25.1 Flashcards

(175 cards)

1
Q

When can prophylactic clexane be given post epidural catheter removal

a) 2 hrs
b) 4 hrs
c) 6hrs
d) 12hrs
e) 24hrs

A

4 hrs

ASRA guidelines: https://rapm.bmj.com/content/early/2025/01/21/rapm-2024-105766

2021 BJA recommendations
2019 Stanford guidelines

How well did you know this?
1
Not at all
2
3
4
5
Perfectly
2
Q

Temperature measurement during cardiopulmonary bypass - which is most accurate:

A) Nasopharynx
B) Oxygenator arterial outlet
C) Oxygenator venous inflow
D) Bladder temp
E) PA Cath

A

Rewarming: nasopharyngeal done in practice for cerebral

Pulmonary artery > nasopharyngeal (~10-20cm in) > bladder»_space; tympanic
- in terms of accuracy

gold standard for continuous core temperature monitoring since this has been shown to be ‘closest to the temperature in the high internal jugular vein,’ which is the venous drainage of the brain. 2018 Indian resp journal

pulmonary artery ≥ nasopharynx > forehead > bladder > fingertip.
2007 Journal of Thoracic surgery: ranks reliability for DHCA

“Pulmonary artery (PA) or nasopharyngeal temperature recording is reasonable for weaning and immediate postbypass temperature measurement.” 2015 Society of Thoracic Surgeons doesn’t differentiate between the two

How well did you know this?
1
Not at all
2
3
4
5
Perfectly
3
Q

Giving DDAVP to VWD type 3

a) No effect
b) If they’ve had a positive challenge test
c) Effective

A

No effect
- type 1: helps
- 2a maybe
- 2b contraindicated

Give TXA to each type - previous MCQ on what 1st thing to give is

In Type 3 vWD, where there is a severe deficiency or absence of vWF, desmopressin is not effective since there is insufficient vWF to release. These patients typically require factor concentrates (vWF-containing concentrates) for treatment instead of desmopressin.

Ref: https://www.rch.org.au/clinicalguide/guideline_index/Von_Willebrand_Disease_vWD/ and ChatGPT

How well did you know this?
1
Not at all
2
3
4
5
Perfectly
4
Q

Post amputation, most effective at treating post op neuropathic pain?

a. NA
b. Regional ?
c. Ketamine
d. Gabapentinoid
e. TCA

A

Answer = Phenytoin
Methadone; Metabolised CYP3A4 and CYP2D6

Interactions
Phenytoin/Carbazapine/Rifampicin classic inducers of CYP450’s = Increased methadone metab = Decreased DOA
Grapefruit/Erythromycin/fluconazole = inhibit CYP450s = Decreased meth metab = Increased DOA.
Warfarin - small risk INR inc
Citalopram = risk QT and serotenergic syndrome.
Codeine = risk opioid resp drepssion.
Chat GPT/deranged

How well did you know this?
1
Not at all
2
3
4
5
Perfectly
5
Q

Alternate remembered: which is best at decreasing chronic pain after amputation?

a. NA
b. Regional
c. Ketamine
d. Gabapentinoid
e. TCA

A

TCA if chronic
- regional for acute postop pain

Answer = Gabapentinoid (acute and chronic) (pregabalin > gabapentin)

Treatment amputation pain = IV morphine, oral morphine, ketamine, gabapentin treat phantom pain compared to placebo.
Peroperative epidural, peripheral nerve catheter treat phantom limb pain (but not neuropathic?)
Perioperative regional catheter treats pain but does not precent PLP

Source = APMS handbook and uptodate reviewed. Complex to answer.
Amitriptyline: lowest NNT for neuropathic (w/o amputation)

How well did you know this?
1
Not at all
2
3
4
5
Perfectly
6
Q

Parkinson’s with apomorphine infusion which antiemetic to use?

a) Ondansetron
b) Droperidol
c) Prochlorperazine
d) Metoclopramide
e) Cyclizine

A

Cyclizine

  • Domperidone could be an option if present (oral only, so poor PONV)
    Ondansetron can precipitate hypotension.
    Metoclopramide, droperidol and prochlorperazine are all dopamine antagonists
How well did you know this?
1
Not at all
2
3
4
5
Perfectly
7
Q

What has the most favourable number needed to treat?

a. Paracetamol
b. Paracetamol + codeine
c. Paracetamol + ibuprofen
d. codeine
e. ibuprofen

A

Paracetamol + ibuprofen

Oral combinations of paracetamol/ibuprofen provide superior analgesia to paracetamol/codeine; both combinations are more effective than the individual medicines and have a dose-response effect (S) (Level I [Cochrane Review]). ANZCA Pain book.

How well did you know this?
1
Not at all
2
3
4
5
Perfectly
8
Q

Intra-aortic balloon pump, deflation when?

a. Start of R wave
b. Peak of R wave
c. Start of T wave
d. Peak of T wave

A

b) Peak of R wave

deflates at peak of R wave
inflates at peak of T wave

How well did you know this?
1
Not at all
2
3
4
5
Perfectly
9
Q

Child in ED needs procedural sedation. Unable to get IV access - What is the IM dose of ketamine?

1 mg/kg
2 mg/kg
3 mg/kg
4 mg/kg
5 mg/kg

A

IM ketamine: 4mg/kg then 2mg/kg topup after 10-15 mins (max 6mg/kg)
- peak effect 5 mins, duration 15-30 mins
- 5mg if ketamine dart
- 4-6mg/kg if adult (as per QHealth)

RCH ketamine: onset 3-4 mins, duration: 15-30min
Perth Children’s ketamine: peak effect 5 mins, duration 15-30mins

IV ketamine 1-1.5mg/kg over 1-2mins before procedure (RCH/Perth Children’s)
- peak effect 1-2 mins, duration 5-10 mins
- increased AEs with >2.5mg/kgRCH: 4mg/kg initially, can give further 2mg/kg to max 6mg/kg if insufficient effect

How well did you know this?
1
Not at all
2
3
4
5
Perfectly
10
Q

IM suxamethonium in paeds, onset of maximal effect?

a. 30 seconds
b. 1 minute
c. 2 minutes
d. 4 minutes
e. 10 minutes

A

Seems like onset 1-2 mins. peak effect 4 mins.

AoA 2007: the 3–4 min required for maximal twitch depression after 4 mg/kg

Sims: “onset is within 60 s and duration under 20 min. The deltoid muscle is the best site for injection.”

How well did you know this?
1
Not at all
2
3
4
5
Perfectly
11
Q

Nerve topicalised between epiglottis and VC:

a) Internal branch of superior laryngeal nerve

A

Internal branch SLN above cords
Recurrent laryngeal below cords

How well did you know this?
1
Not at all
2
3
4
5
Perfectly
12
Q

A thoracic regional technique that will NOT provide analgesia for sternal fractures is a:

a. PECS I
b. PECS II
c. Parasternal intercostal nerve block
d. Transversus throacic plane block

A

PECS 1

between pecs major and pecs minor - blocks lateral and medial pectoral nerves; doesn’t cover more medial sternum

How well did you know this?
1
Not at all
2
3
4
5
Perfectly
13
Q

Fibrinogen target in PPH?

a) 2
b) 1.5
c) 1
d) 2.5

A

2.5g/L -> QLD Health 2024 PPH/SA Health 2021

2g/L

“In the obstetric patient, the aim should be to keep fibrinogen >2 g/L” 2015 BJA obstetrics
Usual fibrinogen in parturient ~8g/L!

