25.2 Flashcards

(157 cards)

1
Q

Compared to a normothermic patient, a patient with mild intraoperative hypothermia (35.0 oC) will have:
a) pericardial
b) thoracic
c) perisplenic
d) perinephric
e) perihepatic

A

Question poorly remembered
- renal blood flow usually hit hardest but could also be perisplenic

How well did you know this?
1
Not at all
2
3
4
5
Perfectly
2
Q

Performing block of median nerve in cubital fossa. Which US probe to use?a) Curvilinear
b) Linear probe 8-12 Hz
c) Linear probe 5-10 Hz
d) Thinner probe
e) phased arrway

A

linear probe 8-12Hz

How well did you know this?
1
Not at all
2
3
4
5
Perfectly
3
Q

Phaeochromocytoma - which drug to avoid? a) metoclopramide
b) phentolamine
c) prazosin?
d) propofol
e) rocuronium

A

Metoclopramide
Dopamine-2 receptor antagonist
Causes ↑ catecholamine release from adrenal chromaffin tissue
Documented to precipitate hypertensive crises

Same goes for all DA antagonist e.g. haloperidol, respiridone

How well did you know this?
1
Not at all
2
3
4
5
Perfectly
4
Q

Intubate with 1mg/kg rocuronium.
Surgery ceases.
TOF count 0. PTC 2.
What dose sugammadex to give?

a) 1mg/kg
b) 2mg/kg
c) 4mg/kg
d) 8mg/kg
e) 16mg/kg

A

4mg/kg

How well did you know this?
1
Not at all
2
3
4
5
Perfectly
5
Q

Opioid induced ventilatory impairment. Which is NOT a RF?
a) female
b) sleep disordered breathing
c) congestive cardiac failure (or some sort)
d) opioid naiive
e) long acting opioids?

A

Hard to say
- APMSE doesn’t like naive but BJA does

Old, female, pregnancy
Obese, OSA/OHS, DM, HTN,
Renal/RESP/CVS/Neuro disease
Tolerant, alt metaboliser
Infusion, SR, multiple opioids
Multiple prescribers, poor monitoring

How well did you know this?
1
Not at all
2
3
4
5
Perfectly
6
Q

AFE diagnosis made via:
a) clinical diagnosis
b) cardiac monitoring of some sort
c) inflammatory complement system markers
d)Imaging of some sort? Think decreased LV function on echo

A

Clinical - diagnosis of exclusion

How well did you know this?
1
Not at all
2
3
4
5
Perfectly
7
Q

Quiescent IBD.
Which medication will prompt a flare?
a) paracetamol
b) ibuprofen
c) tramadol
d) celecoxib
e) Domperidone
f) Metoclopramide
g) Prochloperazine

A

“It is estimated that NSAIDs may cause clinical relapse in ∼20% of patients with quiescent inflammatory bowel disease (IBD).32

Coxibs do not appear to be associated with relapse of IBD, but caution should still be exercised.”
2023 BJA NSAIDs

How well did you know this?
1
Not at all
2
3
4
5
Perfectly
8
Q

Bronchopleural fistula pt in ICU. Which is the recommended ventilation strategy?
- 5 Options were 2 of 3 of TV/RR/PEEP (combos of high/low)
- Low TV and low rate
- high peep and high rate

A

https://litfl.com/bronchopleural-fistula/
strategy: controlled, assist control, intermittent mandatory
lowest possible TV
lowest possible PEEP
short inspiratory time
encourage spontaneous breathing

How well did you know this?
1
Not at all
2
3
4
5
Perfectly
9
Q

Re: site of CVL, subclavian lines have lowest complication rate of:
a) infection
b) pneumothorax
c) thrombosis
d) arterial puncture
e) infection and thrombosis

A

Infection and Thrombosis. https://www.ncbi.nlm.nih.gov/books/NBK557798/

How well did you know this?
1
Not at all
2
3
4
5
Perfectly
10
Q

What is the ASA status of a pt with a TIA from 2 years ago who has otherwise been well?
a) 1
b) 2
c) 3
d) 4
e) 5

A

3
https://www.asahq.org/standards-and-practice-parameters/statement-on-asa-physical-status-classification-system

How well did you know this?
1
Not at all
2
3
4
5
Perfectly
11
Q

In OT, what does the blue electric socket denote?

a) connected to backup power supply
b) cardiac protected
c) equipotential earthed
d) connected to uninterrupted power supply
e) connected to standard power point/RCD

A

d) connected to uninterrupted power supply

How well did you know this?
1
Not at all
2
3
4
5
Perfectly
12
Q

A 64 year old man presenting for elective surgery is on thyroxine 100 mcg daily.
His thyroid function tests are:
- TSH <0.05
- Both T4 and T3
within normal limits

a) Overtreatment
b) Subclinical hyperthyroidism
c) Sick euthyroid
d) Multinodular goitre
e) Previous hypophyseal resection

A

Subclinical Hyperthyroidism

Sick euthryoid
- normal TSH
- low T3
- normal T4

How well did you know this?
1
Not at all
2
3
4
5
Perfectly
13
Q

EMLA contraindicated in premature babies because

Lower cardiotoxicity

Lower neurotoxicity

Increased metHb

Increased sodium channel sensitivity

A

Methaemoglobinaemia

How well did you know this?
1
Not at all
2
3
4
5
Perfectly
14
Q

What volume of air is used for the cuff of classic LMA size 4 if the manometer is unavailable?
a) 20mL
b) 25mL
c) 30mL
d) 40mL
e) 15mL

A

30mL
Hint: (size x 10) - 10

The manufacturers recommend inflating the laryngeal mask cuff until the intracuff pressure reaches 60 cmH2O or to inflate with the volume of air not exceeding the maximum recommended volume (size 3, 20 ml; size 4, 30 ml) if a manometer is not available
https://pmc.ncbi.nlm.nih.gov/articles/PMC7206679/#:~:text=The%20manufacturers%20recommend%20inflating%20the,available%20%5B7%E2%80%9311%5D.

