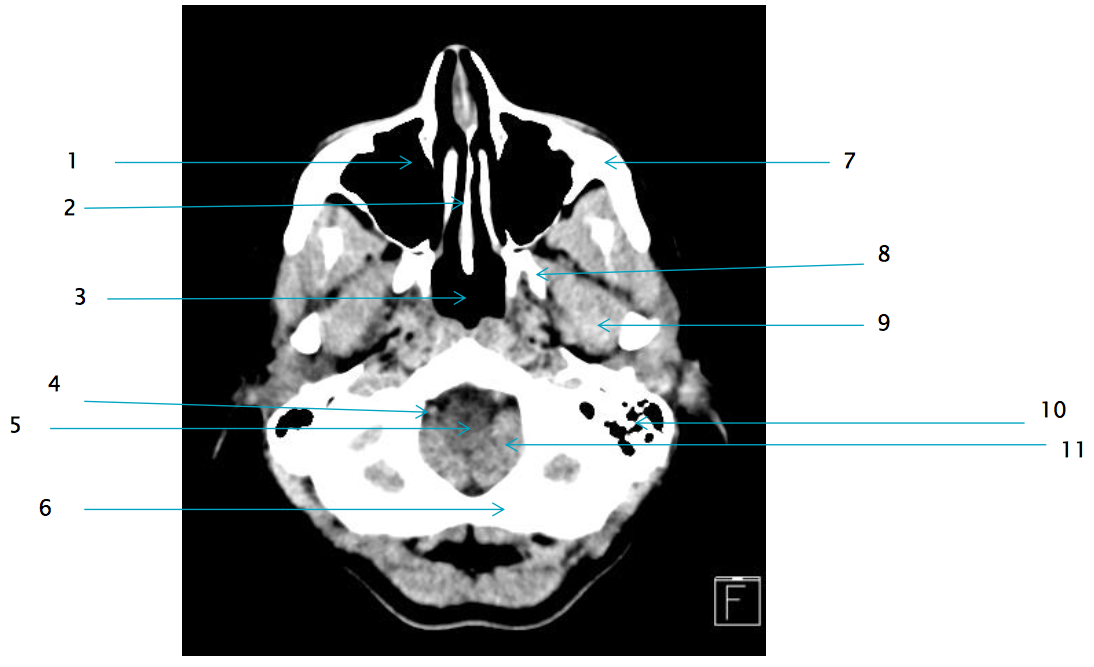
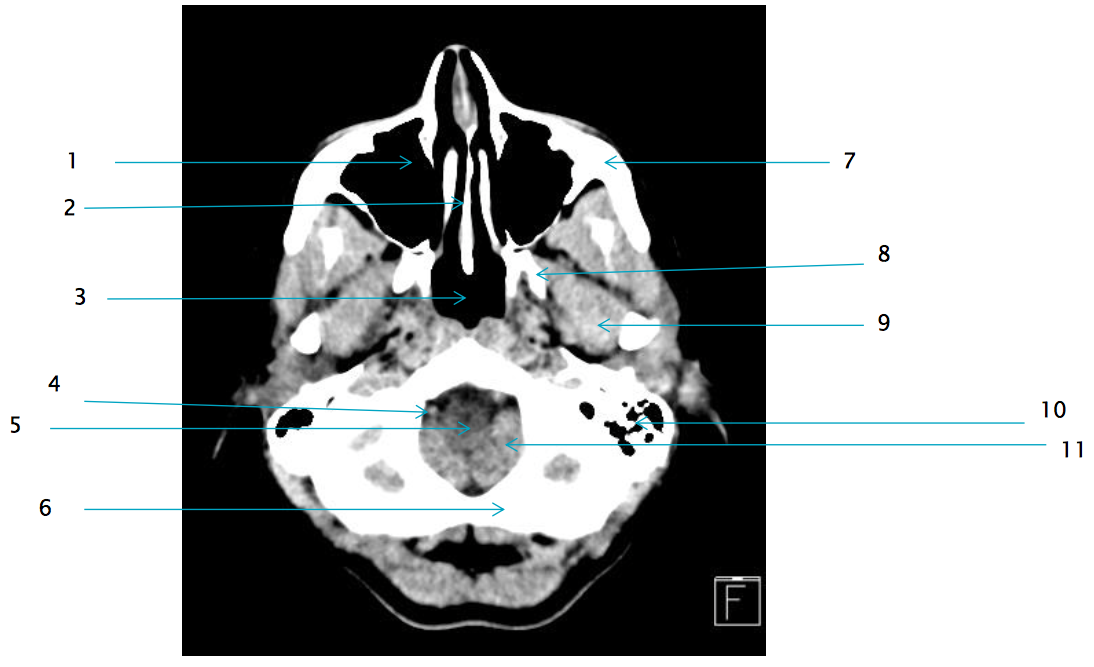
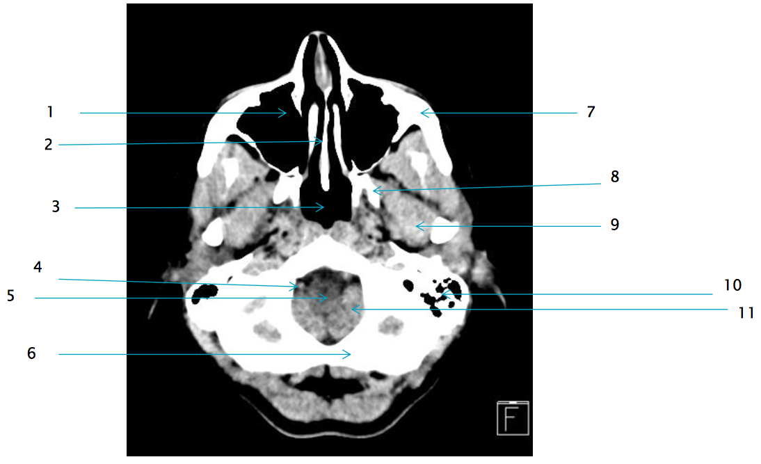