How well did you know this?
1
Not at all
2
3
4
5
Perfectly
14
Q

Max safe ropivacaine dose in adults:

450mg
650mg
770mg
1080mg

A

770mg

400mg if bupivacaine/24hrs

How well did you know this?
1
Not at all
2
3
4
5
Perfectly
15
Q

ANZCA endorsed guideline of GLP-1 perioperative management:

a) Do not cease periop and treat as unfasted
b) Cease 4 week
c) Cease 1 week
d) Various other options

Question written prior to updated guidelines

A

Preprocedure:
- Don’t cease GLP-1RAs (risks of hyperglycaemia and weight gain)
- 24hr clear diet (is enough to be considered fasted) then 6hr fasting

If on solids <24hrs, options are:
1) Gastric US
2) IV erythromycin 3mg/kg (caution prolonged QT)
3) Consider unfasted: GA ETT RSI (or minimal sedation)
4) Defer procedure

https://www.anzca.edu.au/getContentAsset/0f35028e-e371-4220-a49a-ddee877051c8/80feb437-d24d-46b8-a858-4a2a28b9b970/Clinical-Practice-Recommendations-Periprocedural-GLP-1RA-use-Apr-2025.pdf

How well did you know this?
1
Not at all
2
3
4
5
Perfectly
16
Q

How to prevent microschock

a) Equipotential earthing
b) LIM
c) RCD
d) Fuse

A

Equipotential earthing

Luke
Microshock
- 100uA threshold to cause VF.
- prevention = Equipotential earthing.

Macroshock
- 100mA to cause VF.
- Prevention = Body protected devices, LIM RCD, Class I and II equipment.

How well did you know this?
1
Not at all
2
3
4
5
Perfectly
17
Q

Minimum current for macroshock to cause VF
a) 10 microA
b) 100 microA
c) 10 mA
d) 100 mA

A

100mA

50-100 microA for microshock VFib

How well did you know this?
1
Not at all
2
3
4
5
Perfectly
18
Q

Intralipid max total dose?
a. 6ml/kg
b. 10 ml/kg
c. 12 ml/kg
d. 15ml/kg
e. 21ml/kg

A

12 mL/kg

Do not exceed a maximum cumulative dose of 12 mL/kg

New guidelines:

<70kg bolus 1.5ml/kg over 2-3mins then infusion at 0.25ml/kg/min. If patient remains unstable then repeat bolus and double infusion rate.

> 70kg bolus 100ml over 2-3mins then infuse 250ml over 15-20mins. If patient remains unstable then repeat bolus and double infusion rate. Max dose is still 12ml/kg. Only give if patinet has actually arrested. Consider it if no circulatory arrest. Seizure termination = midazolam.

How well did you know this?
1
Not at all
2
3
4
5
Perfectly
19
Q

Which parameter is most effective in assessing changes in volume status in children

a. Urine output
b. Change in weight

A

Change in weight

RCH IV fluids
“Repeated weights are the best measure of fluid status. Also document intake/inputs and ongoing losses (including urine output), with at least 12 hourly subtotals”

How well did you know this?
1
Not at all
2
3
4
5
Perfectly
20
Q

Minimum current for VF macroshock

A

100mA for macroshock.
0.1mA for microshock.

How well did you know this?
1
Not at all
2
3
4
5
Perfectly
21
Q

Image of an abnormal capnogram trace

a) ETT cuff leak
b) Gas analyser partial disconnection (air sampling leak)
c) Endobronchial
d) Spont breathing during PPV

A

Gas analyser partial disconnection (air sampling leak)

Cause: Air leak- loose connection between sampling tube and capnograph/broken connection or filter

Evidence: Upsloping of CO2 at the end of expiatory plateau & waveform returns to baseline

How well did you know this?
1
Not at all
2
3
4
5
Perfectly
22
Q

In a CICO how long do you pause post jet ventilation breath?
a. 10 seconds
b. 30 seconds
c. 6 seconds
d. 15 seconds

A

SpO2 dropped by 5% OR
30 seconds (if no reading)

“We recommend not jetting again until the SpO2 has dropped by 5% from the maximum achieved with the initial jet. The subsequent jet should be of 2 secs duration. This has been shown in the Wet Lab to be a safe and effective method. If there is no saturation reading insufflate 500 mls every 30 seconds.”
RACP endorsed jet oxygenation

How well did you know this?
1
Not at all
2
3
4
5
Perfectly
23
Q

Accept BSL >10 in all of the followign EXCEPT:

Diabetes ANZCA document which don’t require a higher control of BSL 10 +/- 2.5
a) Autonomic dysreflexia
b) Elderly
c) Pregnancy
d) Hypo unawareness
e) Peipheral neuropathy
f) Emergency laparotomy with poor control at baseline

A

Blood glucose target is 7.5 ± 2.5 mmol/l except for:
- Pregnancy: 5.0 ± 1.0 mmol/L
- Higher target (10.0±2.5 mmol/L):
- Emergency surgery with poor glycaemic control
- Known hypoglycaemia unawareness
- Known prolonged QT interval or autonomic neuropathy
- Elderly patients (>75 yrs)

https://www.diabetessociety.com.au/guideline/ads-anzca-perioperative-diabetes-and-hyperglycaemia-guidelines-adults-november-2022/

How well did you know this?
1
Not at all
2
3
4
5
Perfectly
24
Q

Which drug does not increase defibrillation threshold?
a. Lignocaine
b. Diltiazem
c. Sotalol

A

Sotalol the answer - “LOL defib”

Sotalol - decreases threshold
Amiodarone - can decrease or increase if acute or chronic Tx respectively
Lignocaine - increases threshold
2018 Journal

Sodium channel blocks increase energy needed.
Potassium and B-blockers decrease energy needed.

