25.2 Flashcards

(150 cards)

1
Q

Q1: Extended-FAST (eFAST) scan views

Extended e-FAST does NOT include
A. Percardial
B. Perihepatic
C. Perinephric
D. Perisplenic
E. Thoracic

A

C perinephric

How well did you know this?
1
Not at all
2
3
4
5
Perfectly
2
Q

Q2: Type of transducer most suitable for ultrasound guided peripheral nerve block

USS probe for elbow median nerve block. Which probe do you use?

A. Curvilinear
B. Linear 10-12MHz
C. Liner 5-8 MHz

A

B Linear

How well did you know this?
1
Not at all
2
3
4
5
Perfectly
3
Q

Q3: Phaeochromocytoma resection and safe medications

a) metoclopramide
b) phentolamine
c) prazosin?
d) propofol
e) rocuronium

A

metoclopramide

Sympathomimetic Drugs that stimulate endogenous release of catecholamines
* Ephedrine
* Desflurane/Ketamine
* Glucagon (releases catecholamines)

Dopamine blocking drugs
* Metoclopramide, Droperidol (in high doses)
These drugs inhibit dopaminergic suppression of presynaptic norepinephrine release and has also been shown to directly stimulate release of catecholamines from pheochromocytoma cells

Histamine releasing drugs
* Morphine / Pethidine / Atracurium
Appear to cause increased catecholamine release

How well did you know this?
1
Not at all
2
3
4
5
Perfectly
4
Q

Q4: Regional technique for sternal fracture
What block does not cover sternal fracture
a. PECS I
b. PECS II
c. Parasternal intercostal nerve block?
d. Transfascial muscle block (can’t remember wording)
e. transverse thoracic plane block

A

A. PECS 1

(PECS II Covers SA and will extend to the sternum)

How well did you know this?
1
Not at all
2
3
4
5
Perfectly
5
Q

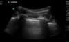
Q5: Anatomy of the adductor canal

You are performing a regional block for analgesia following knee surgery. You have an ultrasound probe scanning the anterior mid-thigh. The muscle indicated by the arrow in the ultrasound image below is the

A: Sartorius
B: Vastus Medialis
C: Adductor Longus
D: Gracilis
E: Rectus femoris

A

Answer B Vastus Medialis

How well did you know this?
1
Not at all
2
3
4
5
Perfectly
6
Q

Q6: ECG (image): Calculate atrial rate

A
How well did you know this?
1
Not at all
2
3
4
5
Perfectly
7
Q

Q7: Activated charcoal filters and volatile agents
Charcoal filter - how quickly does it reduce sevo down to 5 ppm
A. 3 mins
B. 5 mins
C. 10 mins
D. 15 mins
E. 30 mins

A

A. 3 minutes
Manufacturer says under 90 seconds

How well did you know this?
1
Not at all
2
3
4
5
Perfectly
8
Q

Q8: Metabolic derangements after severe crush injury
a) hypokalaemia
b) hypocalcaemia
c) hypophosphataemia
d) metabolic alkalosis
e) Hypouricemia

A

b. hypocalcaemia

injured muscle –> rhabdo. Rhabdomyolysis can lead to metabolic acidosis, hyperkalemia, hypocalcemia, and disseminated intravascular coagulation.

Myoglobin-induced renal failure can be prevented with intravascular fluid expansion, alkalinization of the urine by intravenous administration of bicarbonate, and osmotic diuresis. (ATLS)

Hypocalcaemia. https://www.acep.org/imports/clinical-and-practice-management/resources/ems-and-disaster-preparedness/disaster-preparedness-grant-projects/cdc—blast-injury/cdc-blast-injury-fact-sheets/crush-injury-and-crush-syndrome

How well did you know this?
1
Not at all
2
3
4
5
Perfectly
9
Q

Q9: Flow-volume loop (image): Interpretation

The flow volume loop is most consistent with (Flow-volume loop shown)

a) Variable intra-thoracic obstruction
b) Variable extra-thoracic obstruction
c) Lower airway obstruction
d) Fixed upper Airway obstruction
e) Mixed pattern

A

Answer: D Fixed upper airway obstruction

How well did you know this?
1
Not at all
2
3
4
5
Perfectly
10
Q

Q10: Management of a child in status epilepticus
Paediatric status epilepticus, given 10mg buccal midaz, what do you give next IV:
A. Midazolam
B. Phenytoin
C. Levetiracetam
D. Propofol

A

Answer: A. IV Midazolam

How well did you know this?
1
Not at all
2
3
4
5
Perfectly
11
Q

Q11: Surgical clipping vs endovascular coiling in early subarachnoid haemorrhage

Which intervention has best mortality benefit for subarachonid haemorrhage?
a) Clipping <24hrs
b) Clipping >24hrs
c) Coiling <24hrs
d) Coiling >24hrs
e) Vasopasm management

A

Coil within 24hrs

Treatment of ruptured aneurysms within 24 hours is associated with improved clinical outcomes compared with treatment at >24 hours. The benefit is more pronounced for coiling than clipping.

In general coiling is preferred, with ISAT trial as primary evidence

Coiling = more risk of rebleeding and further intervention.

