
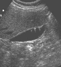
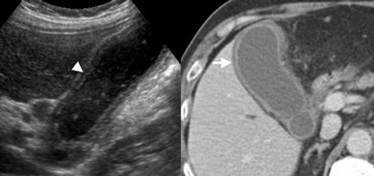
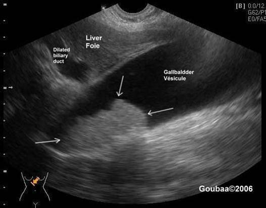
Biliary Obstruction

Biliary Obstruction
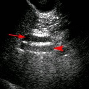
aka: Double channel
Shot gun
Double barrel
Parallel channel
(dilated biliary duts: A CBD more than 6mm in diameter is considered borderline and more than 10 mm is dilated – will vary by protocol)

Gallbladder Carcinoma

Porcelain Gallbladder

Adenomyomatosis
(

Adenomyomatosis
(Thickened gallbladder wall with comet tail artifact)


Cholesterolosis


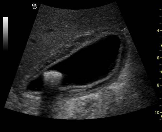
Choledochal Cysts

Cholelithiasis
(These small stones are “floating” on sludge
This is layering)

Cholelithiasis

Gangrenous Cholecystitis

Acalculous Cholecystitis

Chronic Cholecystitis

Acute Cholecystitis

Acute Cholecystitis

Wall Thickening

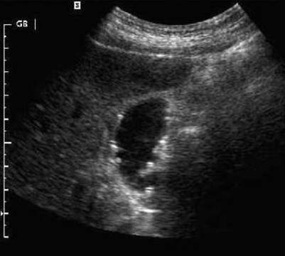
Tumefactive sludge

Sludge