Abdomen Flashcards

(56 cards)

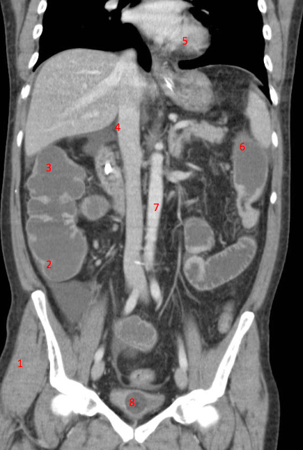
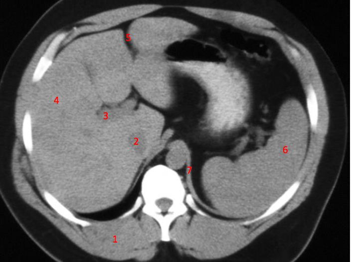
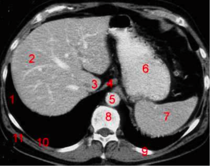
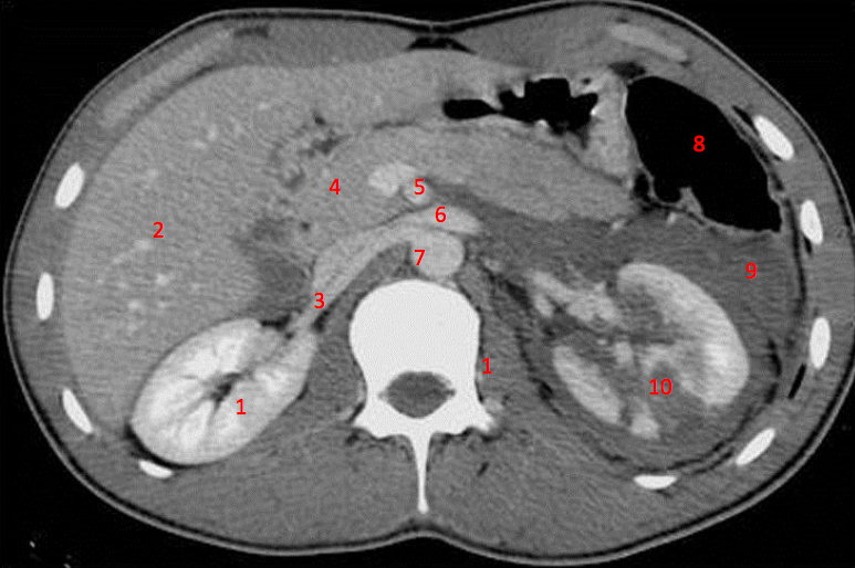
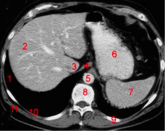
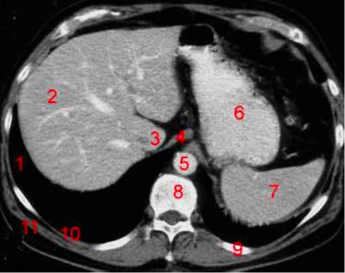
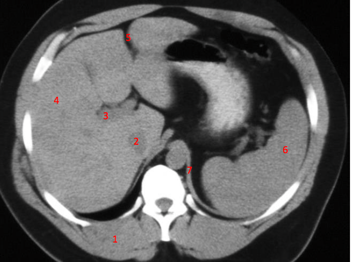
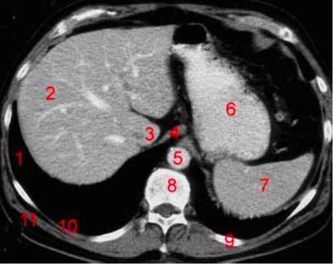
1
Q

Number 3?

A

IVC

How well did you know this?
1
Not at all
2
3
4
5
Perfectly
2
Q

Number 1?

A

R Kidney

How well did you know this?
1
Not at all
2
3
4
5
Perfectly
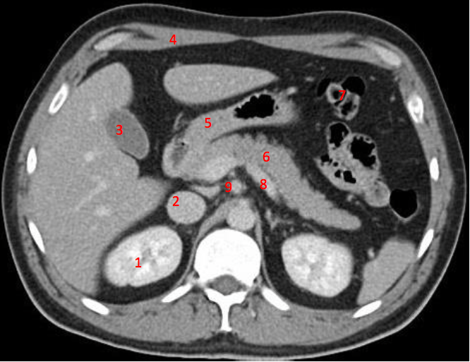
3
Q

Number 1?

A

R kidney

How well did you know this?
1
Not at all
2
3
4
5
Perfectly
4
Q

Number 2?

A

IVC

How well did you know this?
1
Not at all
2
3
4
5
Perfectly
5
Q

Number 3?