How well did you know this?
1
Not at all
2
3
4
5
Perfectly
15
Q

Brachial plexus picture

Median Nerve
Ulnar
Radial
Musculocutanous

A

Radial

How well did you know this?
1
Not at all
2
3
4
5
Perfectly
16
Q

Anterior ischaemic optic neuropathy. What is characteristic?
a) visual inattention
b) resolves fully within 24-48hrs
c) papillary oedema
d) Intact pupil reflex
e) painful

A

Papillary Oedema
= swollen optic disk

How well did you know this?
1
Not at all
2
3
4
5
Perfectly
17
Q

What is a risk factor for failed epidural blood patch for postdural puncture headache?
a) Using loss of resistance to air
b) Original dural puncture >5cm
c) Injection of epidural blood patch <48hrs after accidental dural puncture
d) Sitting up and performing
e) volume 20 mL used

A

Risk factors identified for failure include a history of migraine headache, accidental dural puncture at higher lumbar levels, and injection of epidural blood patch <48 h after accidental dural puncture.
BJA 2022 failed epidural

How well did you know this?
1
Not at all
2
3
4
5
Perfectly
18
Q

Which nerve innervates lower 3rd molar tooth?
a) Mental
b) Inferior alveolar
c) Lingual
d) superior alveolar nerve

A

Inferior Alveolar

How well did you know this?
1
Not at all
2
3
4
5
Perfectly
19
Q

According to Brain Trauma Foundation guidelines, what is the lower limit that adult GCS can be used?
a) 2 y/o
b) 4 y/o
c) 6 y/o
d) 8 y/o
e) 10 y/o

A

Adult GCS if ≥3yo
Otherwise paeds GCS

How well did you know this?
1
Not at all
2
3
4
5
Perfectly
20
Q

Paeds pt with distended abdomen. What is an indication for urgent transfer to theatre?
a) Pneumoperitoneum on CXR
b) Positive eFAST scan
c) Shocked at scene
d) Unresponsive to 20mL/kg blood during transfer

A

A) per peads surg team

b) need positive eFAST + critically unstable, otherwise would proceed to CT first

d) under-resuscitated, after no response to 40mL/kg would consider laparotomy

How well did you know this?
1
Not at all
2
3
4
5
Perfectly
21
Q

This type of tracheal tube is best described as a (picture of airway device shown)

(repeat of 20.1)a) Mini tracheostomy tube
b) South facing RAE
c) Laser tube
d) Laryngectomy tube

A

Rusch Larygoflex Reinforced Laryngectomy tube
https://www.teleflexarcatalog.com/anesthesia-respiratory/airway/product/121181080-rusch-laryngoflex-laryngectomy-tube

standard (non-reinforced) version
How well did you know this?
1
Not at all
2
3
4
5
Perfectly
22
Q

G6PD - what is the risk with giving methylene blue for shock?
a) Haemolytic anaemia
b) Serotonin syndrome
c) methaemoglobinuria

Careful with methelene blue in preterm neonates < 37 weeks because

Risk methaemaglobinaemia
Increased absorption
Lower threshold cardiotoxicity
Lower threshold neurotoxicity

A

G6PD: Haemolytic anaemia

Neonates:
Immature reductase systems
→ paradoxical methaemoglobinaemia

How well did you know this?
1
Not at all
2
3
4
5
Perfectly
23
Q

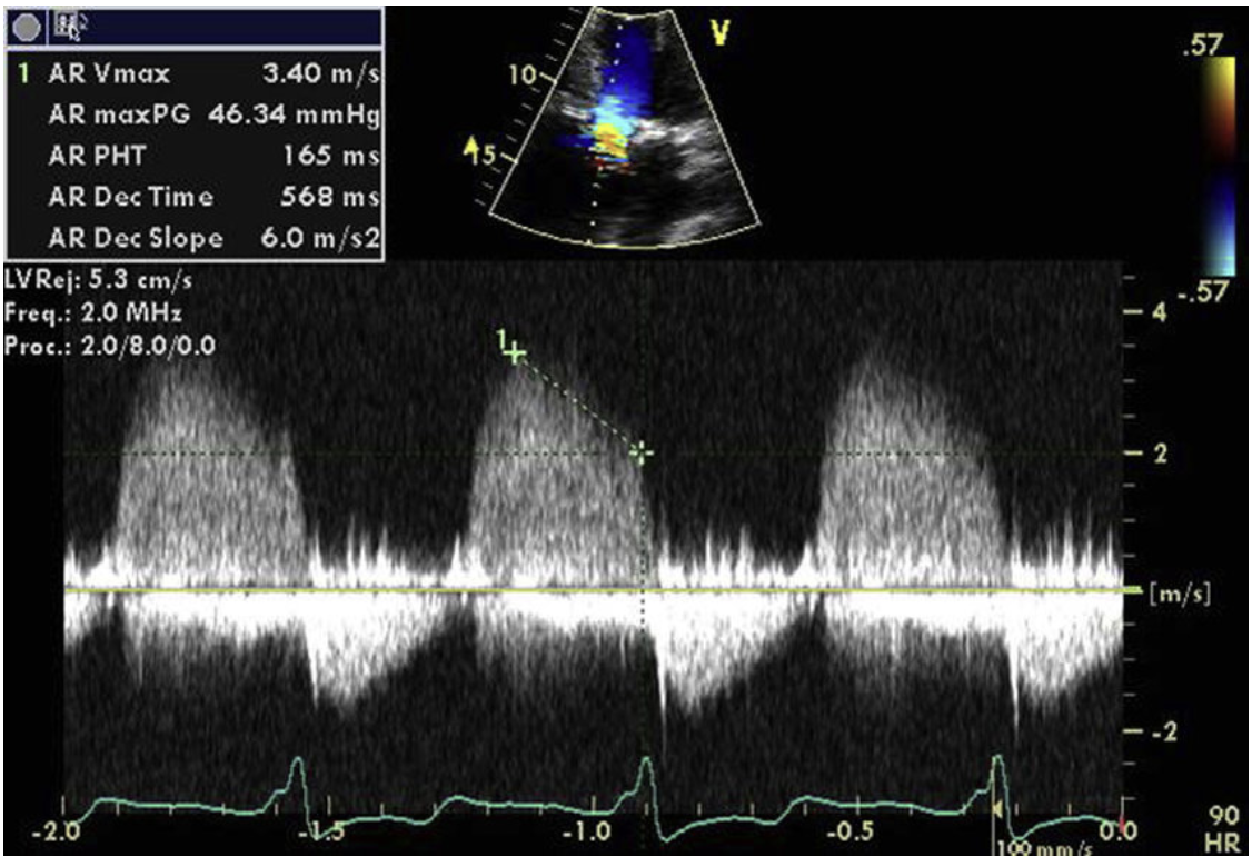
Aortic dissection. This Doppler trace obtained by transoesophageal echocardiography of the descending aorta (see far right) suggests
a. Aortic dissection
b. Aortic stenosis
c. Aortic regurgitation
d. Normal flow
e. High flow state

A

AR - bidirectional

How well did you know this?
1
Not at all
2
3
4
5
Perfectly
24
Q

ECOG surgery - which affects least?

a) dexmedetomidine
b) ketamine
c) nitrous oxide
d) sevoflurane
e) midazolam

A

a) Dexmed

Dexmedetomidine
“Dexmedetomidine preserves epileptiform activity and does not significantly suppress cortical spikes during ECoG.”
— BJA Education, Anaesthesia for epilepsy surgery

