25.2 (Version 2 - better) Flashcards

(148 cards)

1
Q

Which view is not part of extended eFAST scan?

a) pericardial
b) thoracic
c) perisplenic
d) perinephric
e) perihepatic

A

d. perinephric
cant see the whole kidney

https://www.msdmanuals.com/professional/critical-care-medicine/how-to-do-other-emergency-medicine-procedures/how-to-do-e-fast-examination#Step-by-Step-Description-of-Procedure_v52127123

How well did you know this?
1
Not at all
2
3
4
5
Perfectly
2
Q

Performing block of median nerve in cubital fossa. Which US probe to use?a) Curvilinear
b) Linear probe 8-12 Hz
c) Linear probe 5-10 Hz
d) Thinner probe

A

linear probe 8-12Hz

https://www.nysora.com/techniques/upper-extremity/ultrasound-guided-wrist-block/

How well did you know this?
1
Not at all
2
3
4
5
Perfectly
3
Q

Phaeochromocytoma - which drug to avoid?
a) metoclopramide
b) phentolamine
c) prazosin?
d) propofol
e) rocuronium

A

metoclopramide

https://www.researchgate.net/profile/Melvin-Leow/publication/221935481Accidental_Provocation_of_Pheochromocytoma-_The_Forgotten_Hazard_of_Metoclopramide/links/0fcfd508ada5acf5e7000000/Accidental-Provocation-of-Pheochromocytoma-The-Forgotten-Hazard-of-Metoclopramide.pdf

How well did you know this?
1
Not at all
2
3
4
5
Perfectly
4
Q

Intubate with 1mg/kg rocuronium. Surgery ceases. TOF count 0. PTC 2. What dose sugammadex to give?
a) 1mg/kg
b) 2mg/kg
c) 4mg/kg
d) 8mg/kg
e) 16mg/kg

A

4mg/kg

https://resources.wfsahq.org/wp-content/uploads/332_english.pdf

How well did you know this?
1
Not at all
2
3
4
5
Perfectly
5
Q

Opioid induced ventilatory impairment. Which is NOT a RF?
a) female
b) sleep disordered breathing
c) congestive cardiac failure (or some sort)
d) opioid naiive
e) long acting opioids?

A

a. female or d. opioid naivity

The PRODIGY (Prediction of Opioid-induced respiratory Depression in patients monitored by capnoGraphY) trial studied the occurrence of OIRD in postoperative patients on potent opioids. A risk prediction tool was developed that showed that five independent patient-related variables were associated with a high likelihood of OIRD: age ≥60 yrs, male sex, opioid naivety, sleep disorders and the presence of chronic heart failure.

https://associationofanaesthetists-publications.onlinelibrary.wiley.com/doi/10.1111/anae.15030

Alex Edit: ?opiod naive, ANZCA guideline lists female sex as a risk factor

https://www.anzca.edu.au/getContentAsset/136f5a83-d1d0-4f34-be72-87b62b721d14/80feb437-d24d-46b8-a858-4a2a28b9b970/PS41(G)-Acute-pain-2023.pdf?language=en

How well did you know this?
1
Not at all
2
3
4
5
Perfectly
6
Q

AFE diagnosis made via:
a) clinical diagnosis
b) cardiac monitoring of some sort
c) inflammatory complement system markers
d)Imaging of some sort? Think decreased LV function on echo

A

a) clinical diagnosis

or confirmed on autopsy

How well did you know this?
1
Not at all
2
3
4
5
Perfectly
7
Q

Quiescent IBD in pt. Which medication will prompt a flare?
a) paracetamol
b) ibuprofen
c) tramadol
d) celecoxib

A

b) ibuprofen

“It is estimated that NSAIDs may cause clinical relapse in ∼20% of patients with quiescent inflammatory bowel disease (IBD).32 Coxibs do not appear to be associated with relapse of IBD, but caution should still be exercised.”
2023 BJA NSAIDs

How well did you know this?
1
Not at all
2
3
4
5
Perfectly
8
Q

Bronchopleural fistula pt in ICU. Which is the recommended ventilation strategy?
- 5 Options were 2 of 3 of TV/RR/PEEP (combos of high/low)
- Low TV and low rate
- high peep and high rate

A

b) low tv/rate

https://litfl.com/bronchopleural-fistula/
strategy: controlled, assist control, intermittent mandatory
lowest possible TV
lowest possible PEEP
short inspiratory time
encourage spontaneous breathing

How well did you know this?
1
Not at all
2
3
4
5
Perfectly
9
Q

Re: site of CVL, subclavian lines have lowest complication rate of:
a) infection
b) pneumothorax
c) thrombosis
d) arterial puncture
e) infection and thrombosis

A

e. Infection and Thrombosis. https://www.ncbi.nlm.nih.gov/books/NBK557798/

How well did you know this?
1
Not at all
2
3
4
5
Perfectly
10
Q

What is the ASA status of a pt with a TIA from 2 years ago who has otherwise been well?
a) 1
b) 2
c) 3
d) 4
e) 5

A

c. 3

https://www.asahq.org/standards-and-practice-parameters/statement-on-asa-physical-status-classification-system

This table has Asa 3 if 3months elapsed, otherwise Asa 4
(Which means I’ve definitely be doing ASA wrong at work oop)

How well did you know this?
1
Not at all
2
3
4
5
Perfectly
11
Q

In OT, what does the blue electric socket denote?
a)connected to backup power supply
b) cardiac protected
c) equipotential earthed
d) connected to uninterrupted power supply
e) connected to standard power point/RCD

A

d. connected to uninterrupted power supply

Electrical circuits connected to the UPS are denoted by a dark blue power socket, and are reserved for essential equipment without adequate battery backup.
2015 BJA environmental emergencies

How well did you know this?
1
Not at all
2
3
4
5
Perfectly
12
Q

A 64 year old man presenting for elective surgery is on thyroxine 100 mcg daily. His thyroid function tests are:
- TSH <0.05
- Both T4 and T3 within normal limits

These results are most consistent with:
a) Overtreatment
b) Subclinical hyperthyroidism
c) ?Sick euthyroid
d) Multinodular goitre
e) Previous hypophyseal resection

A

“A) overtreatment and subclinical hyperthyroidism

  • Overtreatment: ↓TSH (-ve feedback), ↑ T4/T3
  • Subclinical hypothyroidism: ↑TSH, normal T4/3 (sufficient thyroid hormones, but not enough to keep TSH levels normal)
  • Sick euthyroid syndrome, aka non-thyroidal illness syndrome: low T3 (MC observed change), normal T4, low-normal TSH (low if ↓production)
  • Fanconi anaemia: hypothyroidism (↑TSH), ↓T4
  • Previous hypophyseal resection (i.e. pituitary): hypopituitarism -> ↓/normal TSH -> ↓T3/T4 (i.e. secondary hypothyroidism)”Subclinical Hyperthyroidism
How well did you know this?
1
Not at all
2
3
4
5
Perfectly
13
Q

What is the concern with EMLA use in preterm babies?
“a) methaemoglobinaemia
b) increased sensitivity due to liver insufficiency
c) increased absorption
d) decreased neurotoxicity threshold
e) decreased cardiotoxicity threshold “

A

Methaemoglobinaemia

https://www.tga.gov.au/news/safety-updates/risk-overdose-infants-when-using-prilocainelidocaine-cream-emla-and-generics

How well did you know this?
1
Not at all
2
3
4
5
Perfectly
14
Q

What volume of air is used for the cuff of classic LMA size 4 if the manometer is unavailable?
a) 20mL
b) 25mL
c) 30mL
d) 40mL
e) 15mL

A

c.
30mL
The manufacturers recommend inflating the laryngeal mask cuff until the intracuff pressure reaches 60 cmH2O or to inflate with the volume of air not exceeding the maximum recommended volume (size 3, 20 ml; size 4, 30 ml) if a manometer is not available
https://pmc.ncbi.nlm.nih.gov/articles/PMC7206679/#:~:text=The%20manufacturers%20recommend%20inflating%20the,available%20%5B7%E2%80%9311%5D.

How well did you know this?
1
Not at all
2
3
4
5
Perfectly
15
Q

Brachial plexus picture

Thie picture was the standard ones in brain scape flash cardsa) Radial
b) msc
c) axillary

A
How well did you know this?
1
Not at all
2
3
4
5
Perfectly
16
Q

Anterior ischaemic optic neuropathy. What is characteristic?
a) visual inattention
b) resolves fully within 24-48hrs
c) papillary oedema
d) Intact pupil reflex
e) painful

A

Papillary Oedema

post op ischaemic optic neuropathy - most common cause of POVL after nonocular surgery
- ^risk with cardiac, spine, orthopaedic, steep trendelenberg positions
- anterior ION - more common with cardiac
- posterior ION - more common with prone procedures, steep trendelenberg, cardiac - presents with painless b/l vision loss
- risk factors for POVL with spine surgery - male, ^BMI, wilson frame, long duration, ^ blood loss
- PION more common however only AION has fundoscopic changes
– AION - fundoscopy - swollen disc - can be uni or bilateral
– AION onset usually immediate after awakening but can also have onset a day or so afterwards - sudden unilateral or bilateral, progressive vision loss

Central retinal artery occlusion - most common retinal cause of POVL
- usually unilateraly and immediately after awakening from anaesthesia
- fundoscopy - ischaemic retina + cherry red spot at macula
https://www.uptodate.com/contents/postoperative-visual-loss-after-anesthesia-for-nonocular-surgery#H437018973 “

How well did you know this?
1
Not at all
2
3
4
5
Perfectly
17
Q

What is a risk factor for failed epidural blood patch for postdural puncture headache?
a) Using loss of resistance to air
b) Original dural puncture >5cm
c) Injection of epidural blood patch <48hrs after accidental dural puncture
d) Sitting up and performing
e) volume 20 mL used

A

c) Injection of epidural blood patch <48hrs after accidental dural puncture

Risk factors identified for failure include a history of migraine headache, accidental dural puncture at higher lumbar levels, and injection of epidural blood patch <48 h after accidental dural puncture.
BJA 2022 failed epidural

How well did you know this?
1
Not at all
2
3
4
5
Perfectly
18
Q

Which nerve innervates lower third molar tooth?
a) Mental
b) Inferior alveolar
c) Lingual
d) superior alveolar nerve

A

Inferior Alveolar

How well did you know this?
1
Not at all
2
3
4
5
Perfectly
19
Q

According to Brain Trauma Foundation guidelines, what is the lower limit that adult GCS can be used?
a) 2 y/o
b) 4 y/o
c) 6 y/o
d) 8 y/o
e) 10 y/o

A

c. 6yo

GCS can be used >5yrs according to this website https://www.glasgowcomascale.org/faq/#:~:text=The%20scale%20can%20be%20applied,responses%20were%20modified%20as%20below.

