25.2 Flashcards

(148 cards)

1
Q

Which view is not part of extended eFAST scan?

  • pericardial
  • thoracic
  • perisplenic
  • perinephric
  • perihepatic
A

Perinephric

How well did you know this?
1
Not at all
2
3
4
5
Perfectly
2
Q

Performing block of median nerve in cubital fossa. Which US probe to use?

a) Curvilinear
b) Linear probe 8-12 Hz
c) Linear probe 5-10 Hz
d) Thinner probe

A

linear probe 8-12Hz

How well did you know this?
1
Not at all
2
3
4
5
Perfectly
3
Q

Phaeochromocytoma - which drug to avoid

  • metoclopramide
  • phentolamine
  • prazosin
  • propofol
  • rocuronium
A

metoclopramide

Metoclopramide is a D2 receptor blocker and is known to precipitate pheochromocytoma crisis

https://doi.org/10.1210/jendso/bvac150.208

How well did you know this?
1
Not at all
2
3
4
5
Perfectly
4
Q

Intubate with 1mg/kg rocuronium. Surgery ceases. TOF count 0. PTC 2. What dose sugammadex to give?

a) 1mg/kg
b) 2mg/kg
c) 4mg/kg
d) 8mg/kg
e) 16mg/kg

A

4mg/kg

How well did you know this?
1
Not at all
2
3
4
5
Perfectly
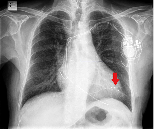
5
Q

Where is the indicated pacemaker lead likely placed?

a) RV
b) LV
c) RA
d) Coronary sinus

A

Answer: Coronary Sinus

https://www.bjaed.org/article/S2058-5349%2817%2930025-2/fulltext similar to fig 1 -

How well did you know this?
1
Not at all
2
3
4
5
Perfectly
6
Q

Opioid induced ventilatory impairment. Which is NOT a RF?

a) female
b) sleep disordered breathing
c) congestive cardiac failure
d) opioid naiive
e) long acting opioids

A

a) Female

Risk factors for postoperative opioid-induced respiratory depression include:

  • older age
  • male sex
  • opioid naivety
  • sleep-disordered breathing
  • heart failure.

https://doi.org/10.1016/j.bjae.2023.12.007

How well did you know this?
1
Not at all
2
3
4
5
Perfectly
7
Q

AFE (amniotic fluid embolism) diagnosis is made via:

a) clinical diagnosis
b) cardiac monitoring of some sort
c) inflammatory complement system markers
d) decreased LV function on echo (?RV)

A

a) clinical diagnosis

How well did you know this?
1
Not at all
2
3
4
5
Perfectly
8
Q

Quiescent inflammatory bowel disease in a patient Which analgesic will prompt a flare?

  • paracetamol
  • ibuprofen
  • tramadol
  • celecoxib
A

“It is estimated that NSAIDs may cause clinical relapse in ∼20% of patients with quiescent inflammatory bowel disease (IBD). Coxibs do not appear to be associated with relapse of IBD, but caution should still be exercised.”
2023 BJA NSAIDs

How well did you know this?
1
Not at all
2
3
4
5
Perfectly
9
Q

Bronchopleural fistula pt in ICU. Which is the recommended ventilation strategy?

  • 5 Options were 2 of 3 of TV/RR/PEEP (combos of high/low)
  • Low TV and low RR
  • Low TV and high RR
  • High PEEP and high RR
A

strategy: controlled, assist control, intermittent mandatory
lowest possible TV
lowest possible PEEP
short inspiratory time
encourage spontaneous breathing

https://litfl.com/bronchopleural-fistula/

How well did you know this?
1
Not at all
2
3
4
5
Perfectly
10
Q

Re: site of CVL, subclavian lines have lowest complication rate of:

  • infection
  • pneumothorax
  • thrombosis
  • arterial puncture
  • infection and thrombosis
A

Infection and Thrombosis.

https://www.ncbi.nlm.nih.gov/books/NBK557798/

How well did you know this?
1
Not at all
2
3
4
5
Perfectly
11
Q

What is the ASA status of a pt with a TIA from 2 years ago who has otherwise been well?

  • 1
  • 2
  • 3
  • 4
  • 5
A

ASA 3

https://www.asahq.org/standards-and-practice-parameters/statement-on-asa-physical-status-classification-system

How well did you know this?
1
Not at all
2
3
4
5
Perfectly
12
Q

In OT, what does the blue electric socket denote?

  • connected to backup power supply
  • cardiac protected
  • equipotential earthed
  • connected to uninterrupted power supply
  • connected to standard power point/RCD
A

Electrical circuits connected to the UPS are denoted by a dark blue power socket, and are reserved for essential equipment without adequate battery backup.

2015 BJA environmental emergencies
https://www.bjaed.org/article/S1743-1816(17)30006-9/fulltext

How well did you know this?
1
Not at all
2
3
4
5
Perfectly
13
Q

A 64 year old man presenting for elective surgery is on thyroxine 100 mcg daily. His thyroid function tests are:
- TSH <0.05
- Both T4 and T3 within normal limits

These results are most consistent with:

a) Overtreatment
b) Subclinical hyperthyroidism
c) ?Sick euthyroid
d) Multinodular goitre
e) Previous hypophyseal resection

A

Subclinical Hyperthyroidism

How well did you know this?
1
Not at all
2
3
4
5
Perfectly
14
Q

What is the concern with EMLA use in preterm babies?