Ketamine
“Ketamine does not suppress epileptiform discharges and may increase spike frequency.”
— BJA, Anaesthesia for epilepsy surgery

Nitrous oxide
“Nitrous oxide suppresses epileptiform activity and interferes with electrocorticography.”
— Miller’s Anesthesia, Epilepsy surgery chapter

Sevoflurane
“Volatile anaesthetic agents, including sevoflurane, cause dose-dependent suppression of cortical epileptiform activity.”
— BJA Education

Midazolam
“Benzodiazepines suppress epileptiform discharges and reduce the sensitivity of ECoG.”
— Oxford Handbook of Anaesthesia; BJA Education

How well did you know this?
1
Not at all
2
3
4
5
Perfectly
25
What is the lowest figure at which pulse pressure variation suggests fluid responsiveness? a) 8% b) 13% c) 5% d) 20%
PPV ≥ ~12–13% predicts fluid responsiveness
26
Which heart murmur sound is HOCM?
B ejection systolic murmu HOCM - ESM more classic than MR (pan systolic mumur) - study group agree
27
What is the mechanism of action of octreotide in Upper GI bleeding? a) reduced splanchnic blood flow b) vasoconstriction c) increases platelet aggregation
MOA: splanchnic vasoconstriction indirectly by reducing vasodilators
28
In neonatal resuscitation, what inspiratory pressure in H2O is recommended for positive pressure ventilation for a term neonate? a) 20 b) 25 c) 30 d) 15
PIP 30cmH2O term neonate 20-25 cm H2O preterm neonate PEEP 5 cm H2O 40-60 breaths/minute https://www.seslhd.health.nsw.gov.au/sites/default/files/documents/Neoresusdelivery20.pdf
29
A patient has numbness and weakness in her hand postoperatively. You are trying to distinguish between an ulnar nerve lesion and a C8-T1 radiculopathy. You can diagnose a C8-T1 radiculopathy if she has weakness a) Thumb adduction b) Thumb abduction c) Fingers adduction d) Fingers Abduction e) Little finger flexion
21.1 repeat - thumb ABduction
30
What is an absolute contraindication to cardiopulmonary exercise testing? a) Unstable angina b) Pulmonary hypertension c) HOCM d) left main disease (untreated,BUT it didnt state "critical"
Unstable angina
31
The Glasgow Blatchford score is used to risk stratify: Repeat a) Pulmonary haemorrhage b) Traumatic intraperitoneal haemorrhage c) PPH d) SAH e) UGI bleed
Upper GI bleed
32
The manufacturer’s instructions for use of the i-gel supraglottic airway device recommend a minimum patient weight in kg of a) 1 b) 2 c) 3 d) 5 e) 10
2Kgs
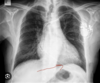
33
Pt with history of syncope. CXR with rectangular device near left nipple a) Implantable loop recorder b) Leadless PPM c) DBS e) vagal nerve stimulator
Implantable loop recorder see photo for leadless PPM
34
CXR with what seemed like CRT-D (3 leads). Where is the lead? a) RV b) LV c) RA d) Coronary sinus
RV
35
Analysis of variance (ANOVA) is BEST described as: A. A statistical test used to compare the means of two or more independent groups by analysing variance within and between groups. B. A test that determines whether two groups have identical medians without assuming a normal distribution. C. A method used to assess the strength of association between two continuous variables. D. A statistical procedure that compares proportions between categorical variables. E. A test designed to assess agreement between two observers.
Comparison between 2 or more means ANOVA can be used for 2 or more
36
What are the components of the MIST handover in trauma represents: Mechanism, Injury, Signs, Treatment - investigations/symptoms in there as decoys
Mechanism, Injury, Signs, Treatment - investigations/symptoms in there as decoys
37
Which is NOT a risk factor for emergence agitation in paeds? a) Nitrous oxide b) Male c) Autism spectrum disorder d) Volatile use e) Ages 2-5
RF: Male 2-5y Anxious child/parent ENT Strabismus Long >1h Postop pain INH (**except N2O**)
38
Post femoral block, how long should noninvasive monitoring occur for? a) 10 mins b) 15 mins c) 30 mins d) 60 mins
ANzca PS 03: 30 minutes
39
Vitamin C in acute pain. Which is true? a) IV is ineffective b) PO is ineffective c) dose-dependent relationship d) reduced morphine requirements e) reduced PONVC
Reduced morphine requirements. https://josr-online.biomedcentral.com/articles/10.1186/s13018-024-05193-x
40
Lateral calf innervation (calf had nerve distributions). Had to identify which nerve a) superficial peroneal b) sural c) common peroneal d) saphenous nerve e) deep peroneal
a) superficial peroneal more cephalad is common peroneal
41
25 male with tibial shaft fracture who has pain,weakness dorsiflexion, some other symptoms. Which leg compartment affected by compartment syndrome? a) anterior b) medial c) lateral d) superifical posterior e) deep posterior
Anterior!
42
What type of variable influences dependent and independent variables? a) confounder b) mediator
Confounder
43
What is the minimum battery life of an anaesthetic machine? Repeata) 30min
44
Mapleson circuit A B C E D F
C
45
What is the pin index system of medical air? a) 1-5 b) 2-5 c) 3-5 d) 1-6
1,5 - air 2,5 - O2 3,5 - N2O 1,6 - CO2 7 - entonox
46
The medication most strongly associated with an acute primary hypotensive reaction following transfusion of blood products is a. Aspirin b. Ibuprofen c. Hydralazine d. Metoprolol e. Perindopril
ACEi - perindopril
47
When is the risk of delayed cerebral ischaemia post subarachnoid haemorrhage highest? a) <24hrs b) 1-3 days c) 4-10 daysx d) >14 days
4-10 days
48
Which intervention has best mortality benefit for subarachonid haemorrhage? a) Clipping <24hrs b) Clipping >24hrs c) Coiling <24hrs d) Coiling >24hrs e) Vasopasm management
Coil < 24hrs Coiling → better 1yr survival Clipping → ↓ re-rupture ↓ re-treatment https://www.ahajournals.org/doi/10.1161/strokeaha.110.602888
49
Of the following, the congenital condition LEAST commonly associated with obstructive sleep apnoea in children is a) Prada Willi Syndrome b) Duchenne Muscular dystrophy c) Down Syndrome d) Spina bifida e) Tetralogy of Fallot
ToF - no predisposition Spina bifida Chiari II malformation → central + obstructive components; airway hypotonia
50
The blood product that contains the highest concentration of citrate is a) Plasma b) RBCs c) Platelets d) Cryoprecipitate e) Fibrinogen concentrate f) FFP was an option?
FFP
51
