You have a patient with repeated infections and normal T cell function. However, you determine that the patient has agammaglobulinemia. Which one of the following tests would determine if this immune deficiency is due to an absence of B cells?
Radioimmunoassay
Flow cytometry
ELISA
Immunofixation
Coombs test
A. To confirm that an agammaglobulinemia is due to an absence of B cells, one needs to actually measure B cell number in the periphery. Radioimmunoassay cannot accomplish this goal.
B. Correct. Flow cytometry is a routine test for measuring the number, percentage or ratio of various cell subsets. It is generally performed on peripheral blood samples, but can also be used to measure cell frequencies in suspensions of dispersed lymph node or spleen cells. B cells are CD19+.
C. To confirm that an agammaglobulinemia is due to an absence of B cells, one needs to actually measure B cell number in the periphery. Enzyme-linked immunoassays (ELISA), which are similar to radioimmunoassay. cannot accomplish this goal.
D. To confirm that an agammaglobulinemia is due to an absence of B cells, one needs to actually measure B cell number in the periphery. Immunofixation, which is used to determine the isotype of an antibody, cannot accomplish this goal.
E. To confirm that an agammaglobulinemia is due to an absence of B cells, one needs to actually measure B cell number in the periphery. The Coombs test, which detects autoantibodies on erythrocytes, cannot accomplish this goal
A 54-year-old man presents with fever, a severe productive cough, and wheezing. Chest X-ray reveals infiltration in the lower right lobe. The patient was treated empirically with antibiotics without clinical improvement. Based on the results of his sputum sample, you conclude the patient needs to receive piperacillin. Within a couple days, the patient responds to therapy as seen by a reduction in fever and less coughing and wheezing. Seven days after starting piperacillin, the patient develops a fever (39.5°C), uticaria, and purpuric lesions. The patient also complains of stiffness in the joints. Which of the following Gell and Coombs classifications best describes the pathophysiology behind the phenomena seen after piperacillin treatment?
I
II
III
IV
This is not immune-mediated tissue damage.
III
This is serum sickness. Note the timing of the reaction, seven days after starting therapy. This is too late for Type I.
A delayed-type hypersensitivity reaction in skin to tuberculin PPD is delayed 24-48 hours, primarily because:
B cells need time to form specific antibodies, which lead to the hypersensitivity reaction.
Complement component C5a takes time to exert its chemotactic effect on neutrophil.
Mycolic acids present in Mycobacteria temporarily inactivate the vasoactive amines.
Prostaglandins and leukotrienes have difficulty diffusing from a granuloma.
T cell recruitment to the site of injury takes time to occur.
T cell recruitment to the site of injury takes time to occur.
“Yep. That’s why they call it delayed type hypersensitivity.”
This is actually what they said for the response lol
Which of the following is required for mast cell degranulation during the elicitation phase of Type I hypersensitivity?
IL-4 production
NFkB activation
Sustained cAMP levels
PLA2 activation
PLCγ1 activation
PLCγ1 activation
An adolescent with a history of childhood upper respiratory tract infections and diarrhea continues to have recurring sinusitis, which is attributed to Pseudomonas, a gram-negative bacterium. Laboratory tests over the past 5 years have repeatedly indicated that he has normal T cell numbers (based on CD3, CD4 and CD8), normal serum complement levels and activity, and normal serum IgM and IgG levels for his age. Isohemagglutinin titers are normal. Neutrophil numbers and function (chemotaxis, opsonophagocytosis and respiratory burst) are all normal. His IgG antibody response to tetanus toxoid challenge is also within the normal range. He shows 4 reactions in delayed hypersensitivity skin tests against several common fungal antigens. What is your therapy for this patient?
Antibiotics only
Antibiotics and IVIG
Antibiotics, IVIG and stem cell transplantation
Antibiotics and interferon-γ
Antibiotics and IL-2
A. Correct. This patient shows no evidence of an underlying immune defect, despite extensive laboratory and clinical tests for each of the major types of immune deficiencies. Prudent treatment would be antibiotic therapy for the infection.
B. Antibiotics would be helpful for this patient. While one might argue that IVIG is reasonably safe, in the absence of evidence that it would help this particular patient, it should not be given. All drugs have potential side effects, including in this case the rare anaphylactoid reaction.
C. Antibiotics would be helpful for this patient. However, stem cell transplantation should be avoided in all antibody deficiencies unless the more conservative therapy (IVIG) fails. Moreover, while one might argue that IVIG is reasonably safe, in the absence of evidence that it would help this particular patient, it should not be given. All drugs have potential side effects, including in the case of IVIG the rare anaphylactoid reaction.
D. Antibiotics would be helpful for this patient. However, while interferon-γ does enjoy some success in the treatment of phagocytic cell deficiencies, there is no evidence of such a deficiency in this patient.
