Gonorrheae and Chlamydia cause what that can lead to decreased infertility?
PID (salpingitis)
WHAT MUST BE KNOWN ABOUT HSV!?

What is the classic HSV blister?
Vesicular rash on erythematous base
What are the screening recommendations for STIs?

What are the symptoms of congenital syphilis?

What is the most common STI?
HPV
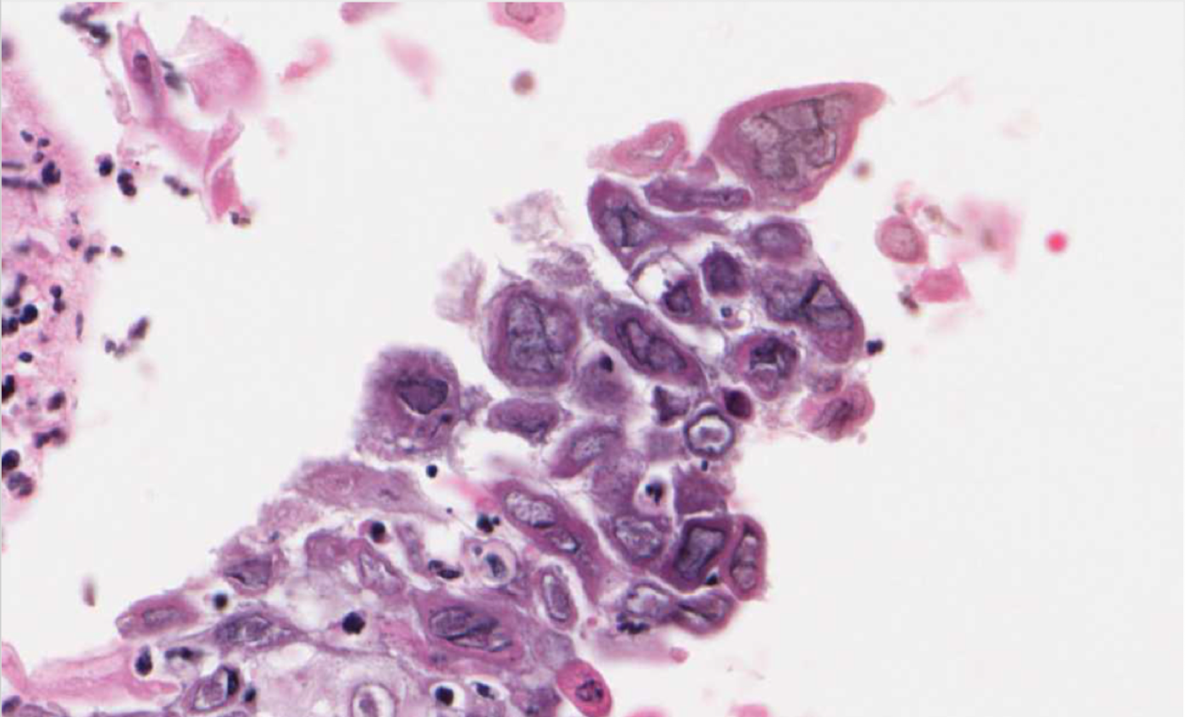
WHAT MUST BE KNOWN ABOUT HPV INFECTION?

What is this an image of?

HSV lesion
Morphology. All HSV lesions are marked by formation of large, pink to purple intranuclear inclusions (Cowdry type A) that contain intact and disrupted virions and push darkly stained host cell chromatin to the edges of the nucleus (Fig. 8-12). Although cell and nuclear size increase only slightly, herpesvirus produces inclusion-bearing multinucleated syncytia.
HSV-1 and HSV-2 cause lesions ranging from self-limited cold sores and gingivostomatitis to life-threatening disseminated visceral infections and encephalitis.
Fever blisters or cold sores favor the facial skin around mucosal orifices (lips, nose), where their distribution is frequently bilateral and independent of skin dermatomes. Intraepithelial vesicles (blisters), which are formed by intracellular edema and ballooning degeneration of epidermal cells, frequently burst and crust over, but some may result in superficial ulcerations.
Gingivostomatitis, which is usually encountered in children, is caused by HSV-1. It is a vesicular eruption extending from the tongue to the retropharynx and causing cervical lymphadenopathy. Swollen, erythematous HSV lesions of the fingers or palm (herpetic whitlow) occur in infants and, occasionally, in health care workers.
What is the definitive test for Syphilis?
FTA-ABS
What is this an image of?

Characteristics HPV infection - cytoplasmic clearance with raisinoid nucleus
What is the screening for syphilis?

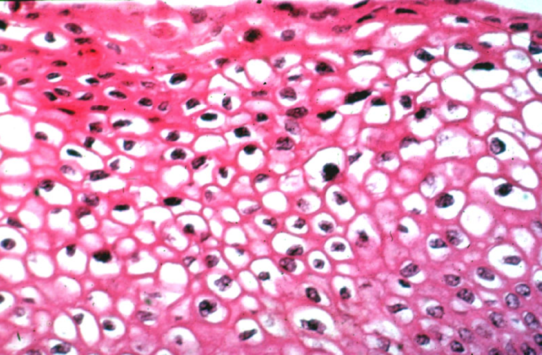
What is this an image of?

Chondyloma acuminata
have a distinctly verrucous (warty) gross appearance, grossly and microscopically
What is the most important STI that causes Ulcers?
Syphilis
WHAT MUST BE KNOWN ABOUT SYPHILIS?

What are the characteristics of N. gonorrhoeae?
People with complement deficiency are more prone to disseminated infection (septic arthritis)
Associated with severe PID
Opthalmia neonatorum (baby conjunctivitis)
What is this an image of?

HPV on the gland
Gonococcus and chlamydia both tend to infect what epithelium?
Columnar epithelium - infections of the endocervix, urethra, oropharynx, rectum or conjunctiva
Any STI that is in a pre-pubertal child is?
Evidence of child abuse until proven otherwise. Must report to SRS
What are the characteristic of HPV?

What is this an image of?

Syphilis
What are the risk factors associated with HPV?

Why is the risk of transmission of an STI from mother to child highest during the 3rd trimester?
Because the placenta is bigger and it causes there to be more exposure of maternal blood
What is the difference between primary, secondary, and tertiary prevention?

What are these images characteristic of?

Secondary syphilis