How well did you know this?
1
Not at all
2
3
4
5
Perfectly
25
Young male 30% TBSA burns first 24hrs (similar to previous year different options. Which of the following is expected? a) Increased cardiac index b) Increased stroke volume c) Increased PVR d) Increased hepatic blood flow e) Reduced SVR
Increased PVR Initially: decreased CO, increased SVR, decreased PAOP. Normalises by day 3 Hyperdynamic circulation by day 5 https://derangedphysiology.com/main/required-reading/environmental-injuries-and-toxicology/Chapter-404/physiologic-consequences-burns
26
Which scalar for propofol induction in an adult? (repeat) a) IBW b) LBW c) TBW
LBW ABW for propofol maintenace SOBA guidelines
27
ECG (see far right) 1. 1st degree 2. 2nd degree type 1 3. 2nd degree type 2 4. CHB 5. Sinus bradycardia
4. CHB
28
Carcinoid cardiac disease is associated with which valvular issue? a. Pulmonary regurgitation b. Pulmonary stenosis c. Tricuspid regurgitation d. Tricuspid stenosis
Tricuspid regurgitation - TR > PR > PS. Note left sided rare UptoDate Carcinoid: Study of 74 patients with carcinoid cardiac disease - All patients had tricuspid regurgitation, which was moderate to severe in 90 percent. - Pulmonic stenosis was present in 53 percent, and some degree of pulmonic regurgitation was present in 81 percent. - Left-sided valvular involvement was noted in five patients (7 percent). - A small pericardial effusion was seen in 14 percent; these effusions are rarely hemodynamically significant.
29
Postoperative visual loss painless with intact pupillary reflex is due to: a) vertebrobasilar ischaemia b) posterior ION c) retinal detatchment d) corneal abrasion
Vertobasiliar ischaemia = recalled answer
30
23.1 The SOFA score is used in ICU for the ax of sepsis. The score does not include: a) Lactate b) GCS c) PF ratio d) Bilirubin e) Platelets
**Lactate** SOFA includes: - CVS: MAP/vasopressors, - CNS: GCS, - Resp: PaO2/FiO2 ratio +/- mechanical ventilation, - Labs: PLT, creat +/- U/O, bili i.e. CVS/CNS/Resp/Liver/Renal - or PBC (Posh CB)
31
Indications for the use of hyperbaric oxygen therapy in the treatment of acute CO toxicity include ALL of the following EXCEPT: * metabolic acidosis * myocardial ischaemia * anaemia * age >55 years * pregnancy
**Anaemia ** * significant loss of consciousness or coma * persistent neurological dysfunction (e.g. confusion) * abnormal cerebellar examination * metabolic acidosis * myocardial ischaemia * age >55 years * pregnancy
32
A condition that is NOT a contraindication to hyperbaric O2 theapy is:
Absolute CI: (PP, BCD) - untreated pneumothorax (↑↑pleural air on decompression) - premature infants -> blindness risk - Bleomycin (O2 -> interstitial pneumonitis -> pulmonary fibrosis) - Cisplatin (↑cytotoxicity impedes wound healing) - disulfiram (Antabuse) Relative: * pregnancy * asthma * COPD * URTI * thoracic surg * seizures * fevers * optic neuritis
33
Complications of hyperbaric O2 therapy include all of the following **except**: a) Hypoglycaemia b) Cataract c) Worsening CCF d) Seizures e) Reversible hypermetropia
**Causes Myopia not hypermetropia (farsightedness).** Blue book 2019 pg 55 Complications of HBOT: - claustrophobia - hypoglycaemia - middle ear barotruama - sinus squeeze - seizure (secondary to oxygen toxicity) - progressive myopia (typically reverses completely in days to weeks) - cataracts with very long exposure - cumulative pulmnoary oxygen toxicity - pulmonary barotrauma +/- air embolism - worsens CCF in pts with severe disease due to reduced HR (incr vagal tone from hyperbaric pressures) and systemic vasoconstriction
34
In brain death testing, which is NOT a method of imaging? a) Intracerebral arterial catheter b) Radionucleotide scan c) CT angio d) MRI
**MR and transcranial doppler not recommended** Official ANZICS statement: The three acceptable imaging techniques for demonstrating absent brain perfusion are * intra-arterial catheter angiography * radionuclide imaging * computed tomography angiography (CTA). MRI and trans-cranial doppler are not acceptable.
35
How long to wait after cardiac arrest to certify brain death? a. 12 hours b. 24 hours c. 48 hours d. 96 hours
24hrs: Acute Hypoxic -Ischaemic Encephalopathy or post cardiac arrest: Clinical examination delayed for 24hrs after return of spontaneous circulation. If the underlying cause is not evident from clinical history (e.g. cardiorespiratory arrest from drowning), neuroimaging should be performed to investigate intracranial pathology. According to the ANZICS statement on death and organ donation (2021), for the diagnosis of brain death after resuscitation and ROSC following cardiorespiratory arrest, clinical tetsing should be delayed for at least? 24 hrs.
36
Conns syndrome what happens to glucose, Na and K
Conn's --> Primary hyperaldosteronism **Hyperglycaemia or normal, Hypernatreamia, Hypokalaemia** Imparied glucose metabolism can occur due to effects of hypokalaemia inhibiting insulin secretion
37
Central 7.5fr into carotid artery accidentally, for elective aortic valve replacement. Action? a. Vascular surgeon urgently b. Heparinise via another central line c. Remove and place pressure on
Leave dilator or catheter in place and consult surgeons/intervential radiology immediately. management options are: - remove and apply direction pressure - percutaneous vascular closure device (eg Proglide) - endovascular balloon closure - open surgical repair https://journals.lww.com/anesthesiology/fulltext/2020/01000/practice_guidelines_for_central_venous_access.9.aspx
38
Arndt blocker- which port does the bronch go down? Diagram provided
B. The top one so it goes straight down.
39
Medical air what colour is it: a) White body with black and white shoulder b) White body, white shoulder c) White body, blue and white shoulder d) White body, ultramarine shoulder e) White body, grey top
a) White body with black and white shoulder
40
Which one is NOT a risk factor for cardiac adverse events? Uncontrolled HTN Prev Hx cardiac failure IHD DM CKD
Uncontrolled HTN (as it's not a factors in RCRI) RCRI includes: * high risk surg * IHD * CCF * CVA/TIA * insulin treatment * CKD (Cr >177
41
Methylprednisolone dose in TBI 0mg/kg 5mg/kg 10mg/kg 15 20
0mg/kg BTF - Level 1 evidence of harm with methylpred
42
Takotsubo cardiomyopathy: What % of Takostubo CM patients fully recover to normal LVEF? a) 10% b) 20% c) 50% d) 75% e) 90%
90%? https://www.acc.org/latest-in-cardiology/journal-scans/2024/09/20/14/55/recovery-of-left-ventricular?utm_source=chatgpt.com
43
Patient in VF during open aortic valve repair – what is the maximum safe energy for internal defibrillation? a. 20J b. 50J c. 100J
50J Internal defib requires less energy. Biphasic more effective than monophasic. For biphasic shocks, use 10- 20 J, delivered directly to the myocardium through internal paddles. Monophasic shocks require approximately double these energy levels. Do not exceed 50 J when using internal defibrillation - failure to defibrillate at these energy levels requires myocardial optimisation before defibrillation is attempted again https://lms.resus.org.uk/modules/m65-non-technical-skills/resources/chapter_9.pdf
44
Lady having a vag hysterectomy her DPP4 should be: a) Stopped due to hypoglycaemia b) Stopped due to impaired gastric emptying c) Stopped due to eDKA d) Continued
