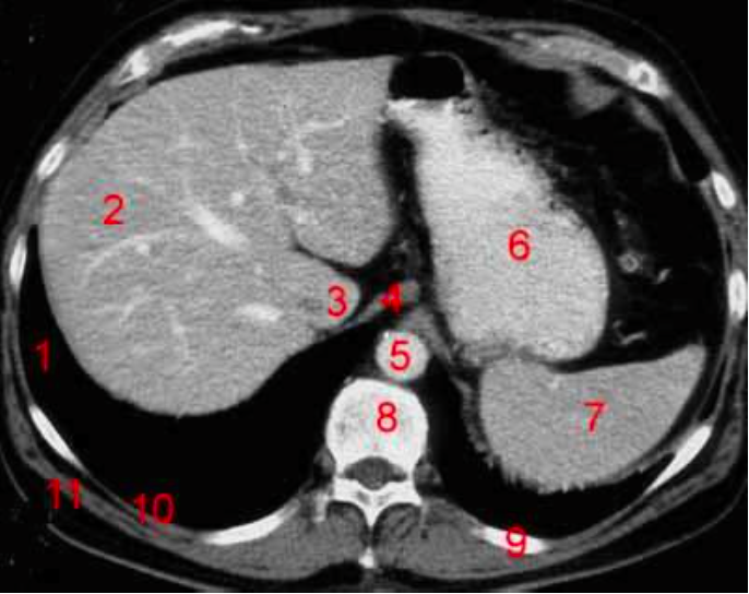
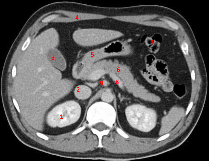
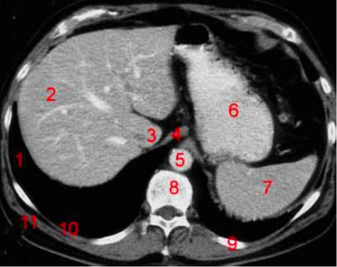
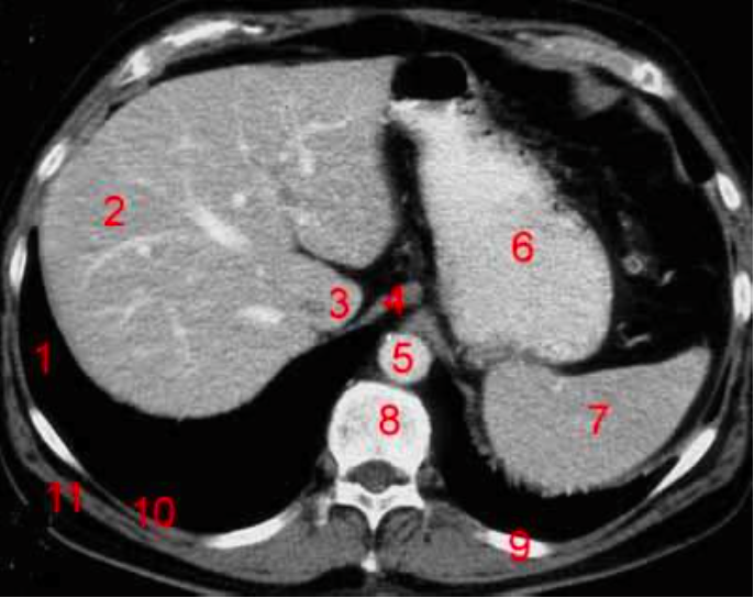
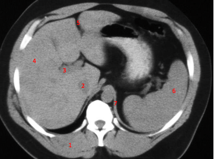
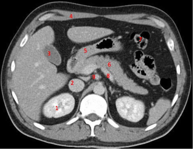
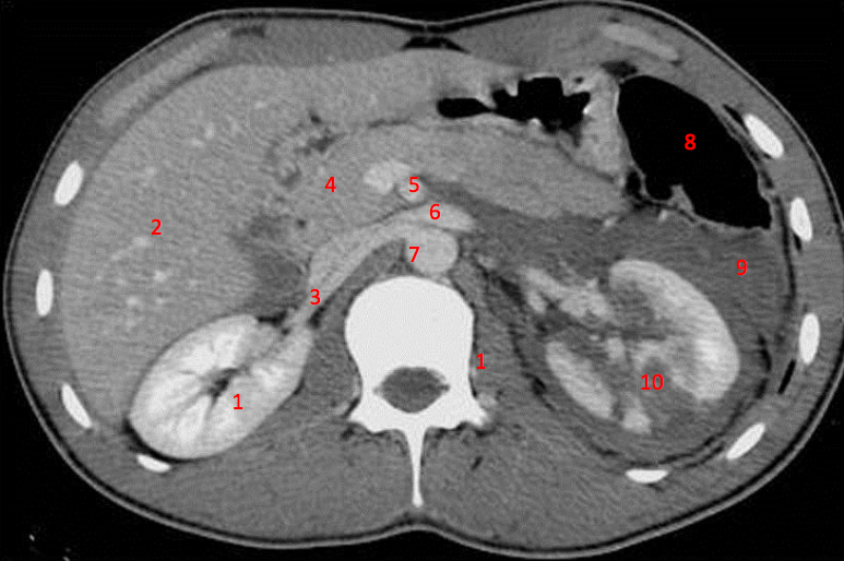
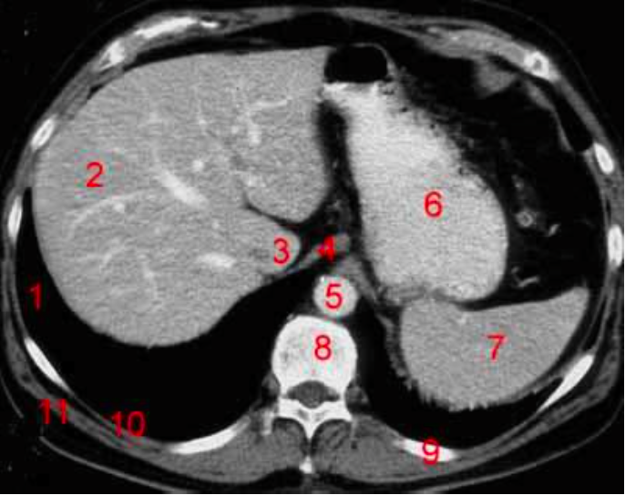
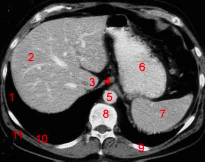
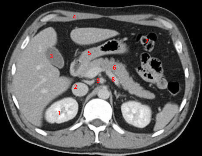
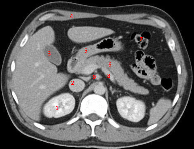
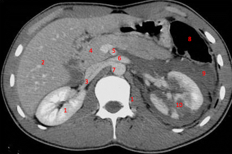
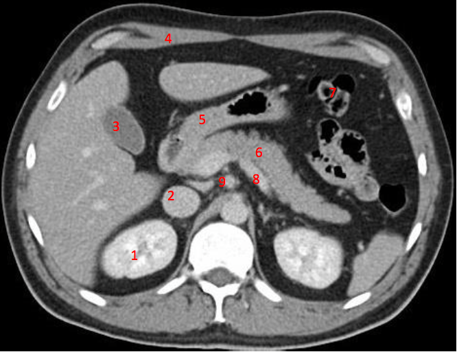
Number 3?