  • methaemoglobinaemia
  • increased sensitivity due to liver insufficiency
  • increased absorption
  • decreased neurotoxicity threshold
  • decreased cardiotoxicity threshold
A

Methaemoglobinaemia

How well did you know this?
1
Not at all
2
3
4
5
Perfectly
15
Q

In the event a pressure manometer is not available, what is the maximum volume of air that should be injected into the cuff of a classic LMA size 4?

a) 15mL
b) 20mL
c) 25mL
d) 30mL
e) 40mL

A

30mL

The manufacturers recommend inflating the laryngeal mask cuff until the intracuff pressure reaches 60 cmH2O or to inflate with the volume of air not exceeding the maximum recommended volume (size 3, 20 ml; size 4, 30 ml) if a manometer is not available

https://pmc.ncbi.nlm.nih.gov/articles/PMC7206679/#:~:text=The%20manufacturers%20recommend%20inflating%20the,available%20%5B7%E2%80%9311%5D.

How well did you know this?
1
Not at all
2
3
4
5
Perfectly
16
Q

What is the nerve indicated in this picture?

a) Radial
b) Musculocutaneous
c) axillary
d) Ulnar
e) Median

A

Radial nerve was answer

Thie picture was similar to the standard ones in brain scape flash cards

How well did you know this?
1
Not at all
2
3
4
5
Perfectly
17
Q

Anterior ischaemic optic neuropathy. What is characteristic?

a) visual inattention
b) resolves fully within 24-48hrs
c) papillary oedema
d) intact pupil reflex
e) painful

A

Papillary Oedema

How well did you know this?
1
Not at all
2
3
4
5
Perfectly
18
Q

What is a risk factor for failed epidural blood patch for postdural puncture headache?

a) Using loss of resistance to air
b) Depth of space >5cm
c) Injection of epidural blood patch <48hrs after accidental dural puncture
d) Sitting up and performing
e) 20ml of blood injectate

A

Risk factors identified for failure include:

  • a history of migraine headache
  • accidental dural puncture at higher lumbar levels,
  • injection of epidural blood patch <48 h after accidental dural puncture.

BJA 2022 failed epidural

How well did you know this?
1
Not at all
2
3
4
5
Perfectly
19
Q

Which nerve innervates lower third molar tooth?

a) Mental
b) Inferior alveolar
c) Lingual
d) Superior alveolar nerve

A

Inferior Alveolar

How well did you know this?
1
Not at all
2
3
4
5
Perfectly
20
Q

According to Brain Trauma Foundation guidelines, what is the lower limit that adult GCS can be used?

a) 2 y/o
b) 4 y/o
c) 6 y/o
d) 8 y/o
e) 10 y/o

A

Couldn’t find BTF specifically
https://www.rch.org.au/trauma-service/manual/Head_injury/ says 4+

How well did you know this?
1
Not at all
2
3
4
5
Perfectly
21
Q

A 3 year old child involved in an MVA presents to ED with a distended abdomen. An indication to go straight to theatre would be:

a) Pneumoperitoneum on CXR
b) Positive eFAST scan
c) Shocked at scene
d) Unresponsive to 20mL/kg blood during transfer to hospital
e) Grade V liver laceration

A

RCH trauma service recommends the following as indications for laparotomy:

  • Haemodynamic instability - despite resuscitation.
  • Transfusion requirements of more than 40 ml / kg during the period of acute resuscitation
  • free intra-peritoneal gas is an indication for urgent laparotomy

https://www.rch.org.au/trauma-service/manual/abdominal-injury/

How well did you know this?
1
Not at all
2
3
4
5
Perfectly
22
Q

This type of tracheal tube is best described as a (picture of airway device shown)

a) Mini tracheostomy tube
b) South facing RAE
c) Laser tube
d) Laryngectomy tube

A

Rusch Larygoflex Reinforced Laryngectomy tube

https://www.teleflexarcatalog.com/anesthesia-respiratory/airway/product/121181080-rusch-laryngoflex-laryngectomy-tube

(repeat of 20.1)

How well did you know this?
1
Not at all
2
3
4
5
Perfectly
23
Q

G6PD - what is the risk with giving methylene blue for shock?

a) Haemolytic anaemia
b) Serotonin syndrome
c) Methaemaglobinaemia

A

Haemolytic anaemia

https://journals.lww.com/md-journal/fulltext/2025/06130/co_occurrence_of_acute_hemolytic_anemia_and.87.aspx

How well did you know this?
1
Not at all
2
3
4
5
Perfectly
24
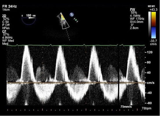
Q

This Doppler trace obtained by transoesophageal echocardiography of the descending aorta (see far right) suggests:

a. Aortic dissection
b. Aortic stenosis
c. Aortic regurgitation
d. Normal flow
e. High flow state