RCH say that you can use the GCS >4 and pGCS <4

How well did you know this?
1
Not at all
2
3
4
5
Perfectly
20
Q

Paeds pt with distended abdomen. What is an indication for urgent transfer to theatre?
a) Pneumoperitoneum on CXR
b) Positive eFAST scan
c) Shocked at scene
d) Unresponsive to 20mL/kg blood during transfer

A

a) Pneumoperitoneum on CXR

Indications for laparotomy as per RCH

  • Haemodynamic instability - despite resuscitation.
  • Transfusion requirements of more than 40 ml / kg during the period of acute resuscitation
  • All patients with free intraperitoneal air require a laparotomy.

(20ml/kg is an MTP)

Activation criteria for code crimson :
Persistent haemodynamic instability:
* following blunt or penetrating trauma
* despite standard trauma care
* secondary to ongoing haemorrhage
* unresponsive to intravenous fluids and/or blood transfusion.

Examples of injuries:
* Abdominal trauma with grossly positive E-FAST
* Uncontrolled maxillo-facial haemorrhage
* Severe pelvic disruption
* Massive haemothorax
* Traumatic amputation
* Penetrating trauma to chest or abdomen *
* Pericardial tamponade on E-FAST
* Penetrating neck wounds with hard signs of vascular injury

https://aci.health.nsw.gov.au/__data/assets/pdf_file/0003/382917/ACI-ITIM-Trauma-code-crimson-pathway.pdf

https://www.starship.org.nz/guidelines/code-crimson/

How well did you know this?
1
Not at all
2
3
4
5
Perfectly
21
Q

This type of tracheal tube is best described as a (picture of airway device shown)

(repeat of 20.1)
a) Mini tracheostomy tube
b) South facing RAE
c) Laser tube
d) Laryngectomy tube

A

Rusch Larygoflex Reinforced Laryngectomy tube
https://www.teleflexarcatalog.com/anesthesia-respiratory/airway/product/121181080-rusch-laryngoflex-laryngectomy-tube

How well did you know this?
1
Not at all
2
3
4
5
Perfectly
22
Q

G6PD - what is the risk with giving methylene blue for shock?
a) Haemolytic anaemia
b) Serotonin syndrome
c) Methaemaglobinaemia

A

MB can precipitate hemolysis in individuals with G6PD deficiency

MB is also a potent MAOI and in presence of other serotonergic medications can precipitate serotonin syndrome - but I just read the question and saw the g6pd bit!

How well did you know this?
1
Not at all
2
3
4
5
Perfectly
23
Q

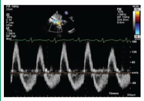
This Doppler trace obtained by transoesophageal echocardiography of the descending aorta suggests
a. Aortic dissection
b. Aortic stenosis
c. Aortic regurgitation
d. Normal flow
e. High flow state

23.1 repeata. Aortic dissection
b. Aortic stenosis
c. Aortic regurgitation
d. Normal flow
e. High flow state

A

Aortic regurg

Significant holodiastolic reversal in abdominal aorta is also a specific sign of severe AR

https://www.bsecho.org/common/Uploaded%20files/Education/Protocols%20and%20guidelines/Assessment%20of%20aortic%20regurgitation.pdf

How well did you know this?
1
Not at all
2
3
4
5
Perfectly
24
Q

ECOG surgery - which affects least?
a) dexmedetomidine
b) ketamine
c) nitrous oxide
d) sevoflurane
e) midazolam

A

a. dexmed
https://www.sciencedirect.com/science/article/pii/S1743919115003684

Activates: thiopental, etomidate, ketamine, sevo, fentanyls

Suppresses: benzos, N2O

Variable: propofol may suppress or inhibit, morphine/hydromorphone may affect at high doses