A

Gall bladder

How well did you know this?
1
Not at all
2
3
4
5
Perfectly
6
Q

Number 8?

A

Body of thoracic vertebra

How well did you know this?
1
Not at all
2
3
4
5
Perfectly
7
Q

Number 9?

A

Lt rib

How well did you know this?
1
Not at all
2
3
4
5
Perfectly
8
Q

Number 7?

A

Unlabeled

How well did you know this?
1
Not at all
2
3
4
5
Perfectly
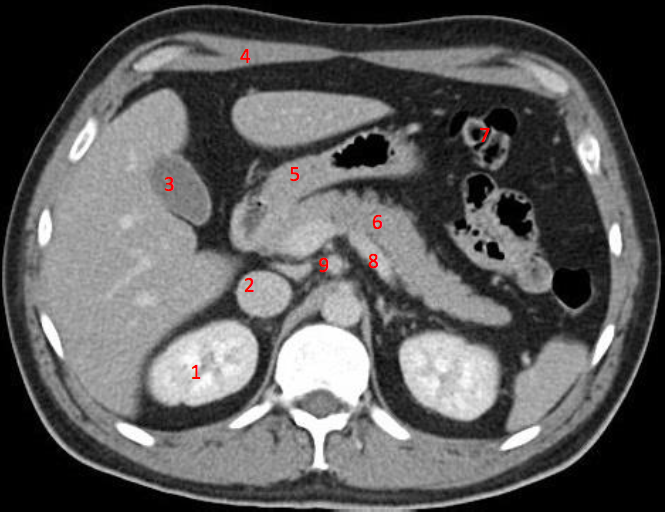
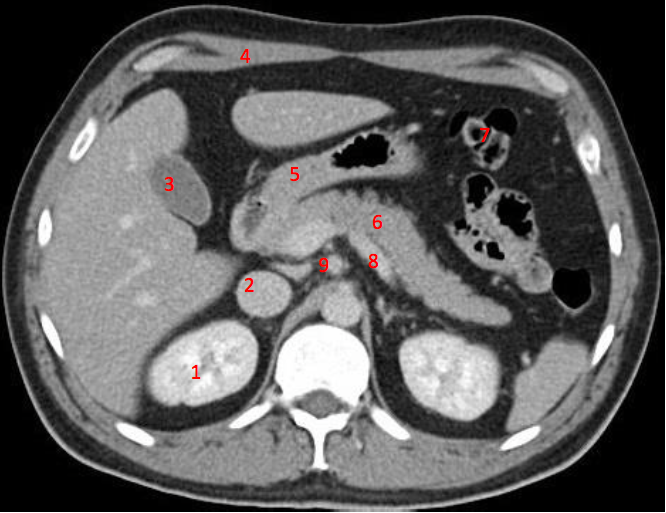
9
Q

Number 4?

A

Rectus abdominus

How well did you know this?
1
Not at all
2
3
4
5
Perfectly
10
Q

Number 8?

A

Descending colon

How well did you know this?
1
Not at all
2
3
4
5
Perfectly
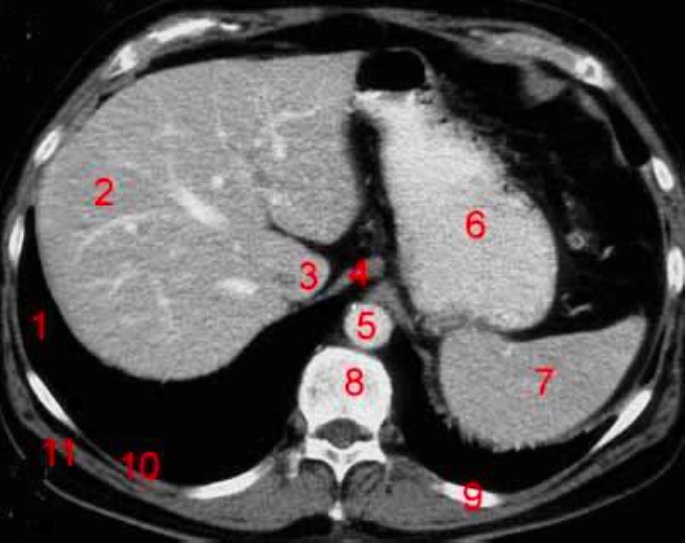
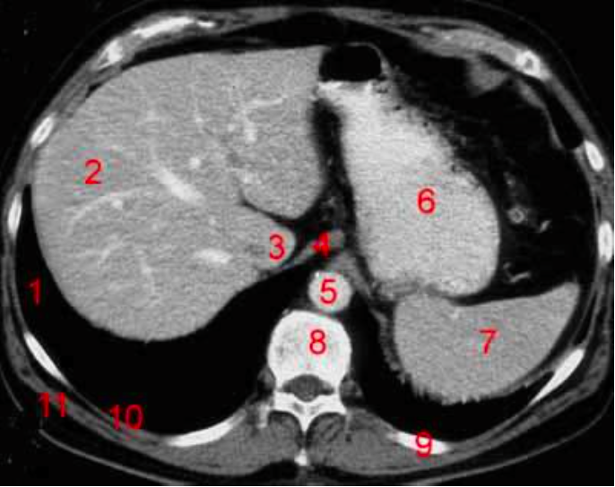
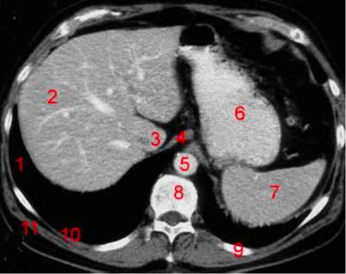
11
Q

