synchronised DCCV 200J Per ANZCOR
78
SGLT2 Inhibitors exert their effects via a. inhibiting glucose reabsorption in the renal tubules b. Increasing insulin sensitivity c. Increasing insulin release d. Decreasing GI absorption of glucose
a
79
FEV1 68%, FVC 94%, DLCO 94% - most likely Dx a. Asthma b. COPD c. Pulmonary fibrosis d. Pneumonia
68/94 = 72% Normal so probably asthma
80
Minimum weight for a microcuff ETT a) 1 kg b) 3 kg c) 5 kg
3kg
81
What bone is this a. Atlas b. Axis c. C2 d. Jugular bone
a. Atlas
82
Breast surgery: GA with volatile vs TIVA with regional a) neuropathic pain reduced 6 mo b) neuropathic pain reduced 12 mo b) reduced scar pain 6 mo c) no difference d) reduced cancer recurrence
Conflicting evidence APMSE 2020: For mastectomy, PVB reduces the risk of CPSP at 3-12 mth. Presuming neuropathic pain is a subset of CPSP. Subsequent studies showing no difference. A 2021 meta-analysis (Reg Anesth Pain Med) comparing PVB vs control for CPSP prevention after breast cancer surgery found: • Primary outcome (CPSP at 6 months): no difference between PVB and control (RR 0.82, 95% CI 0.62–1.08; “moderate quality” by GRADE).  • CPSP at 3 months and 12 months: similarly no difference (RR 0.78, 95% CI 0.57–1.06 at 3 months; RR 0.45, 95% CI 0.14–1.41 at 12 months).  • The authors’ stated conclusion includes: CPSP was not found significantly prevented by PVB after breast cancer surgery (with noted limits in included studies).
83
What is the youngest age for caffeine muscle biopsy testing for MH? a) 2yo b) 4yo c) 8yo d) 10yo e) 12yo
10yo Lack muscle mass and muscle bundles too fragile for reliable fresh sample testing. Also cant have GA and very painful as can’t use LA as confuses result.
84
Management of severe traumatic brain injury adult vs child SBP target CPP target ICP Mx threshold
SBP > 110mmHg (all except 50-69 year olds -> 100mmHg) CPP 60-70mmHg adults CPP 40-50mmHg children ICP treatment indicated  22mmHg adults  20mmHg children Seizures prophylaxis – kepra, phenytoin
85
Which condition can you not give indocyanine green? a) porphyria b) methhaemaglobin c) G6PH
None ICG is primarily contraindicated in patients with a history of iodine allergy, thyroid disorders (due to iodine content), or severe renal/liver failure (depending on the specific diagnostic use).
86
Which arterial line most likely to reflect coronary sinus in VA ECMO
a) Right radial artery
87
Characteristics of Manujet III jet ventilation system - max pressure
Start at 1 bar (max 2 – 500ml in 1 second). Ratio 1:4 1 second jet: 4 seconds off. Max = 3.5 bar = 350 kPa = 50 psi (just below 4 bar = pipeline pressure)
88
Core body temperature
IDC
89
How many hospitalizations to be classified GOLD E? a) 1 b) 2 c) 3 d) 4 e) 5
1 although guidelines have change again and E is just 1 or more mod-severe exacerbation (no indication of what that is)
90
What is the systolic blood pressure for intervention for an ischaemic stroke which has not had lysis or clot retrieval (did not comment if intervention was for increased or decreased BP) a) 140 b) 160 c) 180 d) 200 e) 220
140-220 i.e. >220
91
Pt is on fluoxetine, which drug has LOWEST risk of serotonin syndrome? tramadol oxycodone morphine fentanyl pethidine
morphine Fentanyl; Methadone: Medium risk Tramadol: High risk Morphine slightly lower than Oxycodone: Low risk
92
ANZCA guidelines for intraoperative BP measurement - how often
10 minutely or more frequently PG18
93
Lung anatomy - list the lobes
RUL - APA RML - LM RLL - LAMPS LUL - ASIA LLL - SLAP
94
Brugada syndrome - which drug is safe? a) Propofol b) Ketamine c) Lignocaine d) Amiodarone e) Thiopentone
safe = thiopentone, opioid, midazolam, volatile TOMS tombstone S for Sevo
95