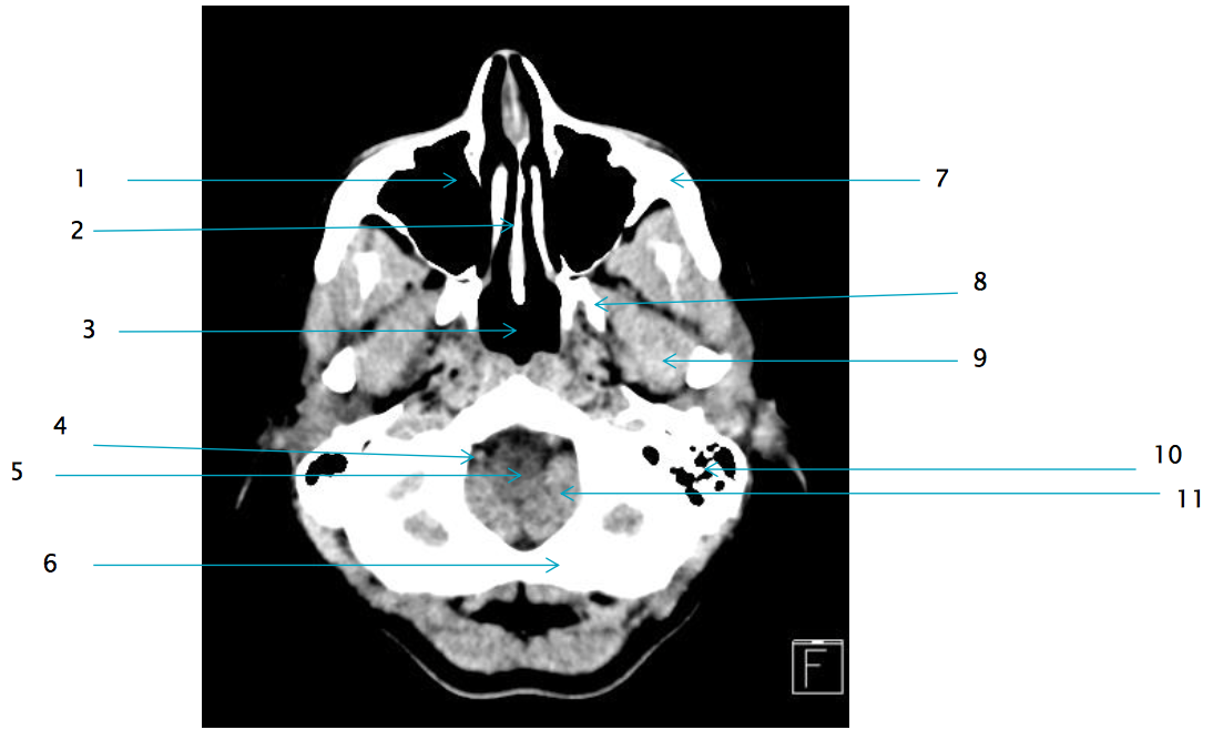
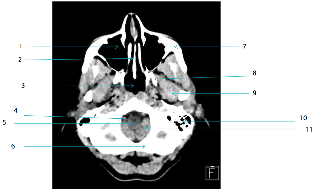
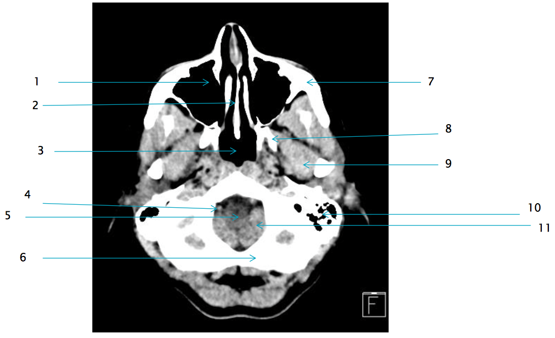