A

AR - bidirectional

23.1 repeat

How well did you know this?
1
Not at all
2
3
4
5
Perfectly
25
In a patient undergoing surgery for epilepsy, which drug is expected to interfere with electroencephalography intraop the LEAST? - dexmedetomidine - ketamine - nitrous oxide - sevoflurane - midazolam
Perhaps dexmed? https://www.sciencedirect.com/science/article/pii/S1743919115003684
26
What is the lowest figure at which pulse pressure variation suggests fluid responsiveness? - 5% - 8% - 13% - 20%
13% Need reference??
27
Which heart murmur sound is HOCM?
Same as aortic stenosis: crescendo decrescendo - THANK GOD I CHOSE THIS
28
What is the mechanism of action of octreotide in Upper GI bleeding? - reduced splanchnic blood flow - vasoconstriction - increases platelet aggregation - increased portal venous pressure
MOA: splanchnic vasoconstriction
29
In neonatal resuscitation, what inspiratory pressure in H2O is INITIALLY recommended for positive pressure ventilation? a) 15 b) 20 c) 25 d) 30
Start at peak inspiratory pressure (PIP) of 30 cm H2O for a term neonate (20-25 cm H2O preterm neonate) and positive end expiratory pressure (PEEP) of 5 cm H2O at 40-60 breaths/minute https://www.seslhd.health.nsw.gov.au/sites/default/files/documents/Neoresusdelivery20.pdf
30
A patient has numbness and weakness in her hand postoperatively. You are trying to distinguish between an ulnar nerve lesion and a C8-T1 radiculopathy. You can diagnose a C8-T1 radiculopathy if she has weakness a) Thumb adduction b) Thumb abduction c) Fingers adduction d) Fingers Abduction e) Little finger flexion
21.1 repeat - thumb ABduction
31
What is an absolute contraindication to cardiopulmonary exercise testing? - Unstable angina - Pulmonary hypertension - HOCM - Untreated left main disease - unable to get on the bike or something like that
Unstable angina
32
The Glasgow Blatchford score is used to risk stratify: a) Pulmonary haemorrhage b) Traumatic intraperitoneal haemorrhage c) PPH d) SAH e) UGI bleed
Upper GI bleed
33
The manufacturer’s instructions for use of the i-gel supraglottic airway device recommend a minimum patient weight in kg of a) 1 b) 2 c) 3 d) 5 e) 10
2Kgs
34
Pt with history of syncope. What is the device shown on the xray? a) Implantable loop recorder b) Leadless PPM c) DBS d) mitraclip e) subcutaneously implanted ICD
https://radiopaedia.org/cases/implantable-loop-recorder-device was photo
35
ANOVA is: A. Assessing the strength of association between two continuous variables (e.g., height vs weight) B. Comparing the means of more than two groups C. Measuring agreement between two observers beyond chance D. Testing the difference between two sample means E. Analysing the proportion of categorical outcomes between groups
B. Comparison between 2 or more means (has been asked before)
36
What are the components of the MIST handover in trauma represents: - minutes from injury, Injuries, Symptoms, Treatment - minutes from injury, Injuries, Symptoms, Treatment - mechanism, Injuries, Symptoms, Treatment - mechanism, Investigations, signs, Treatment - mechanism, investigation, signs, time since injury
Mechanism, Injury, Signs, Treatment - investigations/symptoms in there as decoys (for I & S)
37
Which is NOT a risk factor for emergence agitation in paeds? - Nitrous oxide - Male - Autism spectrum disorder - Volatile use - Ages 2-5
2018 BJA emergence delirium lists MALE as RF. I think N2O is answer for what is NOT a risk factor. Child "temperament" is risk factor so ASD likely contributes.
38
Post femoral block, how long should noninvasive monitoring occur for? a) 10 mins b) 15 mins c) 30 mins d) 60 mins
Luke - I think its based on ANzca PS 03 which says 30 minutes - see to the right -->
39
When vitamin C is used in the treatment of acute postsurgical pain, what of the following is true? - Ineffective when given intravenously - ineffective when given orally - Reduces acute pain in a dose dependent relationship - Postoperative morphine requirements are reduced
Reduced morphine requirements. https://josr-online.biomedcentral.com/articles/10.1186/s13018-024-05193-x
40
Lateral calf innervation (calf had nerve distributions). Had to identify which nerve - superficial peroneal - sural - lateral plantar - saphenous nerve - lateral cutaenous nerve
to the right was the EXACT picture except the colors were different. Picture only had the right (posterior) image and wanted the blue section (SPN)
41
25 male with tibial shaft fracture who has pain, weakness dorsiflexion of foot, some other symptoms. Which leg compartment affected by compartment syndrome? (my memory of it was pain on plantarflexion of foot, weakness with extension of the big toe and numbness of the first webspace) a) anterior b) medial c) lateral d) superifical posterior e) deep posterior
Anterior!
42
What type of variable influences dependent and independent variables? A. Mediator B. Confounder C. Moderator D. Instrumental variable E. Collider
Confounder
43
What is the minimum battery life of an anaesthetic machine? 5min 10 min 30 min 60min 4hrs
30 minutes Repeat question
44
What mapleson circuit is this? A B C D