Markers of severity of Myasthenia gravis does not include: a. FVC 2.8L b. Prydostigmine of 500 mg/day c. BMI of 30 d. Bulbar palsy e. Diagnosis >6y ago f. Laparotomy
BMI not included ---------------------------------------------------- Dx >6yr ago Pyridostigmine >750mg/d Preop VC < 2.9L or <50%pred Previous myasthenic crisis Bulbar palsy RESP comorbidity Major body cavity surg
96
A new antiemetic drug ‘X’ is being evaluated. The percentage of patients who suffered postoperative nausea and vomiting (PONV) after administration of either the drug ‘X’ or placebo is as follows: percentage of patients with PONV after drug X = 20%; percentage of patients with PONV after placebo = 25%. The number needed to treat (NNT) is a. 5 b. 20 c. 22.5 d. 25 e. 45
100 / (ARR) = 100 / 5 = 20
97
Topicalisation for paeds AFOI Max lignocaine dose Variety of doses based on provided weight, up to 9 mg/kg
4mg/kg per BMJ Edu [AAGBI 5mg/kg]
98
Mast cell tryptase testing - peak? - baseline? - formula to test for significant rise
Peak 1-2h Baseline ~24h Significant rise (upper limit of normal) = 1.2x baseline (24h) + 2µg/L ^if peak at 1hr exceeds this = mast cell degranulation
99
Oral bioavailability of ketamine a) 10% b) 20% c) 40% d) 80%
20%
100
Pin index system for oxygen a) 1,5 b) 2,5 c) 3,5 d) 1,6 e) 2,6
O2 - 2,5 CO2 - 2,6 Medical air - 1,5 Nitrous Oxide - 3,5
101
What nerve supplies this? Picture of the back of calf with bit blue coloured in. a) Sural b) Deep peroneal c) Superficial peroneal d) Lateral cutaneous nerve of the calf e) Saphenous
superficial peroneal
102
Emergence delirium is increased by all of the following except a) younger age b) parental anxiety c) bad interaction with medical professionals d) volatile anaesthetic
Technically lower risk with younger age - peak is 2-5 Bad interactions are a risk https://www.openanesthesia.org/keywords/emergence-delirium-in-children/#:~:text=Interactions%20with%20health%20care%20providers,1
103
Not involved in quality improvement cycle (PS58) a) Acting b) Doing c) Planning d) Benchmarking e) Checking
Benchmarking PDSA - plan - do - study (check) - act
104
Revised Trauma Score (RTS) Includes SpO2 HR pH Age >65 SBP
RTS - uses POC physiological data to determine severity - GCS, SBP, RR Score - 0-12 (12 best)
105
88) What is the correct order from most detrimental greenhouse gas to the least a. Des nitrous iso sevo b. Nitrous des iso sevo c. Des iso nitrous sevo d. Nitrous des sevo iso e. Sevo iso des nitrous
DINS GWP - Des Iso N2O Sevo
106
Indication for VV ECMO a) pulmonary contusion b) pulmonary htn c) right heart failure
Pul contusion PUL HTN - CI RHF - need VA ECMO
107
3) For placement of local anaesthetic for an erector spinae block, local should be deposited a. Anterior to the erector spinae muscle and posterior to the transverse process b. Anterior to the erector spinae muscle and adjacent to the transverse process and rib c. Deep the transverse process d. Superficial to the erector spinae muscle
a. Anterior to the erector spinae muscle and posterior to the transverse process
108
What foramen does the LA go through for sphenopalatine block? a) Greater palantine foramen b) Lesser palantine foramen
Sphenopalatine ganglion block Nasal: Sphenopalatine foramen → pterygopalatine fossa Oral: greater palatine foramen → pterygopalatine fossa
109
ECG of SVT w/ 40 yo with syncope or breathlessness a) Atrial fibrillation b) Lown-Ganong-Levine (LGL) Syndrome c) Previous Myocardial Infarction d) Wolf-Parkinson White Type B d) Left Ventricular Hypertrophy
Can't recal answer Lown-Ganong-Levine (LGL) syndrome is a rare heart condition characterized by a short PR interval and normal QRS complex on an ECG, caused by an extra electrical pathway (James fibers) bypassing the AV node, leading to episodes of rapid heartbeats (supraventricular tachycardia, atrial fibrillation).