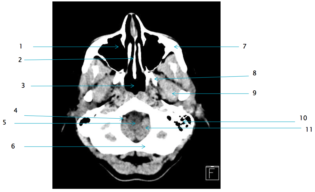
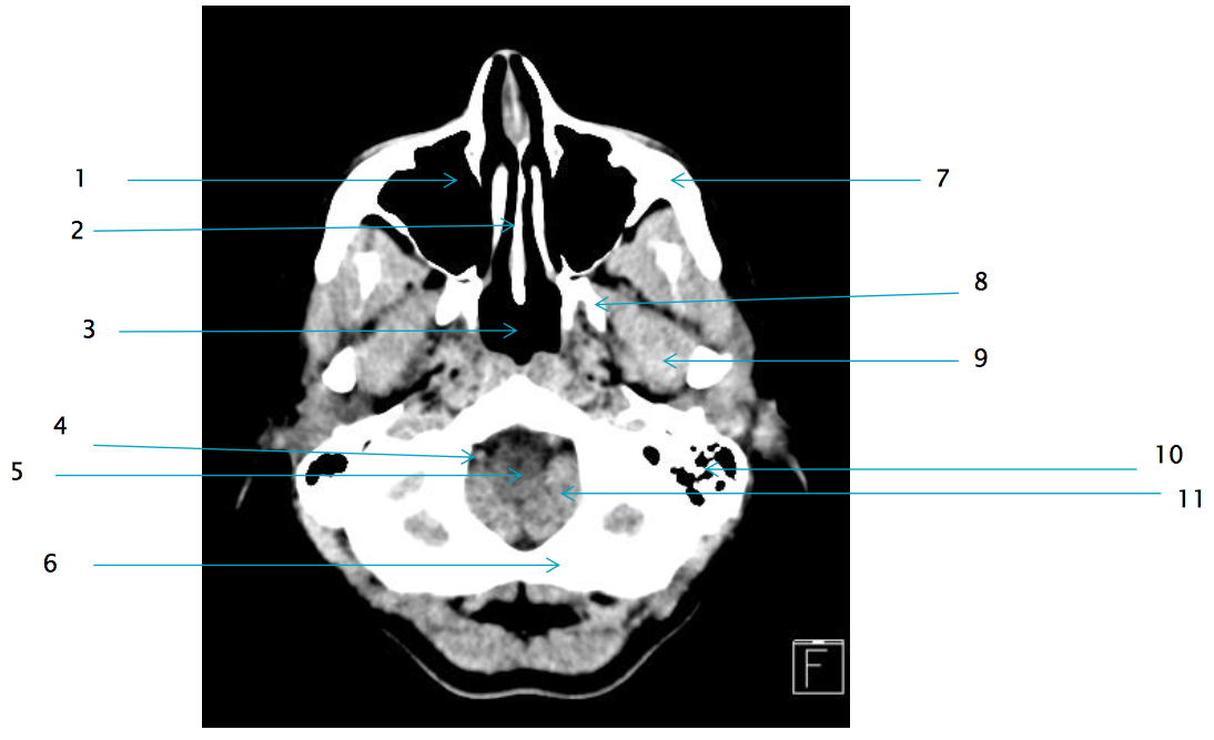
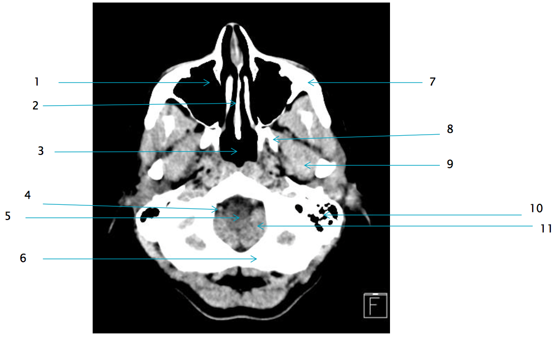