Dexmed: no evidence of suppression or activation

How well did you know this?
1
Not at all
2
3
4
5
Perfectly
25
What is the lowest figure at which pulse pressure variation suggests fluid responsiveness? a) 8% b) 13% c) 5% d) 20%
13% Pulse pressure (difference between systolic and diastolic pressure) is directly proportional to LV stroke volume and inversely related to arterial compliance. The respiratory changes seen in LV stroke volume determine changes in the peripheral pulse pressure during the respiratory cycle Pulse pressure variation (PPV) can be expressed as a percentage using the equation PPV (%) = (PPmax − PPmin)/PPmean. Measurement of PPV can be used to predict preload non-responders in those with a PPV <13%. Also, high baseline PPV values correlate well with subsequent increase in cardiac index. In addition, the decrease in PPV after fluid therapy correlates well with the resulting increase in cardiac index. As PPV is also subject to arterial compliance, in theory patients with reduced arterial compliance (e.g. elderly patients with peripheral vascular disease), there may be a big change in pulse pressure for only a small change in LV stroke volume. BJA
26
Which heart murmur sound is HOCM?
Same as aortic stenosis: crescendo decrescendo
27
What is the mechanism of action of octreotide in Upper GI bleeding? a) reduced splanchnic blood flow b) vasoconstriction c) increases platelet aggregation
a. reduced splanchnic blood flow Octreotide acts on splanchnic blood flow by causing vasoconstriction via inhibition of nitric oxide synthesis and inhibition of glucagon release, both of which cause splanchnic vasodilation The resulting fall in splanchnic blood flow is felt to be responsible for reducing portal pressures and thereby reducing variceal bleeding as a bridge to more definitive therapy.
28
In neonatal resuscitation, what inspiratory pressure in H2O is recommended for positive pressure ventilation? a) 20 b) 25 c) 30 d) 15
c. 30 Start at peak inspiratory pressure (PIP) of 30 cm H2O for a term neonate (20-25 cm H2O preterm neonate) and positive end expiratory pressure (PEEP) of 5 cm H2O at 40-60 breaths/minute https://www.seslhd.health.nsw.gov.au/sites/default/files/documents/Neoresusdelivery20.pdf
29
A patient has numbness and weakness in her hand postoperatively. You are trying to distinguish between an ulnar nerve lesion and a C8-T1 radiculopathy. You can diagnose a C8-T1 radiculopathy if she has weakness a) Thumb adduction b) Thumb abduction c) Fingers adduction d) Fingers Abduction e) Little finger flexion
"b) thumb abduction Ulnar nerve orginate from C8/T1 Median nerve originate C5-T1 Ulnar nerve innervates: (essentially all of pinky and also adduct and flex thumb) hand muscles: ADDuctor pollicis, deep head of flexor pollics, Opponens digiti minimi and abductor digiti minii and flexor digitiminimi, 3rd and 4th lumbricals Median nerve innervates: (all of thumb action except for adduction) hand muscles: 1st and 2nd lumbricals, Oppones pollicis, abductor pollicis, flexor pollicis brevis Radial nerve - extensors of hand "
30
What is an absolute contraindication to cardiopulmonary exercise testing? a) Unstable angina b) Pulmonary hypertension c) HOCM d) left main disease (untreated,BUT it didnt state "critical"
Unstable angina
31
The Glasgow Blatchford score is used to risk stratify: Repeat a) Pulmonary haemorrhage b) Traumatic intraperitoneal haemorrhage c) PPH d) SAH e) UGI bleed
Upper GI bleed "Glasgow-Blatchford Bleeding Score (GBS) Stratifies upper GI bleeding patients who are ""low-risk"" and candidates for outpatient management."
32
The manufacturer’s instructions for use of the i-gel supraglottic airway device recommend a minimum patient weight in kg of a) 1 b) 2 c) 3 d) 5 e) 10
2Kgs Neonate/infant/small paed/larg paed/ small-med-large adult 1: 2-5kg 1.5: 5-12kg 2: 10-25kg 2.5: 25-35kg 3: 30-60kg 4: 50-90kg 5: 90+kg "
33
Pt with history of syncope. CXR with rectangular device near left nipple a) Implantable loop recorder b) Leadless PPM c) DBS
https://radiopaedia.org/cases/implantable-loop-recorder-device was photo
34
CXR with what seemed like CRT-D (3 leads). Where is the lead? a) RV b) LV c) RA d) Coronary sinus
Coronary Sinus + RA and RV leads + https://www.bjaed.org/article/S2058-5349%2817%2930025-2/fulltext similar to fig
35
ANOVA is: a) The validity between an expected and observed outcome in a population b) The difference between the means of more than two populations c) The difference between two populations with non-parametric data d) The degree of similarity of the median between two or more populations e) If the variance within a population is likely to be abnormally or normally distributed
b) Comparison between 2 or more means
36
What are the components of the MIST handover in trauma represents: a. mechanism, investigations, signs, treatment b.mechanism, injury, signs, treatment c. mechanism, injury, symptoms, treatment d. mechanism, investigations, symptoms, treatment
Mechanism, Injury, Signs, Treatment - investigations/symptoms in there as decoys
37
Which is NOT a risk factor for emergence agitation in paeds? a) Nitrous oxide b) Male c) Autism spectrum disorder d) Volatile use e) Ages 2-5
2018 BJA emergence delirium lists MALE as RF. I think N2O is answer for what is NOT a risk factor. Child "temperament" is risk factor so ASD likely contributes. occurs in 9-18% paeds - eye and ENT surgery at higher risk - higher incidence in preschool 2-5 years old (male), anxious patients, negative behaviour on induction TIVA better than Sevo in decreasing PoD https://academic.oup.com/bja/article/118/3/335/2999642 2017 review" "A slow washout with nitrous oxide after a sevoflurane anaesthetic has also been shown to decrease EA"
38
Post femoral block, how long should noninvasive monitoring occur for? a) 10 mins b) 15 mins c) 30 mins d) 60 mins
30min as per PS03
39
Vitamin C in acute pain. Which is true? a) IV does not work b) PO does not work c) dose dependent relationship d) reduced morphine requirements
d) reduced morphine requirements Vitamin C reduces postoperative opioid requirements (N) (Level I [PRISMA] and postoperative pain compared to placebo (N) (Level IV SR [PRISMA]). APMSE
40
Lateral calf innervation (calf had nerve distributions). What is the lateral innervation (blue colour in image) a) superficial peroneal b) sural c) lateral plantar d) saphenous nerve e) lateral cutaenous nerve
a) probably sural
41
25 male with tibial shaft fracture who has pain,weakness dorsiflexion, some other symptoms. Which leg compartment affected by compartment syndrome? a) anterior b) medial c) lateral d) superifical posterior e) deep posterior
a) anterior Anterior compartment - dorsiflexion of foot and ankle Lateral compartment.- plantarflexion and eversion of foot Deep posterior compartment - plantarflexion and inversion of foot Superficial posterior compartment - plantarflexion https://www.orthobullets.com/trauma/1001/leg-compartment-syndrome
42
What type of variable influences dependent and independent variables? A. Mediator B. Confounder C. Moderator D. Instrumental variable E. Collider
Confounder
43
What is the minimum battery life of an anaesthetic machine? 5min 10 min 30 min 60min 4hrs
30min
44
What circuit is this a b c d
C
45
What is the pin index system of medical air? a) 1-5 b) 2-5 c) 3-5 d) 1-6
1,5
46
The medication most strongly associated with an acute primary hypotensive reaction following transfusion of blood products is a. Aspirin b. Ibuprofen c. Hydralazine d. Metoprolol e. Perindopril
Perindopril isolated hypotension is rare - most likely due to excess bradykinin, especially when bradykinin metabolism is inhibited (eg. In patients on ACEi) https://www.lifeblood.com.au/health-professionals/clinical-practice/adverse-events/hypotension "
47
When is the risk of delayed cerebral ischaemia post subarachnoid haemorrhage highest? a) <24hrs b) 1-3 days c) 4-10 days d) >14 days
4-10 days DCI - The occurrence of focal neurological impairment … or a decrease of at least 2 points on the Glasgow Coma Scale … This should last for at least 1 hour, is not apparent immediately after aneurysm occlusion, and cannot be attributed to other causes by means of clinical assessment, CT or MRI scanning of the brain, and appropriate laboratory studies. DCI affects approximately 30% of patients who survive the initial hemorrhage. Prophylactic treatment, such as nimodipine, is typically started at admission and continued for 21 days to cover this high-risk period. cause unknown but vasospasm contributes to
48
Which intervention has best mortality benefit for subarachonid haemorrhage? a) Clipping <24hrs b) Clipping >24hrs c) Coiling <24hrs d) Coiling >24hrs e) Vasopasm management
https://www.ahajournals.org/doi/10.1161/strokeaha.110.602888 Coil within 24hrs Treatment of ruptured aneurysms within 24 hours is associated with improved clinical outcomes compared with treatment at >24 hours. The benefit is more pronounced for coiling than clipping.
49
Of the following, the congenital condition LEAST commonly associated with obstructive sleep apnoea in children is a) Prada Willi Syndrome b) Duchenne Muscular dystrophy c) Down Syndrome d) Spina bifida e) Tetralogy of Fallot
e. Tetralogy of fallot Occurs with prada willi, DMD, DS https://pmc.ncbi.nlm.nih.gov/articles/PMC4454627/ and with Spina Bifida https://thorax.bmj.com/content/71/Suppl_3/A184.1
50
The blood product that contains the highest concentration of citrate is a) Plasma b) RBCs c) Platelets d) Cryoprecipitate e) Fibrinogen concentrate f) FFP was an option?