How soon will an activated charcoal filter reduce an anaesthetic machine to less than 5 parts per million at flow rate of 10L/min? a) 3 mins b) 5 mins c) 10 mins
1.5-3mins (90s with FGF >10L/min) https://www.dynasthetics.com/Vapor-Clean/
52
Crush injury - expected abnormality early: a) hypokalaemia b) hypocalcaemia c) hypophosphataemia d) metabolic alkalosis e) Hypouricemia
Hypocalcaemia bound by mass phosphate release from muscle . https://www.acep.org/imports/clinical-and-practice-management/resources/ems-and-disaster-preparedness/disaster-preparedness-grant-projects/cdc---blast-injury/cdc-blast-injury-fact-sheets/crush-injury-and-crush-syndrome
53
A patient’s true arterial oxygen saturation (SaO2) will be lower than a pulse oximeter reading (SpO2) in the presence ofwhat a) Sickle cell b) Methylene blue c) CO poisoning e) foetal Hb f) CN- poisoning
Carboxyhaemoglobin Carbon monoxide (CO) poisoning “Pulse oximeters cannot distinguish carboxyhaemoglobin from oxyhaemoglobin and therefore may give falsely normal or high oxygen saturation readings.” — Miller’s Anesthesia, Pulse oximetry chapter “In carbon monoxide poisoning, SpO₂ may significantly overestimate true arterial oxygen saturation.” — BJA Education, Monitoring oxygenation Methylene blue “Methylene blue causes an acute fall in pulse oximeter readings due to light absorption, resulting in falsely low SpO₂ values.” — Anesthesiology; Miller’s Anesthesia Sickle cell disease “Pulse oximetry accurately reflects arterial oxygen saturation in sickle cell disease; discrepancies relate to PaO₂–SaO₂ dissociation, not measurement error.” — BJA, Oxygen–haemoglobin dissociation Fetal haemoglobin “Pulse oximetry provides reliable saturation readings in the presence of fetal haemoglobin.” — Anesthesiology; Neonatal monitoring reviews Cyanide poisoning “Cyanide poisoning does not affect arterial oxygen saturation; pulse oximetry readings are typically normal.” — Goldfrank’s Toxicologic Emergencies; BJA Education
54
Which nerves does first stage of labour transmit through? a) S2-S4 b) T10-L1 c) L1-L2 d) T12-L3
T10-L1
55
Epidural placed for postop pain. How soon after epidural removal can prophylactic clexane be given? "According to ASRA guidelines was quoted I think" a) 1hr b) 4hr c) 6hr d) 12hr e) 24hr
Withhold 12hrs b4 & after placement Restart 4hrs after catheter removal
56
Dialysis best at removing: a) warfarin b) rivaroxaban c) dabigatran d) apixaban e) clopidogrel
Dabigatran
57
Pt with known WPW. Develops rapid AF. Haemodynamically stable. What's the safest therapy? a) Digoxin b) Verapamil c) Cardioversion d) Metoprolol
HD unstable DCCV - synchronised, sedated, start at 100J HD stable Call cardiology Procainamide IV 15mg/kg over 1hr Flecainide Amiodarone Avoid AV node blockers Adenosine β-blockers CCBs Digoxin
58
Benzatropine ameliorates the side effects of drugs that antagonise a. Dopamine b) serotonin c) nicotine
Dopamine antagonists causing EPSEs But mechanistically, the side-effect it fixes is extrapyramidal symptoms (EPS), which occur because dopamine blockade causes a relative excess of acetylcholine in the basal ganglia. Benztropine is an anticholinergic (muscarinic antagonist) → it restores the DA:ACh balance.
59
Pts on SSRI perioperatively may experience all of these except: a) AFib b) bleeding c) mental status changes d) serotonin syndrome e) ventricular arrhythmias
E Vent Arrhythmias less likely (even though SSRIs cause QT prolongation) https://pmc.ncbi.nlm.nih.gov/articles/PMC8990315/#:~:text=A%20total%20of%203%2C396%20studies,that%20still%20needs%20further%20confirmation. Know to cause - bleeding, mental status change and 5HT syndrome
60
When compared with nerve stimulator guided brachial plexus block, Ultrasound guided brachial plexus block results in a) less neuropraxia b) less risk of systemic toxicity c) reduced time to motor/sensory onset d) less pt satisfcation e) lower rate of IV injection
Faster onset (BJA, 2009) There is lower rate of vascular puncture but not IV injection because if blood is aspirated the needle is withdrawn and redirected https://academic.oup.com/bja/article-abstract/102/3/408/245751?utm_source=chatgpt.com&login=false
61
Pulse pressure variation has reliable utility in which condition: a) thoracotomy b) spontaneously breathing c) pulmonary hypertension d) septic shock e) Increased abdominal pressures
Septic shock Pulse pressure variation (PPV) is only reliable when ALL of the following conditions are met: • Controlled mechanical ventilation • Tidal volume ≥ 8 mL/kg • No spontaneous breathing • Regular cardiac rhythm • Normal chest wall & lung compliance • No major ↑ intra-abdominal pressure
62
You’re assisting a trauma respond in ED. 5 minutes after intubation the patient’s saturations drop to 85%. Absent left sided breath sounds. Lung ultrasound reveals no pleural sliding, lung pulse is present. Your next step: a. Tell surgeon to deflate b. Needle decompression c. Chest drain d. Pigtail drain e. Get CXR f. Increase FiO2 100% g. Pull back the ETT tube
Withdraw ETT 1-2cm All points to PTx UNTIL lung pulse meaning lung is still in contact with pleura and transmitting cardia pulse
63
IO sample correlates best for a) Hb b) Potassium c) Platelets d) Chloride e) WCC f) Sodium g) Hct
Many conflicting sources Terrible question
64
Trigeminal neuralgia - 1st line management: a) Tramadol b) Amitriptyline c) Carbamazepine
Carbamazepine
65
ECG: what does it show? a) 1st degree AV block b) Mobitz type 1 c) Mobitz type 2 d) Sinus bradycardia e) Complete heart block
Complete heart block
66
Pacemaker code for V in NASPE/BPEG Generic (NBG) Pacemaker Code? a) Rate modulation b) Paced c) Sensed d) Response to sense e) Multi site pacing
Multisite pacing or anti-tachycardia function
67
NOF pt under GA. sBP drops to 75, you have given multiiple bouts of metaraminol with no improvement. ECG rhythm displayed (shows rapid AF, rate ~160). Next management: a) amiodarone 300mg IV b) cardioversion 200J c) adrenalin d) metoprolol
Shock
68
ALS in adult patient. VFib -> given 2 shocks, then IV adrenaline, then 1 shock. Next treatment: a) DCCV 200J b) amiodarone 300mg IV c) adrenaline 1mg IV d) lignocaine 100mg IV
Amiodarone
69
Dosing in anaphylaxis for paediatric patient in mcg/kg for moderate (it specified grade 2) anaphylaxis: a) 1 b) 2 c) 4 d) 10