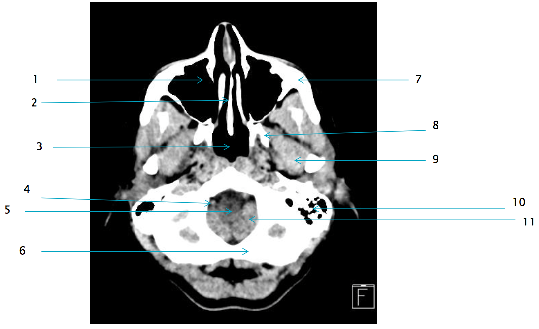
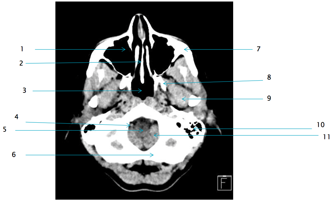
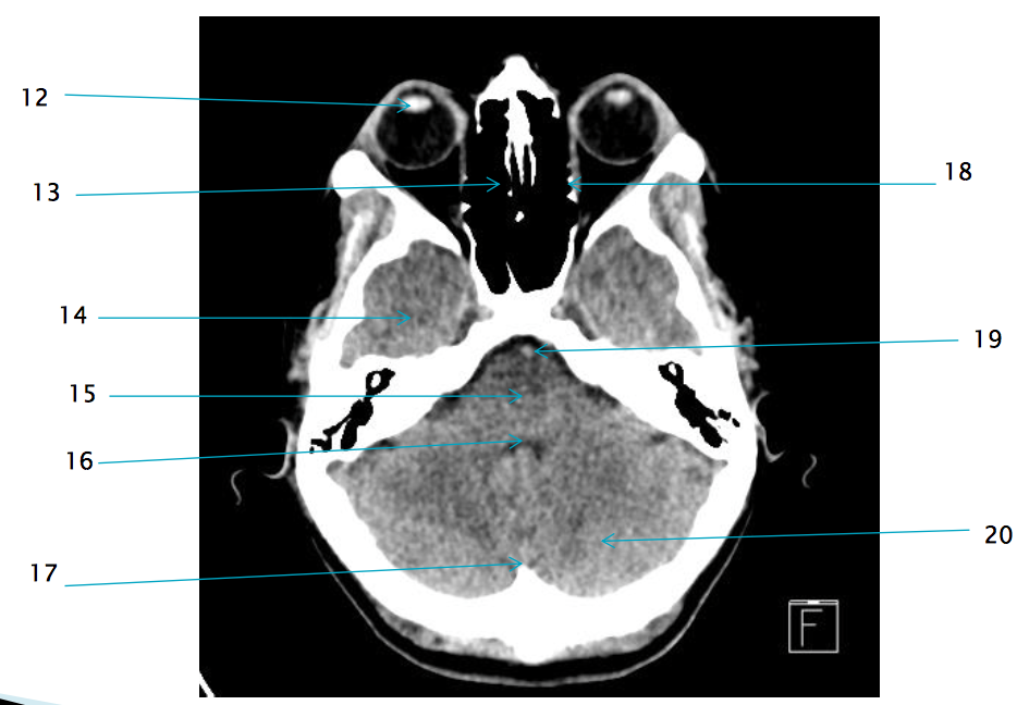
6