Anatomical considerations that favour clipping:
MCA aneurysms
wide-necked aneurysms (low neck to fundus ratio)
giant aneurysms
distal segment lesions

https://litfl.com/coiling-versus-clipping-in-aneursymal-subarachnoid-haemorrhage/

How well did you know this?
1
Not at all
2
3
4
5
Perfectly
12
Q

Q12: Hypotension after transfusion of blood products

The medication most strongly associated with an acute primary hypotensive reaction following transfusion of blood products is
a. Aspirin
b. Ibuprofen
c. Hydralazine
d. Metoprolol
e. Perindopri

A

Perindopril

isolated hypotension is rare - most likely due to excess bradykinin, especially when bradykinin metabolism is inhibited (eg. In patients on ACEi)

https://www.lifeblood.com.au/health-professionals/clinical-practice/adverse-events/hypotension

How well did you know this?
1
Not at all
2
3
4
5
Perfectly
13
Q

Q13: Role of anion gap in ABG analysis

The anion which contributes the most to the anion gap is

a) Albumin
b) Chloride
c) Phosphate
d) Bicarbonate

A

Answer: A Albumin

How well did you know this?
1
Not at all
2
3
4
5
Perfectly
14
Q

Q14: Effects secondary to ingestion of lithium button battery

20mm lithium battery lodged in oesophagus, how much time before it corrodes and perforates?
A. 1h
B. 2h
C. 4h
D. 6h
E. 12h

A

B, 2 hours<br></br>https://litfl.com/button-battery-update-3-0/

How well did you know this?
1
Not at all
2
3
4
5
Perfectly
15
Q

Q15: Role of corticosteroids in septic shock

According to sepsis guideline 2021, when do you start steroids in septic shock

a) Wait until synacthen test
b) For 1hr if mAP <65
c) norad > 0.1mcg/kg/min for any duration
d) norad > 0.25mcg/kg/min for at least 4 hours
e) norad > 0.5mcg/kg/min for at least 2 hours

A

Answer:
d) Norepinephrine ≥ 0.25 mcg/kg/min at least 4 hours after initiation.

https://www.sccm.org/clinical-resources/guidelines/guidelines/surviving-sepsis-guidelines-2021
The typical corticosteroid used in adults with septic shock is IV hydrocortisone at a dose of 200 mg/d given as 50 mg intravenously every 6 hours or as a continuous infusion.
It is suggested that this is commenced at a dose of norepinephrine or epinephrine ≥ 0.25 mcg/kg/min at least 4 hours after initiation.

How well did you know this?
1
Not at all
2
3
4
5
Perfectly
16
Q

Q16: Oral morphine equivalent dose calculation for oxycodone
IV oxycodone 30mg, what is the oral morphine equivalent
A.
B. 30mg
C. 60mg
D. 90mg
E. 120mg

A

Answer: D 90mg

How well did you know this?
1
Not at all
2
3
4
5
Perfectly
17
Q

Q17: Sugammadex drug interaction

Suggammadex interacts with which drug (anti-emetic?)

A

? Ondansetron

How well did you know this?
1
Not at all
2
3
4
5
Perfectly
18
Q

Q18: Comparison between arterial and peripheral capillary oxygen saturation values

A
How well did you know this?
1
Not at all
2
3
4
5
Perfectly
19
Q

Q19: Sugammadex dose calculation based on TOF count and post-tetanic count

Intubate with 1mg/kg rocuronium. Surgery ceases. TOF count 0. PTC 2. What dose sugammadex to give?
a) 1mg/kg
b) 2mg/kg
c) 4mg/kg
d) 8mg/kg
e) 16mg/kg

A

Answer: C 4mg/kg

Immediate reversal required after 1.2mg/kg
Give 16mg/kg, recovery in 1.5 minutes

No detectable PTC
8mg/kg

1-2 post tetanic counts
4mg/kg, Recovery to 0.9 in 3 minutes

TOFC 2
2mg/kg given at reappearance of T2 = TOFR 0.9 within 2 minutes https://www.medsafe.govt.nz/profs/datasheet/b/bridioninj.pdf

How well did you know this?
1
Not at all
2
3
4
5
Perfectly
20
Q

Q20: Human prothrombin complex (Beriplex)

What is not in beriplex (or prothrombinex 4 factor)
a) Factor 7
b) Factor 10
c) Factor 8
d) Protein C
e) Factor 9

A

Factor 8

4 factor Beriplex - 2, 7, 9, 10, protein C and S

Excipients
Antithrombin III (human), albumin (human), Heparin sodium (porcine), Sodium+ Phosphate+ Citrate+ Chloride+ (Present as sodium citrate, sodium phosphate and sodium chloride)

How well did you know this?
1
Not at all
2
3
4
5
Perfectly
21
Q

Q21: Opioid-induced respiratory depression

The most reliable clinical indicator of opioid-induced ventilatory impairment (OIVI) is
decreased

a) level of consciousness
b) RR
c) SpO2
d) Vt

A

Answer: A LOC

How well did you know this?
1
Not at all
2
3
4
5
Perfectly
22
Q

Q22: Effects of Dexmedetomidine

Intravenous dexmedetomidine use does NOT result in

a) Hypertension
b) Bradycardia
c) Decreased urine output
d) Decreased opioid consumption
e) increased regional nerve block duration

A

Decreased urine output
(alternative is Residual sedation)
- Dexmed can be a diuretic (increase GFR and UO)

Loading infusion: Transient HTN (α2B receptors agonism), bradycardia, hypotension
Intaop dexmed associated with PACU:
↓ PONV, shivering, cough, emergence agitation, pain scores
Decreased BP (hypotension)
No change bradycardia and sedation and PACU LOS

No change - BSL - bradycardia/sedation/LoS PACU
Decreased everything else incl. BP (PONV, shivering, cough, agitation, pain)”

“BJA 2020 RCT: 24hrs post-induction dexmed reduces AKI post aortic surgery requiring CPB. No differences in HR/BP/sedation
https://www.bjanaesthesia.org.uk/article/S0007-0912(20)30001-5/pdf “

How well did you know this?
1
Not at all
2
3
4
5
Perfectly
23
Q

Q23: Risk of obesity in pregnancy

Obesity in pregnancy does not increase risk of -
a. antenatal depression,
b. cholestasis,
c. pre eclampsia
d gestational HTN

A

b. intrahepatic cholestsasis of pregnancy

www.ranzcog.edu.au/wp-content/uploads/Management-Obesity-Pregnancy.pdf

How well did you know this?
1
Not at all
2
3
4
5
Perfectly
24
Q

Q24: Intraoperative lung protective ventilation strategies

What is not part of ARDS management?
A. Alveolar recruitment
B. 6ml/kg tidal volume
C. Titrated PEEP
D. I:E ratio 1:3

A

Answer: Probably D

BJA Lung-protective ventilation for the surgical patient: international expert panel-based consensus recommendations:

Inspiratory/expiratory ratio:
Several studies have compared prolonged inspiratory-to-expiratory (I:E) ratios to the 1:2 ratio commonly used during mechanical ventilation.