Plasma https://esmed.org/citrate-toxicity-and-hypocalcemia-in-massive-transfusion/#:~:text=Table_title:%20Citrate%20content%20in%20blood%20products%20Table_content:,%7C%20Estimated%20citrate%20content%20(mmol):%201.49%20%7C Highest content Whole blood > FFP whole blood > Platelets > FFP apapharesis > pRBC apapharesis >cryo > pRBC (whole blood) FFP Plasma products and Platelets have higher Citrate than PRBC (as PRBC recons. In SAGM) When donated, whole blood has CPD added (26g/L citrate), plt apheresis has ACD added (22g/L citrate) and Plasma apheresis has straight citrate at 40g/L added Other numbers have found FFP - 20mmol/L Platelets - 15-20mmol/L Plasma - 13-15mmol/L Red cells 5-7.5mm/L Cryo 13-15mmol/L Fib conc - nil
51
How soon will an activated charcoal filter reduce an anaesthetic machine to less than 5 parts per million? a) 3 mins b) 5 mins c) 10 mins
For patients requiring immediate surgery (e.g. from major trauma admission to the Emergency Department), any anaesthetic workstation can be prepared within 3 min with the use of ACFs. https://associationofanaesthetists-publications.onlinelibrary.wiley.com/doi/10.1111/anae.14407
52
Crush injury - expected abnormality early: a) hypokalaemia b) hypocalcaemia c) hypophosphataemia d) metabolic alkalosis e) Hypouricemia
b. hypocalcaemia injured muscle --> rhabdo. Rhabdomyolysis can lead to metabolic acidosis, hyperkalemia, hypocalcemia, and disseminated intravascular coagulation. Myoglobin-induced renal failure can be prevented with intravascular fluid expansion, alkalinization of the urine by intravenous administration of bicarbonate, and osmotic diuresis. (ATLS) Hypocalcaemia. https://www.acep.org/imports/clinical-and-practice-management/resources/ems-and-disaster-preparedness/disaster-preparedness-grant-projects/cdc---blast-injury/cdc-blast-injury-fact-sheets/crush-injury-and-crush-syndrome
53
When will the SaO2 (of ABG) be higher than SpO2 (from pulse oximeter)? a) Sickle cell b) Methylene blue c) CO poisoning d) anaemia e) Polycythaemia
b) methylene blue
54
Which nerves does first stage of labour transmit through? a) S2-S4 b) T10-L1 c) L1-L2 d) T12-L3
T10-L1
55
How long to withhold prophylactic clexane prior to epidural catheter removal according to ASRA a) 1hr b) 4hr c) 6hr d) 12hr e) 24hr
d. 12hr https://rapm.bmj.com/content/early/2025/10/16/rapm-2024-105766
56
Dialysis best at removing: a) warfarin b) rivaroxaban c) dabigatran d) apixaban e) clopidogrel
Dabigatran (50-60% removed in 4hour run). Others have very high protein binding and difficult to dialyse off.
57
Pt with known WPW. Develops rapid AF. Haemodynamically stable. What's the safest therapy? a) Digoxin b) Verapamil c) Cardioversion d) Metoprolol
https://litfl.com/wolff-parkinson-white-syndrome-ccc/ Likely electricity Acute unstable -> synchronised DC shock stable -> anti-arrhythmics (prolongation of accessory pathway: sotalol, amiodarone, flecanide, procanamide) drugs that shorten refractory period are contraindicated (digoxin) drugs that increase ventricular rate avoid (verapamil and lignocaine) drugs that have no effect on refractory period of accessory pathway are useless (beta-blockers)
58
Benzatropine ameliorates the side effects of drugs that antagonise a. Dopamine b) serotonin c) nicotine
Dopamine
59
Pts on SSRI perioperatively may experience all of these except: a) AFib b) bleeding c) mental status changes d) serotonin syndrome e) ventricular arrhythmias
ventricular arrhythmias according to this meta-analysis https://pmc.ncbi.nlm.nih.gov/articles/PMC8990315/#:~:text=A%20total%20of%203%2C396%20studies,that%20still%20needs%20further%20confirmation.
60
When compared with nerve stimulator guided brachial plexus block, Ultrasound guided brachial plexus block results in a) less neuropraxia b) less risk of systemic toxicity c) reduced time to motor/sensory onset d) less pt satisfcation?
c) reduced time to motor/sensory onset USS: reduced the proportion of participants who required additional analgesia or anaesthesia when compared with electrical stimulation alone reduced the proportion of patients experiencing pain during needle manipulation reduced the time to the onset of sensory block reduced the proportion of patients with accidental vascular puncture https://associationofanaesthetists-publications.onlinelibrary.wiley.com/doi/10.1111/anae.13098
61
Pulse pressure variation has reliable utility in which condition: a) thoracotomy b) spontaneously breathing c) pulmonary hypertension d) septic shock e) Increased abdominal pressures
c. septic shock Conditions where PPV is less reliable: False +ve - spont breathing - cardiac arrhythmias - increased intra abdominal pressure - RV dysfunction False -ve - Low vT - low lung compliance - very high resp rate https://www.atsjournals.org/doi/10.1164/rccm.201801-0088CI
62
A 35-year-old patient is undergoing a diagnostic laparoscopy. Three minutes after insufflation of CO2 her oxygen saturation falls to 85%. You note decreased air entry on the left side of her chest. Lung ultrasound on the left reveals lung pulse and no lung sliding. The best first action is to a) Needle decomp mid clav 2nd intercostal b) Finger decomp c) Chest drain insertion d) Withdrraw ETT 1-2cm
d. Withdraw ETT 1-2cm "Anesthesiology 2019 (https://pubs.asahq.org/anesthesiology/article/131/3/666/17826/Lung-Pulse-with-PneumothoraxExamine-the-Thoracic): The lung pulse, is the rhythmic movement of the pleura in synchrony with the cardiac rhythm. Its presence indicates that the parietal and visceral pleura oppose one another; its presence rules out a pneumothorax." Ddx no lung sliding = PTX (-ve if lung pulse present), atelectasis, prior pneumonectomy, one-lung ventilation on opposite side (intentional or unintentional primary bronchus intubation), large consolidation.
63
IO sample correlates well for: a) Hb b) Potassium c) Platelets d) Chloride? e) WCC
a. Hb IO samples show a good correlation with venous samples for: Hemoglobin / haematocrit Chloride Glucose Urea Creatinine Albumin IO samples poorly correlate with venous samples for: WBCs Platelets Serum CO2 Sodium Potassium Calcium
64
Trigeminal neuralgia - 1st line management: "a) Tramadol b) Amitriptyline c) Carbamazepine d) NSAIDs e) opioids"
Carbamazepine APMSE: Topiramate is as effective as carbamazepine at 1 mth after treatment commencement and slightly more effective at the 2 mth endpoint in trigeminal neuralgia (RR 1.20; 95%CI 1.04 to 1.39) (Wang 2011 Level I, 6 RCTs, n=354). All included RCTs were of poor methodological quality; this is also an issue for carbamazepine trials, which show probable effectiveness over placebo (Wiffen 2014 Level I [Cochrane], 10 RCTs, n=480). Duloxetine has been shown to have an effect in trigeminal neuralgia https://www.bjanaesthesia.org/article/S0007-0912(19)30430-1/pdf
65
ECG: what does it show? BBB a) 1st degree AV block b) Mobitz type 1 c) Mobitz type 2 d) Sinus bradycardia e) Complete heart block
2:1 block? (cant say if its mobitz 1 or 2 in 2:1 block...) I think this is complete heart block, p waves are all regular and some disappear in the qrs
66
Pacemaker code for V in NASPE/BPEG Generic (NBG) Pacemaker Code? a) Rate modulation b) Paced c) Sensed d) Response to sense e) Multi site pacing
Multisite pacing
67
NOF pt under GA. sBP drops to 75, you have given multiiple bouts of metaraminol with no improvement. ECG rhythm displayed (shows rapid AF, rate ~160). Next management: a) amiodarone 300mg IV b) cardioversion 200J c) adrenalin d) metoprolol
b) cardioversion
68
ALS in adult patient. VFib -> given 2 shocks, then IV adrenaline, then 1 shock. Next treatment: a) DCCV 200J b) amiodarone 300mg IV c) adrenaline 1mg IV d) lignocaine 100mg IV
Amiodarone
69
Dosing in anaphylaxis for paediatric patient in mcg/kg for moderate (it specified grade 2) anaphylaxis: a) 1 b) 2 c) 4 d) 10
2mcg/kg
70
1hr post open cardiac surgery. Pt arrests - they are ventilated. What's the next management? a) Immediate external cardiac massage b) Adrenaline 1mg c) Defibrillate as per cardial ALS d) Aim resternotomy within 30 minutes e) Switch from ventilator to BMV
defibrillate as per ACLS you do also switch them to BMV to confirm can ventilate manually but would not delay defibrillation with 3 stacked shocks firs But doesn't say its a shockable rhythm?
71
For hyperkalaemic treatments, which has the most rapid onset of action? (or peak) a) IV insulin/dextrose b) IV sodium bicarbonate c) Nebulised salbutamol d) Resonium
a) IV insulin/dextrose Calcium (if ecg changes) - onset <3mins, duration - 30mins Insulin/dextrose - onset 15mins, peak 60mins, duration 2-3hrs Renal association Salbutamol - onset 30 mins, peak 120mins duration 2-3hrs Bicarb (in acidosis) - onset 30-60mins, duration 2-3hrs Resonium - onset 60mins (PR) and 4hrs (PO), duration variable (remember via CIS-BR 3-15-30-30/60 min onset; 30 for calcium, 2-3hrs for middle 3)"
72
Pt has had a miscarriage for emergency suction curettage. INR (or PT) 1.2x normal, aPTT 65 seconds. What test to order next? a) Mixing tests b) Fibrinogen d) Factor 8 test
a) mixing studies When an initial PTT is prolonged, a second PTT test is performed by mixing the person’s plasma with pooled normal plasma (a collection of plasma from a number of normal donors). If the PTT time returns to normal (“corrects”), it suggests a deficiency of one or more of the coagulation factors in the person’s plasma. If the time remains prolonged, then the problem may be due to the presence of an abnormal factor-specific factor inhibitor (autoantibody) or nonspecific inhibitor, such as lupus anticoagulant. https://www.testing.com/tests/partial-thromboplastin-time-ptt-aptt/#:~:text=To%20detect%20nonspecific%20autoantibodies%20(antiphospholipid,be%20used%20for%20this%20purpose.
73
A 45yo man presents with a hx of SOB and the following flow-volume loop is obtained. This is most consistent with (See far right) a) fixed b) variable intrathoracic c) variable extrathoracic d) early airflow obstruction
c) variable extrathoracic - if inspiration affected -> extrathoracic - if expiration affected -> intrathoracic - if both affected -> large airway obstruction Flow-volume loops "
74
What is not in beriplex (or prothrombinex 4 factor) a) Factor 7 b) Factor 10 c) Factor 8 d) Protein C e) Factor 9