L occipital bone
7

L zygomatic arch
8

L lateral pterygoid plate
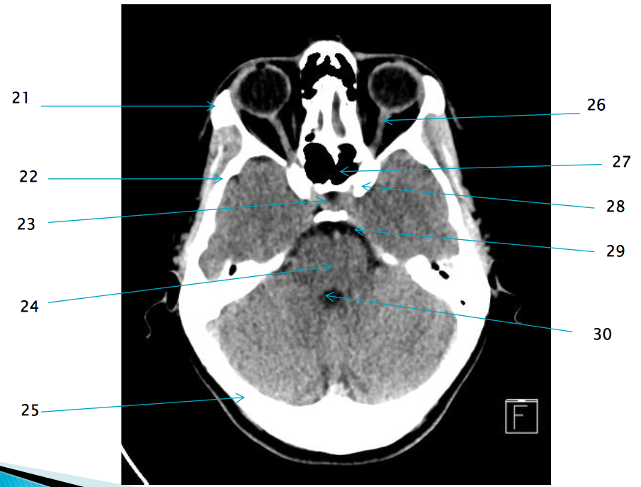
11

L Cerebellar tonsil
9

L lateral pterygoid muscle
1

R maxillary sinus
2

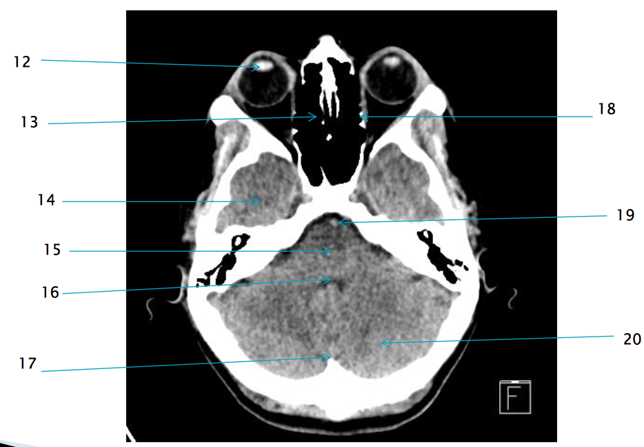
vomer
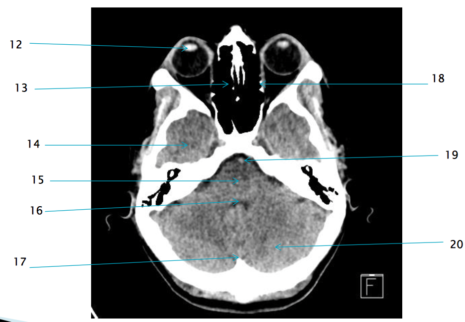
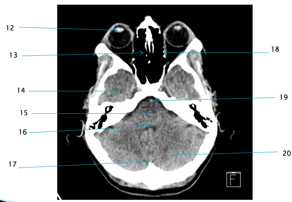
5