110
Normal arterial oxygen saturation targets for premature neonate not immediately postpartum
90-95% Normal oxygen saturation (SpO2) for premature neonates generally targets a range of 90-95%
111
Fourth heart sound would be consistent with - healthy child - pregnancy - dilated CMP - LV hypertrophy - aortic regurgitation
LVH S4 = atria contracting against stiff ventricle in late diastole
112
Bivalirudin mechanism of action a) Direct thrombin inhibitor b) Factor Xa inhibitor c) Factor 2a inhibitor e) Platelet inhibition What is the MOA of Argatroban Bivalirudin Danaparoid Fondaparix
A & C ??? Argatroban 🚫IIa Bivalirudin 🚫IIa Danaparoid ✅AT3 → 🚫Xa >>> Iia Fondaparix ✅AT3→ 🚫Xa
113
In NAP which drug most likely to cause anaphylaxis Sux Rox Augmenting Teicoplanin Cysplatin
Teicoplanin
114
Cryoprecipitate - correct dosing formula - composition (5) - dose of fibrinogen in 10U
1U per 10kg Fibrinogen ~0.25g/unit = 2.5g in 10U Fibronectin F8 F13 vWF
115
Which drug will reduce efficacy of methadone - sodium valproate - omeprazole - carbamazepine - metronidazole - ciprofloxacin
CBZ Methadone metab: CYP3A4 + CYP2B6 Inducers: CBZ, phenytoin Inhibitors: SOMAC - sodium valproate - omeprazole - metronidazole - antifungals - ciprofloxacin
116
How to avoid gas-trapping with COPD during PPV a) Decreased RR b) Reduce TV c) Increase inspiratory time
a) Decreased RR inc. exp time
117
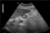
Gastric ultrasound Shows what a) Fluid less than 100 b) Fluid over 100ml c) Late stage solid d) Early stage solid
a) Fluid less than 100
118
OIVI risk factors do not include a. Diabetes b. Male c. Obesity d. PCA use
Male Female, pregnancy Old, obese, SDB DM, CKD, CLD RESP disease, neurological disease Opioid tolerant, naïve, alt metaboliser Morphine, PCA, IV
119
Addisonian crisis what happens to glucose, Na and K
↓BSL, ↓Na+, ↑K+
120
Shortness of breath in hepatopulmonary syndrome - what is Platypnoea
Short of breath when standing/sitting Better when lying flat (like a platypus)
121
Corticosteroid administration in anticipated preterm birth - gestation indicated (and why is it contraindicated beyond this) - ideal timing - dex vs betamethasone dose
Ideal timing <48h of birth <35/40 - Dex 24mg divided over 24-40h - Betameth 24mg divided over 12-36h <33/40 - Repeat 1/2 dose after 1w - foetal lung maturation [surfactant production] - ↓ intraventricular bleeds - ↓ necrotising enterocolitis AE: ↑BSL (caution DM) 🚫 PDA closure (CI >36/40)
122
Data set. What is the most appropriate method for analysis? a) Logistic regression b) Pearson correlation c) Spearmans rho
Correlation – how close dots are together Regression – line of best fit Pearson correlation -1 perfect negative correlation + 1 perfect positive correlation
123
Which leads to lower DLCO a) Sarcoidosis b) Asthma c) Obesity d) Anemia
Anemia definitely Sarcoid if severe
124
Intraoperative cell salvage - aCI (2) - rCI (3) - need LDF (2) - avoid (2)
aCI Patient refusal Haemoglobinopathy E.g. sickle cell rCIs Soiling Surgical debris Amniotic fluid LDF Sepsis need LDF Malignancy need LDF Avoid Routine obstetrics * SALVO trial Paeds ≤10kg
125
Dose of FFP to raise the fibrinogen by 1.0
a) 30 mL/kg
126
Hyponatremia Mx - SIADH vs CSW vs DI
SIADH - euvolaemic - fluid restrict ~1L/d + 3%NaCl CSW - hypovolaemic - IV NS + fludrocortisone + 3%NaCl DI - hypovolaemic - IVF + DDAVP
127
Which is mitral stenosis
E
128
3 year old presents to ED following a high speed MVA, regarding cervical spine management: a. Hard collar should be fitted b. CT is imaging of choice c. Sedation should be given to maintain spinal precautions d. A thoracic elevation device
d. A thoracic elevation device should be used used for <8yo – prevents neck flexion in supine paediatric patient hard collars outlawed CT yes <8yo but need XR first avoid sedation as confuse GCS assessment
129
What is an appropriate dose/volume for a caudal for an orchidopexy for a 2yr old a) Options were in mL/kg based on weight