Factor 8 4 factor Beriplex - 2, 7, 9, 10, protein C and S Excipients Antithrombin III (human), albumin (human), Heparin sodium (porcine), Sodium+ Phosphate+ Citrate+ Chloride+ (Present as sodium citrate, sodium phosphate and sodium chloride)
75
Differential hypoxia is a syndrome characterised by lower arterial oxygen saturation in the upper body. It is a complication specific to the use of a) VA ECMO b) VV ECMO c) ECCO2 device d) Haemodialysis e) Peritoneal dialysis
VA ECMO Femoral and preserved cardiac function Blood is drained from the inferior vena cava, passes through the oxygenator and is then returned to the descending aorta in a retrograde fashion. In peripheral V-A ECMO any residual native cardiac output passes through the patient’s lungs. If the lungs are badly affected by pathology or mechanical ventilation is inadequate the blood of the residual cardiac output may remain significantly hypoxic as it enters the systemic circulation. Anatomically, this blood is preferentially delivered to the circulation of the heart, head and neck and right arm. Therefore, when there is residual native cardiac output and the lungs are not ventilated normally, potential exists for delivery of hypoxic blood to the coronary, cerebral and right arm circulations. This is termed differential hypoxia or harlequin syndrome. https://ecmo.icu/va-ecmo-differential-hypoxia/
76
Which von Willebrand Disease type is desmopressin ineffective? a) 1 b) 2a c) 2M d) 2N e) 3
Type 3 always ineffective https://www.rch.org.au/clinicalguide/guideline_index/Von_Willebrand_Disease_vWD/ DDAVP for type 1 (relative deficiency) and 2a (qualitative problem). vWF and FVIII (Biostate) replacement for Type 2b and Type 3 (absolute deficiency). Platelets - second line option if ongoing bleeding https://www.uptodate.com/contents/von-willebrand-disease-vwd-treatment-of-major-bleeding-and-major-surgery#H3081086338 "
77
Arndt bronchial blocker- which port does the blocker go down? "A B C D E"
c
78
An electrocardiogram (ECG) abnormality which is NOT usually associated with severe anorexia nervosa is a. Resting tachycardia b. Wandering pacemaker c. ST depression d. TWI e. Prolonged QT
a - resting tachycarida They are usually bradycardic CVS: hypotension, bradycardia, MV prolapse, impaired myocardial contractility, cardiomyopathy, ^ arrythmia (AV block. ST depression, TWI, QT prolongation) Resp: metabolic alkalosis, decreased lung compliance, aspiration pneumonia, PTX, pneumomediastinum Renal: proteinuria, reduced GFR, hypo - all electrolytes and renal stones GI: dental caries, periodontis, mallory-weiss tears, oesophgeal stricture, gastritis, delayed gastric emptying, risk of refeeding, fatty liver, hepatomegaly, cirrhosis, ^amylase, abnormal LFT, enlarged salivary gland Endocrine: delayed onset puberty, ^ cortisol/ GH, decreased glucose/insulin, impaired thermoregulation Immune: leucopenia, thrombocytopenia, haemolytic anaemia, poor wound healing Haem: bone marrow hypoplasia Neuro: decreased cognitive function, coma EEG abnromalities, seizures, neuropathy, ^pain threshold MSK: myalgia, myopathy, rhabdo, osteopenia, stress fracture https://academic.oup.com/bjaed/article/9/2/61/299563"ting tachycardia
79
Showing a modern chest drain, what do fluctuations in the blue chamber represent? a) Severity of air leak b) Suction c) Intrapleural pressure d) Collection chamber
a) Severity of air leak
80
Pt with lean body mass 50kg. Given 100mg lignocaine. If assuming max dose lignocaine 4mg/kg and bupivacaine 2mg/kg, how much bupivacaine can safely be given concurrently to this pt? a) 100mg b) 50mg c) 200mg d)
50mg When using both agents together, follow this approach: Calculate the fraction of maximum dose for each drug: Lidocaine fraction = (actual dose used ÷ maximum dose) Bupivacaine fraction = (actual dose used ÷ maximum dose) Add these fractions together: Ensure the total fraction does not exceed 1 (100%) So given lignocaine = 100 ÷ 200 = 0.5 can give 0.5 of bupe dose = 50mg
81
A patient who is day 3 post laparotomy has used 30 mg oxycodone intravenously via patient controlled analgesia in the last 24 hours. The approximate oral morphine equivalent daily dose is a) 20 b) 30 c) 60 d) 90 e) 120
90mg 30mg oxy IV = 30mg morphine IV 30mg morphine IV = 90mg morphine PO
82
Which antidiabetic med reduces renal glucose absorption? a) GLP1 agonists b) SGLT2 inhibitors c) sulphynlyrea
SGLT2 inhibitor inhibiting glucose reabsorption within the proximal renal tubules, resulting in glucosuria, modest weight loss, and blood pressure reduction.
83
The part of the lung that is typically divided into apical, anterior and posterior segments is the a) RUL b) RML c) RLL d) LUL e) LLL
RUL "Bronchopulmonary segments: 3/2/5, 4/4 3 RUL: Apical, Posterior, Anterior 2 RML: Lateral, Medial 5 RLL: Superior, Medial, Anterior, Lateral, Posterior 4 LUL: Apicoposterior, Superior, Inferior, Anterior (lingula italicised) 4 LLL: Anteromedial, Lateral, Posterior, Superior RL: A PALM Seed Makes Another Little Plam LL: ASIA ALPS"
84
The shoulder joint receives sensory innervation from all of the following nerves EXCEPT the a) Axillary b) Long thoracic c) Lateral pectoral d) Suprascapular e) Subscapular
"b) Long throacic The shoulder receives sensory innervation from the cervical (C3,4) and brachial plexuses (C5,6). Shoulder nerve supply: - Major sensation (motor & sensory) = **suprascapular** nerve (upper trunk of the brachial plexus) and **axillary nerve** (posterior cord of the brachial plexus). - Minor sensation = SLaM: **subscapular, lateral pectoral, musculocutaneous** - Rotator cuffs are supplied by: axillary, suprascapular & subscapular nerves SA-SLaM the scapula (supra and sub)" other option has been supraclav which innervates skin of upper chest/shoulder
85
SBP target if 80 year old male with TBI a)SBP 90 b) SBP 100 c) SBP 110
110 Brain trauma foundation guidelines: - SBP>100 for ages 50-69, - SBP>110 for ages 15-49 and above 70 years https://emcrit.org/ibcc/tbi/ TBI guideline for everything"
86
Obesity in pregnancy does not increase risk of - a. antenatal depression, b. cholestasis, c. pre eclampsia d gestational HTN
b. intrahepatic cholestsasis of pregnancy www.ranzcog.edu.au/wp-content/uploads/Management-Obesity-Pregnancy.pdf
87
A thoracic regional technique that will NOT provide analgesia for sternal fractures is a repeat optionsa. Transversus throacic plane block b. PECS I c. Parasternal intercostal nerve block
PECS 1 - between pecs major and pecs minor - blocks lateral and medial pectoral nerves Stenum innervated by interocostal nerves. All 3 options belwo can be used for sternal fracture PECS 2 - between pecs minor and serratous ant - blocks intercostal brachial, long throacic, intercostal III - VI nerve Subpectoral interfascial plane block - between pec major and interocstal Transverus thoracic plane block = parasternal plane block "
88
The MELD (Model for End-Stage Liver Disease) score includes all of the following parameters EXCEPT: a) Bilirubin b) INR c) Albumin d) Creatinine e) Sodium
"MELD-Na score components: (BICS) Bilirubin INR Creatinine Sodium (serum) estimates survival over next 3 months >15 - listed for deceased donor transplant "
89
A 10-year-old child (weight 30 kg) presents to the emergency department in status epilepticus. They have received one dose of 10 mg midazolam buccally prior to arrival to hospital. According to Advanced Paediatric Life Support Australia guidelines the next drug treatment should be intravenous: a) Phenytoin b) Midazolam c) Propofol d) Levetiracetam
1 - Buccal/intranasal Midaz 0.3mg/kg (max 10mg) if no IV access OR IV/IM midazolam 0.15mg/kg (max 10mg) 2 - IV/IO midaz 0.15mg/kg 3 - Levetiracetam 40-60mg/kg (over 5mins; max 4.5g) or phenytoin 20mg/kg (over 20mins) - provided pt NOT taking that med 4 - Give whichever was not given or phenobarbitone 5 - RSI Each step preceded by 5 mins (1 -> 5 mins after seizure onset, 2/3 = after midaz given, 4/5 = after infusion finished"
90
For a skewed distribution of data the best measure of dispersion of data is the a) range b) mode c) standard deviation d) variance e) Interquartile Range
"IQR For skewed data: dispersion/spread/variability: interquartile range (or other percentile-based ranges). Measure central tendency=median. For normal distributed data: dispersion = standard deviation central tendency = mean. " Measures of central tendency = mean, median, mode
91
As per 2021 Surviving Sepsis guidelines, when to start IV corticosteroids? a) Wait until synacthen test b) For 1hr if mAP <65 c) norad > 0.1mcg/kg/min for any duration d) norad > 0.25mcg/kg/min for at least 4 hours e) norad > 0.5mcg/kg/min for at least 2 hours
d) norad > 0.25mcg/kg/min for at least 4 hours For adults with septic shock and an ongoing requirement for vasopressor therapy, we suggest using IV corticosteroids. Quality of evidence: Moderate The typical corticosteroid used in adults with septic shock is IV hydrocortisone at a dose of 200 mg/d given as 50 mg intravenously every 6 hours or as a continuous infusion. It is suggested that this is commenced at a dose of norepinephrine or epinephrine ≥ 0.25 mcg/kg/min at least 4 hours after initiation. https://www.sccm.org/clinical-resources/guidelines/guidelines/surviving-sepsis-guidelines-2021
92
Non-inferior study. Specific study crossed 0 but NOT non-inferior line. What does this result mean? The image to the right was the exact image. It wanted the 3rd from the top (non inferior) a) superior b) non inferior c) nonconclusive d) inferior
Non-inferior
93
First line treatment of extravasated norad is a) Remove cannula b) Flush cannula c) Cold compress d) SC phentolamine e) heparin
S/C phentolamine https://www.rch.org.au/clinicalguide/guideline_index/Peripheral_extravasation_injuries__Initial_management_and_washout_procedure/
94
NAP 7 most common cause of arrest intraop??? a) Anaphylaxis b) Cardiac Ischaemia c) Major haemorrhage