medulla oblongata
10

L mastoid air cells
14

R temporal lobe
3

nasopharynx
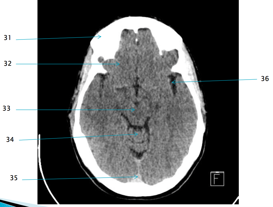
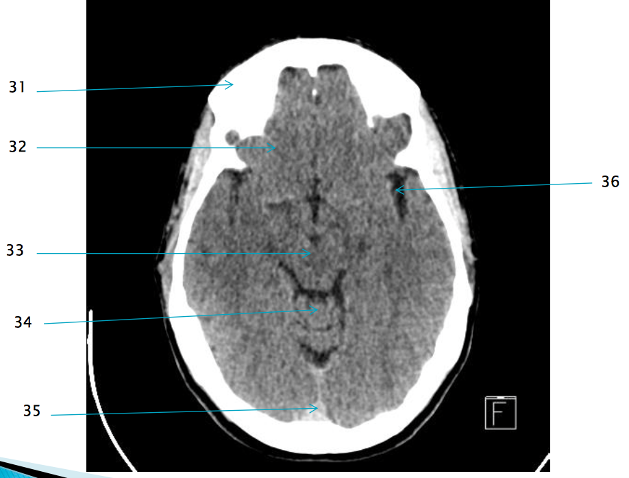
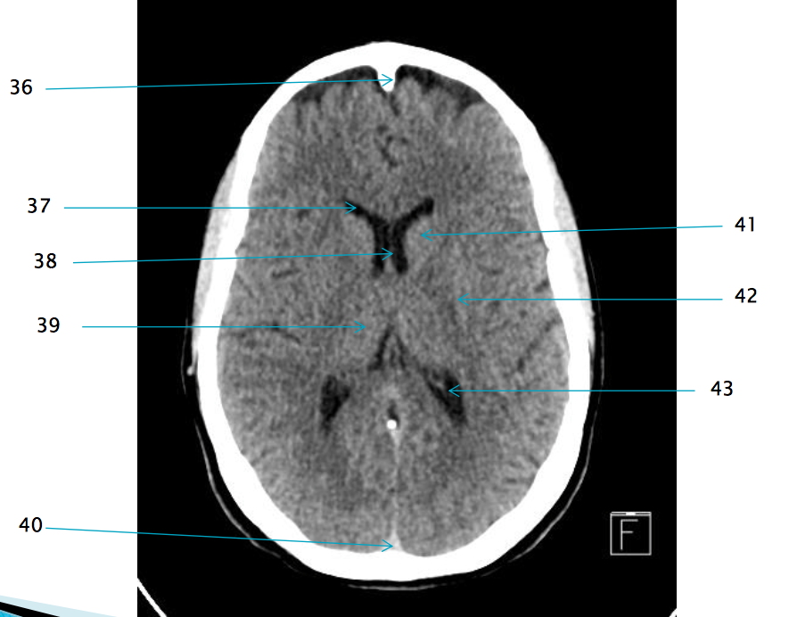
35