2mcg/kg
70
1hr post open cardiac surgery. Pt arrests - they are ventilated. What's the next management? a) Immediate external cardiac massage b) Adrenaline 1mg c) Defibrillate as per cardiac ALS d) Aim re-sternotomy within 30 minutes e) Switch from ventilator to BMV
Defibrillate per ACLS - external cardiac massage not in algo - adrenaline not advised - resternotomy <5min - limit PPV, no issue with staying on vent other than may alarm during CPR
71
For hyperkalaemic treatments, which has the most rapid onset of action? (or peak) a) IV insulin/dextrose b) IV sodium bicarbonate c) Nebulised salbutamol d) Resonium
1. IV insulin + dextrose (fastest: 10–20 min) 2. IV sodium bicarbonate (30–60 min, unreliable) 3. Nebulised salbutamol (30+ min) 4. Resonium (hours — slowest)
72
Emergency suction curettage for miscarriage for. INR I.5 PT 12s aPTT 65s Next best test to order. a) Mixing tests b) Fibrinogen d) Factor 8 test
Mixing study Normal INR/PT + prolonged aPTT (65 sec) → classic pattern for: * Lupus anticoagulant (most common) * Factor deficiency (VIII, IX, XI, XII) * Heparin contamination The first step is always a mixing study to differentiate: * Correction → factor deficiency → then you test specific factors * No correction → inhibitor (e.g., lupus anticoagulant)
73
A 45yo man presents with a hx of SOB and the following flow-volume loop is obtained. This is most consistent with a) fixed b) variable intrathoracic c) variable extrathoracic d) early airflow obstruction
Variable extrathoracic
74
What is not in beriplex (or prothrombinex 4 factor) a) Factor 7 b) Factor 10 c) Factor 8 d) Protein C e) Factor 9
Factor 8
75
Differential hypoxia (Harlequin syndrome) is a syndrome characterised by lower arterial oxygen saturation in the upper body. It is a complication specific to the use of a) VA ECMO b) VV ECMO c) ECCO2 device d) Haemodialysis e) Peritoneal dialysis
VA ECMO
76
Which von Willebrand Disease type is desmopressin ineffective? a) 1 b) 2A c) 2M d) 2N e) 3
Type 3 always ineffective https://www.rch.org.au/clinicalguid e/guideline_index/Von_Willebrand_Disease_vWD/ can be partially effective in 2A and 2M, probably won't work in 2B and 2N
77
Arndt bronchial blocker- which port does the blocker go down?
C
78
An electrocardiogram (ECG) abnormality which is NOT usually associated with severe anorexia nervosa is a. Resting tachycardia b. Wandering pacemaker c. ST depression d. TWI e. Prolonged QT
21B repeat - resting tachycardia
79
Showing a modern chest drain, what do fluctuations in the blue chamber with the numbers 1-5 represent? a) Severity of air leak b) Suction c) Intrapleural pressure d) Collection chamber
Severity of air leak bubble ejected over and reach 1-2 mild 4-5 ?large air leak
80
Pt with lean body mass 50kg. Given 100mg lignocaine. If assuming max dose lignocaine 4mg/kg and bupivacaine 2mg/kg, how much bupivacaine can safely be given concurrently to this pt? a) 100mg b) 50mg c) 200mg d) 25mg
50mg * Max lig dose = 4x50 = 200mg * Remaining safe dose of lig = 200-100 = 100mg * Bup/Lig toxicity = 2/4 = 0.5 (i.e. 2x potency) * Remaining safe dose of bup = 100 x 0.5 = 50mg
81
Patient is on oxycodone 30mg via PCA. You want to switch to oral morphine. How much? 60 mg 90 mg 120 mg 150 mg
60mg IV oxy ≈ IV morph IV morph x 3 ≈ PO morph 30 x 3 = 90mg - 1/3 for opioid rotation 60mg
82
Which antidiabetic med reduces renal glucose absorption? a) GLP1 agonists b) SGLT2 inhibitors c) sulphynlyrea
SGLT2 inhibitor
83
The part of the lung that is typically divided into apical, anterior and posterior segments is the a) RUL b) RML c) RLL d) LUL e) LLL
RUL
84
The shoulder joint receives sensory innervation from all of the following nerves EXCEPT the a) Axillary b) Long thoracic c) Lateral pectoral d) Suprascapular e) Subscapular
23.2 - ? long thorcic
85
SBP target if 80 year old male with TBI a)SBP 90 b) SBP 100 c) SBP 110
110
86
Obesity in pregnancy does not increase risk of - a. antenatal depression, b. cholestasis, c. pre eclampsia d gestational HTN
Cholestasis
87
A thoracic regional technique that will NOT provide analgesia for sternal fractures is a repeat optionsa. Transversus throacic plane block b. PECS I c. Parasternal intercostal nerve block
PECS 1
88
The MELD (Model for End-Stage Liver Disease) score includes all of the following parameters EXCEPT: a) Bilirubin b) INR c) Protein d) Creatinine e) Sodium
Protein = Albumin MELD-Na this time around but i still think the answer most correct is albumin
89
A 10-year-old child (weight 30 kg) presents to the emergency department in status epilepticus. They have received one dose of 10 mg midazolam buccally prior to arrival to hospital. According to Advanced Paediatric Life Support Australia guidelines the next drug treatment should be intravenous: a) Phenytoin b) Midazolam c) Propofol d) Levetiracetam
Midazolam
90
For a skewed distribution of data the best measure of dispersion of data is the a) range b) mode c) standard deviation d) variance e) Interquartile Range
Interquartile Range
91
As per 2021 Surviving Sepsis guidelines, when to start IV corticosteroids? BP < 65mmHg for one hour despite Noradrenaline Noradrenaline > 0.1mcg/kg/min at any time Noradrenaline > 0.25mcg/kg/min after 4 hours Noradrenaline >0.5mcg/kg/min after 4 hours
Commence steroids after NA or A ≥ 0.25 ug/kg/min for ≥4h
92
Non-inferior study. Specific study crossed 0 but NOT non-inferior line. What does this result mean? The image to the right was the exact image. It wanted the 3rd from the top (non inferior) a) superior b) non inferior c) nonconclusive d) inferior
Non-inferior
93
First line treatment of extravasated norad is a) Remove cannula b) Flush cannula c) Cold compress d) SC phentolamine e) heparin
S/C phentolamine NA/A extravasation 1. Stop infusion 2. Leave cannula in place 3. Aspirate any drug possible 4. Mark area of extravasation 5. Elevate / warm limb 6. Specific measures Phentolamine 5-10mg SC Regional SNS block e.g. stellate ganglion Saline washout: 4-6 stab incisions, blunt IVC, irrigate
94
NAP 7 most common cause of arrest intraop??? a) Anaphylaxis b) Cardiac Ischaemia c) Major haemorrhage
Major haemorrhage
95
Predictors of successful awake extubation after volatile anaesthesia in infants include a. 2mL/kg tidal volume b. grimacing c. coughing d. RR > 20 e. CO2 > 60