**Continue** * SGLT2 inhibitors should be withheld for two days prior to surgery and the day of surgery. The exception is for minor surgery patients (including Day Stay) who only need to omit their SGLT2i agents on the morning of their procedure. * All other anti-hyperglycaemic medications should be continued up to and including the night before surgery. * All non-insulin anti-hyperglycaemic medications should be withheld on the day of surgery. ANZCA-ADS guidelines https://www.diabetessociety.com.au/wp-content/uploads/2023/03/ADS-ANZCA-Perioperative-Diabetes-and-Hyperglycaemia-Guidelines-Adults-November-2022-v2-Final.pdf
45
CXR showing valve replacement , which one is it? (there were two valves, it was pointing to the AV) a) Aortic valve b) Mitral valve c) Pulmonary valve d) Tricuspid valve
a) Aortic valve Article on how to determine which valve https://radiopaedia.org/cases/position-of-avr-and-mvr
46
List the STOP-Bang elements?
Snoring Tiredness Observed apnoea Pressure (HTN) BMI (>35) Age (>50 years) Neck circumference (>40cm) Gender (Male)
47
Lambert-Eaton Myasthenic syndrome is associated with a) reduced sensitivity to DMB & NDMB b) increased sensitivity to DMB, reduced sensitivity to NDMB c) reduced sensitivity to DMB, increase sensitivity to NDMB d) increased sensitivity to DMB & NDMBLambert-Eaton myasthenia syndrome is associated with:
**Increased sensitivity to BOTH depol and non-depol NMBDs** https://academic.oup.com/bjaed/article-abstract/11/4/119/266998?redirectedFrom=fulltext
48
What is the duration of action of carbetocin? a) 1 hrs b) 2 hrs c) 3hrs d) 4hrs e) 5hrs
Duration: 1 hr IV, (2hrs if IM) Onset: 2 mins Duration oxytocin 3-5 mins
49
A nerve that does not provide sensory innervation to the shoulder joint is the * Axillary * Lateral Pectoral * Subscapular * Supraclavicular * Suprascapular
Supraclavicular
50
What is the likelihood of a p value equal to or greater than 0.05 for a study repeated with exactly the same conditions and same sample size that produced a p value of 0.05? * 5% * 20% * 50% * 80% * 95%
50% Key Point from Goodman (1999): “If a study produces a p value of 0.05, and the same study is repeated under identical conditions, there is approximately a 50% chance the p value will exceed 0.05, due to sampling variability.” This is a well-accepted statistical principle that reflects the variability of p-values, especially when they are near the arbitrary threshold of significance (0.05). It highlights why replication is crucial in scientific research.
51
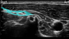
Identify nerve labelled K
Ulnar nerve
52
Which risk factor is the LEAST associated with extravasation of vasopressor? a) elderly b) neonate c) low infusion rate d) drugs below pH 5.5 e) diabetes
Slower infusion rate. There are several risk factors for extravasation from a peripheral vein. These can be categorised as: **Patient-related factors** * Increased skin and vein fragility (extremes of age, corticosteroids, chemotherapy and i.v. drug use) * Altered pain perception (peripheral vascular disease, diabetes mellitus and stroke) * Impaired venous return (venous insufficiency and superior vena cava obstruction) * Communication impediment (language issues, sedated, unconscious or confused) **Vein selection** * Cannula sited distal to previously attempted venepuncture/cannulation site * Cannulation of periarticular areas, such as the foot, ankle and antecubital fossa (greater risk of catheter dislodgement), and sites of previous radiation or surgery and after lymph node clearance/lymphoedema **Drug provision factors** * Inadequately secured or non-visible insertion sites (opaque dressings and bandage) * Drug given by distracted, untrained or inexperienced personnel * Use of power injectors (routine in diagnostic and interventional radiology settings) * Use of drug delivery device without a pressure-limiting mechanism or resistance alarm * Use of steel-winged infusion devices (e.g. metal butterfly needles) * Prolonged infusion or high infusion rate
53
Identify nerve labelled P
Long Thoracic Nerve
54
Level 2 check, double bag to check? a. Low pressure leak b. Insp limb obstruction c. Exp limb obstruction
Expiratory limb obstruction
55
Obesity in pregnancy does not increase risk of: a. antenatal depression, b. cholestasis, c. pre eclampsia
Cholestasis Overweight and obesity have not been directly associated with intrahepatic cholestasis https://www.sciencedirect.com/science/article/pii/S1665268122002216#abs0001
56
A patient with long term severe anorexia nervosa is commenced on a normal diet. Three days later she develops cardiac failure and exhibits decreased LoC. The most important parameter to assay and normalise is the plasma: a) Hyperkalaemia b) Hypophosphatemia c) Hypocalcaemia d) Hypomagnesaemia
Hypophosphataemia https://www.bjaed.org/article/S2058-5349(22)00130-5/fulltext
57
O2 from wall running at 6L/min on flowmeter. If tube is kinked what pressure is reached? a. 1 atm b. 2 atm c. 3 atm d. 4 atm
4 atm most likely Medical gas wall pressure is 4atm
58
Nerve stimulator to posterior cord what would you expect: a) Weakness elbow flexion b) Weakness elbow extension c) Weakness wrist extension d) Wrist flexion e) Thenar eminence
Wrist extension most likely (some elbow extension) posterior cord supplies RADIAN, axillary, upper and lower subscapular, thoracodorsal
59
Patient on chronic daily oral hydromorphone 12mg, what is an appropriate daily parenteral morphine dose: a. 5 b. 10 c. 15 d. 20 e. 25mg
d) 20 via FPM opioid calculator app 12mg hydromorphone = 60mg OME = 20mg IV morphine 1 mg hydromorphone --> 5 mg oral morphine; 3 mg oral morphine --> 1 mg IV morphine
60
A man has symptomatic carbon monoxide poisoning. His pulse oximetry (SpO2) and arterial blood gas (PaO2) would be expected to show? a) Normal SpO2, Normal PaO2 b) Normal SpO2, reduced PaO2 c) Reduced SpO2, normal PaO2 d) Reduced SpO2, reduced PaO2
a) Normal Normal Normal 0.5% COHb. Smokers higher, usually < 10%. CF = Headache, dizzy, n/v, tachycardia, htn, risk of syncope. ABG: Normal Pa02, elevated lacate, may show metabolic acidosis. Sp02; false elevated 95-99% on pulse oximeter. Need to use co-oximetry. Rx = High Fi02 oxygen (e.g hudson mask non rebreather) until CoHB <10%.
61
Where does a bidirectional Glenn shunt attach? * SVC to right PA * SCA to right PA * IVC and SVC to right PA * SVC to main PA
**SVC to right PA** Often 2nd procedure (involves supplanting Blalock-Taussig)
62
Least likely to affect thrombin time: a) Bivalirudin b) Dabigatran c) Warfarin d) Clexane e) Heparin
**Warfarin (and Xa inhibitors)** Anticoagulants with no effect on TT: * Warfarin * Apixaban; Rivaroxaban * Fondaparinux * Danaparoid
63
Addition of vancomycin to cephalozin effect on surgical site infection? a) Reduce by 20% b) Reduce by 40% c) No change d) Increase by 20% e) Increase by 40%
No change Vanc may help MRSA, but no benefit without MRSA https://www.nejm.org/doi/full/10.1056/NEJMoa2301401
64
Which causes the most gastric ulceration? a) Naproxen b) Ibuprofen c) Diclofenac d) Ketorolac e) Indomethacin
Ketorolac Australian prescriber: The relative risk of upper gastrointestinal complications for aceclofenac, celecoxib and ibuprofen is low (<2). Diclofenac, meloxicam and ketoprofen are intermediate (2–4) while naproxen, indomethacin and diflunisal have a higher relative risk (4–5). The highest pooled relative risk is associated with piroxicam (7.4) and ketorolac (11.5)
65
What do the numbers 1-5 in the image represent: a) Severity of air leak b) Suction c) Intrapleural pressure
Severity of air leak
66