1mL/kg
130
As per ANZICS minimum time from cardiac arrest to able to declare brain death - hours: a. 12 b. 24 c. 48 d. 72
Return of brain function may be delayed for more than four hours after resuscitation from cardiorespiratory arrest. It is therefore recommended that, in cases of acute hypoxic-ischaemic brain injury, clinical testing for brain death be delayed for at least 24 hours subsequent to the restoration of spontaneous circulation. Brain death may be determined prior to 24 hours by demonstration of absent cerebral blood flow”
131
16) Dose of salbutamol in a 8 year old a. 6 puffs b. 12 puffs
RCH Asthma Guidelines: 2-6 puffs if <6yo and 12 puffs if 6yo or older
132
Stem ? young person with a history of ?syncope or ?SVT a) Acute coronary syndrome b) LVH c) HOCM
HOCM - LVH: R svL + S V3 >20mm - LAxD - dagger Q waves V6, II, III, aVF - TWI V4-6 + I
133
A person is on regular 12 mg of oral hydromorphone per day, but is now unable to use the oral route and need parenteral opioid replacement. What is the IV morphine dose a) 10mg b) 20mg c) 30mg d) 40mg e) 50mg
12x5 = 60 / 3 = 20mg OME
134
Pulmonary function test in cystic fibrosis
Classically OBSTRUCTIVE [rarely restrictive unless late / severe disease]
135
How to quickly reduce CO2 in a Mapleson F with a FGF of 3L/min a) Increase ventilation b) Remove filter c) Increased FGF
c) increase FGF FGF should be 2-3x the patients minute ventilation in Mapleson F
136
Anatomy of the brachial plexus
Ulnar nerve
137
Transjugular intrahepatic portosystemic shunt (TIPS) Commonest early Cx postop - APO - PUL HTN - sepsis - bleeding - encephalopathy - stent thrombosis
Encephalopathy (20%) Bleeding (5-10%) Acute liver failure (5%) HF/APO ↑PL (1-5%) Sepsis (2-5%) AKI contrast load Stent migration Stent thrombosis
138
Human albumin 5% Concentration - Sodium - Potassium Is it hypo/hyper/iso tonic
Na+ 130-160 K+ <2 4–5% albumin Measured osmolality: ~260–300 mOsm/kg ISOTONIC
139
Ventilation strategy in an adult with Fontan circulation
Reduce RH AL - low PEEP - low VT - low INSP time
140
What Antibiotic prophylaxis should be given with a forceps delivery? a. None b. Cefazolin c. Cefazolin and Metronidazole d. Augmentin as a single dose
Augmentin (ANODE 2019)
141
An inverted u wave is an electrocardiographic sign of a) Hypocalcaemia b) Ischaemia c) Hypomagnesaemia d) Hypothermia
inverted = ischaemia
142
Awareness in NAP – which one most likely a) Cardiac surgery b) ENT surgery c) Neurosurgery e). NMB
Cardiac 1:8600 NMB - 1:8000 LSCS 1:670 - not available option
143
Magnesium sulphate prophylactic dose in obstetrics for pre-eclampsia
Load - 4g / 20min (16mmol) IVI - 1g/h (4mmol) + 2g/5min extra load only for HTN crisis / eclampsia
144
Anaesthesia-induced rhabdomyolysis Effect on serum Ca2+
Low (binds to phosphate in open/damaged myocytes mainly + also phosphate released into serum)
145
Intravenous ferric carboxymaltose - expected electrolyte abnormality - most common AE
Hypophosphatemia Skin discolouration - most common Other - fever, rash
146
Which drug crosses the blood-brain barrier? a) Edeophonium b) Neostigmine c) Pyridostigmine d) Physiostigmine
Mx of central anticholinergic syndrome - physiostigmine
147
Dose of salbutamol in 8yo a) 6 puffs B) 12 puffs
12 puffs >6yo
148
A patient presents to ED after a TCA overdose with a potassium of 6.5 and a widened complex tachycardia. They are 80kg. What is the dose of bicarb? a. 60 mL b. 100 mL c. 80 mL d. 10 ml
1mL/kg = 80ml
149
Flow volume loop (report states pressure vol loop?)
a) overinflation
150
Anorexia nervosa has cardiac arrest what electrolyte abnormality
a) Hypophosphatemia.
151
In hyperkaelamia, what is the duration of effect of 10mg nebulised salbutamol? a) 1 hour b) 2 hour c) 30 min d). 1.5 hour
RCH Duration: 2-3h Peak: 30min
152
Which of the following have least effect on chronic pain following surgery a) Ketamine b) Duloxetine c) Regional blocks d) Gabapentinoids
Gabapentinoids