5. clin path Flashcards

(23 cards)

1
Q

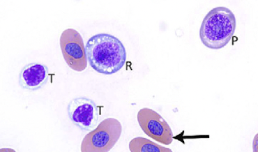
reptiles have — RBC

A

nucleated

How well did you know this?
1
Not at all
2
3
4
5
Perfectly
2
Q

CBC in reptiles includes

A

RBC- nucleated
WBC
thrombocytes (not platelets)

How well did you know this?
1
Not at all
2
3
4
5
Perfectly
3
Q

RBC lifespan in reptiles

A

600-800 days!
nucleated

How well did you know this?
1
Not at all
2
3
4
5
Perfectly
4
Q

when looking at cell slide, what bad things are you looking for

A

mitotic figures
hypochromasia- bluer, rounder
anisocytosis- different sizes
parasites

How well did you know this?
1
Not at all
2
3
4
5
Perfectly
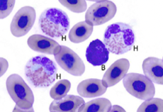
5
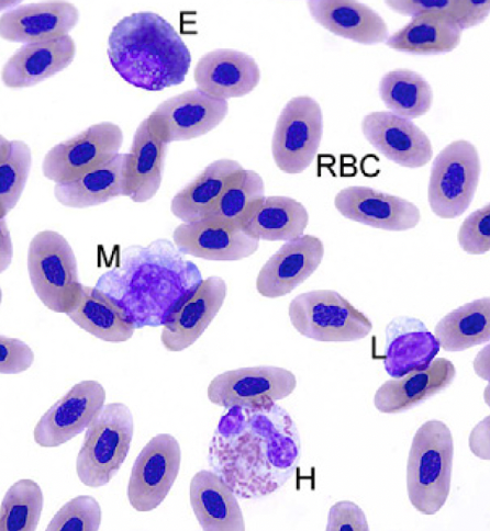
Q

WBC for reptiles

A

Heterophils= neutrophils- 30-45%
Eosinophils- 7-20%
Basophils- 40+
Azurophils
Lymphocytes- 80%
Monocytes 0-20%

How well did you know this?
1
Not at all
2
3
4
5
Perfectly
6
Q

how to count WBC

A

10 fields
leukocyte count/10 X 2000

How well did you know this?
1
Not at all
2
3
4
5
Perfectly
7
Q
A

heterophils= neutrophils

heterophils= neutrophils, immunity, phagocytosis, 30-45% of WBC

How well did you know this?
1
Not at all
2
3
4
5
Perfectly
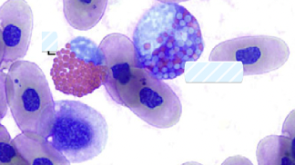
8
Q

heterophils toxic change

A

degranulation
basophilia
vacuoles
nuclear lobulation

heterophils= neutrophils, immunity, phagocytosis, 30-45% of WBC

How well did you know this?
1
Not at all
2
3
4
5
Perfectly
9
Q
A

eosinophils
* pink granules
* parasites
* 7-20% of WBC- higher in turtles

How well did you know this?
1
Not at all
2
3
4
5
Perfectly
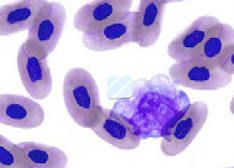
10
Q
A

basophil
* smaller than heterophils/eosinophils
* dark purple granules
* function?
* 40% WBC

How well did you know this?
1
Not at all
2
3
4
5
Perfectly
11
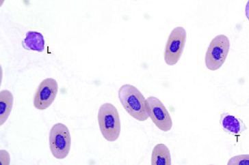
Q

small lymphocytes can look similar to

A

thrombocytes

How well did you know this?
1
Not at all
2
3
4
5
Perfectly
12
Q
A

monocyte
* blue grey cytoplasm- chromatin loosely clumped
* chronic inflammation or infection

How well did you know this?
1
Not at all
2
3
4
5
Perfectly
13
Q
A

azurophils
* pale blue with small dark purple granules
* Hybrid – part granulocytes/part monocyte in structure and function
* Snakes = mammalian neutrophils
* Lizards = mammalian monocytes

How well did you know this?
1
Not at all
2
3
4
5
Perfectly
14
Q

instead of platelets reptiles have

A

thrombocytes

How well did you know this?
1
Not at all
2
3
4
5
Perfectly
15
Q

liver blood work for reptiles

A

aspartate aminotransferase
bile acids
creatine kinase
glucose

How well did you know this?
1
Not at all
2
3
4
5
Perfectly
16
Q

decreased AST

A

cirrhosis
amyloidosis

tissue enzume in liver and many other organs

17
Q

— is measure of liver function

18
Q

Creatine kinase is a measurment of

A

muscle damage: cardiacm smooth or skeletal muscle

  • can tell you if high AST is from liver, if CK low. or if from other organ if CK high
19
Q

increased uric acid can mean

A

carnivore that just ate
renal diease
gout

  • liver converts ammonia to urea and uric acid
  • eliminated by kidneys
20
Q

low albumin causes

A

renal loss
CKD
destruction (sepsis)
malnutrition

21
Q

high globulin

A

chronic inflammation
active folliculogenesis

22
Q

ruptured RBC/hemolysis will increase what lab findings

A

phosphorous
potassium
total protein
AST

23
Q

lipemia will cause what on lab work

A

RBC lysis- decreased PCV
abbormally high- AST, uric acid, calcium