Grimacing Grimacing = reliable marker of wakefulness in infants as it is purposeful facial movement Coughing dose not indicate wakefulness, i.e. it is reflexive and happens in deeper planes. Coughing with eyes open & tongue protruding is reliable however.
96
Which drug to avoid in cocaine toxicity? A) Adenosine B) Diazepam C) Metoprolol D) Glyceryl trinitrate E) Verapamil
Metoprolol - beta block without correcting alpha block = HFx Labetalol would be a safer beta-blocker as it has mixed action
97
You are performing femoral venous cannulation in an obese man under ultrasound guidance. The image quality is suboptimal as the vein is deep. The best way to improve the image quality is to a. Increase USS speed of transmission b. Decrease USS speed of transmission c. Use higher frequency probe d. Use lower frequency probe
d. Use lower frequency probe
98
Ensuring fair and equitable access to healthcare is an example of a) autonomy b) beneficence c) justice d) non-malifencence
justice concerns the fair and equitable distribution of healthcare resources
99
When interpreting an arterial blood gas, a high serum anion gap is consistent with: a) Lithium toxicity b) Salicylate toxiticy c) Hypercholeraemia d) Hypoalbuminaemia e) Hypercalcaemia
Salicylate toxicity a) Lithium toxicity Causes normal anion gap (hyperchloraemic) metabolic acidosis due to renal tubular dysfunction c) Hyperchloraemia Causes normal anion gap metabolic acidosis (Cl⁻ replaces HCO₃⁻) d) Hypoalbuminaemia Lowers the anion gap (albumin is a major unmeasured anion) e) Hypercalcaemia Calcium is a measured cation → does not increase AG
100
A medication that should be avoided in a patient with thyroid storm is: a) Ibuprofen b) Propranolol c) Potassium Iodide d) PTU: Propylthiouracil
NSAIDs Displace T4/T3 from thyroid-binding proteins ↑ free (biologically active) thyroid hormone
101
The clinical laser type with the greatest tissue penetration is: a) Argon b) Nd:yag c) Er:yag d) Co2 e) Holmium
Nd:yag
102
Oral naltrexone should be ceased preoperatively for: a) 24 hours b) 48 hours c) 72 hours d) 96 hours
72h
103
Which is not lost in anterior spinal artery syndrome? a) Pain b) Temperature c) Motor d) Proprioception e) Bladder function
Proprioception Anterior spinal artery syndrome usually includes tracts in the anterior two-thirds of the spinal cord, which include the CSTs, the spinothalamic tracts, and descending autonomic tracts to the sacral centers for bladder control. CST involvements produce weakness and reflex changes. A spinothalamic tract deficit produces the bilateral loss of pain and temperature sensation. Tactile, position, and vibratory sensation are normal. Urinary incontinence is usually present.
104
According to the 5th National Audit Project (NAP5), the incidence of awareness during general anaesthesia using a non-relaxant technique is approximately: a. 1:1360 b. 1:13,600 c. 1:136,000 d. 1:1,136,000
1: 136k
105
A patient for elective general anaesthesia has been noted to be chewing gum in the pre-operative area. The most appropriate course of action is to: a) Delay 1 hour b) Delay 2 hours c) Delay 6 hours d) Discard gum then proceed without delay
d) discard + proceed PG07 "Chewing gum and boiled sweets should be discarded prior to inducing anaesthesia to avoid them being inhaled as a foreign body but do not constitute an indication for delaying any procedure unless they have been ingested."
106
Preoperative predictors of chronic postsurgical pain do NOT include: a) Anxiety b) Depression c) Elderly d) Preop opioids e) preexisting chronic pain
Elderly
107
Which intervention for acute pain does not reduce the risk of persistent postdischarge opioid use? a) Opioid wean preop b) Education/expectation setting preop c) Titrating opioids to pain scores alone d) Avoiding long-acting opioids
https://www.anzca.edu.au/getContentAsset/136f5a83-d1d0-4f34-be72-87b62b721d14/80feb437-d24d-46b8-a858-4a2a28b9b970/PS41(G)-Acute-pain-2023.pdf Titrate to pain scores alone
108
The analgesic drug with the most favourable Number Needed to Treat (NNT) for neuropathic pain is:?? a) Amitriptyline b) Gabapentin c) Tramadol d) Pregabalin e) Carbamazepine
Amitriptyline NNT = 30% ↓ Sx
109
A 36-year-old woman sustains an injury to her left arm and presents with pain. She informs you that she experiences unpleasant intermittent and spontaneous shooting sensations in her arm. This sensation is a. Dysaesthesia b. Allodynia c. Hyperalgesia d. Hyperaesthesia e. Paraesthesia
a. Dysaesthesia
110
Which nerve is this: Genitofemoral Obturator Femoral Lateral Femoral Cutaneous Iliohyogastric
Obturator
111
14. Patients with rheumatoid arthritis and the most common form of atlantoaxial instability have a widened atlantodental interval. This is measured between the a) distance from posterior margin of dens to anterior surface of posterior arch of atlas b) distance from anterior margin of dens to anterior surface of posterior arch of atlas c) distance from posterior margin of dens to anterior surface of anterior arch of atlas d) distance from posterior margin of dens to posterior surface of posterior arch of atlas e) distance from anterior margin of dense to posterior surface of anterior arch of atlas
e) Most common sublaxation in RA = anterior. Measured from distance from anterior margin of dens to posterior surface of anterior arch of atlas
112
Intravenous dexmedetomidine use does NOT result in a) Hypertension b) Bradycardia c) Decreased urine output d) Decreased opioid consumption e) increased regional nerve block duration
C)
113
A patient under general anaesthesia monitored with transcranial cerebral oximetry has a decrease in their cerebral oxygen saturation. This is likely to be improved by an increase in all of the following EXCEPT A) Increased MAP B) Increased MV C) Increased anaesthetic depth D) Increased Hb
B) Increased MV Transcranial cerebral oximetry (NIRS) reflects the balance of cerebral oxygen delivery vs demand. Things that generally improve rSO₂: • ↑ MAP (A) → ↑ cerebral perfusion pressure → ↑ CBF → ↑ oxygen delivery ✅ • ↑ Hb (D) → ↑ arterial oxygen content (CaO₂) → ↑ delivery ✅ • ↑ anaesthetic depth (C) → ↓ cerebral metabolic rate (CMRO₂); if BP maintained, this can improve the balance between supply and demand ✅