An I:E ratio of 1:1, which has been characterised as providing a ‘balanced stress to time product’, was associated with attenuation of lung damage.
Prolonged I:E ratio increases mean airway pressure and concomitantly reduces peak airway pressure.

When recruitment manoeuvres are performed, the lowest effective pressure and shortest effective time or fewest number of breaths should be used.

How well did you know this?
1
Not at all
2
3
4
5
Perfectly
25
Q25: Risks associated with peribulbar block Safest approach for peribulbar if short eye length? a) Inferotemporal b) superior temporal c) medial canthal d) lateral canthal e) Other approaches
a. inferotemporal The inferotemporal approach offers more physical space between the globe and the orbital walls, providing safer access away from the extraocular muscles compared with a medial or off-centered (“two thirds/one third”) inferotemporal approach.Citation8
26
Q26: Transducer placement for gastric ultrasound Gastric ultrasound in supine position - parasagittal vs transverse, position
Place the probe in the epigastrium in a sagittal plane, slightly left of the midline. Below xiphisternum aiming for antrum.
27
Q27: Pacemaker code The fifth position of the international pacemaker (NBG) code represents the A. Multi-site pacing/rate response B. Paced C. Sensed D. Response E. Rate modulation
A multi-site pacing
28
Q28: Inflammatory bowel disease and analgesics
29
Q29: Brain death criteria
30
Q30: Diagnosis of amniotic fluid embolism
Gold standard of diagnosis is the totally unrealistic manoeuvre of sucking some amniotic fluid debris out of a distal port of the PA catheter. Foetal debris in maternal sputum is a more civilised alternative, but again unlikely to be game-changing if you already strongly suspect AFE. Foetal antigen serology looking for TKH-2 antibodies ( or insulin-like growth factor binding protein-1) are apparently not well validated Supporting investigations Bloods: FBC (thrombocytopenia) Coags/fibrinogen (DIC) Troponin (cardiac strain) ABG (hypoxia, lactic acidosis) Imaging etc: TTE/TOE (right heart strain, evidence of obstructive shock) ECG (RV strain) CXR (pulmonary oedema)
31
Q31: Forest plot (image): Interpretation What is D A. The intervention is inferior to standard Care B. The intervention may be non-inferior but results are inconclusive C. The intervention is non-inferior to standrard care D. The intervention is superior to standard care
Answer: C
32
Q32: Benztropine pharmacology Benztropine is used to ameliorate the effects of drugs that antagonise A. Muscarinic cholinergic receptors B. Nicotinic cholinergic receptors C. D2 dopamine receptors D. 5HT3 receptors
? C Benztropine is a muscarinic antagonist, however it is used to treat extrapyramidal symptoms in dopaminergic agents.
33
Q33: Ventilation strategy in a patient with bronchopleural fistula
Core Ventilation Principles  1. Reduce Airway Pressure: The primary goal is to minimize peak inspiratory pressure (PIP) and mean airway pressure. 2. Low Tidal Volume (4-6ml/kg): Use smaller, pressure-controlled, or volume-controlled breaths to reduce the pressure gradient driving air through the fistula. 3. Minimal PEEP: Use the lowest possible PEEP to maintain oxygenation without forcing air through the fistula. 4. Short Inspiratory Time: A shorter Ti reduces the time for air leakage during the breath. 5. Permissive Hypercapnia: Allowing CO2 levels to rise can be necessary to reduce minute ventilation requirements.  Specialized Techniques  1. High-Frequency Jet Ventilation (HFJV): Effective in reducing air leaks by providing small, high-frequency, low-pressure breaths. 2. Independent Lung Ventilation (ILV): Uses two ventilators or a double-lumen tube to ventilate the healthy lung with standard parameters while minimizing pressure in the affected lung. 3. Double-Lumen Tube (DLT) or Bronchial Blocker: Used to isolate the affected lung. 4. ECMO: Venovenous ECMO can be used for refractory cases to allow the lungs to rest and the fistula to heal.  Key Management Considerations  1. Avoid Excessive Suction: Keep chest tube suction to the minimum necessary to maintain lung inflation. 2. Underlying Disease: Addressing the root cause (e.g., pneumonia, infection) is critical, as BPF usually seals once the underlying lung condition improves. 3. Monitor Leak: Large leaks (>500 mL/breath) are associated with higher mortality, but conventional strategies can manage most
34
Q34: BP targets in severe traumatic brain injury In a 21-year-old man with an isolated acute severe traumatic brain injury, systolic blood pressure should be maintained at a level equal to or greater than a) 90 b) 100 c) 110 d) 120 e) 140
Answer: C
35
Q35: Risk factors for developing severe post-partum haemorrhage
Top Risk Factors for Severe PPH Obstetric History: Previous severe PPH (highest risk factor), grand multiparity (5+ deliveries).Placental Issues: Placenta previa, placenta accreta, or placental abruption.Uterine Overdistension: Multiple pregnancy (twins/triplets), macrosomia (large baby >4500g), or polyhydramnios (excess amniotic fluid).Labour and Delivery Management: Prolonged labour (especially second stage), instrumental vaginal delivery (forceps/vacuum), in-labour (emergency) caesarean section, and induction/augmentation of labour.Maternal Conditions: Anaemia, obesity (BMI \(\ge \) 30), severe pre-eclampsia, HELLP syndrome, coagulation disorders, or uterine fibroids.Other Factors: Infection (chorioamnionitis), smoking (nicotine abuse), and the use of magnesium sulfate or anticoagulants
36
