What is marked in green and red?

Green: Hilar Lymph Nodes
Red: Ghon Complex
Ghon’s complex is associated with what dz?
TB
Differentiate b/t primary and primary progressive TB.
Primary TB:
Prolonged exposure to Mycobacterium
Nights sweats then asymptomatic
Walled off (granulomatous response)
Primary Progressive TB:
Proliferate when infected
End up with disseminated infection
Possible CNS infection
Ventricles can become occluded
What is the vaccine for TB? What is its usage?
BCG
Live, attenuated vaccine for TB
Given at birth for at-risk children
Urology usage: Granulomatous response to transitional cell carcinoma
Attempts to turns primary progressive TB into primary (adult) form
Infect them w/ attenuated strand to prevent possibility of progressive form
Describe the processes involved in the mycobacterium TB infections prior to activation of a cell mediated immune response, then describe the initiation and consequences of the cell mediated response

What is the term for primary TB infection that goes dormant for awhile then begins to actively spread?
Progressive Secondary TB
Is progressive secondary TB often the result of the same TB species as the primary infection?
Yes
Distinguish b/t primary, progressive primary, progessive secondary, and milary TB.

What sputum stain is specifically used for testing for TB?
auromine/rhodamine
What occurs in sarcoidosis?
Idiopathic granulomas due to atypical mycobacteria
What is typical treatment for sarcoidosis?
Steriods (You must be certain that the patient doesn’t have TB. If the patient has TB, you’ve just made his/her condition worse. B/c TNF-alpha is critical in the formation of sequestering granulomas)
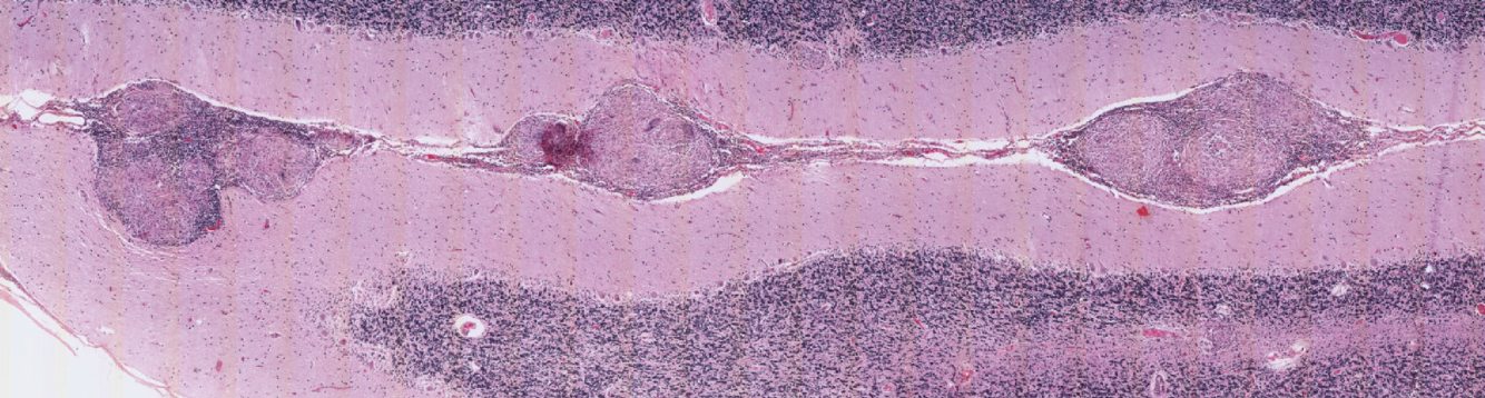
What is this an image of?