114
Ongoing cerebral seizure activity induced by electroconvulsive therapy should be medically terminated after a. 60 sec b. 90 sec c. 120 sec d. 150 sec
120s
115
ECT does NOT result in: a) initial sympathetic stimulation b) increased ICP c) decrease LV function for 4-6 hrs d) Increased SBP 30-40%
initial sympathetic stimulation Begins with PSNS surge
116
The Myocardial Injury after Non Cardiac Surgery study showed elevated troponin in the first three post-operative days was strongly associated with a) 30 day mortality b) 30 day MI
30 day mortality
117
A man with a history of obesity and obstructive sleep apnoea has just had a transsphenoidal pituitary resection. Soon after extubation he is semi-conscious and is making a respiratory effort but has near complete upper airway obstruction with stridor. His arterial oxygen saturation is 93% and starting to fall. Your first actions should be to a) Propofol for LMA + PPV b) Oropharyn with PPV +/- deepen with propofol c) Nasopha with PPV d) Naso with CPAP 3) Oropharyngeal CPAP
Prop + LMA safest option if going to deliver positive pressure
118
In the thigh, the adductor canal is bordered by all of the following EXCEPT a) Vastus medialis b) Adductor magnus c) Adductor longus d) Adductor brevis e) Sartorius
Adductor brevis
119
Safest approach for peribulbar if short eye length? a) Inferotemporal b) superior temporal c) medial canthal d) lateral canthal e) Other approaches
Medial canthal approach (aka medial peribulbar)
120
Assuming a blood volume of 80 ml/kg, a massive transfusion child is defined as a three-hour packed red blood cell (PRBC) transfusion volume of a) 20mk/kg b) 40ml/kg c) 60ml/kg d) 80ml/kg
40mL/kg
121
The antiemetic that interferes with the effectiveness of oral hormonal contraception is a) Aprepitant b) Ondansetron c) Metoclopramide
Aprepitant
122
Extraadrenal tumour with raised metanephrines. What management preop? a) Phentolamine b) Metoprolol c) Phenoxybenzamine d) Prazosin
An extra-adrenal tumour with raised metanephrines = paraganglioma, managed exactly like a pheochromocytoma. Pre-operative management priority: ➡️ Alpha-blockade FIRST (phenoxybenzamine), then β-blockade only if needed for rate control. Phenoxybenzamine must be w/held 3/7 preop to re-sensitise alpha receptors Prazosin not classic answer
123
Fibrinolysis is defined as reduction in MA>15% after how many minutes on a ROTEM 5 10 30 60 120
60mins Normal fibrinolysis Lysis30 <6% Lysis60 <15% Fibrinolysis is assessed by the percentage decrease in clot amplitude from MA (or MCF) at a specified time
124
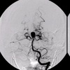
DSA: where is the aneurysm
Basilar artery
125
Desufflation after surgical pneumoperitoneum is NOT associated with an increase in a) Stroke work index b) Cardiac output c) Systemic vascular resistance d) Venous return e) LV stroke work
SVR decreases Stroke work = pressure work + volume work LV stroke work increases because VR increases > MAP falls
126
How to work out arterial pH from venous pH? a) add 0.03 b) add 0.3 c) subtract 0.03 d) subtract 0.3
arterial pH ≈ venous pH + 0.03
127
Which is not expected with a good workiong intra-aortic balloon pump? a) Decreased renal blood flow b) Decreased Hb c) Decreased cardiac work d) Increased cardiac perfusion e) Increased aortic root diastolic pressure f) decreased LV end diastolic pressure g) decreased aortic diastolic pressure
a) should increase renal blood flow b) can cause haemolysis or bleeding but this is a complication
128
Of the following, the drug which is most effective in the management of severe hyperthermia in serotonergic syndrome is a. Dantrolene b. Diazepam c. Paracetamol d. Rocuronium e. Ibuprofen
Most effective - roc Although diazepam may help Dantrolene used in NLMS
129
In order to minimise the risk of cardiac arrhythmia?? surgical diathermy has been designed to operate with a. High frequency b. High voltage c. Low frequency d. Low voltage e. Equipotential earthing
A
130
All patients over 70 years of age having received either spinal or general anaesthesia at Hospital X are reviewed 3 years later to assess cognitive function. The aim of the study is to determine whether exposure to general anaesthesia or spinal anaesthesia impacts cognitive function. This trial design is best described as a a) RCT b) cohort study c) case-control study d) case series e) cross-sectional study
Cohort RCT Participants randomly allocated to interventions to compare outcomes. Cohort Study Groups defined by exposure, then followed over time for outcomes. Case-Control Study Groups defined by outcome, then exposures are looked back on. Case Series Descriptive report of patients with no comparison group. Cross-Sectional Study Exposure and outcome measured at one point in time (snapshot).
131
Intraoperative lung protective ventilation strategies include all of the following EXCEPT a. Alveolar recruitment manouevres b. Individualised PEEP c. I:E ratio 1:3 d. TV 6-8ml/kg e. Minimising ventilatory driving pressure
C) Guideline advised I:E 1:1-1:2 Driving pressure = plateau - PEEP
132
A test for a condition which has a prevalence of 1 in 1,000 has a sensitivity of 100% and a specificity of 90%. The probability of a patient who receives a positive result actually having the condition is a. 1% b. 10% c. 90% d. 100%
Prevalence 1 / 1000 TP = 1 TN = 999 Specificity 90% - TN = 999 x 90% = ~900 - FP = 999 x 10% = ~100 PPV = TP / (TP + FP) = 1 / (1 + 100) = 1/101 ≈ 1%
133
Your patient underwent a stellate ganglion block two hours ago. Prior to discharge you are asked to review the patient in recovery because of a droopy upper eyelid. The patient would also be expected to have ipsilateral a) Pupillary constriction and reaction to light b) Pupillary constriction and no response to light c) Pupillary dilation and response to light d) Pupillary dilation and no response to light
Horner’s Syndrome - ptosis - miosis (pupil construction) - anhydrosis PSNS pathway intact so reaction to light intact (purely parasympathetic via CN2 & CN3)
134
Compared to a normothermic patient, a patient with mild intraoperative hypothermia (35.0 oC) will have: a. More bleeding, normal INR and APTT b. More bleeding, normal INR and raised APTT c. More bleeding, raised INR and normal APTT d. Unchanged bleeding, normal INR and APTT e. Unchanged bleeding, elevated INR and APTT