E. Antibiotics would be helpful for this patient. However, IL-2 is not recommended because there is no evidence of an IL-2 deficiency or a Th deficiency.
By which of the following mechanisms can IgG regulate immune responses?
Binding FcgR on B cells to inhibit B cell activation
Binding FcgR on B cells to promote B cell activation
Binding FcgR on macrophages to prevent IL-10 production
Binding to soluble antigen to inhibit opsonization
Binding to soluble antigen to inhibit complement activation
A. Correct
B. FcgR on B cells is an inhibitory receptor
C. FcgR on macrophages induces IL-10 production.
D. IgG is an effective opsonizing agent.
E. IgG promotes complement.
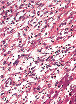
In the accompanying high power photomicrograph of infarcted myocardium, which one of the following estimates of the age of the infarct is most likely correct?

1-2 hours
4-12 hours
2-3 days
10 days
2 weeks
1 year
10 days - The tissue appears loose and edematous. Dead myofibrils are still visible. The infiltrate consists of large cells with abundant cytoplasm (macrophages). This puts it at around 7-10 days, according to Robbins Table 12-5.
A 25-year old woman starts out on a long walk in the woods to admire the fall colors. After a short time, she begins wheezing and develops shortness of breath. Which of the following is most likely responsible for these symptoms:
C3
CD8+ T cells
Factor B
IgE
Neutrophils
A. C3 becomes activated when 1) it directly binds a microbe (Alternative pathway), 2) when Ab-Ag complexes activate the classical pathway, or 3) when MBL binds a microbe (lectin pathway). The woman is most likely suffering from a hay fever-like syndrome.
B. CD8+ T cell-mediated responses to not become activated “after a short time”.
C. Factor B is only activated via the alternative pathway, which is unlikely to be causing the symptoms in this patient.
D. Correct
E. The woman is most likely suffering from a hay fever-like syndrome, a type I hypersensitivity
A 4-year-old girl presents with an infection with the intracellular bacterium Mycobacterium avium intracellulare. She is found to have a rare genetic deficiency in a cytokine receptor. Her T cells fail to produce IFN-g when stimulated with mycobacterial antigens and antigen-presenting cells in vitro. Which one of the following cytokine receptors most likely is defective in this patient?
IL-1 receptor
TNF-a receptor
IL-4 receptor
IL-8 receptor
IL-12 receptor
Of the cytokine receptors listed, only the IL-12 receptor is a co-inducer of IFN-g production by T cells. MAI would be expected to activate macrophages and DCs to produce IL-12, but this patient lacks the IL-12 receptor and her T cells will not respond to IL-12 produced in response to the pathogen. Without that signal, IFN-g is not produced and the patient is at risk for infections with intracellular bacteria.
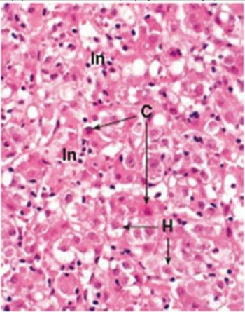
A 22-year-old woman returned to the United States from a trip to Mexico. She suddenly became ill, with nausea and vomiting. She underwent a needle biopsy of the liver. Later, serology was found to be positive for Hepatitis A Virus. A representative section of her liver biopsy is shown in the accompanying photomicrograph. Which one of the following interpretations of the eosinophilic bodies denoted by the arrows marked “C” is most likely CORRECT?

Acute inflammatory cells
Apoptotic bodies
Bile ducts
Chronic inflammatory cells
Mallory (“alcoholic”) hyaline
Viral inclusion bodies
The eosinophilic structures are a result of the ordered cell death of apoptosis, and are called apoptotic bodies. They were formally given specific, eponymic names in different tissue (e.g., Councilman bodies in the liver, Civatte bodies in the skin), but now all are simply called apoptotic bodies. They are usually not accompanied by acute inflammation, unlike necrosis.
Which subset of myeloid-derived cells is likely involved in contact dermatitis (e.g., poison ivy rash)?
Interdigitating reticulocytes
Kuppfer cells
Langerhans cells
Mesangial cells
Microglia
Langerhans cells of the epidermis (not to be confused with Langhans Giant cells), which are essentially macrophages, are required for presentation of antigen and the delayed type hypersensitivity reaction.
A deficiency in Factor I would have what observed?
Deficiency of Factor I would lead to depressed C3 levels due to a lack of control of the alternative pathway positive amplification loop.
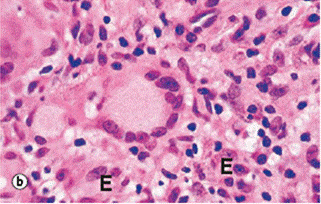
In the accompanying photomicrograph of a tuberculous granuloma, the multi-nucleated giant cell in the middle is derived from which one of the following cells?