IVC
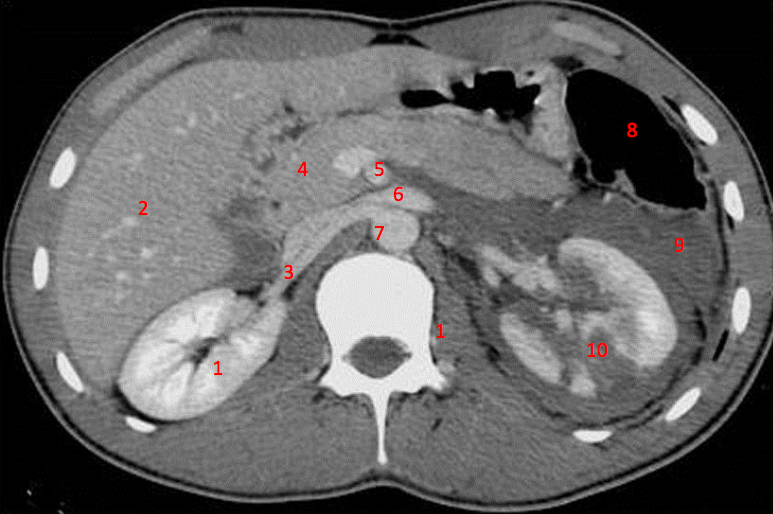
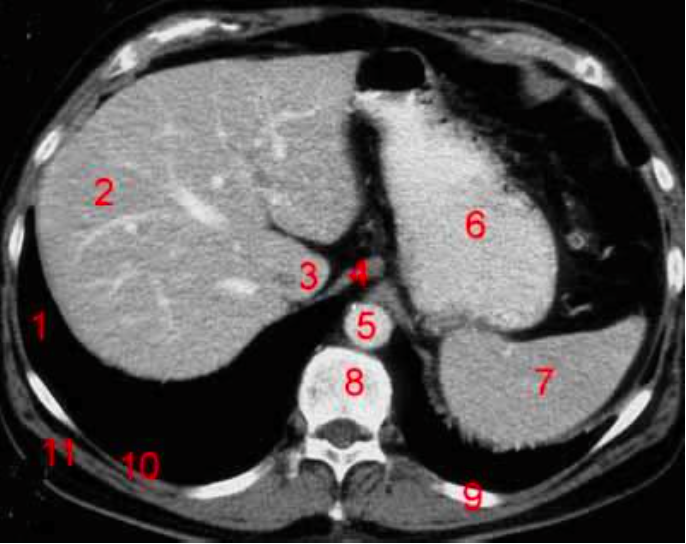
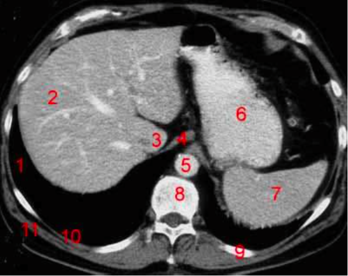
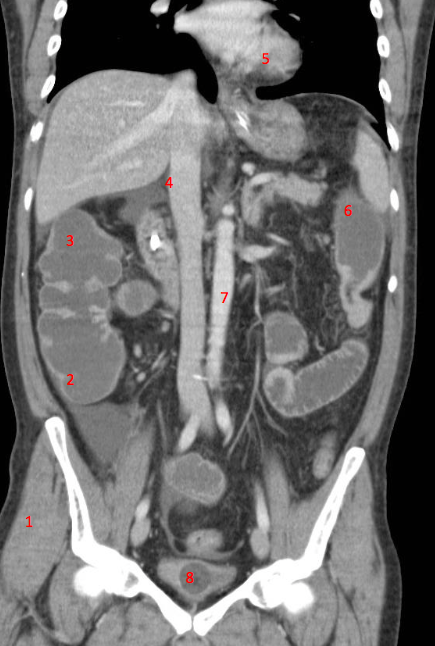
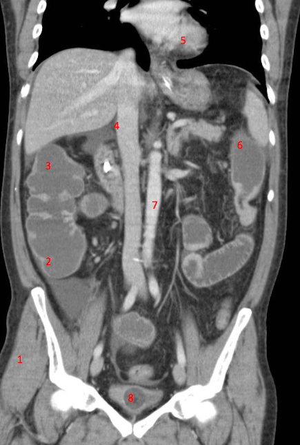
Number 1?