C Repeat question
45
What is the pin index system of medical air? a) 1-5 b) 2-5 c) 3-5 d) 1-6
1,5
46
The medication most strongly associated with an acute primary hypotensive reaction following transfusion of blood products is: a. Aspirin b. Ibuprofen c. Hydralazine d. Metoprolol e. Perindopril
Perindopril Made up options, but perindopril definitely in there
47
When is the risk of delayed cerebral ischaemia post subarachnoid haemorrhage highest? a) <24hrs b) 1-3 days c) 4-10 days d) >14 days
4-10 days
48
A woman presents with an acute subarachnoid haemorrhage amenable to clipping and coiling. Which intervention has best mortality benefit? a) Clipping <24hrs b) Clipping >24hrs c) Coiling <24hrs d) Coiling >24hrs e) Vasopasm management
Coil within 24hrs https://www.ahajournals.org/doi/10.1161/strokeaha.110.602888
49
Of the following, the congenital condition LEAST commonly associated with obstructive sleep apnoea in children is: a) Prada Willi Syndrome b) Duchenne Muscular dystrophy c) Down Syndrome d) Spina bifida e) Tetralogy of Fallot
Need to figure out
50
The blood product that contains the highest concentration of citrate is: a) Plasma b) RBCs c) Platelets d) Cryoprecipitate e) Fibrinogen concentrate f) FFP
FFP
51
A charcoal filter on a ventilator circuit is shown to be able to reduce the concentration of volatile to below 5ppm (parts per million) in a minimum of what time frame? a) 90 seconds b) 3 mins c) 5 mins d) 10 mins e) 30 mins
A 90s https://associationofanaesthetists-publications.onlinelibrary.wiley.com/doi/10.1111/anae.14091 https://www.dynasthetics.com/Vapor-Clean/ lists <2mins
52
Crush injury - expected abnormality early: a) hypokalaemia b) hypocalcaemia c) hypophosphataemia d) Metabolic alkalosis e) Hypouricemia
Hypocalcaemia. https://www.acep.org/imports/clinical-and-practice-management/resources/ems-and-disaster-preparedness/disaster-preparedness-grant-projects/cdc---blast-injury/cdc-blast-injury-fact-sheets/crush-injury-and-crush-syndrome
53
When will the SaO2 (of ABG) be higher than SpO2 (from pulse oximeter)? a) Sickle cell b) Methylene blue c) CO poisoning d) anaemia e) Polycythaemia
Carboxyhaemoglobin 24.1: A patient’s true arterial oxygen saturation will be lower than a pulse oximeter reading in the presence of (same options)
54
Which nerves does first stage of labour transmit through? a) S2-S4 b) T10-L1 c) L1-L2 d) T12-L3
T10-L1
55
Epidural placed for postop pain. According to ASRA guidelines, how soon after epidural removal can prophylactic clexane be given? a) 1hr b) 4hr c) 6hr d) 12hr e) 24hr
Think this was actually how long to withhold prophylactic clexane prior to epidural catheter removal - 12 hours as per ASRA (Abe)
56
Dialysis best at removing: a) warfarin b) rivaroxaban c) dabigatran d) apixaban e) clopidogrel
Dabigatran
57
Pt with known WPW. Develops rapid AF. Haemodynamically stable. What's the safest therapy? a) Digoxin b) Verapamil c) Cardioversion d) Metoprolol
Likely electricity https://litfl.com/wolff-parkinson-white-syndrome-ccc/
58
Benzatropine ameliorates the side effects of drugs that antagonise: a) Dopamine b) serotonin c) nicotine d) adrenaline e) Histamine
Dopamine
59
Pts on SSRI perioperatively may experience all of these except: - atrial fibrillation - excess bleeding and transfusion requirement - mental status changes - serotonin syndrome - ventricular arrhythmias
Need to figure out
60
When compared with nerve stimulator guided brachial plexus block, Ultrasound guided brachial plexus block results in: a) less neuropraxia b) less risk of systemic toxicity c) reduced time to motor/sensory onset d) Improved patient satisfaction e) reduced chance of intraneural injection
Need to sort out
61
Pulse pressure variation has reliable utility in which condition: a) thoracotomy b) spontaneously breathing c) pulmonary hypertension d) septic shock e) increased abdominal pressures
Need to sort out
62
A 35-year-old patient is undergoing a diagnostic laparoscopy. Three minutes after insufflation of CO2 her oxygen saturation falls to 85%. You note decreased air entry on the left side of her chest. Lung ultrasound on the left reveals lung pulse and no lung sliding. The best first action is to: a) Needle decomp mid clav 2nd intercostal b) Finger decomp c) Chest drain insertion d) Withdrraw ETT 1-2cm
Withdraw ETT 1-2cm
63
IO sample correlates well for: - Hb - Potassium - Platelets - Chloride? - WCC
Need to sort out
64
Trigeminal neuralgia - 1st line management: a) Tramadol b) Amitriptyline c) Carbamazepine d) NSAIDs e) opioids
Carbamazepine
65
What is the arrythmia in this ECG? a) 1st degree AV block b) Mobitz type 1 c) Mobitz type 2 d) Sinus bradycardia e) Complete heart block
Not exact ECG but i definitely remember it was mobitz 2, 2:1
66
Pacemaker code for V in NASPE/BPEG Generic (NBG) Pacemaker Code? a) Rate modulation b) Paced c) Sensed d) Response to sense e) Multi site pacing
Multisite pacing
67
NOF pt under GA. sBP drops to 75, you have given multiiple bouts of metaraminol with no improvement. ECG rhythm displayed. Next management: - amiodarone 300mg IV - cardioversion 200J - adrenaline - metoprolol