Macrophage
Lymphocyte
Neutrophil
Plasma cell
T cell
Macrophage
The multinucleated Langhans giant cell has macrophage cell surface markers, and is the result of cell fusion, due to cytokine stimulation, which happens because the mycobacteria cannot be digested by the cell, resulting in further stimulation.
An elderly woman was transferred from a long-term care facility to your hospital with a urinary tract infection. You treat her with IV ampicillin, ceftriaxone and fluids. The next day, she suddenly develops severe hypotension, tachycardia, tachypnea and loses consciousness. She has no history of adverse effects to these antibiotics. Which of the following inflammatory mediators most likely contributed to her acute systemic inflammatory response?
IL-2
IL-4
C1q
Histamine
TNF-a
Among the possible diagnoses of this patient, sepsis seems quite likely due to the symptoms and the common nature of this disease. Sepsis is mediated by inflammatory cytokines and other mediators, and TNF is among the most important.
Intravenous immunoglobulin therapy is most appropriate for which of the following disorders?
IgG multiple myeloma
Btk deficiency
IgA deficiency
C1 deficiency
Chronic granulomatous disease
Btk Deficiency
IVIG is most often prescribed for antibody deficiencies. The drug does not benefit myeloma patients due to their high turnover of Igs. IVIG is considered too risky to give to IgA deficiency, although this is controversial.
An 18-month-old boy presents to your clinic for the eighth time with an upper respiratory tract infection. Each time, the patient’s infection responded favorably to antibiotic therapy. However, after discontinuing the antibiotics, the infection returned. A CBC revealed white blood cell and lymphocyte counts in the normal range for his age. An analysis of the patient’sat there was less than 3 mg/dL each of IgM, IgG, and IgA. Which one of the following proteins is MOST LIKELY to be deficient in this patient?
Btk
CD18
CD40L
CIITA
ZAP-70
Btk
The number of infections suggests an immunodeficiency. The patient responds to antibiotics, but the infection recurs upon withdrawal of the drugs. He is unable to mount a sufficient immune response to completely clear the infection. He is extremely low antibody levels, suggesting a B cell defect. A B cell deficiency is not obvious on a CBC; a B/T panel would be needed. He is a boy, so Btk is possible. None of the others would have low levels of all Igs. A T cell deficiency would not impair IgM.
Deficiency of which of the following proteins would result in an immune deficiency that is similar to C3 deficiency?
Btk
IFNγ
IL-10
IL-12
ZAP-70
C3 is downstream of antibodies (the classical pathway) or innate immune pathways (MBL pathway). The alternative pathway functions in both the classical and MBL pathways. Btk-deficient patients cannot produce antibodies and thus cannot activate the classical pathway. IL-10 is an inhibitory molecule and these patients would have autoimmunity. IFNγ, IL-12, and ZAP-70 are T cell molecules and would have a different clinical presentation.
What Ab isotypes would be impaired with a Btk deficiency?
There would be a deficiency in all antibody isotypes
Mutations in either Rag-1 or Rag-2 result in immunodeficiencies in human beings. Which one of the following cell types would show NORMAL NUMBERS in a patient with a Rag-1 deficiency?
CD3+ cells with a CD4 coreceptor
CD19+ cells
Single-positive thymocytes
Lymphocytes with a coreceptor specific for C3d
Cells with an inhibitory receptor specific for MHC class I
Cells with an inhibitory receptor specific for MHC class I
These are NK cells and are not dependent on MHC class I presentation
Which one of the following laboratory tests is the most important to order on a 2-month-old child who presents with diarrhea and thrush?
Skin test for reactivity to fungal antigens
Serum IgG levels
Serum complement levels
Salivary IgA levels
ELISA for anti-HIV-1 antibodies
A. At this age a child may not show reactivity to fungal antigens even though he has been exposed to the antigens (thrush is a mucocutaneous infection by the yeast Candida albicans). A negative test result is therefore inconclusive.
B. The IgG in the serum of a 2-month-old child is primarily derived from the mother, being transported during gestation across the placenta. Thus, measuring its concentration will tell you very little about the immune status of the child.
C. Thrush is also known as mucocutaneous candidiasis (a yeast infection). Complement plays only a minor role in host defense against that opportunistic pathogen.
D. Although knowing that thrush is another name for a yeast infection of the mucous membranes of the gastrointestinal tract (including the oral cavity), one cannot conclude that mucosal IgA antibodies play a role in host defense at this early age. Normal children do not begin to synthesis significant quantities of secretory IgA until later in life and only reach adult levels in their early teens.
E. Correct. The finding of an opportunistic yeast infection in a child at this early age implies a T cell deficiency. The most common cause in this age group is neonatal AIDS.