In an adult patient with reduced mouth opening, insertion of a classic design LMA may be easier than with other supraglottic devices because of its? a) Bite block b) Gastric port c) Low profile d) Preformed curve
c) low profile
67
Paediatric SVT has a pulse but haemodynamically stable how many joules for synced shock: a) 1/kg b) 2/kg c) 4/kg
1J/kg then 2J/kg for SVT and pulsatile VT If pulseless -> 4J/kg https://www.rch.org.au/clinicalguide/guideline_index/supraventricular_tachycardia_svt/
68
IO sample correlates with VBG least for which of the below? a. Albumin b. Potassium c. Hb d. Platelets e. Chloride
Potassium and platelets https://litfl.com/intraosseous-access/ IO samples poorly correlate with venous samples for: - WBCs, Platelets - Serum CO2 - Sodium/Potassium/Calcium
69
Amiodarone dose 20kg child
5mg/kg Previous Q: 22.1 A four-year-old boy is in refractory ventricular fibrillation. The recommended dose of amiodarone is... ([agex2]+8 = 16kg x 5mg/kg = 80mg)
70
Anzca open disclosure framework purpose includes all **except**: a) Explain to patient b) Patient gets to be heard c) Opportunity to satisfy medico-legal requirements d) Apologise and voice regret e) Explain treatment post F) Mention how issue will be rectified in department
c) Opportunity to satisfy medico-legal requirements There are 8 principles: - open and timely communication - acknowledgement - apology or expression of regret - supporting and meeting the needs and expectations of patients, family and carers - supporting and meeting the needs and expectations of those providing health care - integrated clinical risk management and systems improvement - good governance - confidentiality
71
What is not in beriplex? a) Factor 7 b) Factor 10 c) Factor 2 d) Protein S e) VWF
e) vWF BERIPLEX is a 4-factor prothrombin complex concentrate (PCC) with FII, FVII, FIX, FX (also contains heparin, proteins C & S) https://www.rch.org.au/bloodtrans/about_blood_products/Beriplex/
72
The technique of airway pressure release ventilation (APRV): a. Has a prolonged expiratory time b. Augments cardiac output in hypovolaemic patients c. Results in reduced mean airway pressures d. high pressure vent to improve recruitement e. spont vent f. for hypoxia in restrictive lung Dx
d. high pressure vent to improve recruitement
73
You have been managing a case of malignant hyperthermia in an 80 kg man and have given a total of 400 mg of dantrolene (Dantrium). The amount of mannitol you have also administered is: a. None b. 1.6g c. 12g d. 40g e. 60g
e. 60g 3g per vial, 20mg vials. Ryanodex 125mg mannitol, 250mg dantrolene
74
A person with allergy to mammalian meat which product is **SAFE** to use: a) Factor 7 b) Protamine c) Heparin d) Clexane e) Bivalirudin
Protamine is SAFE (recombinant factor VII safe) Heparin most likely worse if allergic - pigs "alpha gal syndrome" - allergy to red meat.
75
In hyperkaelamia, when does the maximum effect of 10mg nebulised salbutamol occur? a) 5min b) 15min c) 30min d) 4hrs
If Peak effect: 120 mins (potentially 90 mins as per some sources) If duration of effect: ≥2hrs (up to 6) - Onset ≤30 mins https://annalsofintensivecare.springeropen.com/articles/10.1186/s13613-019-0509-8https://annalsofintensivecare.springeropen.com/articles/10.1186/s13613-019-0509-8
76
What will result a) Anterolateral neck numbness b) Carotid sheath analgesia c) Phrenic nerve palsy d) Motor to SCM
**Anterolateral neck numbness** Superficial cervical plexus block Note carotid sheath analgesia comes from deep cervical plexus block
77
Periarrest sodium bicarbonate dose for 80kg patient, with K 6.9?
80mL remembered answer HyperK = 1mmol/kg (LITFL)
78
What does the red Pressure-volume loop represent
Duck bill = overextension
79
cell salvage - leukodepletion filters do NOT protect against: a. vernix b. alpha fetoprotein c. foetal rbc d. amniotic fluid e. foetal squamous cell
Fetal RBC You are using intraoperative cell salvage during a high-risk caesarean section. The salvaged blood has been washed and reinfused through a leukodepletion filter. This process should remove all of the following EXCEPT
80
The independent predictors for severe bone cement implantation syndrome in cemented hemiarthroplasty for hip fracture do not include? a) Male b) General Anaesthesia c) Severe cardiopulmonary disease d) Diuretic use e) AGE
General Anaesthesia Age & diuretics are RFs 'old guys with cardiopulmonary disease on diuretics'
81
Graph of days in hospital vs frequency three lines needed to identify the mode mean and median
A. Mode (Most frequent data point) B. Median (Middle result - divides the data in half) C. Mean (is the average)
82
PONV is increased in paediatrics greater than or equal to: a) 1 b) 2 c) 3 d) 4 e) 5
3 yr
83
Management of torsades with a pulse a) Synced Shock 50j b) Magnesium c) Synced Shock 200j d) Unsynced 50j e) Unsynced 200j
Synced 50j Synchronized cardioversion should be performed on a hemodynamically unstable patient in torsades who has a pulse, (100J monophasic, 50J Biphasic) Per: https://www.ncbi.nlm.nih.gov/books/NBK459388/
84
What do SGLT inhibitors NOT cause: a. Euglycaemic ketoacidosis b. Hypoglycaemia c. Glycosuria d. Decreased mortality in cardiac failure e. Acute kidney injury
Technically all of these options are correct Hypercalcaemia inoptions from 2020.2, are we 100% sure these are the remembered options?
85
Lung function test shows: * Low FEV * normal FVC * normal DLCO Consistent with which of the following: * asthma * pulmonary hypertension * obesity
asthma
86
Minimum weight for a microcuff ETT a) 1 kg b) 3 kg c) 5 kg
3kg The Neonatal Resuscitation Program recommends endotracheal tube size (ETT) selection for neonatal intubation using the following weight-based ranges: * <1 kg - 2.5 mm ETT * 1 to 2 kg - 3.0 mm ETT * >2 kg - 3.5 mm ETT
87
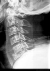
What does this X-ray demonstrate?
Cervical fracture dislocation C5-C6.
88
Breast surgery: GA with volatile vs TIVA with regional a) neuropathic pain reduced 6 mo / 12 mo b) reduced scar pain 6 mo c) no difference d) reduced cancer recurrence
A people i asked at the melbourne course, APMSE
89
What is the youngest age for caffeine muscle biopsy testing for MH? a) 2yo b) 4yo c) 8yo d) 10yo e) 12yo
10 yo
90
In a 21-year-old man with an isolated acute severe traumatic brain injury, systolic blood pressure should be maintained at a level equal to or greater than
18-49 yr: SBP 110, 50-69 yr: SBP 100mg, 70+ yr SBP 110mg
91
Which condition can you not give indocyanine green? a) porphyria b) methhaemaglobin c) G6PD d) anaphylaxis to iodine e) methylene blue allergy
Avoid methylene blue in G6PD
92
Which arterial line most likely to reflect coronary sinus in VA ECMO 'Arterial oxygen tension in a patient on ECMO'
a) Right radial artery
93
Jet ventilation for shared airway surgery is traditionally delivered at pressures in atmospheres (atm) of: A) 1 ATM B) 2 ATM C) 3 ATM D) 4 ATM
3 ATM Most manujet ventilator have a pressure regulator attached up to 3 or 3.5bar/atm. Ideally don't need that high pressure for use for high frequency jet ventilation. If no pressure regulator, theoretically could go up to 4 bar
94
What is the most accurate measure of core body temperature (BYPASS PT): a. Nasopharyngeal b. Pulmonary artery c. Bladder d. Arterial outlet
Rewarming: nasopharyngeal done in practice for cerebral Pulmonary artery > nasopharyngeal (~10-20cm in) > bladder >> tympanic - in terms of accuracy "Pulmonary artery (PA) or nasopharyngeal temperature recording is reasonable for weaning and immediate postbypass temperature measurement." 2015 Society of Thoracic Surgeons doesn't differentiate between the two