Number 2?

A

Rt lobe of liver

How well did you know this?
1
Not at all
2
3
4
5
Perfectly
12
Q

Number 10?

A

Rt rib

How well did you know this?
1
Not at all
2
3
4
5
Perfectly
13
Q

Number 4?

A

Head of pancreas

How well did you know this?
1
Not at all
2
3
4
5
Perfectly
14
Q

Number 4?

A

Rt diaghragmatic crus

How well did you know this?
1
Not at all
2
3
4
5
Perfectly
15
Q

Number 7?

A

Bowel (probably large)

How well did you know this?
1
Not at all
2
3
4
5
Perfectly
16
Q

Number 2?

A

IVC

How well did you know this?
1
Not at all
2
3
4
5
Perfectly
17
Q

Number 4?

A

Rt lobe liver

How well did you know this?
1
Not at all
2
3
4
5
Perfectly
18
Q

Number 1?

A

R lung

How well did you know this?
1
Not at all
2
3
4
5
Perfectly
19
Q

Number 2?

A

Rt lobe of liver

How well did you know this?
1
Not at all
2
3
4
5
Perfectly
20
Q

Number 6?

A

Stomach

How well did you know this?
1
Not at all
2
3
4
5
Perfectly
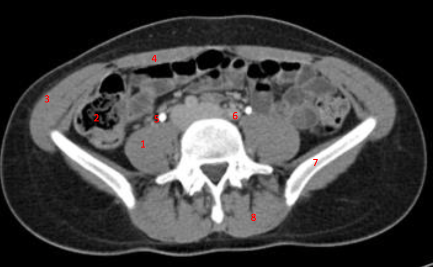
21
Q

Number 5?

A

Rt ureter

How well did you know this?
1
Not at all
2
3
4
5
Perfectly
22
Q

Number 6?

A

Descending colon

How well did you know this?
1
Not at all
2
3
4
5
Perfectly
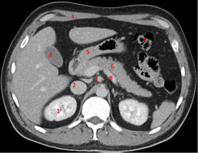
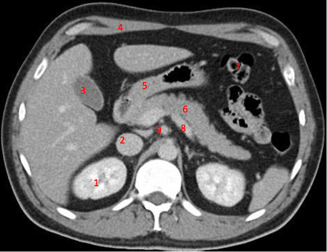
23
Q

Number 9?

A

Superior mesenteric artery

24
Q

Number 8?

25
Number 7?
Abdominal aorta
26
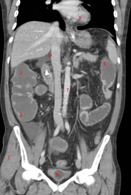
Number 1?
Rt erector spinae muscle
27
Number 7?
Spleen
28
Number 3?
Rt renal artery
29
Number 6?
Lt common iliac artery
30
Number 6?
Body of pancreas
31
Number 5?
Abdominal aorta
32
Number 3?
Portal vein
33
Number 5?
Falciform/round ligament
34
Number 9?
Haematoma
35
Number 3?
Hepatic flexure
36
Number 5?
Superior mesenteric artery
37
Number 11?
No label
38
Number 8?
Splenic vein
39
Number 6?
Spleen
40
Number 7?
Lt iliac blade/ilium
41
Number 5?
L Ventricle
42
Number 9?
Rt psoas
43
Number 3?
Rt oblique muscle
44
Number 4?
Rt rectus abdonimalis muscle
45
Number 1?
Rt psoas muscle
46
Number 6?
Lt renal vein
47
Number 10?
Rt kidney
48
Number 5?
Duodendum
49
Number 7?
Aorta
50
Number 2?
Ascending colon
51
Number 1?
Rt gluteus muscle
52
Number 10?
Traumatic laceration of Lt kidney
53
Number 8?
Lt erectae spinae muscle
54
Number 4?
IVC
55
Number 2?
Caecum
56
Who loves you the most?