c. major haemorrhage The most common causes of perioperative cardiac arrest were major haemorrhage (17%), bradyarrhythmia (9.4%) and cardiac ischaemia (7.3%) but varied by surgical specialty. Anaphylaxis was likely overestimated as a cause of cardiac arrest in our survey of anaesthetists
95
Predictors of successful awake extubation after volatile anaesthesia in infants include a. 2mL/kg tidal volume b. grimacing c. coughing d. RR > 20 e. CO2 > 60
Grimacing "1) Eye opening 2) Eyes - conjugate gaze 3) Facial grimace 4) Laryngeal stimulation test +ve 5) Low ET anaesthetic concentration <0.2% sevo, <1% des and <0.15% isoflurane 6) Movement (except coughing) 6) Movement - purposeful 7) SpO2 >97% Preop (baseline) target if cyanotic congenital heart disease 8) TV >5mL/kg"
96
Which drug to avoid in cocaine toxicity? A) Adenosine B) Diazepam C) Metoprolol D) Glyceryl trinitrate E) Verapamil
Metoprolol Results in unopposed alpha stimulation - unopposed vasoconstriction. Worsen HTN, coronary spasm, ischaemia.
97
You are performing femoral venous cannulation in an obese man under ultrasound guidance. The image quality is suboptimal as the vein is deep. The best way to improve the image quality is to a. Use higher frequency probe b. Use lower frequency probe c. increase the contrast
low frequency probe
98
Equity, fair access - which ethical principle does this represent? a) autonomy b) beneficence c) justice d) non-malifencence
c. justice “Justice in medical ethics emphasises fair, equitable and appropriate treatment and distribution of healthcare resources, ensuring no unfair disadvantage based on socioeconomic status, location or other factors”
99
When interpreting an arterial blood gas, a high serum anion gap is consistent with: a) Lithium toxicity b) Salicylate toxiticy c) Hypercholeraemia d) Hypoalbuminaemia e) Hypercalcaemia
"Ans: Salicylate toxicity ^Cl -> NAGMA Low albumin -> Masks HAGMA, (AG reduces by 1 for every drop of albumin from 4o by 4g/L) Litium & ^Ca2+-> Low AG metabolic acidosis (Extra unmeasured cations) Lithium: Low AGMA"24.1
100
A medication that should be avoided in a patient with thyroid storm is: a) Ibuprofen b) Propranolol c) Potassium Iodide d) PTU: Propylthiouracil
a. ibuprofen "NSAIDS/aspirin should be avoided as it displaces thyroxine from protein and subsequently increases free T3 and T4 levels. Thyroid storm General measures Cooling IVF +/- glucose Paracetamol Propranolol Specific Hydrocortisone 200 mg QID IV PTU after PTU sodium iodide/lugols iodine"
101
The clinical laser type with the greatest tissue penetration is: a) Argon b) Nd:yag c) Er:yag d) Co2 e) Holmium
"b) Nd:yag Modified Question: this question asks Greatest, old asks least Least = Er:yag (or CO2)? Most = Nd:Yag Er:yag (Erbrium-Yag) used in dermatology which is the least penetrative CO2 laser has very little penetration (~ 10micrometres), as it has a wavelength of 10 600nm. Helium-Neon laser also has very little penetration. Nd:YAG is the most powerful, with a penetration of 2-6mm, as it has a wavelength of 1064nm. Argon penetration of 0.5mm"
102
Oral naltrexone should be ceased preoperatively for: a) 24 hours b) 48 hours c) 72 hours d) 96 hours
"72 hours ANZCA Blue Book 2023 Oral naltrexone should be stopped at least 24 hours and ideally 72 hours prior to elective surgery. And there is a lack of instruction re Contrave(naltrexone/buproprion for weight loss)- so best to stop 72 hours prior. And limited evidence re low dose naltrexone for chronic pain - so for consistency blue book says 72 hours. Caution increased opioid sensitivity in patients using perioperative naltrexone."
103
Which is not lost in anterior spinal artery syndrome? a) Pain b) Temperature c) Motor d) Proprioception e) Bladder function
d. proprioception Anterior spinal artery syndrome usually includes tracts in the anterior two-thirds of the spinal cord, which include the CSTs, the spinothalamic tracts, and descending autonomic tracts to the sacral centers for bladder control. CST involvements produce weakness and reflex changes. A spinothalamic tract deficit produces the bilateral loss of pain and temperature sensation. Tactile, position, and vibratory sensation are normal. Urinary incontinence is usually present.
104
According to the 5th National Audit Project (NAP5), the incidence of awareness during general anaesthesia using a non-relaxant technique is approximately: a. 1:1360 b. 1:13,600 c. 1:136,000 d. 1:1,136,000
"d. 1:136,000 https://www.bjanaesthesia.org/article/S0007-0912%2817%2930746-8/fulltext 1/670 E-LSCS 1/8000 with muscle relaxation 1/8600 CTS 1/8200 Volatile + neuromuscular blocking Overall 1:19000"
105
A patient for elective general anaesthesia has been noted to be chewing gum in the pre-operative area. The most appropriate course of action is to: a) Delay 1 hour b) Delay 2 hours c) Delay 6 hours d) Discard gum then proceed without delay
"d) Proceed ANZCA PG07 appendix 1 - Chewing gum and boiled sweets should be discarded prior to inducing anaesthesia to avoid them being Inhaled as a foreign body but do not constitute an indication for delaying any procedure unless they have been ingested. Therefore D"
106
Preoperative predictors of chronic postsurgical pain do NOT include: a) Anxiety b) Depression c) Elderly d) Preop opioids e) preexisting chronic pain
c. elderly "RFs for CPSP: Preop: mod-severe pain >1mth, repeat surgery - young, female, anxiety, opioids (ineffective) Intraop: high-risk surgeries, nerve damage Postop: Acute pain (mod-severe), anxiety/depression"
107
Which intervention for acute pain does not reduce the risk of persistent postdischarge opioid use? a) Opioid wean preop b) Education/expectation setting preop c) Titrating opioids to pain scores alone d) Avoiding long-acting opioids
Titrate to pain scores alone Should use FAS * Efficacy of analgesia should include assessment of patient function, such as Functional activity scores (FAS), as well as an assessment of pain intensity. Adjustments to analgesic regimens should not be made based on pain scores (assessed both at rest and with activity) alone. https://www.anzca.edu.au/getContentAsset/136f5a83-d1d0-4f34-be72-87b62b721d14/80feb437-d24d-46b8-a858-4a2a28b9b970/PS41(G)-Acute-pain-2023.pdf
108
The analgesic drug with the most favourable Number Needed to Treat (NNT) for neuropathic pain is:?? a) Amitriptyline b) Gabapentin c) Tramadol d) Pregabalin e) Carbamazepine
"REPEAT reconsidered as Amitriptyline a) Amitriptyline By order of favourable NNT: TCAs (amitriptyline) NNT: 3.6, NNH: 9 Strong opioids NNT 4.3 NNH 11.7 Tramadol NNT: 4.7, NNH 12.6 SNRIs (duloxetine and venlafaxine) NNT 6.4, NNH 11.8 Gabapentin NNT: 7.2 NNH 25.6 Pregabalin NNT:7.7, NNH 13.9 ANZCA Pain book Treatment of chronic neuropathic pain after SCI (Guy 2016 GL). These guidelines recommend: First line: pregabalin, gabapentin and amitriptyline; Second line: tramadol and lamotrigine (in incomplete SCI); Third line: Transcranial direct current stimulation (tDCS) alone and combined with visual illusion; Fourth line: TENS, oxycodone and dorsal root entry zone lesions."
109
A 36-year-old woman sustains an injury to her left arm and presents with pain. She informs you that she experiences unpleasant intermittent and spontaneous shooting sensations in her arm. This sensation is a. Dysaesthesia b. Allodynia c. Hyperalgesia d. Hyperaesthesia e. Paraesthesia
Dysaesthesia Ans = allodynia – normal touch = painful Dysaesthesia = normal touch or even just spontaneous pain. Unpleasant, abnormal sense of touch (e.g. burning, wetness, can be pain) Paraesthesia = abnormal sensation (or loss of sensation) Hyperalgesia = pain out of proportion Hyperaesthesia = stimulus required"
110
The nerve labelled with an arrow in the diagram below (diagram of lumbar plexus shown) is the This exact image was used
Obturator
111
14. Patients with rheumatoid arthritis and the most common form of atlantoaxial instability have a widened atlantodental interval. This is measured between the a) distance from posterior margin of dens to anterior surface of posterior arch of atlas b) distance from anterior margin of dens to anterior surface of posterior arch of atlas c) distance from posterior margin of dens to anterior surface of anterior arch of atlas d) distance from posterior margin of dens to posterior surface of posterior arch of atlas e) distance from anterior margin of dense to posterior surface of anterior arch of atlas
e) distance from anterior margin of dense to posterior surface of anterior arch of atlas be aware of wording Normal interval <3mm adult, <5mm child Widening indicates potential instability can also measure PADI (posterior atlantodental interval) or SAC (space available for cord) . Posterior cortex of dens and anterior arch C1. normal is >15mm. Less than this - increased risk of AAI and spinal cord injury Antlantoaxial instability Loss of transverse ligament + erosion of odontoid peg → atlanto-occipital instability in ~25% of patients *Acute subluxation can cause spinal cord compression and/or compression of vertebral arteries Two main categories of cervical spine instability: Atlanto-axial subluxation *Anterior: C1 moves forward on C2 *Posterior: C1 moves backward on C2 *Vertical: odontoid process subluxes through foramen magnum *Lateral/rotatory subluxation: C1/C2 rotation Subaxial subluxation *Occurs less commonly *More likely to involve neurological symptoms
112
Intravenous dexmedetomidine use does NOT result in a) Hypertension b) Bradycardia c) Decreased urine output d) Decreased opioid consumption e) increased regional nerve block duration
"Decreased urine output (alternative is Residual sedation) - Dexmed can be a diuretic (increase GFR and UO) Loading infusion: Transient HTN (α2B receptors agonism), bradycardia, hypotension Intaop dexmed associated with PACU: ↓ PONV, shivering, cough, emergence agitation, pain scores Decreased BP (hypotension) No change bradycardia and sedation and PACU LOS No change - BSL - bradycardia/sedation/LoS PACU Decreased everything else incl. BP (PONV, shivering, cough, agitation, pain)" "BJA 2020 RCT: 24hrs post-induction dexmed reduces AKI post aortic surgery requiring CPB. No differences in HR/BP/sedation https://www.bjanaesthesia.org.uk/article/S0007-0912(20)30001-5/pdf "