Shock
68
ALS in adult patient. VFib -> given 2 shocks, then IV adrenaline, then 1 shock. Next treatment: - DCCV 200J - amiodarone 300mg IV - adrenaline 1mg IV - lignocaine 100mg IV
Amiodarone
69
IV Dosing in anaphylaxis for paediatric patient in mg/kg for moderate (it specified grade 2) anaphylaxis: a) 1 b) 2 c) 4 d) 10
I distinctly remember that this question asked for IV adrenaline, even though this is not recommended in guidelines
70
1hr post open cardiac surgery. Pt arrests - they are ventilated. What's the next management? a) Immediate external cardiac massage b) Adrenaline 1mg c) Defibrillate as per ACLS guidelines d) Aim resternotomy within 30 minutes e) Switch from ventilator to BMV with 100%
defibrillate as per ACLS
71
For hyperkalaemic treatments, which has the most rapid onset of action? (or peak) a) IV insulin/dextrose b) IV sodium bicarbonate c) Nebulised salbutamol d) Oral Resonium e) PR resonium
Need to sort out
72
Pt has had a miscarriage for emergency suction curettage. INR (or PT) 1.2x normal, aPTT 65 seconds. What test to order next? a) Mixing tests b) Fibrinogen c) Factor 8 test d) Clotting time
Need to sort out
73
A 45yo man presents with a hx of SOB and the following flow-volume loop is obtained. This is most consistent with: a) fixed b) variable intrathoracic c) variable extrathoracic d) early airflow obstruction
Variable intrathoracic - same as 22.1 I thought it showed decreased inspiration so would be extrathoracic variable? agree with this - extrathoracic variable
74
What is not in beriplex? a) Factor 7 b) Factor 10 c) Factor 8 d) Protein C e) Factor 9
Factor 8
75
Differential hypoxia is a syndrome characterised by lower arterial oxygen saturation in the upper body. It is a complication specific to the use of a) VA ECMO b) VV ECMO c) ECCO2 device d) Haemodialysis e) Peritoneal dialysis
VA ECMO
76
Which von Willebrand Disease type is desmopressin ineffective?
Type 3 always ineffective https://www.rch.org.au/clinicalguide/guideline_index/Von_Willebrand_Disease_vWD/
77
Arndt bronchial blocker- which port does the bronchoscope go down? A B C D
Port C
78
An electrocardiogram (ECG) abnormality which is NOT usually associated with severe anorexia nervosa is: a. Resting tachycardia b. Wandering pacemaker c. ST depression d. TWI e. Prolonged QT
21B repeat - resting tachycardia
79
What does the bit indicated in the picture do? a) Suction indicator b) Drainage chamber c) Air leak detector d) Water seal chamber e) Sampling port
Was poitning to air leak. Exam used this exact image.
80
Pt with lean body mass 50kg. Given 100mg lignocaine. If assuming max dose lignocaine 4mg/kg and bupivacaine 2mg/kg, how much bupivacaine can safely be given concurrently to this pt? a) 20mg b) 50mg c) 100mg d) 200mg e) 250mg
50mg
81
A patient who is day 3 post laparotomy has used 30 mg oxycodone intravenously via patient controlled analgesia in the last 24 hours. The approximate oral morphine equivalent daily dose is: a) 20 mg b) 30 mg c) 60 mg d) 90 mg e) 120 mg
90mg
82
Which antidiabetic med reduces renal glucose absorption? a) GLP1 agonists b) SGLT2 inhibitors c) sulfonylureas d) biguanides e) insulin
SGLT2 inhibitor
83
The part of the lung that is typically divided into apical, anterior and posterior segments is the a) RUL b) RML c) RLL d) LUL e) LLL
RUL
84
The shoulder joint receives sensory innervation from all of the following nerves EXCEPT the: Axillary Long thoracic Lateral pectoral Suprascapular Subscapular
23.2 - long thoracic
85
SBP target if 80 year old male with TBI: * SBP 65 mmHg * SBP 80 mmHg * SBP 90 mmHg * SBP 100 mmHg * SBP 110 mmHg
110 mmHg Per BTF guidelines: * 15–49 years old: ≥ 110 mmHg * 50–69 years old: ≥ 100 mmHg * > 70 years old: ≥ 110 mmHg
86
Obesity in pregnancy does not increase risk of: a. antenatal depression, b. cholestasis of pregnancy c. pre eclampsia d. gestational HTN e. DVT
Cholestasis
87
A thoracic regional technique that will NOT provide analgesia for sternal fractures is a: a. Transversus throacic plane block b. PECS I c. Parasternal intercostal nerve block d. Thoracic epidural
PECS 1
88
The MELD (Model for End-Stage Liver Disease) score includes all of the following parameters EXCEPT: a) Bilirubin b) INR c) Albumin d) Creatinine e) Sodium
24.1 - Albumin.. interestingly they didn't call it MELD-Na this time around but i still think the answer most correct is albumin
89
A 10-year-old child (weight 30 kg) presents to the emergency department in status epilepticus. They have received one dose of 10 mg midazolam buccally prior to arrival to hospital. According to Advanced Paediatric Life Support Australia guidelines the next drug treatment should be intravenous: a) Phenytoin b) Midazolam c) Propofol d) Levetiracetam
Midazolam
90
For a skewed distribution of data the best measure of dispersion of data is the: a) range b) mode c) standard deviation d) variance e) interquartile Range
Interquartile Range
91