R Kidney
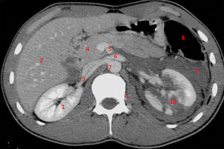
Number 1?

R kidney
Number 2?

IVC
Number 3?

Gall bladder
Number 8?

Body of thoracic vertebra
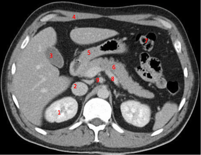
Number 9?

Lt rib
Number 7?

Unlabeled
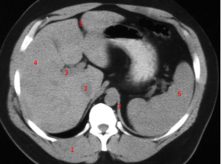
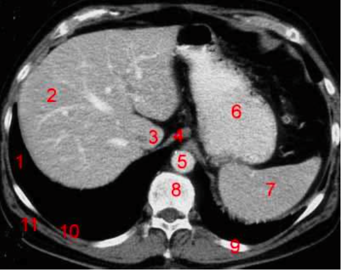
Number 4?

Rectus abdominus
Number 8?

Descending colon
Number 2?

Rt lobe of liver
Number 10?

Rt rib
Number 4?

Head of pancreas
Number 4?

Rt diaghragmatic crus
Number 7?

Bowel (probably large)
Number 2?

IVC
Number 4?

Rt lobe liver
Number 1?

R lung
Number 2?

Rt lobe of liver
Number 6?

Stomach
Number 5?

Rt ureter
Number 6?

Descending colon
Number 9?

Superior mesenteric artery
Number 8?

Bladder