113
A patient under general anaesthesia monitored with transcranial cerebral oximetry has a decrease in their cerebral oxygen saturation. This is likely to be improved by an increase in all of the following EXCEPT A) Increased MAP B) Increased MV C) Increased anaesthetic depth D) Increased Hb
"Increasing MV -> avoid hypocapnoea is part of algorithm If desat >20% from baseline - check head position - ensure neutral - check ETT ties - exclude venous/arterial obstruction – Optimise O2 delivery - HR/SV/ MAP (vasopressors/ ^FiO2 (treat hypoxia), optimise ventilation (clear CO2), tranfusion if anaemic – Optimise O2 consumption - ensure adequate depth of anaesthesia, avoid hyperthermia, exclude seizures- antiepileptics
114
Ongoing cerebral seizure activity induced by electroconvulsive therapy should be medically terminated after a. 60 sec b. 90 sec c. 120 sec d. 150 sec
" >120sec Optimal seizure duration somewhere between 10-120seconds. https://academic.oup.com/bjaed/article/10/6/192/299664
115
ECT does NOT result in: a) initial sympathetic stimulation b) increased ICP c) decrease LV function for 4-6 hrs d) Increased SBP 30-40%
a) initial sympathetic stimulation Beginning with the electrical stimulus, there is an initial parasympathetic discharge lasting 10–15 s. This can result in bradycardia, hypotension, or even asystole. A more prominent sympathetic response follows during which time cardiac arrhythmias occasionally occur. Systolic arterial pressure may increase by 30–40% and heart rate may increase by 20% or more, generally peaking at 3–5 min Left ventricular systolic and diastolic function can remain decreased up to 6 h after ECT. Cerebral oxygen consumption, blood flow, and intracranial pressure all increase https://www.bjaed.org/article/S1743-1816(17)30338-4/fulltext
116
The Myocardial Injury after Non Cardiac Surgery study showed elevated troponin in the first three post-operative days was strongly associated with "A. 30-day mortality B. 30-day myocardial infarction C. Stroke within 30 days D. Surgical site infection E. 30-day hospital readmission"
A) 30 day mortality MINS study n=15,065 patients. >45 y/o undergoing non cardiac surgery. Had troponins measured for 3 days post op. Elevated trop independently predicted 30 day mortality.
117
A man with a history of obesity and obstructive sleep apnoea has just had a transsphenoidal pituitary resection. Soon after extubation he is semi-conscious and is making a respiratory effort but has near complete upper airway obstruction with stridor. His arterial oxygen saturation is 93% and starting to fall. Your first actions should be to a) Propofol for LMA + PPV b) Oropharyn with PPV +/- deepen with propofol c) Nasopha with PPV d) Naso with CPAP e) Oropharyngeal CPAP
a) Propofol for LMA + PPV alternative could be e but significance of transphenoid surgery and potential pneumocephalus... Placing cpap on this patient even with an OPA is likely going to increase risk of this. an LMA gives a better seal (and its a glorified OPA anyway). If you're able to stick an OPA in someone you can use an LMA (Answer e suggests the pt is so obtunded that they will tolerate an OPA as no suggestion of deepening with props)
118
In the thigh, the adductor canal is bordered by all of the following EXCEPT a) Vastus medialis b) Adductor magnus c) Adductor longus d) Adductor brevis e) Sartorius
d. Adductor brevis "Boundaries: - Medial wall - sartorius - Posterior wall - adductor longus, adductor magnus - Anterior - vastus medialis Contents: subsartorial artery/vein, saphenous nerve and nerve to vastus medialis (both branches of femoral nerve)"
119
Safest approach for peribulbar if short eye length? a) Inferotemporal b) superior temporal c) medial canthal d) lateral canthal e) Other approaches
a. inferotemporal The inferotemporal approach offers more physical space between the globe and the orbital walls, providing safer access away from the extraocular muscles compared with a medial or off-centered (“two thirds/one third”) inferotemporal approach.Citation8
120
Assuming a blood volume of 80 ml/kg, a massive transfusion child is defined as a three-hour packed red blood cell (PRBC) transfusion volume of a) 20mk/kg b) 40ml/kg c) 60ml/kg d) 80ml/kg
40mL/kg Massive transfusion (prevent hypothermia/acidosis/coagulopathy) Children- (pRBC) transfusion i.e. replacement of: >1 blood volume in 24hours OR >50% TBV in <3-4hours OR >10% TBV over 10 minutes (OR 40mL/kg blood) Adults - replacement of >1 blood volume in 24hours OR >50% blood volume in 4hrs 10mL/kg pRBC increases Hb 20g/L; (cGPT); 1 unit pRBC ~300mL"
121
The antiemetic that interferes with the effectiveness of oral hormonal contraception is a) Aprepitant b) Ondansetron c) Metoclopramide
Aprepitant barrier contraception for 28 days https://www.merck.com/product/usa/pi_circulars/e/emend/emend_pi.pdf https://www.ncbi.nlm.nih.gov/pmc/articles/PMC5809356/ 2 months in UK (28 days in USA) Works as a centrally acting NK1 receptor antagonist by blocking actions of Substance P - also ↑activity of dexamethasone & ondansetron (in chemo)"
122
Extraadrenal tumour with raised metanephrines. What management preop? a) Phentolamine b) Metoprolol c) Phenoxybenzamine d) Prazosin
c. Phenoxybenzamine Phentolamine used intraop (short action/reversible cf phenoxybenzamine which is irreversible and has a lasts 3-4 days as need to make new receptors) Preop objectives: (note orthostatic hypotension and ST/T wave changes of Roizen criteria now questionable) 1) BP control (<130/80 seated): α blockade >7days (e.g. doxazosin or phenoxybenzamine, latter stopped 24-48hrs preop due to postop hypotension), +/- CCB (nicardipine SR) 2) HR/arrhythmia control: selective β1 antagonists (metoprolol/atenolol) avoids hypertensive crisis (if β2-vasodilation stopped and unopposed α vasoconstriction) 3) High Na+/fluid intake -> restores blood volume 4) Optimise myocardial function: ECG (ventricular hypertrophy, tachycarrhythmia, myocardial ischaemia). TTE mandatory (majority pts have diastolic dysfunction) Beware HOCM (MCC, due to HTN), and atypical Takutsubo 5) Reverse glucose/electrolyte disturbances (hyperglycaemia, and hypercalcaemia)" Also remember fluid replace prior to alpha blockade.
123
"On a ROTEM, lysis is defined as decrease in clot strength <15% at how many minutes? ""a) 10 min b) 15 min c) 20min d) 30min e) 60min"
e. 60min EDIT Hopefully the question was better worded, e.g. "maximum lysis" rather than just "lysis" Some protocol/assays talk about a decrease in clot strength at 30 minutes (LI30) of 15% TEG uses LY30 (same parameter) and the TEG5 had a threshold of 8% https://litfl.com/thromboelastogram-teg/
124
What artery are the arrows in this image pointing to? a) Anterior communicating b) Posterior communicating c) Middle cerebral d) basilar e) Vertebral
d. Basilar
125
Desufflation after surgical pneumoperitoneum is NOT associated with an increase in a) Stroke work index b) Cardiac output c) Systemic vascular resistance d) Venous return e) LV stroke work
Desufflation: wont increase SVR insufflation IAP<10mmHg - ↑ VR/CO (from splanchnic/GI cirulcation) IAP 10-20mmHg (MC) - ↓VR/CO, ↑SVR (also ↑catecholamines), <->or ↑BP IAP>20mmHg - ↓↓ VR/CO --> ↓ BP (starts to impede VR seriously) https://academic.oup.com/bjaed/article/4/4/107/308013 2004 Resp: ↓ FRC, ↑AWR + ↓compliance. Barotrauma risk
126
How to work out arterial pH from venous pH? a) add 0.03 b) add 0.3 c) subtract 0.03 d) subtract 0.3
a. add 0.03 VBG vs ABG pH + 0.035 PCO2 - mean difference +6mmHg; good correlation in normocapnoea (unreliable when PaCO2>45mmHg) Correlate well: HCO3-, Base Excess, Lactate - dissociation above 2mmol/L https://litfl.com/vbg-versus-abg/ "
127
Which is not expected with a good workiong intra-aortic balloon pump? a) Decreased renal blood flow b) Decreased Hb c) Decreased cardiac work d) Increased cardiac perfusion e) Increased aortic root diastolic pressure
a. decreased renal blood flow Should enhance CO and increase renal blood flow
128
Of the following, the drug which is most effective in the management of severe hyperthermia in serotonergic syndrome is a. Dantrolene b. Diazepam c. Paracetamol d. Rocuronium
"d) rocuronium (as severe) - diazepam if mild #Hyperthermia in SS - mostly mediated by muscle hyperactivity - paracetamol, dantrolene ineffective - mild: topical cooling and benzos to ↓muscle activity - severe (>41.1 degrees) -> rhabdo, metabolic acidosis, DIC -> Rx = sedation, NDMB necessary (avoid suxamethonium due to hyperkalaemia) https://www.medsafe.govt.nz/profs/PUArticles/Dec2012Neuroleptic.htm#:~:text=However%2C%20NMS%20is%20characterised%20by,are%20indicative%20of%20serotonin%20syndrome "
129
In order to minimise the risk of cardiac arrhythmia?? surgical diathermy has been designed to operate with a. High frequency b. High voltage c. Low frequency d. Low voltage e. Equipotential earthing
a high frequency Frequencies above 100 kHz (and specifically in the radiofrequency range of 0.5-3 MHz) avoid causing neuromuscular stimulation and cardiac excitation, unlike lower, mains-level frequencies (50-60 Hz), which can cause ventricular fibrillation.
130
All patients over 70 years of age having received either spinal or general anaesthesia at Hospital X are reviewed 3 years later to assess cognitive function. The aim of the study is to determine whether exposure to general anaesthesia or spinal anaesthesia impacts cognitive function. This trial design is best described as a a) RCT b) cohort study c) case-control study d) case series e) cross-sectional study