According to the surviving sepsis guidelines 2021, for adults with septic shock and an ongoing requirement for vasopressor therapy we suggest using IV corticosteroids if: a) MAP remains <65 despite IV noradrenaline b) The dose of noradrenaline required is >0.1mcg/kg/min no matter the duration c) The dose of noradrenaline required is ≥ 0.25 mcg/kg/min at least 4 hours after initiation d) The dose of noradrenaline required is ≥ 0.5 mcg/kg/min at least 2 hours after initiation
It is suggested that this is commenced at a dose of norepinephrine or epinephrine ≥ 0.25 mcg/kg/min at least 4 hours after initiation. https://journals.lww.com/ccmjournal/fulltext/2021/11000/surviving_sepsis_campaign__international.21.aspx
92
The study marked with the star in a noninferiority study shows: a) Inferiority b) Non-inferiority c) Superiority d) Harm e) Inconclusive
Non-inferiority
93
First line treatment of extravasated norad is: - Remove cannula - Flush cannula - Cold compress - SC phentolamine - heparin
S/C phentolamine
94
NAP 7 most common cause of arrest intraop: - Anaphylaxis - Cardiac Ischaemia - Major haemorrhage - Pulmonary embolism - Local anaesthetic toxicity
Major haemorrhage
95
Predictors of successful awake extubation after volatile anaesthesia in infants include: a. 2mL/kg tidal volume b. grimacing c. coughing d. RR > 20 e. CO2 > 60
Grimacing
96
Which drug to avoid in cocaine toxicity? A) Adenosine B) Diazepam C) Metoprolol D) Glyceryl trinitrate E) Verapamil
Metoprolol
97
You are performing femoral venous cannulation in an obese man under ultrasound guidance. The image quality is suboptimal as the vein is deep. The best way to improve the image quality is to: a. Increase the frequency of the wavelength b. Use a probe with a lower frequency c. increase the contrast d. Increase the wavelength e. Increase the speed of the ultrasound waves
Need to sort out 22B
98
The concept of equity and fair access for all patients describes which ethical principle? a) autonomy b) beneficence c) justice d) non-malifencence e) fidelity
Need to sort out
99
When interpreting an arterial blood gas, a high serum anion gap is consistent with: a) Lithium toxicity b) Salicylate toxiticy c) Hypercholeraemia d) Hypoalbuminaemia e) Hypercalcaemia
Need to sort out 24.1
100
A medication that should be avoided in a patient with thyroid storm is: a) Ibuprofen b) Propranolol c) Potassium Iodide d) PTU: Propylthiouracil
24.1
101
The clinical laser type with the greatest tissue penetration is: a) Argon b) Nd:yag c) Er:yag d) Co2 e) Holmium
Need to sort out 24.1
102
Oral naltrexone should be ceased preoperatively for: a) 24 hours b) 48 hours c) 72 hours d) 96 hours
Need to sort out. Blue book article. 24.1
103
Which is not lost in anterior spinal artery syndrome? a) Pain b) Temperature c) Motor d) Proprioception e) Bladder function
Proprioception, fine touch, and vibratory sense are typically not lost because they are carried by the dorsal columns Anterior spinal artery syndrome usually includes tracts in the anterior two-thirds of the spinal cord, which include the CSTs, the spinothalamic tracts, and descending autonomic tracts to the sacral centers for bladder control. CST involvements produce weakness and reflex changes. A spinothalamic tract deficit produces the bilateral loss of pain and temperature sensation. Tactile, position, and vibratory sensation are normal. Urinary incontinence is usually present.
104
According to the 5th National Audit Project (NAP5), the incidence of awareness during general anaesthesia using a non-relaxant technique is approximately: a. 1:1360 b. 1:13,600 c. 1:136,000 d. 1:1,136,000
Need to sort out
105
A patient for elective general anaesthesia has been noted to be chewing gum in the pre-operative area. The most appropriate course of action is to: a) Postpone the surgery b) Give IV metoclopramide and delay 2 hours c) Give IV metoclopramide and delay 4 hours d) Delay for 6 hours e) Discard gum then proceed without delay
Need to sort out
106
Preoperative predictors of chronic postsurgical pain do NOT include: a) Anxiety b) Depression c) Elderly d) Preop opioid use e) Preexisting chronic pain
Need to sort out
107
Which intervention for acute pain does not reduce the risk of persistent postoperative opioid use? a) Opioid wean preop b) Education/expectation setting preop c) Titrating opioids to pain scores alone d) Avoiding long-acting opioids
Titrate to pain scores alone https://www.anzca.edu.au/getContentAsset/136f5a83-d1d0-4f34-be72-87b62b721d14/80feb437-d24d-46b8-a858-4a2a28b9b970/PS41(G)-Acute-pain-2023.pdf
108
The analgesic drug with the most favourable Number Needed to Treat (NNT) for neuropathic pain is: a) Amitriptyline b) Gabapentin c) Tramadol d) Pregabalin e) Carbamazepine
Need to sort out 24.1
109
A 36-year-old woman sustains an injury to her left arm and presents with pain. She informs you that she experiences unpleasant intermittent and spontaneous shooting sensations in her arm. This sensation is: a. Dysaesthesia b. Allodynia c. Hyperalgesia d. Hyperaesthesia e. Paraesthesia
Need to sort out 23.1
110
The nerve labelled with an arrow in the diagram below (diagram of lumbar plexus shown) is the: a) Femoral b) Iliohypogastric c) Lateral femoral cutaneous d) Obdurator e) Genitofemoral
Obturator