Q36: Management of serotonin syndrome What drug best treats hyperthermia in serotonin syndrome A. Dantrolene B. Fentanyl C. Rocuronium D. Paracetamol
C Hyperthermia triggered by muscle hyperactivity. Therefore no role for paracetamol. Initial management for hyperthermia is sedation with benzodiazepines followed by muscle relaxation via non-depolarising agents. If all supportive care, specific serotonin antagonists (cyproheptadine) should be given
37
Q37: Pharmacological implications of suspected thyroid storm
The pharmacological strategy is often summarized by the "5 B's": Block synthesis Block release Block conversion Beta-blockade Block enterohepatic circulation. Thionamides (Block Synthesis): Propylthiouracil (PTU) is preferred due to its ability to inhibit the peripheral conversion of T4 to T3, in addition to blocking new hormone synthesis. Recommended loading doses are high (e.g., 500-1000 mg PTU), followed by 250 mg every 4 hours. Iodine Compounds (Block Release): Inorganic iodine (e.g., Lugol’s solution, SSKI) stops the release of preformed thyroid hormones. Critically, this should be administered at least one hour after the thionamide loading dose to prevent the iodine from being used to create more hormone Beta-Blockers (Adrenergic Blockade): Propranolol is the preferred agent for symptomatic control (tachycardia, tremors, agitation) because it not only provides beta-adrenergic blockade but also reduces the peripheral conversion of T4 to T3 at high doses. Esmolol is an alternative for critically ill patients requiring rapid titration. Glucocorticoids (Conversion Block & Adrenal Support): Hydrocortisone or dexamethasone is given to inhibit T4 to T3 conversion, treat potential associated adrenal insufficiency (a,c,c), and stabilize hemodynamics. Bile acid sequestrants (e.g., Cholestyramine) can be used to reduce the enterohepatic circulation of thyroid hormones. In cases resistant to medical therapy, therapeutic plasma exchange (TPE) can be used to remove excess hormones.
38
Q38: Effects of stellate ganglion block Your patient underwent a stellate ganglion block 2 hours ago. Prior to discharge you are asked to review the patient in recovery because of a droopy upper eyelid. The patient would also be expected to have ipsilateral a) Pupillary constriction and reaction to light b) Pupillary constriction and no response to light c) Pupillary dilation and response to light d) Pupillary dilation and no response to light
Answer: A Stellate ganglion block causes ipsilateral Horner’s Syndrome: Ptosis (eyelid droop) Miosis (constricted pupils) Anhydrosis (loss of sweating) Enophthalmos (sinking of eyeball into the bony cavity that protects the eye) *Pupillary constriction in response to light is controlled by the Edinger-Westphal nucleus of CN3, which will remain intact.
39
Q39: Differential hypoxia Differential hypoxia is seen during what? a) Ecco2 device b) VV ecmo c) VA ecmo d) Haemodialysis e) Peritoneal Dialysis
VA ecmo
40
Q40: What is this lead?
Coronary Sinus Lead in CRT Device
41
Q41: Interpretation of a given trial design All patients over 70 years of age having received either spinal or general anaesthesia at Hospital X are reviewed 3 years later to assess cognitive function. The aim of the study is to determine whether exposure to general anaesthesia or spinal anaesthesia impacts cognitive function. This trial design is best described as a a) RCT b) cohort study c) case-control study d) case series e) cross-sectional study
Answer B
42
Q42: Brachial plexus (image): Identify nerve G
Answer: Radial Nerve
43
Q43: Management of anaphylaxis in a child Child with moderate anaphylaxis, what mcg/kg dose Adrenaline do you give? A. 0.1 B. 1 C. 2 D. 5
C 2mcg/kg
44
Q44: Identify compartment syndrome based on clinical signs Numbness between 1st and 2nd toe, weakness to dorsiflexion. Which compartment is affected? A. Anterior B. Lateral C. Medical D. Deep posterior E. Superficial posterior
A anterior compartment Dorsiflexion = tibialis anterior. Numbness pattern = deep peroneal nerve. Both in the anterior compartment
45
Q45: Pharmacological options for neuropathic pain The analgesic drug with the most favourable Number Needed to Treat (NNT) for neuropathic pain is a) Amitriptyline b) Gabapentin c) Tramadol d) Pregabalin e) Carbamazepine
? A. Amitriptyline Many variations of this question. Not sure TCAs (amitriptyline) NNT: 3.6, NNH: 9 Strong opioids NNT 4.3 NNH 11.7 Tramadol NNT: 4.7, NNH 12.6 SNRIs (duloxetine and venlafaxine) NNT 6.4, NNH 11.8 Gabapentin NNT: 7.2 NNH 25.6 Pregabalin NNT:7.7, NNH 13.9
46
Q46: Persistent postsurgical opioid use
47
Q47: Blood glucose level monitoring in a diabetic patient in recovery How frequent should you measure blood glucose in PACU as per diabetes guideline 30 mins 1 hour 2 hours
Answer B: 1 hour
48
Q48: Fibrinolysis in ROTEM
49
Q49: Model for End-Stage Liver Disease (MELD) score MELD score does not include A. Albumin B. INR C. Na D. Cr E. Bilirubin
Probably misremembered and not so good now
MELD original does not use Albumin or Na
MELD-Na does not use Albumin
MELD 3.0 (more contemporary) uses all of the options
50
Q50: Organ procurement after circulatory death What is the time limit for donation after circulatory death A. B. 30min C. 60min D. 90min E. 120min
C
51
Q51: Role of desmopressin in management of von Willebrand disease In the treatment of persistent mucosal bleeding in patients with von Willebrand disease Type 3, Desmopressin (DDAVP) is a) contraindicated due to risk of thrombocytopenia b) indicated if previous response documented c) indicated to improve plt function d) contraindicated as it won’t work
