What is this an image of?

A mass
What is this an image of?

Benign mass
Why is tomography important?
It allows for less superimposition giving the radiologist a better image
Lower recall rates
How does management change for the different categories 0-6?

What is this an image of?

Mass with calcifications
What is this an image of?

Abnormal calcifications within the breast
What are the indication for breast MRI?

What are the guidelines for Breast Cancer Screening?

What are the BI-RADS category for 0-6?

What is the primary goal for breast cancer screening?
Detect masses, calcifications, asymmetry, and architectural distortion
What is this an image of?

Asymmetry
What are the characteristics of Image-guided Tissue Sampling and Surgical localization Procedures?

What is this an image of?
Architectural distortion
What are the risk factors for Breast Cancer?

What are the recommendations for Cessation of Annual Screening Mammography?
Life expectancy < 5-7 years
When abnormal results would not be acted on
Which breast imaging study utilizes low dose x-ray (ionizing radiation)?
Screening mammography
What is this an image of?

Fatty breast tissue
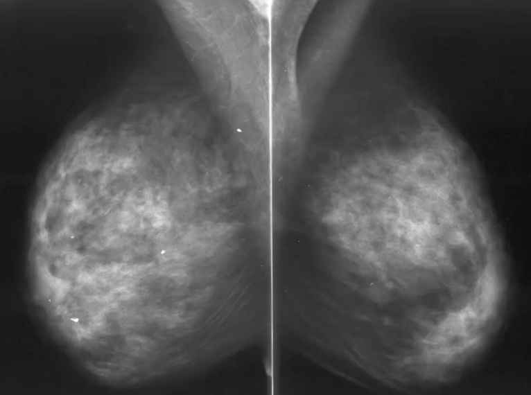
What is this an image of?

Dense breast tissue - more difficult to see breast cancers
When would a patient go through a screening ultrasound?
When a high-risk women cannot undergo MRI
Also for women with dense breast tissue
What is BI-RADS?