111
Patients with rheumatoid arthritis and the most common form of atlantoaxial instability have a widened atlantodental interval. This is measured between the: a) distance from posterior margin of dens to anterior surface of posterior arch of atlas b) distance from anterior margin of dens to anterior surface of posterior arch of atlas c) distance from posterior margin of dens to anterior surface of anterior arch of atlas d) distance from posterior margin of dens to posterior surface of posterior arch of atlas e) distance from anterior margin of dense to posterior surface of anterior arch of atlas
Need to sort out
112
Intravenous dexmedetomidine use does NOT result in: Hypertension Bradycardia Decreased urine output Decreased opioid consumption Increased regional nerve block duration
Need to sort out
113
A patient under general anaesthesia monitored with transcranial cerebral oximetry has a decrease in their cerebral oxygen saturation. This is likely to be improved by an increase in all of the following EXCEPT: A) Increased MAP B) Increased MV C) Increased anaesthetic depth D) Increased Hb E) Increased FiO2
23.2
114
ECT does NOT result in: a) initial sympathetic stimulation b) increased ICP c) decrease LV function for 4-6 hrs d) Increased SBP 30-40%
Presumably early sympathetic stimulation https://www.ranzcp.org/getmedia/ba0a9810-06bd-4ef4-8df9-a8f3abe3f77e/anaesthesia-for-ect.pdf has other options as effects
115
The Myocardial Injury after Non Cardiac Surgery study showed elevated troponin in the first three post-operative days was strongly associated with: A. 30-day mortality B. 30-day myocardial infarction C. Stroke within 30 days D. Surgical site infection E. 30-day hospital readmission
116
A man with a history of obesity and obstructive sleep apnoea has just had a transsphenoidal pituitary resection. Soon after extubation he is semi-conscious and is making a respiratory effort but has near complete upper airway obstruction with stridor. His arterial oxygen saturation is 93% and starting to fall. Your first actions should be to: a) Propofol to deepen anaesthesia, insert LMA and provide positive pressure ventilation b) Propofol to deepen anaesthesia, insert oropharyngeal device and provide positive pressure ventilation c) Insert a nasopharyngeal airway, assist ventilation and allow to wake d) Insert an LMA, assist ventilation and allow to wake e) Insert an oropharnygeal, provide CPAP and allow to wake
117
In the thigh, the adductor canal is bordered by all of the following EXCEPT: Vastus medialis Adductor magnus Adductor longus Adductor brevis Sartorius
118
Safest approach for peribulbar if short eye length? - Inferotemporal - superior temporal - medial canthal - lateral canthal - Other approaches
Need to sort out
119
Assuming a blood volume of 80 ml/kg, a massive transfusion child is defined as a three-hour packed red blood cell (PRBC) transfusion volume of: a) 20mk/kg b) 40ml/kg c) 60ml/kg d) 80ml/kg
40mL/kg
120
The antiemetic that interferes with the effectiveness of oral hormonal contraception is: a) Aprepitant b) Ondansetron c) Metoclopramide d) Prochlorperazine e) Midazolam
Aprepitant
121
Extra-adrenal tumour with raised metanephrines. What medication is likely instituted preoperatively? a) Phentolamine b) Metoprolol c) Phenoxybenzamine d) Prazosin
Need to sort out
122
On a ROTEM, lysis is defined as decrease in clot strength <15% at how many minutes? a) 10 min b) 15 min c) 20min d) 30min e) 60min
I think it's 60. i remember this one because I have it on my shower door, and I couldnt' remember, and picked 30. -L
123
What artery are the arrows in this image pointing to? a) Anterior communicating b) Posterior communicating c) Middle cerebral d) basilar e) Vertebral
124
Desufflation after surgical pneumoperitoneum is NOT associated with an increase in: - Stroke work index - Cardiac output - Systemic vascular resistance - Venous return - LV stroke work
Need to sort out
125
In a venous blood gas sample, the pH is expected to differ from arterial pH by: a) +0.03 b) +0.3 c) -0.03 d) -0.3
Need to sort out
126
With a WELL FUNCTIONING intra-aortic balloon pump, what would you not expect to see? a) Decreased renal blood flow b) Decreased Hb c) Decreased cardiac work d) Increased cardiac perfusion e) Increased aortic root diastolic pressure
Need to sort out
127
Of the following, the drug which is most effective in the management of severe hyperthermia in serotonergic syndrome is: a. Dantrolene b. Diazepam c. Paracetamol d. Rocuronium
Need to sort out
128
In order to minimise the risk of cardiac arrhythmia surgical diathermy has been designed to operate with: a. High frequency b. High voltage c. Low frequency d. Low voltage e. Equipotential earthing
Need to sort out
129
All patients over 70 years of age having received either spinal or general anaesthesia at Hospital X are reviewed 3 years later to assess cognitive function. The aim of the study is to determine whether exposure to general anaesthesia or spinal anaesthesia impacts cognitive function. This trial design is best described as a: a) RCT b) cohort study c) case-control study d) case series e) cross-sectional study