95
In the GOLD ABE assessment tool for COPD, what qualifies as E? a) ≥1 exacerbation b) Inability to walk up a hill c) ≥2 hospitalisations d) ≥1 hospitalisation
≥ 2 moderate exacerbations **OR** ≥1 hospitalisation
96
What is the systolic blood pressure for intervention for an ischaemic stroke which has not had lysis or clot retrieval (did not comment if intervention was for increased or decreased BP) a) 140 mmHg b) 160 mmHg c) 180 mmHg d) 200 mmHg e) 220 mmHg
Target 140-180mmHg Per AHA guidelines: * SBP is <185mmHg and DBP <110 mmHg before IV fibrinolytic therapy * maintain BP ≤185/110mmHg before Mechanical thrombectomy and for 24 hours after the procedure https://www.ahajournals.org/doi/pdf/10.1161/STR.0000000000000211
97
Pt is on fluoxetine, which drug has LOWEST risk of serotonin syndrome? tramadol oxycodone morphine fentanyl pethidine
Morphine Fentanyl, oxycodone, and tramadol as per 2020 BJA Pethidine does risk serotonin syndrome unlike morphine (as per Google). https://www.nps.org.au/assets/AP/pdf/p41-Perananthan-Buckley.pdf
98
What is the minimum timeframe for NIBP monitoring as per ANZCA guidelines? 5 mins 10 mins 15 mins 20 mins
10 mins ANZCA PG18 https://tinyurl.com/3nr6zyj2
99
Which lung lobe is divided into medial and lateral segments? a. RUL b. RML c. RLL d. LUL
RML https://radiopaedia.org/articles/bronchopulmonary-segmental-anatomy-1 mnemonics: Right lung segments = A PALM Seed Makes Another Little Palm Left lung segments = ASIA ALPS
100
Brugada syndrome - which drug is safe? a) Propofol b) Ketamine c) Lignocaine d) Amiodarone e) Thiopentone
Thiopentone Per Orphan Anaesthesia Safe: * Thiopentone * volatiles * Morphine * Fentanyl Maybe safe: * Propofol (lower dosing needed), * ketamine (toxicity at higher than clinically doses) * lidnocaine Avoid: * Amiodarone https://www.orphananesthesia.eu/rare-diseases/published-guidelines/brugada-syndrome/177-brugada-syndrome/file.html
101
What is the best predictor for post-operative respiratory failure in MG? 'Postoperative implications in myasthenia gravis': a) pyridostigmine dose 500mg b) BMI C) VC 1.8L d) resp disease/COPD
Set of weighted risk factors that predict increased likelihood for post-operative mechanical ventilation for patients with MG having GA with paralysis Risk factors: * duration of disease >6 yrs * co-existing pulmonary disease * pyridostigmine dose >750mg/day * pre-op VC <2.9L. Four risk factors have been identified: (Anesthesiology 1980; 53: 26-30) * Duration of myasthenia gravis for longer than six years (12 points). (Duration of MG proved to have the greatest value in predicting the need for ventilatory support). * A history of chronic respiratory disease other than respiratory dysfunction directly due to MG (10 points). * A dose of pyridostigmine greater than 750 mg per day, 48 hr before operation (8 points). * A preoperative vital capacity < 2.9 L (4 points) These risk factors were weighted according to their significance as predictors; a total score of ≥ 10 points identified those patients likely to need postoperative pulmonary ventilation for more than three hours.
102
A new antiemetic drug ‘X’ is being evaluated. The percentage of patients who suffered postoperative nausea and vomiting (PONV) after administration of either the drug ‘X’ or placebo is as follows: percentage of patients with PONV after drug X = 20%; percentage of patients with PONV after placebo = 25%. The number needed to treat (NNT) is: a. 5 b. 20 c. 22.5 d. 25 e. 45
20 NNT = 1/ARR (absolute risk reduction) ARR = 0.25-0.20 = 0.05 NNT = 1/0.05 = 20
103
Topicalisation for paeds AFOI lignocaine: a) 3mg/kg b) 4mg/kg c) 5mg/kg d) 7mg/kg e) 9 mg/kg
b) 5mg/kg Neonatal 3–4 mg/kg Paeds 4-5mg/kg Adults 9mg/kg https://www.frontiersin.org/journals/pediatrics/articles/10.3389/fped.2021.699159/full#B50 https://na.eventscloud.com/file_uploads/d1e225df92f10b6d4f5fdecc842f8193_P8.pdf
104
The correct blood collection tube for mast cell tryptase is: a. Potassium EDTA b. Serum separating tube c. sodium citrate d. sodium oxalate
Serum separating tube (gold top)
105
Oral bioavailability of ketamine: a) 10% b) 20% c) 40% d) 80%
b) 20%
106
Pin index system for oxygen: a) 1,5 b) 2,5 c) 3,5 d) 1,6
b) 2, 5
107
What nerve supplies the sensation of the red portion a) Sural b) Deep peroneal c) Superficial peroneal d) Lateral cutaneous nerve of the calf e) Saphenous
a) Sural nerve
108
Emergence delirium is increased by all of the following except: a) younger age b) parental anxiety c) bad interaction with medical professionals d) volatile anaesthetic e). ENT
younger age Emergence Delirium in Children - OpenAnesthesia https://www.openanesthesia.org/keywords/emergence-delirium-in-children/
109
What process involves comparison data (internal & external) to drive continuous improvement, measuring performance against peers or standards to enhance patient safety, outcomes, and efficiency? a) Acting b) Doing c) Planning d) Benchmarking e) Checking
Benchmarking
110
What is NOT part of the Revised Trauma Score: a. Respiratory Rate b. Heart Rate. c. GCS d. Systolic BP
b. Heart Rate https://www.mdcalc.com/calc/683/revised-trauma-score#next-steps
111
The Rank of volatile anaesthetic agents from highest to lowest derived global warming potential over 100 years (GWP100) is? a) nitrous, des, iso, sevo b) des, iso, nitrous, sevo c) des, nitrous, iso, sevo d) nitrous, des, sevo, iso
b) des, iso, nitrous, sevo https://www.asahq.org/about-asa/governance-and-committees/asa-committees/environmental-sustainability/greening-the-operating-room/inhaled-anesthetics
112
Which of the follopwing is an indication for VV ECMO a) pulmonary contusion b) pulmonary htn c) right heart failure
a) pulmonary contusion
113
Location of erector spinae block / clinical anatomy related to uss guided ESPB a) anterior erector spinae posterior to tp b) between the fascial plane of erector spinae and rhomboids c) posterior to both erector spinae and spinous process d) superficial to the infraspinatus fossa e) superficial to the lamina
a) anterior erector spinae posterior to tp
114
What foramen does the LA go through for sphenopalatine block? a) Greater palantine foramen b) Lesser palantine foramen c) Pterygopalantine fossa
c) Pterygopalantine fossa Local anesthetic (LA) for a sphenopalatine ganglion (SPG) block is applied topically near the Sphenopalatine Foramen (SPF), which connects the nasal cavity to the pterygopalatine fossa Sphenopalatine Ganglion (SPG): A knot of nerve cells located in the pterygopalatine fossa, a small space behind the middle turbinate in the nasal cavity.
115
What does this ECG show? a) Atrial fibrillation b) Lown-Ganong-Levine (LGL) Syndrome c) Previous Myocardial Infarction d) Wolf-Parkinson White Type B d) Left Ventricular Hypertrophy
D) Wolf-Parkinson White Type B https://litfl.com/pre-excitation-syndromes-ecg-library/
116
Arterial oxygen saturation targets for: * ACS * CVA * Previous bleomycin exposure
* ACS - 94-98% (per ANZCOR) * CVA - >94% (https://pubmed.ncbi.nlm.nih.gov/31662037/) * Previous bleomycin exposure - 89-94% (https://www.uptodate.com/contents/bleomycin-induced-lung-injury?search=bleomycin&source=search_result&selectedTitle=2~144&usage_type=default&display_rank=1#H3448649854)
117
You are examining the precordium of a patient in the pre-anaesthetic clinic and hear a fourth heart sound. This finding is consistent with? a) AR b) Athlete c) Normal d Hypertension
Hypertension
118