Answer: D
52
Q52: Calculate probability based on sensitivity and specificity A test for a condition which has a prevalence of 1 in 1000 has a sensitivity of 100% and a specificity of 90%. The probability of a patient who receives a positive result actually having the condition is a. 1% b. 10% c. 50% d. 100%
a. 1% i.e. what is the positive predictive value (PPV) for this test PPV= TP/ TP +FP Negative Predictive Value = TN / TN + FN Prevalence of 1/1000 Sensitivity of 100% Specificity of 90% Of patients that are disease positive in population of 1000 TP = 1 FN = 0 -> 100% sensitivity Of patients that are disease negative in population of 1000 FP = 99 TN = 900 -> 90% Specificity PPV= 1/ 1 + 99 = 1/100 =1% NPV= 900/ 900 + 0 = 1/1 = 100%
53
Q53: Complications associated with subclavian central venous access
54
Q54: Effects of high-flow nasal oxygen therapy A. Reduced RR B. Reduced MV C. Increased work of breathing
A. Reduced RR BJA HFNOT It has been demonstrated that patients with acute hypoxaemic respiratory failure experience improved comfort and tolerance with HFNOT compared with humidified oxygen via a facemask, and traditional non-invasive ventilation masks. Subjective feelings of dyspnoea AND RESPRIATORY RATES are REDUCED as is airway dryness
55
Q55: Identify ethical principle based on definition What is fair, equitable healthcare A. Beneficence B. Justice C. Nonmaleficence
B
56
Q56: Management of extravasated noradrenaline (norepinephrine)
57
Q57: Anatomical basis for labour pain
58
Q58: Factors affecting transcranial cerebral oximetry A patient under general anaesthesia monitored with transcranial cerebral oximetry has a decrease in their cerebral oxygen saturation. This is likely to be improved by an increase in all of the following EXCEPT A. Increasing blood pressure B. Deepening anaesthesia C. Increased minute ventilation D. Transfusion
C. Increased minute ventilation
59
Q59: Identify ASA classification A 4 week old full term neonate with an inguinal hernia, who is otherwise healthy, has an ASA (American Society of Anesthesiologists) classification of at least a) 1 b) 2 c) 3 d) 4
Answer C
60
Q60: Complications of parathyroidectomy
61
Q61: Mechanism of action of anti-diabetic medications What drug increases renal excretion of glucose A. Biguanide B. GLP1 C. SGLT2 D. Sulphonylurea E. Acarbose
C
62
Q62: Physiological responses to electroconvulsive therapy Ongoing cerebral seizure activity induced by electroconvulsive therapy should be medically terminated after A. 30s B. 60s C. 90s D. 120s E. 150s
D 120 seconds
63
Q63: Most common cause of cardiac arrest in NAP7 audit A. Major haemorrhage B. Myocardial ischaemia C. Brady arrhythmia D. Anaphylaxis
Answer A
64
Q64: Neuraxial catheter and anticoagulation You have been asked to provide general anaesthesia for a complex thoracic endovascular aortic aneurysm repair. After the placement of a lumbar drain the recommended safe time before the administration of intravenous heparin is a) 1 hour b) 4 hours c) 6 hours d) 12 hours
1 hour
65
Q65: Effect of haemodialysis on drugs
66
Q66: Rapid AF in a patient with known Wolf-Parkinson-White syndrome WPW in AF, haemodynamically stable, how to treat A 24-year-old man with Wolff-Parkinson-White syndrome is having anaesthesia for a knee arthroscopy. During the procedure he develops the following rhythm. His blood pressure is 100/65mmHg. The most appropriate treatment is a. Adenosine b. Procainamide c. Verapamil
b. Procainamide BJA: Perioperative cardiac arrhythmias https://academic.oup.com/bja/article/93/1/86/265716 Note in NZ Procainamide is not even approved by medsafe.
67
Q67: Doppler (image) of descending aorta: Identify underlying pathological condition TOE doppler mode in descending aorta
Aortic Regurgitation
68
Q68: Chest-drain system (image): Identify purpose of component (arrow pointing to C)
Answer quantifies degree of air leak
69
Q69: Management of cyanide poisoning The first-line drug recommended by both the Australian Resuscitation Council and the New Zealand Resuscitation Council to treat severe cyanide poisoning is a. Methylene blue b. Hydroxycobalamine c. Sodium thiosulfate
Answer B
70
Q70: Electrical safety Blue colour power socket A. Ups B. Essential (generator backup) C. equipotential earthing
A. UPS
71
Q71: Massive transfusion in a child When should you activate massive transfusion for child with 80ml/kg blood volume after 3 hours?
>50% blood loss after 3 hours (RCH) is defined as massive haemorrhage As to when you should activate it…
72
Q72: ECG (image): Choose best treatment based on ECG and clinical vignette
73
Q73: Lung ultrasound interpretation A. Normal B. PTx C. Pulmonary oedema D. Pneumonia
Answer A
74
Q74: Anterior spinal artery syndrome Anterior spinal artery infarct. What is not affected? A. Pain B. Temperature C. Propioception D. Motor
Answer: C In anterior spinal artery syndrome (anterior two-thirds cord infarction), you lose: Motor (corticospinal tracts) Pain and temperature (spinothalamic tracts) You typically spare dorsal column modalities because the posterior columns (proprioception, vibration, discriminative touch) are supplied predominantly by the posterior spinal arteries.
75
Q75: Thyroid function tests: Identify likely diagnosis (Made up) Patient intubated with severe pneumonia in ICU, Thyoid function tests show: TSH: 0.15 mIU/L (ref 0.4–4.0) T4: 11 pmol/L (ref 10–22) T3: 2.3 pmol/L (ref 3.5–6.5) Which interpretation is most appropriate? A. Primary hypothyroidism B. Thyroid storm C. Sick euthyroid D. Secondary hypothyroidism