Granulomas of the meninges, present in a patient with sarcoidosis
What is the significance of the Apgar score?
Predicts how baby is going to do. Good clinical utility
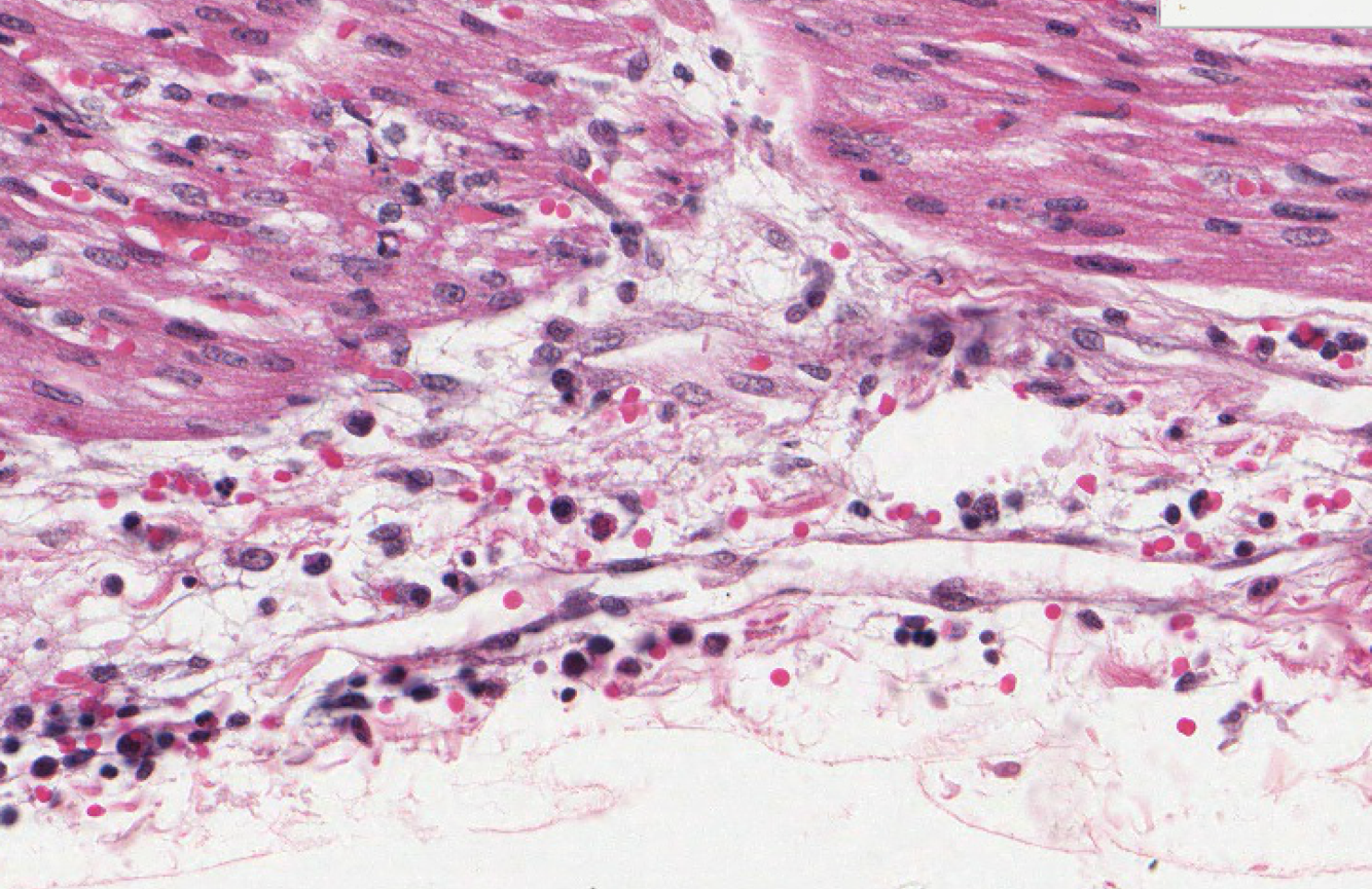
How would you characterize or describe the inflammatory response to the virus in the heart?
Lymphocytic
What is the typical inflammatory response to acute viral infections?
Lymphocytic. Tells cells to undergo apoptosis.
What is occurring in this image?

Lymphocytic infiltrate is present to kill virally infected cells. In this case, the infected cells are cardiomyocytes which will lead to heart defects (or death) of patient.
Lymphocytes, mononucleic cells, and fibrosis are all present.
What is occurs in Coxsackievirus Myocarditis?
Lymphocytes attack virally infected cardiomyocytes leading to all sorts of issues, potentially fatal