Superior sagittal sinus
4

R vertebral artery
12

lens of R eye
13

ethmoid air cells R
32

R frontal lobe
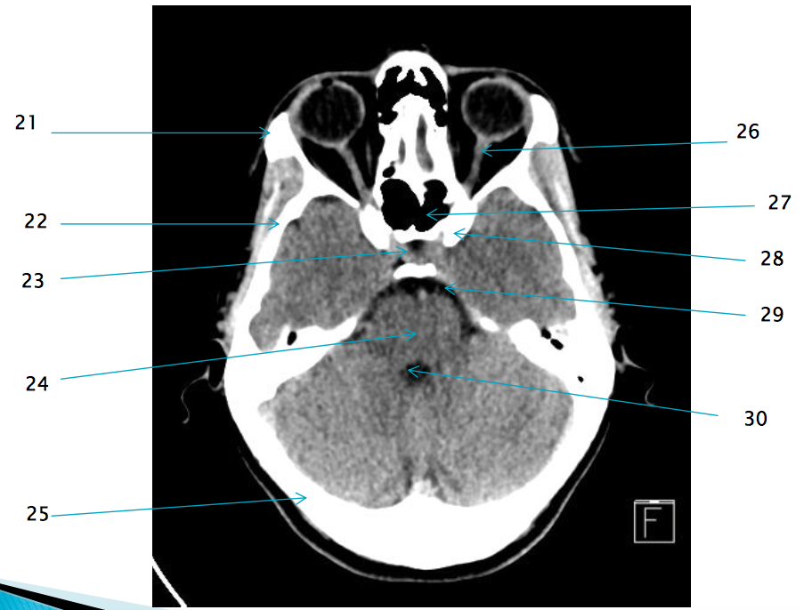
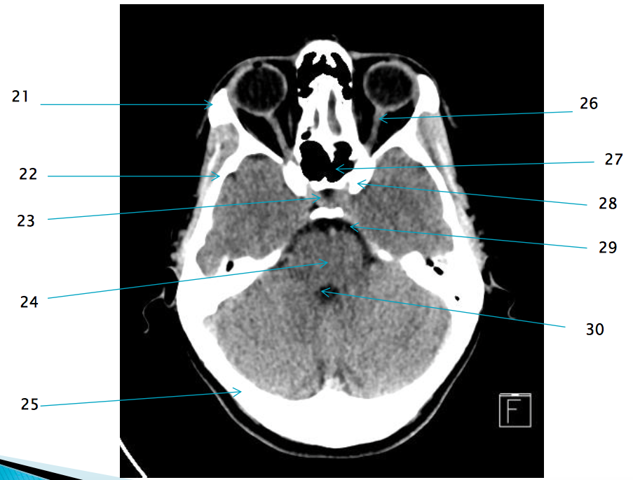
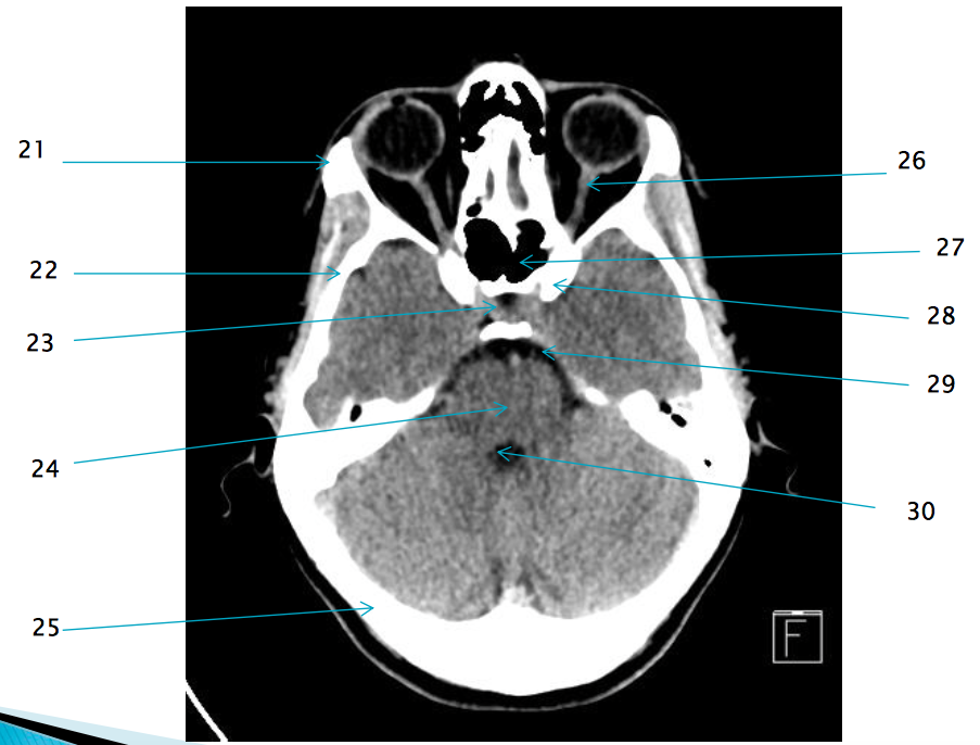
21

R zygomatic bone
37

Frontal horn of R lateral ventricle
17

internal occipital protuberance
19

basilar artery
22

R temporal bone
29

Pre pontine cistern
28

L anterior clinoid process
38

Septum pellucidum