Answer C
76
Q76: Management of cardiac arrest secondary to ventricular fibrillation. VF arrest, 2 shocks, then adrenaline, then shock. What do you do next?
Answer: Amiodarone
77
Q77: Surgical diathermy and risk of arrhythmia
78
Q78: Contraindications to the use of EMLA
79
Q79: Characteristics of classic LMA ​What is the maximum recommended volume for Classic 4 LMA cuff 20ml 25ml 30ml 35ml?
?? Variations of this question, sometimes maximum is **60 cmH2O** Presumably the answer for this question is 30mL ? | (Hol) I think key here = "volume" 30ml = max vol, 60cmH2O = max pressure
80
Q80: Anterior ischaemic optic neuropathy
?painless ?due to ischaemia (in anaesthesia anyway) ?early optic disc edema (delayed in PION ?more commonly associated with cardiac surgery (vs posterior spinal surgery for PION)
81
Q81: Pharmacology of oral naltrexone Naltrexone withhold for how many hours A. 24h B. 48h C. 72h
Answer C 72 hours
82
Q82: Measure of dispersion of data
examples include - range - variance - standard deviation (square root variance) - IQR
83
Q83: Failure of epidural blood patch
?failure rate ~30%? Risk factors for failure: migraine hx, accidental dural puncture at higher lumbar levels, EBP <48h after accidental dural puncture
84
Q84: Management of cardiac arrest in ICU post open cardiac surgery
VF/VT --> 3 x shocks, then start BLS, DC shock every 2 minutes until chest opening Asystole/severe bradycardia --> pace if wires in situ, attempt transcutaneous pacing, if unsuccessful cor until chest opening PEA--> turn off pacing if on to exclude underlying VF, continue cor until resternotomy
85
Q85: Management of moderate to severe hyperkalaemia
86
Q86: Innervation of teeth
87
Q87: What paediactric age can you use the adult GCS score A. 3 B. 4 C. 6 D. 8 E. 10
Answer: A or B The makers of the GCS say you should use paediatric GCS if ≤2 years as the patient needs to be able to speak to score the verbal response I note that RCH paediatric trauma guideline has this at 4 years old https://www.rch.org.au/trauma-service/manual/Head_injury
88
Q88: Blunt trauma in a child
89
Q89: Methylene blue and G-6PD deficiency
G6PD and methylene blue, what is the complication for giving methylene blue in septic shock with a patient having G6PD
Causes haemolytic anaemia
90
Q90: Pin Index Safety System PIn Index Safety System for medical air A. 1, 5 B. 2, 5 C. 3,5 D. 1,6 E. 4, 6
A. 1, 5 Air: 1, 5 Oxygen: 2, 5 N2O: 3,5 CO2: 2, 6 He: 2, 4 Cyclopropane 3, 6 Entonox 7
91
Q91: Effect of drugs on electrocorticography (ECoG) during epilepsy surgery
For selected surgeries, a short period of invasive EEG monitoring may be required during surgery: EEG electrodes are placed directly on the cortical surface and epileptiform activity is identified, and this can guide the extent of a resection. If ECoG is required, then benzodiazepines should not be given on induction because they suppress EEG activity. During ECoG, pharmacoactivation may be required in order to activate IEAs. Potent short-acting μ-agonists can be used to increase IEAs and alfentanil, remifentanil, fentanyl and sufentanil can be used for this. Alfentanil is the most specific and consistent activator of IEAs and is administered at doses of 20–100 μg kg−1 for this purpose. It is generally accepted that the depth of anaesthesia should be reduced during ECoG, and the patient should be advised of the small risk of awareness during this period. It should be noted that laudanosine, a metabolite of atracurium and cisatracurium, is potentially epileptogenic.
92
Q92: Pulse pressure variation as a measure of fluid responsiveness
93
Q93: Preoperative fasting guidelines The current ANZCA guidelines for preoperative fasting of adult patients state that studies have shown that it is safe to administer a) unlimited clear fluid 2 hours prior b) 200ml clear fluid 2 hours prior c) 300ml clear fluid 2 hours prior d) 400ml clear fluid 2 hours prior
Answer D (PG07)
94
Q94: Heart sounds (image): Identify murmur consistent with HOCM
- get a ESM due to LVOTO. Generally no radiation to carotids though. quieter w increase in preload e.g. squatting or increase in after load (hand grip), louder w valsalva (decr preload) - sometimes may get MR like murmur due to SAM
95
Q95: Lung anatomy
96
Q96: Clinical characteristics of persistent pain
97
Q97: Pharmacology of octreotide during acute variceal bleeding
LITFL: Long-acting somatostatin analogue Reduces splanchnic blood flow and portal venous pressure by unknown mechanisms (hence reduces variceal pressures) Inhibits endocrine and paracrine factor secretion, including insulin, glucagon, gastrin, GH and TSH As a long-acting somatostatin analog, it binds with high affinity to somatostatin receptors (specifically subtypes 2 and 5). Splanchnic Vasoconstriction: Octreotide suppresses the release of vasodilatory peptides, most notably glucagon, which are responsible for splanchnic hyperemia in cirrhosis.
98
Q98: Ventilation during neonatal resuscitation
99
Q99: Clinical differentiation between radiculopathy and peripheral neuropathy How do you differentiate C8/T1 weakness from ulnar nerve? A. Finger flexion B. Finger adduction C. Finger abduction D. Thumb adduction E. Thumb abduction
Answer E
100
Q100: Complications associated with SSRIs SSRI effects… bleeding?
101
Q101: Comparison between nerve stimulator-guided vs ultrasound-guided block
102
Q102: Physiological effects during surgical pneumoperitoneum
103
Q103: ECG abnormalities associated with anorexia nervosa
ECG - sinus brady /first degree, Mobitz Type I / Type II, CHB
104