Bivalirudin mechanism of action: a) Direct thrombin inhibitor b) Factor xa inhibitor c) Factor 2a inhibitor d) factor V inhibitor e) factor I inhibitor
Direct thrombin inhibitor
119
According to the NAP 6 Report the drug with the highest rate of anaphylaxis (events per exposure) is: a) Teicoplanin b) Amoxicillin c). Cephazolin d) Clindamycin e) Gentamicin
Teicoplanin Teico 17x more likely to cause anaphylaxis Teicoplanin > patent blue dye > suxamethonium > rocuronium https://www.nationalauditprojects.org.uk/downloads/NAP6%20Chapter%206%20-%20Summary%20of%20main%20findings.pdf
120
Cryoprecipitate is a concentrated source of all the following except? a) Factor I b) Factor II c) Factor VIII d) vWF e) Fibronectin
Factor II
121
What decreases the effectivenss of methadone? a) grapefruit juice b) citalopram c) phenytoin
C) phenytoin https://australianprescriber.tg.org.au/articles/medicines-used-in-the-treatment-of-opioid-dependence.html#r119
122
How to avoid gas-trapping with COPD during PPV: a) Decreased RR b) Reduce TV c) Increase inspiratory time
a) decreased RR Other techniques: decrease I:E ratio, decrease TV, set exogenous PEEP to 2/3 PEEPi - can also disconnect ETT from circuit to facilitate spontaneous exhalation
123
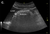
Gastric ultrasound image shows: a) Fluid less than 100 b) Fluid over 100ml c) Gastric fluid with some air bubbles d) Early stage solid
a) Fluid less than 100mL * The antrum is round and distended with thin walls * The content appears anechoic or hypoechoic * The size of the antrum is proportional to the gastric volume * The antrum will appear larger in the RLD compared to the supine position * A volume assessment can differentiate a low (normal) quantity of baseline gastric secretions from a higher (non-fasting) volume
124
Gastric ultrasound image shows: a) Fluid less than 100 b) Fluid over 100ml c) Gastric fluid with some air bubbles d) Early stage solid
b) Fluid over 100mL Gastric antrum containing fluid with a ‘starry night’ appearance. Seen shortly after ingestion of clear fluids or effervescent drinks
125
Gastric ultrasound image shows: a) Fluid less than 100 b) Fluid over 100ml c) Late stage solid d) Early stage solid
d) Early stage solid Gastric antrum after recent ingestion of solids, with a ‘frosted glass’ appearance. The anterior antral wall is visible, but there are no clear structures seen deep to the anterior antral wall.
126
(Gastric ultrasound image) shows: a) Fluid less than 100 b) Fluid over 100ml c) Late stage solid d) Early stage solid
c) Late stage solids Gastric antrum containing solids, with heterogeneous echogenicity representing different consistency of solids consumed
127
The most reliable clinical indicator of opioid-induced ventilatory impairment is decreased: a) resp rate b) concious state c) BP d) heart rate
b) conscious state
128
Gastric ultrasound image shows: a) Fluid less than 100 b) Fluid over 100ml c) Late stage solid d) Early stage solid
b) Fluid over 100ml The antrum is round and distended with thin walls The content appears anechoic or hypoechoic The size of the antrum is proportional to the gastric volume The antrum will appear larger in the RLD compared to the supine position
129
Addisonian crisis what happens to glucose, Na and K
Hyperkalaemia, hypercalcaemia hyponatraemia, hypoglycaemia
130
Gastric ultrasound image shows: a) Fluid less than 100 b) Fluid over 100ml c) Late stage solid d) Early stage solid
d) Early stage solid Gastric antrum after recent ingestion of solids, with a ‘frosted glass’ appearance. The anterior antral wall is visible, but there are no clear structures seen deep to the anterior antral wall.
131
Shortness of breath in hepatopulmonary syndrome: * Worse when sitting upright * Worse when lying down
Hepatopulmonary syndrome (HPS) can cause shortness of breath that is relieved by lying down and worse when sitting. This is because HPS involves abnormal widening of blood vessels in the lungs = V/Q mismatch when sitting upright, particularly in the lower regions.
132
Indication for corticosteroid administration in anticipated preterm birth
Fetal lung maturation. Decreases neonatal respiratory distress syndrome, IVH, early sepsis and necrotising enterocolitis
133
Data set (something like the picture, not exact). What is the most appropriate method for analysis: a) Logistic regression b) Pearson correlation c) Spearmans rho d) Chi-squared analysis
b) Pearson correlation * Measures how closely the data points points on a scatter plot assume a straight line * Measures the strength and direction of a linear relationship between two variables * Assumes a linear relationship between the two variables. Applied after linear regression.
134
Data set (something like the picture, not exact). What is the most appropriate method for analysis: a) Logistic regression b) Pearson correlation c) Spearmans rho d) Chi-squared analysis
c) Spearmans rho Spearman's Rank Correlation is a statistical measure of the strength and direction of the monotonic relationship between two continuous variables.
135
Data set (something like the picture, not exact). What is the most appropriate method for analysis: a) Logistic regression b) Pearson correlation c) Spearmans rho d) Chi-squared analysis
a) Logistic regression * Predicts the probability of a binary outcome (0/1, yes/no) * Uses the sigmoid function to map inputs to probabilities (0 to 1) * Ideal for classification tasks
136
Data set (something like the picture, not exact). What is the most appropriate method for analysis: a) Logistic regression b) Pearson correlation c) Spearmans rho d) Chi-squared analysis
d) Chi-squared Chi-squared is a statistical test used to determine if there's a significant relationship between two categorical variables, comparing observed counts in categories to expected counts to see if differences are due to chance or a real association,
137
Which leads to increased DLCO a) Sarcoidosis b) Asthma c) Pulmonary HTN d) Anemia
Increase: exercise, asthma, obesity, polycythemia, pulmonary haemorrhage Decrease: anaemia, COPD, ILD, sarcoid, pulmonary HTN
138
Which respiratory condition doesn't reduce DLCO? a) Sarcoidosis b) Asthma c) Obesity d) Anemia
Asthma Increase: exercise, asthma, obesity, polycythemia, pulmonary haemorrhage Decrease: anaemia, COPD, ILD, sarcoid, pulmonary HTN
139
Which phonocardiograph is mitral stenosis
E
140
Which phonocardiograph is normal
A
141
Which phonocardiograph is aortic stenosis
B
142
Which phonocardiograph is mitral regurgitation
C
143
Which phonocardiograph is aortic regurgitaton
D
144
Intraoperative cell salvage is contraindicated in: a) LSCS b) Revision of infected THR c) Heparin allergy d) Severe coagulopathy e) Phaeochromocytoma
Phaeochromocytoma
145
Dose of FFP to raise the fibrinogen by 1.0 a) 10ml/kg b) 20ml/kg c) 30ml/kg d) 40ml/kg
a) 30 mL/kg 2023 bluebook Fibcon = 20g/L Cryo = 15-17g/L FFP = 2g/L
146
Which of the following conditions will give you euvolemia and hyponatremia? a) cerebral salt wasting b) pregnancy c) SIADH d) ketonuria
SIADH
147
Which phonocardiograph is ventricular septal defect
F
148
Paediatric potential C-spine trauma in 3 year old, what’s the best management a. Sedate the child until C-spine is adequately aligned b. Use Hard collar c. Use thoracic elevation device d. Restrain child to hard board e. CT as first line imaging