Need to sort out 22.2
130
Intraoperative lung protective ventilation strategies include all of the following EXCEPT: a. Alveolar recruitment manouevres b. Individualised PEEP c. I:E ratio 1:3 d. TV 6-8ml/kg e. Minimising ventilatory driving pressure
131
A test for a condition which has a prevalence of 1 in 1,000 has a sensitivity of 100% and a specificity of 90%. The probability of a patient who receives a positive result actually having the condition is: a. 1% b. 10% c. 90% d. 99% e. 100%
22B
132
Your patient underwent a stellate ganglion block two hours ago. Prior to discharge you are asked to review the patient in recovery because of a droopy upper eyelid. The patient would also be expected to have ipsilateral: a) Pupillary constriction and reaction to light b) Pupillary constriction and no response to light c) Pupillary dilation and response to light d) Pupillary dilation and no response to light
22.2
133
Compared to a normothermic patient, a patient with mild intraoperative hypothermia (35.0 oC) will have: a. More bleeding, normal INR and APTT b. More bleeding, normal INR and raised APTT c. More bleeding, raised INR and normal APTT d. Unchanged bleeding, normal INR and APTT e. Unchanged bleeding, elevated INR and APTT
Not sure if this is dead on, but similar to 22.2
134
The first-line drug recommended by both the Australian Resuscitation Council and the New Zealand Resuscitation Council to treat severe cyanide poisoning is: a) methylene blue b) hydroxycobalamin c) sodium thiosulphate d) Amyl nitrite e) Dicobalt edetate
Hydroxycobalamin
135
A respiratory effect of high flow nasal oxygen therapy is: a. Reduced RR b. Reduced MV c. Increased work of breathing d. Increased deadspace
Need to sort out
136
When performing a gastric ultrasound on a supine patient, the probe should be positioned: Saggital midclavicular Saggital midaxillary Transverse subxiphoid Transverse subxiphoid Saggital subxiphoid
Sagittal, subxiphoid
137
If group A RhD negative cryo is not available for use in an A RhD positive patient, of the following your next best choice should be: a) Group AB Rh+ rhesus b) Group B Rh+ c) Group B Rh d)Group O Rh+ e) Group O Rh-
https://www.lifeblood.com.au/health-professionals/products/component-compatibility
138
Button battery >20mm - how long until erosion can occur? a) within 1hr b) within 2hrs c) within 4hrs d) within 24hrs
FB BJA 2hrs if in oesophagus, or symptomatic in stomatch
139
Organ procurement after circulatory death is generally stood down if the time from cessation of cardiorespiratory support to circulatory death extends beyond: a) 60min b) 90min c) 120min d) 5min
Need to sort out
140
A patient requires a general anaesthetic and is breastfeeding. Current advice regarding breastmilk following anaesthetic includes: a) Express milk, discard that feed, and then safe to continue to feed as normal b) Delay breastfeeding 6h postop c) No requirement to express and discard, feed as usual d) Delay breastfeeding 24hrs
Feed straight away
141
Brain death testing - what is NOT in the criterion? - Lack of corneal reflex - Lack of oculocephalic reflex - Pt must be >35 degrees - Apnoeic and no sign of triggering ventilator for 2 hours - GCS3
https://anzics.org/wp-content/uploads/2022/04/Table-1.2.pdf: seems like oculocephalic less recommended as well There is a minimum 4-hour observation period prior to neurological determination of death using clinical examination alone. Throughout this observation period, all preconditions are met, the patient has a Glasgow Coma Scale of 3, with pupils nonreactive to light, absent cough/tracheal reflex and apparent apnoea on a ventilator. Following an acute hypoxic-ischaemic encephalopathy or hypothermia (<35°C) of duration greater than 6 hours, there should be a waiting period of 24 hours before determination of death using clinical examination alone.
142
What is the atrial rate in this ECG? - 60bpm - 80bpm - 100bpm - 120bpm
143
Following an operation, a patient with type 2 diabetes remains in PACU. According to (some guideline) how often should BGLs be measured? a) 30 mins b) 1 hourly c) 2 hourly d 4 hourly
b) 1 hourly
144
A patient has a lung ultraosund which shows A lines and lung sliding. Which of the following is most likely: a) PTX b) Pleural effusion c) Normal lung d) Pneumonia
145
What is the observed common associated metabolic abnormality with hypercholermia? a) High-anion gap metabolic acidosis b) Normal-anion gap metabolic alkalosis c) High-anion gap metabolic acidosis d) Normal anion gap metabolic acidosis
d) NAGMA
146
Which of the following is an independent risk factor for increased PPH? a) Platelets 70 b) PT > 1.2 c) Fibrinogen <2.0
147
During a thyroidectomy, the surgeon is concerned the parathyroid glands have been devascularised. From the time of potenial damage, a serum calcium level should be checked in: a) 1 hour b) 6 hours c) 12 hours d) 24 hours e) 36 hours
148
Ongoing cerebral seizure activity induced by electroconvulsive therapy should be medically terminated after a. 60 sec b. 90 sec c. 120 sec d. 150 sec