A
135
The first-line drug recommended by both the Australian Resuscitation Council and the New Zealand Resuscitation Council to treat severe cyanide poisoning is a) methylene blue b) hydroxycobalamin c) sodium thiosulphate
Hydroxycobalamin
136
A respiratory effect of high flow nasal oxygen therapy is a. Reduced RR b. Reduced MV c. Increased work of breathing d. Increased dead space Alternate Recall a. Increased airflow resistance b. Reliable CO2 exchange c. Reduced minute ventilation d. Reduced respiratory rate e. Increased work of breathing
Reduced RR
137
Gastric US: Position and orientation (sagittal vs transverse) of probe a) Saggital midclavicular b) saggital midaxillary c) transverse subxiphoid d) saggital subxiphoid
Sagittal, subxiphoid
138
If group A Rh- cryo is not available for use in an A Rh+ patient, of the following your next best choice should be a) AB Rh+ b) B Rh+ c) B Rh d) O Rh+ e) O Rh-
AB Rh+ https://www.lifeblood.com.au/health-professionals/products/component-compatibility
139
Button battery >20mm - timeframe to remove a) within 2hrs b) within 4hrs c) within 24hrs
FB BJA 2hrs if in oesophagus, or symptomatic in stomatch
140
Organ procurement after circulatory death is generally stood down if the time from cessation of cardiorespiratory support to circulatory death extends beyond a) 60min b) 90min c) 120min
Absolute max = 90min (lungs)
141
Breastfeeding pt: advice re: dumping/expressing a) express (to discard) then feed b) feed straight away c) delay 6hrs
Feed straight away
142
Brain death testing - what is NOT in the criterion? a) corneal reflex b) oculocephalic reflex c) must warm to >35 degrees degrees d) 2hrs GCS 3 + other criterion
ANZICS Before start testing require ≥4hs observation during which - GCS 3 - unresponsive pupils - no cough reflex - no RESP effort
143
ECG - (may have been complete heart block or 2nd degree AV block type 2; was a regular atrial rate) and asking for the atrial rate a) 60bpm b) 80bpm c) 100bpm d) 120bpm
144
How often do you have to monitor BSL's for a diabetic post-operatively in PACU a) 30 mins b) 1 hourly c) 2 hourly d 4 hourly
b) 1 hourly
145
A patient has a lung ultraosund which shows A lines and lung sliding. Which of the following is most likely a) PTX b) Pleural effusion c) Normal lung d) Pneumonia
Normal
146
What is the observed common associated metabolic abnormality with hypercholermia? a) High-anion gap metabolic acidosis b) Normal-anion gap metabolic alkalosis c) High-anion gap metabolic acidosis d) Normal anion gap metabolic acidosis
d) NAGMA
147
Which of the following is an independent risk factor for increased PPH? a) Platelets 70 b) PT > 1.2 c) fibrinogen <2
C
148
During a thyroidectomy, the surgeon is concerned the parathyroid glands have been devascularised. From the time of potenial damage, a serum calcium level should be checked in: a) 6 hours b) 12 hours c) 24 hours d) 36 hours
6hrs - few studies saying it wouldn’t drop by 6hrs but this article that’s says check at 6hr & 24hr https://e-safe-anaesthesia.org/e_library/06/Anaesthesia_for_thyroid_and_parathyroid_surgery_CEACCP_2007.pdf
149
MINS trial. Found that ECG changes were... Associated with increased 30d mortality Associated with increased 30d MI rate
MINS = with increased 30 day mortality
150
Intraop nof # repair, patient develops this rhythm with SBP 90. Not responding to metaraminol blouses. Next management: Metaraminol Esmolol Amiodarone DCCV ABG and correct
Fast AF - irregularly irregular - no P waves Can be difficult to tell with RVR Pt still sounds stable (SBP 90) - amiodarone - esmolol - metoprolol If low BP - DCCV
151
Fast scan does not include view of Perisplenic Perinephric Perihepatic Bladder Thoracic
Thoracic - eFAST includes lung
152
Which of the following statements regarding strategies to reduce postoperative nausea and vomiting (PONV) is MOST correct? A. Intra-operative ephedrine reduces PONV by direct central anti-emetic effects and should be considered prophylaxis in high-risk patients. B. Pre-operative carbohydrate loading reduces PONV by attenuating peri-operative insulin resistance and gastric stasis. C. Intra-operative ephedrine may reduce nausea associated with neuraxial hypotension but is not an evidence-based strategy for PONV prophylaxis. D. Pre-operative carbohydrate loading consistently reduces PONV and is recommended as part of multimodal anti-emetic prophylaxis. E. Both intra-operative ephedrine and pre-operative carbohydrate loading are independently associated with clinically meaningful reductions in PONV.
C. Intra-operative ephedrine may reduce nausea associated with neuraxial hypotension but is not an evidence-based strategy for PONV prophylaxis. Only MOA by which ephedrine can prevent PONV is avoiding intraop hypotension Preop CHO loading drink does not reduce PONV
153
A patient with bipolar disorder is stable on chronic lithium therapy and presents for surgery. Which of the following drugs is MOST inappropriate to administer due to the greatest and most predictable risk of lithium toxicity? A. Ibuprofen B. Tramadol C. Droperidol D. Paracetamol E. Ondansetron
NSAID - rapidly reduce clearance - ↑ serum lithium by 25–60% Highest to lowest risk - NSAID - ACE inhibitors / ARBs - Thiazide diuretics - Serotonergic drugs (SSRIs, tramadol)
154
What is the leading cause of perioperative cardiac arrest in NAP7? a) Anaphylaxis b) Arrhythmia c) Cardiac Ischaemia d) Aspiration
arrhtyhmia Major haemorrhage 17% Bradyarrhythmia 9.4% Cardiac ischaemia 7.3%
155
Neonatal resus: when to commence CPR + rate a. Cold/grey/floppy on delivery + 3:1 b. HR<60 at 30s + 3:1 c. HR<100 at 30s + 3:1 d. No improvement in HR after 30s of PPV + 3:1 e. HR <100 + poor RESP effort at 0s + 3:1
b. HR<60 at 30s + 3:1
156
Child swallows 20mm lithium battery. GI perforation can occur within 2 hrs 6 hrs 12 hrs
“Esophageal perforation has been reported as early as 2 hours after ingestion.” — NEJM, Button Battery Ingestions in Children
157
Borders of femoral triangle include all except Adductor longus Adductor brevis Sartorious Vastus medialus Adductor magnus
Vastus medialus https://www.instantanatomy.net/leg/areas/thigh/femoraltriangle.html