Q104: Cardiopulmonary exercise testing
105
Q105: Glasgow Blatchford score Glasgow-Blatchford Score (GBS) is used to grade A. UGIB B. Post partum haemorrhage C. Trauma peritoneal bleeding
A
106
Q106: Perioperative tests for coagulation
107
Q107: What is the lowest manufacturer recommended weight for iGEL airway A. 2kg B. 3kg C. 5kg D. 10kg
Answer A
108
Q108: ABO and Rh compatibility of cryoprecipitate (Made-up) Patient is Group A-, no A- Cryoprecipitate is available. What is the next best option A. Group A+ B. Group AB+ C. Group B- D. Group O-
Group A+ Rhesus status not important Reserve AB+ for emergencies
109
Q109: Chest Xray (image): Identify medical device shown
Loop recorder? Had a lateral CXR too
110
Q110: Analysis of variance test Analysis of variance (ANOVA) is a statistical test to determine a) comparisons of means between two groups in normally distributed data b) comparisons of means between two groups in non-normally distributed data c) comparisons of means between three groups (unpaired) in normally distributed data d) comparisons of means between three groups (unpaired) in non-normally distributed data
c) comparisons of means between three groups in normally distributed data ANOVA (analysis of variance): comparisons of means between more than two groups or between several measurements in the same group is called analysis of variance and is frequently cited by the acronym ANOVA
111
Q111: MIST handover for a trauma patient
Mechanism of injury Injuries Signs and symptoms Treatment
112
Q112: Post-extubation airway obstruction after transsphenoidal pituitary resection A man with a history of obesity and obstructive sleep apnoea has just had a transsphenoidal pituitary resection. Soon after extubation he is semi-conscious and is making a respiratory effort but has near complete upper airway obstruction with stridor. His arterial oxygen saturation is 93% and starting to fall. Your first actions should be to a) Deepen with propofol and insert LMA b) Insert Oropharyngeal airway and provided positive pressure ventilation c) Insert Nasopharyngeal airway and provided positive pressure ventilation d) Insert Nasopharyngeal airway and provide CPAP
a) Deepen with propofol and insert LMA https://academic.oup.com/bjaed/article/11/4/133/266875#3195876
113
Q113: Risk factors for emergence delirium in children In preschool-aged children having tonsillectomy under general anaesthesia, delirium is more likely with the use of a. Inhalational anesthesia b. Remifentanil at end of case c. Dexamethasone d. Intranasal ketamine
A. Inhalational anaesthesia
114
Q114: Techniques to optimise ultrasound image
115
Q115: ANZCA fasting guidelines
116
Q116: Innervation of shoulder joint What nerve does not contribute to sensory innervation of the shoulder? A. Subscap B. Suprascap C. Long thoracic D. Axillary E. Lateral pectoral
Answer: ? C I think long thoracic goes to ser ant m? although subscap primarily motor to its muscle and teres major
117
Q117: How long should a patient be monitored after receiving a major peripheral nerve block in PACU? A. 30 minutes B. 1 hour C. 2 Hours D. 4 hours
Answer: A PG03 2.9 In addition to monitoring for any specific patient needs, monitoring during establishment of major regional analgesia should include frequent and regular blood pressure measurement, respiratory rate, and conscious state evaluation. An electrocardiograph and pulse oximeter should be available. Oxygen should be administered in the presence of sedation. **This level of monitoring should be continued for at least 30 minutes or until the patient’s vital signs are stable. ** Subsequent monitoring depends on the block and drugs used and the clinical circumstances (see item 3.3.1). Institutional protocols must be applied. In general this should include regular assessment of heart rate, blood pressure, sedation, pain, and motor block as indicated by the clinical circumstances.
118
Q118: Myocardial Injury after Non-cardiac surgery (MINS) study The Myocardial Injury after Non Cardiac Surgery study showed elevated troponin in the first three post-operative days was strongly associated with a) 30 day mortality b) 30 day MI
A
119
Q119: Management of cocaine toxicity
120
Q120: Lumbar plexus (image): Identify nerve
Obturator Nerve
121
Q121: Role of vitamin C in postoperative pain management Vit C - High dose / low dose / PO / IV - effect? Pain, Length of stay
?? Brief review of online - Has modest opioid sparing benefit when used IV (less evidence for oral) Some signal that it can prevent CRPS after a distral radius fracture (Hol) quick search through APMSE - "vitamin C reduces post pain and has mod evidence for reduction in post morphine consumption. - RCT (1g/day)- PO vit C decreased postop pain score and rescue analgesia needs for foot and ankle surgery, major abdominal surgery (2g/day PO) - no pain relief for herpes zoster (5g IV)
122
Q122: Management of acute desaturation in a trauma patient in ED post-intubation You have just intubated a trauma patient in ED. They arenow hypoxamic Sats 85% on FiO2 0.5, poor lung auscultation. POCUS performed showing a lung pulse but no lung sliding. What do you do next A. Reposition sats probe B. Finger thoracostomy C. Needle decompression D. Chest drain insertion E. Pull back ETT 1-2cm
A lung pulse suggests that there is intact pleura and therefore no pneumothorax or haemothorax. Absence of lung sliding suggests no movement on that side and perhaps this is pointing to an endobronchial intubation? I am unsure Blue book 2025 - likely endobronchial ETT
123