"Cohort "Prospective: - Observational cohort studies: observes exposure, then observes the development of risk. Uses relative risk (i.e. who develops the illness) - Randomised and non-randomised (cohort) interventional controlled trials. RCTs gold standard - only study that can establish casuation by evaluating intervention https://www.bjaed.org/article/S1743-1816(17)30475-4/fulltext#seccestitle70 " Retrospective: - case reports (and case series (a collection of case reports) - cross-sectional studies/surveys: no control group, merely a large series of case reports -> e.g. can determine prevalence of a disease - case-control studies: identified risk factors assoc/ w/ outcomes. -> compare case w/ control to identify RFs or causative agents implicated in aetiology of disease -> Use odds ratios"
131
Intraoperative lung protective ventilation strategies include all of the following EXCEPT a. Alveolar recruitment manouevres b. Individualised PEEP c. I:E ratio 1:3 d. TV 6-8ml/kg e. Minimising ventilatory driving pressure
"c - IE ratios - no recommendations (lack of evidence for a specific I:E ratio) * The ventilator should initially be set to deliver VT ≤6–8 ml kg–1 PBW and PEEP=5 cm H2O. * Individualised PEEP can prevent progressive alveolar collapse. Recruitment manoeuvres can reverse alveolar collapse, but have limited benefit without sufficient PEEP * An I:E ratio of 1:1, which has been characterised as providing a ‘balanced stress to time product’, was associated with attenuation of lung damage. Evidence for specific I:E ratio lacking -> no recommendation. (^ mean airway P but reduces peak airway P) * high ventilator driving pressure (ΔP=plateau pressure [Pplat]–PEEP) has been recognised as a significant determinant of lung injury and is linked to PPCs"
132
A test for a condition which has a prevalence of 1 in 1,000 has a sensitivity of 100% and a specificity of 90%. The probability of a patient who receives a positive result actually having the condition is a. 1% b. 10% c. 90% d. 100%
"a) 1% PPV = TP / TP + FP For example For prevalence of 1:1000 the number of TP = 1 False positives = 999 x 10% FP = 99 PPV = 1 / 1+99 PPV = 1% PPV = TP / TP + FP NPV = TN/ (TN + FN) Sensitivity = TP / (TP+FN) Specificity = TN / (TN+FP)"
133
Your patient underwent a stellate ganglion block two hours ago. Prior to discharge you are asked to review the patient in recovery because of a droopy upper eyelid. The patient would also be expected to have ipsilateral a) Pupillary constriction and reaction to light b) Pupillary constriction and no response to light c) Pupillary dilation and response to light d) Pupillary dilation and no response to light
"a) pupil constriction (horner syndrome) and reaction to light Loss of SNS, so would have relative miosis. Still has PSNS and optic nerve (CNII) intact so intact pupillary light reflex - anhidrosis (decreased sweating), enopthalmos (sunken eyeball), bloodshot conjunctiva, facial flushing on affected side Also possible: VC paralysis, RLN injury, phrenic n injury, brachial plexus injury, pneumothorax, indavertent epidural"
134
Compared to a normothermic patient, a patient with mild intraoperative hypothermia (35.0 oC) will have: a. More bleeding, normal INR and APTT b. More bleeding, normal INR and raised APTT c. More bleeding, raised INR and normal APTT d. Unchanged bleeding, normal INR and APTT e. Unchanged bleeding, elevated INR and APTT
"a) More bleeding, normal INR and APTT - also more transfusions' - INR and APTT done at room temp Mild hypothermia (<1degC) ^ blood loss by 16% & tranfusion risk by 22% Anaesthesiology 2008 effects mild periop hypothermia"
135
The first-line drug recommended by both the Australian Resuscitation Council and the New Zealand Resuscitation Council to treat severe cyanide poisoning is a) methylene blue b) hydroxycobalamin c) sodium thiosulphate
Hydroxycobalamin "IV hydroxocobalamin (B12) 5mg with repeat dosing upt to 15mg sodium thiosulfate used in case series also appears affective with no AE https://www.resuscitationskills.com/library/algorithms/all-adult-als-guidelines-june-2017.pdf "
136
A respiratory effect of high flow nasal oxygen therapy is a. Reduced RR b. Reduced MV c. Increased work of breathing d. Increased Deadspace
"a) reduce RR HFNP - reduce RR, increase end expiratory lung volume, PEEP up to 7cmH2) with closed mouth, reduced airway surface dehydration, decrease atelectasis, improve secretion clearance, CO2 washout, reduction in anatomical dead space https://www.bjaed.org/article/S2058-5349(17)30029-X/fulltext"
137
Gastric US: Position and orientation (sagittal vs transverse) of probe a) Saggital midclavicular b) saggital midaxillary c) transverse subxiphoid d) saggital subxiphoid
Sagittal, subxiphoid
138
If group A RhD negative cryo is not available for use in an A RhD positive patient, of the following your next best choice should be a) Group AB Rh+ rhesus b) Group B Rh+ c) Group B Rh d)Group O Rh+ e) Group O Rh-
"a) AB group - has no plasma antibodies Plasma compatibility - should be combatible with ABO group of recipient to prevent haemolytic reaction. ANY RhD subtype can be given Pt group: A --> compatible with A, AB plasma B --> compatible with B, AB plasma AB --> compatible with AB plasma O --> compatible with all " https://www.lifeblood.com.au/health-professionals/products/component-compatibility
139
Button battery >20mm - timeframe to remove a) within 2hrs b) within 4hrs c) within 24hrs
FB BJA 2hrs if in oesophagus, or symptomatic in stomatch
140
Organ procurement after circulatory death is generally stood down if the time from cessation of cardiorespiratory support to circulatory death extends beyond a) 60min b) 90min c) 120min
"90min - the lungs take 90 mins ""In Australia it is usual to stand down the DCDD process if the agonal period has exceeded 90 minutes"" https://www.donatelife.gov.au/sites/default/files/2022-01/ota_bestpracticeguidelinedcdd_02.pdf
141
Breastfeeding pt: advice re: dumping/expressing a) express (to discard) then feed b) feed straight away c) delay 6hrs
"Conitnue to breast feed as per usual. Do not need to express and discard. Monitor infant for signs of respiratory depression and drowsiness especially if multiple doses of opioids/bzd AVOID codeine in breastfeeding https://anaesthetists.org/Home/Resources-publications/Guidelines/Anaesthesia-and-sedation-in-breastfeeding-women-2020"
142
Brain death testing - what is NOT in the criterion? a) corneal reflex b) oculocephalic reflex c) must warm to >35 degrees degrees d) 2hrs GCS 3 + other criterion
B or D (?D misremembered) b. ocoulocephalic reflex is an inferior test compared to the vestibulo-ocular reflex (tests same nerves) and may exacerbate pre-existing spinal injury pre-conditions for test - temp >35 - normotension - exclusion of sedatieves - absence of electrolyte abnormalities/ Liver faliure - absence of NMBD a minimum 4-hour observation period prior to neurological determination of death using clinical examination alone. Throughout this observation period, all preconditions are met, the patient has a Glasgow Coma Scale of 3, with pupils nonreactive to light, absent cough/tracheal reflex and apparent apnoea on a ventilator. Following an acute hypoxic-ischaemic encephalopathy or hypothermia (<35°C) of duration greater than 6 hours, there should be a waiting period of 24 hours before determination of death using clinical examination alone.
143
ECG - (may have been complete heart block or 2nd degree AV block type 2; was a regular atrial rate) and asking for the atrial rate a) 60bpm b) 80bpm c) 100bpm d) 120bpm
a. 60 Or is it C. 100 3 squares between p waves
144
How often do you have to monitor BSL's for a diabetic post-operatively in PACU a) 30 mins b) 1 hourly c) 2 hourly d 4 hourly
b) 1 hourly https://www.diabetessociety.com.au/wp-content/uploads/2023/03/ADS-ANZCA-Perioperative-Diabetes-and-Hyperglycaemia-Guidelines-Adults-November-2022-v2-Final.pdf Continue hourly BGL monitoring until the person leaves the recovery area. If the BGL has been stable (and within target range) while in the recovery area, BGL monitoring can be decreased to 2 hourly if type 1 diabetes, or 2-4 hourly if type 2 diabetes. If BGLs have been unstable or if VRII, hourly monitoring is required.
145
A patient has a lung ultraosund which shows A lines and lung sliding. Which of the following is most likely a) PTX b) Pleural effusion c) Normal lung d) Pneumonia
"c) Normal Lung Normal lung = A lines (pleura) + batwing appearance + sliding" "A lines horizontal - may be normal or pneumothorax B lines vertical - can be interstitial fluid e.g. pulmonary oedema -> (After Hours, Batman is Vigilant) Pneumothorax features: - abscence of B lines & sliding (on highest point of anterior chest) - absence of lung pulse - presence of lung point"
146
What is the observed common associated metabolic abnormality with hypercholermia? a) High-anion gap metabolic acidosis b) Normal-anion gap metabolic alkalosis c) High-anion gap metabolic acidosis d) Normal anion gap metabolic acidosis
d) NAGMA non-anion gap metabolic acidosis (NAGMA), often specifically referred to as hyperchloremic metabolic acidosis.
147
Which of the following is an independent risk factor for increased PPH? a) Platelets 70 b) PT > 1.2 c) fibrinogen <2
c. fibrinogen <2 https://www.bjanaesthesia.org.uk/article/S0007-0912(17)31590-8/pdf platelets < 150 Giga/L (OR 2.98, 95%CI 1.63, 5.46), fibrinogen < 4.5 g/l (OR 1.86, 95%CI 1.21, 2.87) and APTT ratio ≥ 1.1 https://www.sciencedirect.com/science/article/abs/pii/S2468784721001069
148
During a thyroidectomy, the surgeon is concerned the parathyroid glands have been devascularised. From the time of potenial damage, a serum calcium level should be checked in: a) 6 hours b) 12 hours c) 24 hours d) 36 hours
"a) 6 hrs 6hr and 24hrs hypocalcaemia—ionized calcium <0.9mmol/L, total calcium (corrected for albumin) <2.2mmol/L. Trough level usually occurs at 20hr following parathyroidectomy and typically normalizes by days 2–3."