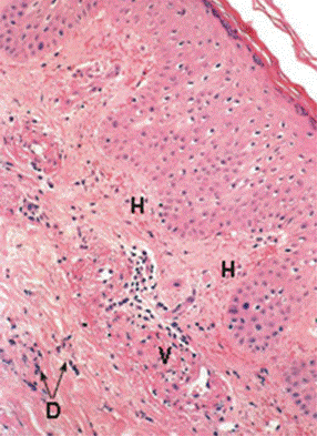
A 16-year-old woman was given penicillin for an apparent “Strep throat”. She soon developed a reddish-appearing skin rash, which was firm, when palpated. A biopsy was performed. A representative section of the biopsy is shown in the accompanying photomicrograph. Which one of the following is the best diagnosis?

Angiosarcoma
Giant cell arteritis
Glomus tumor
Haemangioma
Kaposi sarcoma
Leukocytoclastic vasculitis (microscopic polyarteritis)
Polyarteritis nodosa
Leukocytoclastic vasculitis (microscopic polyarteritis)
The patient has “palpable purpura”, caused by an allergic immune reaction to penicillin, which can be inferred by the proximity to the penicillin dose. This has caused the histologicalal finding known as leukocytoclastic vasculitis, evident in the photomicrograph. It is also known as microscopic polyarteritis, because the vessels involved are usually small, dermal vessels.
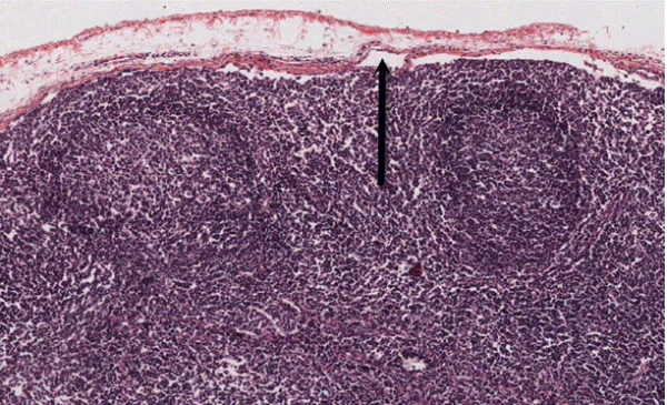
In the accompanying photomicrograph of a lymph node, the black arrow designates which one of the following structures?

Germinal center
Cortex
Medulla
Paracortex
Efferent lymphatic
Subcapsular sinus
Subcapsular sinus
Jim has received penicillin for pneumonias and has developed what appears to be an allergic reaction to the drug. His eye lids are puffy and his abdomen is covered with an itchy, nearly confluent hives. Wheezing in his lungs is corrected by the administration of a ß adrenergic agonist. Laboratory tests showed elevated serum histamine and decreased serum C1q and C3. Which one of the following elements of this case indicates that this reaction to penicillin was caused by circulating immune complexes, rather than an IgE-mediated allergic response?
His circulating histamine levels are elevated.
His pulmonary symptoms were corrected by giving a b-adrenergic agonist.
His C1q and C3 levels were decreased.
His skin lesions were pruritic (itchy).
The permeability of his blood vessels increased.
His C1q and C3 levels were decreased.
A. Elevated histamine does suggest mast cell activation, but does not indicate by what mechanism this may have occurred. B. This class of drug works here by antagonizing the effects of histamine, but the mechanism of histamine release is not indicated by the success of this therapy. **C. Correct. The finding of decreased C1q and C3 levels is not typical of IgE-mediated allergic reactions, but is seen in immune complex disease. It suggests that patient has produced an IgG antibody to penicillin and has undergone an "anaphylactoid" reaction to the drug. This is dependent on the production of anaphylatoxins (e.g., C3a) that activate mast cells for the release of histamine. IgE antibody is not required.** D. Itchy skin in this patient only suggests mast cell activation and histamine release. It does not indicate the actual mechanism of mast cell activation and would not distinguish between these two mechanisms. E. This is a typical sign associated with histamine release, but does not distinguish between several possible mechanisms of mast cell activation and histamine release.
Which of the following responses is LEAST LIKELY to be due to an adaptive immune response to an antigen?
Hives in an adult in response to ingested peanuts
Diarrhea in a 1-month-old child in response to infant formula
Anemia in a patient who has been repeatedly treated with penicillin
Contact dermatitis in a patient one month after changing brands of hand creams
Bronchospasms in a 12-year-old child 15 min after petting a neighbor’s dog
Diarrhea in a 1-month-old child in response to infant formula
All of these conditions have the appearance of allergic responses. However, one feature of allergy is the role of memory B or T cells, either as sources of IgE antibodies or memory T cells. Although childhood intolerance to formula is common, a 1-month-old child does not have the capacity to produce IgE antibodies. Thus, this disease is not due to an allergic response to an allergen.