Q123: Risk factors for chronic postsurgical pain A risk factor for the development of chronic postsurgical pain is having a. Age >65 b. Male c. Pain at site 1 month prior to surgery d. Higher SES
c. Pain at site 1 month prior to surgery
124
Q124: Characteristics of lasers in clinical use The medical laser LEAST likely to cause eye injury is a) CO2 b) Nd:YAG c) Argon d) Green light
A
125
Q125: Lower limb dermatomes (image): Identify nerve
Arrow pointing to purple.
Sural Nerve
126
Q126: Variables in a clinical study
127
Q127: Seizure activity induced by ECT Ongoing cerebral seizure activity induced by electroconvulsive therapy should be medically terminated after a) 30s b) 60s c) 90s d) 120s e) 150s
120 seconds
128
Q128: Drug interactions with oral hormonal contraception
129
Q129: Endotracheal tube (image): Identify type
Laryngectomy "J" tube
130
Q130: Coagulation effects of intraoperative hypothermia Compared to a normothermic patient, a patient with mild intraoperative hypothermia (35.0o C) will have a. increased bleeding and normal aptt and inr b. Increased bleeding and decreased inr c. Increased bleeding and decreased aptt d. Decreased bleeding
a. increased bleeding and normal aptt and inr Bleeding because cold = we know this (ok) Haemtology analyzer in labs warms blood to 37.2 degrees (fixes hypothermia on sample)
131
Q131: Cerebral angiogram (image): Identify artery
132
Q132: According to ANZCA PS54(A), an anaesthetic machine requiring electrical power must, in the event of mains power failure, be able to operate under battery backup power for a minimum of a) 30 min b) 60 min c) 120 min d) 240 min
a) 30 min If the anaesthesia machine requires electrical power for normal operation, a backup power supply must be a part of the machine and permit normal operation for at least 30 minutes after a mains power supply failure. An alarm must be activated at the time of the mains failure and the state of the reserve power supply must be indicated while it is in use. https://www.anzca.edu.au/getattachment/f05e02ec-2023-4c50-b57f-9549ea0c4183/PS54(A)-Position-statement-on-the-minimum-safety-requirements-for-anaesthesia-machines-and-workstations-for-clinical-practice-2021#page=
133
Q133: Breathing circuit (image): Identify Mapleson type
Mapleson C
134
Q134: Local anaesthetic dose calculation
135
Q135: Metabolic derangement associated with hyperchloraemia
Metabolic Acidosis?
136
Q136: Preoperative implications before resection of paraganglionoma
? Presumably something catecholamine secreting related
137
Q137: Utility of pulse pressure variation in different clinical situations
138
Q138: Cerebral ischaemia following aneurysmal subarachnoid haemorrhage
139
Q139: Patients with rheumatoid arthritis and the most common form of atlantoaxial instability have a widened atlantodental interval. This is measured between the A. distance from posterior surface of dens to anterior surface of posterior arch of atlas B. distance from anterior surface of dens to anterior surface of posterior arch of atlas C. distance from posterior surface of dens to anterior surface of anterior arch of atlas D. distance from posterior surface of dens to posterior surface of posterior arch of atlas E. distance from anterior surface of dens to posterior surface of anterior arch of atlas
E. distance from anterior surface of dens to posterior surface of anterior arch of atlas
140
Q140: Predictors of successful awake extubation after volatile anaesthesia in infants a. 2mL/kg tidal volume, b. grimacing c. coughing d. RR > 20
b. grimacing conjugate gaze facial grimace eye opening purposeful movement tidal volume greater than 5 ml/kg Source: SPANZA 2019 article
141
Q141: Congenital conditions associated with OSA in children
Like.. all of them? Down syndrome Craniofacial anomalies (PRS/craniosynostosis syndromes) Skeletal dysplasia (achondroplasia) Prader–Willi Mucopolysaccharidoses Congenital neuromuscular disorders
142
Q142: ECG (image): Diagnosis
143
Q143: NAP5 project findings NAP5 Awareness risk GA without muscle relaxant A. 1:360 B. 1:1,360 C. 1:13,600 D. 1:136,000 E. 1:1,360,000
Answer: D
144
Q144: Strategies to reduce incidence of PONV
145
Q145: Physiological effects of IABP
146
Q146: Arndt endobronchial blocker (image): Which port is the bronchial blocker inserted through
D
147
Q147: Correlation between intraosseous and venous blood samples Interosseous vs IV blood tests, which correlate best? A. Hb B. Platelets C. Ca D. K E. White blood cells
Answer: A This seems to vary depending on what source you look at. One interpretation https://resources.wfsahq.org/atotw/understanding-and-establishing-intraosseous-access/
148
Q148: Treatment of trigeminal neuralgia
149
Q149: Citrate content in blood products Citrate content highest in: A. FFP B. RBC C. Cryo
A
150
Q150: Comparison between arterial and venous blood gas A 24-year-old man has been brought into the emergency department with a traumatic fracture of the femur. His observations are: heart rate 90 beats per minute; blood pressure 120/80 mmHg; respiratory rate 25 breaths per minute. A peripheral VENOUS blood gas sample shows a pH of 7.29. The arterial blood pH can be estimated to be A. 7.29 B. 7.32 C. 7.35 D. 7.4
B. 7.32 https://emj.bmj.com/content/18/5/340 The values of pH on arterial and venous samples were highly correlated (r=0.92) with an average difference between the samples of −0.4 units. There was also a high level of agreement between the methods with the 95% limits of agreement being −0.11 to +0.04 units. https://litfl.com/vbg-versus-abg/ pH - Good correlation - pooled mean difference: +0.035 pH units