Complétez : généralement, on emploie une technique radiographique qui A.___ le contraste entre les différents organes abdominaux, soit en utilisant un mAs relativement B.____ et un kVp relativement C.____.
A) maximisera
B) élevé
C) bas
Un examen radiographique abdominal standard inclut au moins _______.
2 projections à 90 degrés (projections orthogonales), soit une ventrodorsale et une latérale (gauche ou droite).
Un examen radiographique abdominal complet inclut A._____ jusqu’à B._____. Si on s’intéresse particulièrement au système urinaire, il faut inclure le C._____ et D._____.
A) le rebord crânial du foie (diaphragme)
B) l’articulation coxo-fémorale
C) périnée
D) l’urètre
Les radio abdominales sont-elles prises en inspiration ou en expiration?
expiration
Pourquoi préfère-t-on que l’animal soit à jeun pour la prise de radio abdominales?
pour éviter la superposition d’un estomac et d’un côlon plein sur le reste de l’abdomen
=> si cas urgents, jeûne pas nécessaire
Dire en ordre du + foncé au + pâle, les opacités radiographiques.

1) air
2) gras
3) tissus mous/liquides
4) minérale
5) métallique
Par convention de lecture radiographique, la tête doit être à A.___ et le bassin à B.____ sur une projection latérale droite ou gauche.
A) gauche
B) droite
Quelle est la projection radiographique lors que l’animal est en :
A) décubitus dorsal
B) décubitus ventral
C) décubitus latéral droit
D) décubis latéral gauche
A) projection ventrodorsale
B) projection dorsoventrale
C) projection latérale droite
D) projection latérale gauche
Pour chacune des structures suivantes, dire si elle est normalement visible sur une radio abdo.
A) prostate
B) utérus
C) rate
D) ovaires
E) utérus non gestant
F) surrénales
G) NL
H) uretères
I) pancréas
A) visible chez chiens mâles intacts seulement, pas chez les chats
B) +/- ; chez les femelles intactes, non gestantes, on ne devrait pas voir les ovaires et l’utérus
C) oui
=> tout le reste n’est pas visible
V ou F : le gras abdominal est limitant quant à une bonne interprétation radiographique des organes.
F. Le gras abdominal entre les différents organes nous permet de mieux les distinguer (opacité différente (tissus mous vs tissus adipeux) sinon effet de silhouette).
V ou F : la différenciation entre les organes est plus facile à percevoir chez des animaux très minces.
F. Elle sera plus difficile à percevoir chez les animaux très minces, car ils ont peu de gras intra-abdominal et donc les organes sont moins bien séparés par le gras et donc difficiles à distinguer car il n’y pas de différence de contraste entre ceux-ci (effet de silhouette).
V ou F : les jeunes animaux ont une diminution de contraste abdominal.
V, due à une insuffisance de gras (tissu adipeux brun).
Complétez : Les animaux de très grande taille (> 25 cm d’épaisseur, incluant les animaux obèses) ont une mauvaise visibilité des séreuses abdominales (peu de contraste abdominal), étant donné ______
leur épaisseur qui génère beaucoup de radiations secondaires
Faites les bonnes associations. Choix de rép : chiot 4 mois, chien mince, chien moyen, chat obèse

A) chien moyen
B) chiot 4 mois
C) chat obèse
D) chien mince
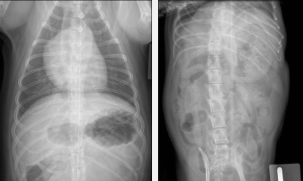
Dire quelle image de l’estomac correspond à un chat et laquelle correspond à un chien

à droite = chat
à gauche = chien
*Chez le chien, l’estomac a une forme moins repliée et l’antre pylorique se retrouve à droite. Chez le chat, l’estomac a une forme de « U » abrupte et l’antre pylorique reste généralement plus proche de la ligne médiane de l’abdomen.
Complétez : l’estomac est localisé dans l’abdomen crânial, caudalement au _____
foie
Tracez l’endroit où se trouve l’estomac sur ces radio


Tracez à quel endroit se trouve l’estomac sur ces radio


Complétez : On considère que l’estomac est sévérement distendu lorsqu’il dépasse caudalement A.______.
L4-L5
*mais il peut quand même être légèrement ou modérément distendu crânialement à ceci.
Complétez : L’apparence normale du contenu gastrique peut varier et il normal d’y retrouve du A._______ et du B._____. L’ingesta (de la moulée par exemple) a une apparence C.______. Le D._____ et le E.______ ne sont pas normaux.
A) gaz
B) matériel d’opacité tissulaire/liquidienne (eau, sécrétions gastriques, ingesta)
C) hétérogène
D) métal
E) minéral
V ou F : chez le chat, l’estomac a tendance à se vider plus rapidement et donc à être relativement plus petit et contenir beaucoup moins d’air. Il peut donc même être difficile à le différencier du foie chez cette espèce.
V
Nommez les structures de l’estomac représentées par les lettres. Est-ce un estomac de chat ou de chien?

C : cardia
F : fundus
B : corps
P : pylore
A : antre pylorique
=> estomac de chien
Complétez : La localisaiton du gaz varie selon la projection. En effet, le gaz gastrique sera déplacé en portion ______ dans les différentes zones gastriques selon le décubitus de l’animal.
non-déclive
Dire à quel endroit sera localisé le gaz gastrique pour chacun des décubitus suivant (*à connaitre) :
A) en décubitus latéral droit
B) en décubitus latéral gauche
C) en décubitus dorsal
D) en décubitus ventral
A) corps et fundus
B) l’antre/canal pylorique (pylore) et le duodénum
C) corps
D) fundus
=> gaz se retrouve en portion non-déclive
=> ainsi, le changement de position du gaz peut être utilisé pour mettre en évidence des lésions (C.É., volvulus gastrique, masse, etc.)