Use thoracic elevation device (basically just a mat under thorax/abdo) Ideally the spine should be kept in a neutral position with the child lying flat. In a child under 8 years old this may be achieved by a thoracic elevation device and in a teenager head elevation device may be used https://www.rch.org.au/clinicalguide/guideline_index/cervical_spine_assessment/ https://www.rch.org.au/clinicalguide/guideline_index/Thoracic_elevation_device_-_Airway_pad/
149
What is an appropriate dose/volume for a caudal for an orchidopexy for a 2yr old. Options were in mL/kg based on weight #Alternate for 0.2% ropivacaine in 12 year old for orchidopexy
Answer 1mL/kg * Sacral Dermatomes: 0.5 mL/kg * Lumbar Dermatomes: 1 mL/kg * Thoracic Dermatomes: 1.25 mL/kg https://www.baby-blocks.com/block-detail/caudal
150
According to the ANZICS statement on Death and Organ Donation (2021), for the diagnosis of brain death after resuscitation and ROSC, clinical testing should be delayed for at least a) 12 hours b) 24 hours c) 36 hours d) 48 hours e) 72 hours
24 hrs
151
Anaphylaxis management in a child Might be: A 5 year old child with severe light-threatening anaphylaxis and no IV access, the recommended initial dose of intramuscular adrenaline is: a) 100mcg b) 150mcg c) 300mcg d) 500mcg e) 600mcg
150mcg
152
ECG a) Acute coronary syndrome b) LVH c) HOCM d) Viral e) Bi-fasicular block
153
Patient on 100mg tramadol BD what is the oral morphine equivalent: a) 10mg b) 20mg c) 30mg d) 40mg e) 50mg
d) 40mg Oral Morphine Equivalent Oral Tapentadol 25mg = 8mg Oral Morphine Oral Oxycodone 5mg = 8mg Oral Morphine Oral Tramadol 25mg = Oral Morphine 5mg Oral Hydromorphone 4mg = Oral Morphine 20mg S/L Buprenorphine 200mcg = 8mg Oral Morphine IV Oxycodone 5mg = Oral Morphine 15mg IV Morphine 5mg = Oral Morphine 15mg IV Hydromorphone 1mg = Oral Morphine 15mg
154
Pulmonary function test in cystic fibrosis What spirometric picture is seen in a patient with cystic fibrosis? a) mixed obstructive/restrictive b) restrictive c) obstructive d) normal e) restrictive with low DLCO
CF typically reveals an obstructive pattern mucous narrowing airways = obstructive parenchymal damage = restrictive
155
Which phonocardiograph is aortic stenosis
B
156
Spontaneously ventilating 2 year old on T-piece at 3L/min. During transport rapidly increasing carbon dioxide. What to do next? a) Increase ventilation b) Remove filter c) Increased FGF d) Paralyse pt e) Salbutamol
Increase FGF
157
Which phonocardiograph is normal
A
158
What is the structure labelled P
Ulnar nerve
159
Which phonocardiograph is aortic regurgitation
D
160
Transjugular intrahepatic portosystemic shunt (TIPS) is contraindicated in: a) hepatorenal syndrome b) refractory ascities c) Severe TR d) variceal bleeding e) budd chiari
Severe TR
161
Which phonocardiograph is mitral stenosis
E
162
Human albumin 5% - what is the observed electrolyte abnormality? a) hypernatremia b) hypercalcemia c) hyperphosphatemia d) hyperchloremia
Hypernatraemia 4% Albumin has 140mmol/L Na+, 128mmol/L Cl, 6.8mmol/L octanoate. Risk of hypernatraemia if already high Na+ Albumin binds Ca2+, if anything would be a issue in hypocalcemia. HyperK, hyperPO4- no clear interactions. Source = https://www.medsafe.govt.nz/profs/datasheet/a/Albumex4inf.pdf
163
Ventilation strategy in an adult with Fontan circulation You are about to anaesthetise a 25 year old for an open appendicectomy. He has a history of tricuspid atresia for which he has had a fontan procedure. An important goal in managing his ventilation under anaesthesia is to ensure: a) ensure adequate PEEP B) decrease inspiratory time c) shorten IE ratio d) increase Inspiratory time e) ensure adequate spontaneous ventilation
b) Decreased inspiratory time Spont vent best (as ↑VR) PPV: Low inspiratory pressures/RR/times & low PEEP best
164
Correct prophylaxis for instrumental delivery to protect against maternal sepsis: a) ceph b) ceph & met c) Augmentin
amoxicillin+clavulanate 1+0.2 g intravenously, as a single dose as soon as possible after assisted vaginal delivery. Therapeutic guidelines
165
An inverted u wave is an electrocardiographic sign of: a) Hypocalcaemia b) Ischaemia c) Hypomagnesaemia d) Hypothermia
Ischaemia Inverted U waves can be seen in CAD, HTN, CHD, cardiomyopathy, hypothyroidism, valvular heart disease Upright U waves most commonly found with bradycardia and severe hypoK but also other conditions/drugs hypocalcaemia = prolonged QT hypomagnesaemia = prolonged PR, QT, ectopy, then VT/TdP hypothermia = J (Osborne) waves Source: LITFL
166
Awareness in NAP – which one most likely: a) Cardiac surgery (there was no option for LSCS in this set) b) ENT surgery c) Neurosurgery
Baseline - 1:19000 W/O relaxant - 1:136,000 W relaxant - 1:8600 CTS - 1:8600 LSCS - 1:670
167
A healthy woman is admitted to the obstetric unit with TPTL at 29 weeks. Her BP is 140/80. A magnesium sulphate infusion is indicated for the purpose of: a) Maternal seizure prevention b) Foetal lung development c) Foetal neuroprotection
Foetal neuroprotection
168
Anaesthesia-induced rhabdomyolysis How do you differentiate MH vs AIR a. myoglobinaemia b. hyperkalemia c. rigidity d. elevated etco2 e. hyperthermia
**Absence of muscle rigidity, note hyperkalaemia RARE** AIR presentation is of acute rhabdomyolysis --> ECG changes of ^K --> hyperK cardiac arrest - O2 sats remain normal until peri-arrest - ^EtCO2 is late sigh MH initially is a picture of muscle rigidity -> hypermetabolism --> deteriorates to uncontrolled rhabdomyolysis - O2 sats drop and ^ETCo2 early (due to hypermetabolic state) - Abnormal Ca2+ from SR -> sustained muscle contraction (distinguishing feature)
169
Iron therapy is given. Expected electrolyte abnormality? a) Hypocalcaemia b) Hypercalacaemia c) Hypophosphataemia d) Hyperphosphataemia
a) Hypophosphatemia ferrinject product info
170
Which drug crosses the blood brain barrier? a) Edeophonium b) Neostigmine c) Pyridostigmine d) Physiostigmine
**Physostigmine crosses -> treats anticholinergic syndrome** Neostigmine, edrophonium, pyridostigmine are quaternary amoniums -> can't cross Other AChE inhibitors that cross: Donepezil, Riverstigmine, Galantamine (treat Alzheimer's)
171
Dose of salbutamol in a 8 year old with bronchospasm or anaphylaxis: a) 6 puffs MDI b) 12 puffs MDI d) 2.5mg nebulised c) 5mg nebulised
**12 puffs if > 6y/o** 6 puffs < 6 years Metered Dose Inhaler (100 microg/puff) 2022 ANZAAG paeds refractory mx anaphylaxis
172
Periarrest sodium bicarbonate dose for 80kg patient, with K 6.9: a. 60 mL b. 100 mL c. 80 mL d. 10 ml
80mL remembered answer HyperK = 1mmol/kg (LITFL) Need more information on question. If it was based on correction of metabolic acidosis.
173
Anorexia nervosa has cardiac arrest (or heart failure/coma) what electrolyte abnormality a) Hyperkalaemia b) Hypophosphatemia c) Hypocalcaemia d) Hypomagnesaemia
a) Hypophosphatemia... again? really?
174
Duration of action for nebulised salbutamol a) 1 hour b) 2 hour c) 30 min
Salbutamol total duration bronchodilator: 4-6hrs - if hyperkalaemic action -> 2-3 hrs If Peak effect: 120 mins If duration of effect: ≥2hrs (RCH has 2-3 hrs) RCH hyperkalaemia - Onset ≤30 mins
175
Which of the following have least effect on chronic pain following surgery: a) Ketamine b) Duloxetine c) Regional blocks d) Gabapentinoids
**Gabapentinoids** - no demonstrated effect in preventing chronic postsurgical pain APMSE 5th Ed Gabapentinoids - recent metaanalysis no benefit to reduction of CPSP As per this recent BJA article on CPSP - Ketamine probably good, evidence still lacking - Duloxetine has shown some evdience in speicific patient groups (diabetics) - Regional definitely evidence to show reduced risk of CPSP