Échographie Flashcards

(39 cards)

1
Q

Quels sont les avantages et inconvénients de la RX et de l’écho?

A
  • écho permet d’évaluer le contour des organes (rx non)
  • rx : le gras facilite la distinction entre les organes (donc pas idéal chez les jeunes animaux ou animaux maigres) => écho va donc permettre la distinction des organes chez ces animaux avec peu de gras / même chose pour les liquides (ex : épanchement) va limiter la distinction entre les structures en RX, donc meilleure visibilité en écho
  • avantage écho : procédures échoguidées (biopsies, cytoponctions, drainage, etc.)
How well did you know this?
1
Not at all
2
3
4
5
Perfectly
2
Q

Décrire l’approche de l’échographie.

A
  • animal en décubitus dorsal ou latéral
  • raser et appliquer gel
  • 2 plans orthogonaux : plan longitudinal et transverse
How well did you know this?
1
Not at all
2
3
4
5
Perfectly
3
Q

Qu’est-ce qui créer l’image en échographie?

A

les ultrasons

=> vitesse de propagation de l’onde varie en fonction du milieu (liquide, gaz, etc.)

How well did you know this?
1
Not at all
2
3
4
5
Perfectly
4
Q

Décrire l’échelle d’échogénicité (du plus échogène au plus anéchogène).

A
  • minéraux, gaz : plus échogènes (blanc)

- liquides : anéchogène (noir)

How well did you know this?
1
Not at all
2
3
4
5
Perfectly
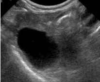
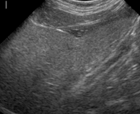
5
Q

Lequel est anéchogène?

A

la vessie (remplie de liquide)

How well did you know this?
1
Not at all
2
3
4
5
Perfectly
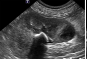
6
Q

Que remarquez-vous d’anormal?

A

rein hyperéchogène par rapport au foie : anormal !

ici : intoxication éthylène glycol

How well did you know this?
1
Not at all
2
3
4
5
Perfectly
7
Q

Expliquez le mode Doppler. Qu’est-ce qu’indique la couleur bleu et la couleur rouge?

A

=> des particules en mouvement génèrent des échos de fréquence différente de celle des US incidents

=> permet l’évaluation du flot sanguin

=> le chg de fréquence dépend de la direction et de la vitesse des particules : échelle de couleur concomitante

sur l’image :

  • bleu : veines drainent loin de la rate
  • rouge : artères vers la rate
How well did you know this?
1
Not at all
2
3
4
5
Perfectly
8
Q

Quelle est l’importance de la résolution des sondes?

A

=> Résolution : capacité d’un système à différencier 2 structures rapprochées. Proportionnelle à $$$

=> impact important sur :

  • qualité des images
  • capacité à évaluer les structures
  • détection et caractérisation des lésions
How well did you know this?
1
Not at all
2
3
4
5
Perfectly
9
Q

Quel est cet artéfact?

A

=> RÉVERBATION

distal à du gaz : se présente comme pleins de lignes parallèles distalement à la structure gazeuse

How well did you know this?
1
Not at all
2
3
4
5
Perfectly
10
Q

Nommez des artéfacts utiles.

A
How well did you know this?
1
Not at all
2
3
4
5
Perfectly
11
Q

Quel est cet artéfact?

A

ombrage acoustique :

=> région anéchogène (cône d’ombre) distale à une surface hautement atténuante (minérale)

How well did you know this?
1
Not at all
2
3
4
5
Perfectly
12
Q

Quel est cet artéfact?

A

renforcement distal :

=> structure faiblement atténuante (liquide) :

  • laisse passer les ondes
  • plus d’ondes en profondeur !

Typiquement :

  • vessie
  • vésicule biliaire
  • kyste
How well did you know this?
1
Not at all
2
3
4
5
Perfectly
13
Q

DX?

A

Épanchement dans abdominal

=> liquide anéchogène (normalement, c’est du gras dans la cavité abdominale)

Ici : hypoalbuminémie sévère chez un chien

How well did you know this?
1
Not at all
2
3
4
5
Perfectly
14
Q

DX? (foie)

A

hépatomégalie

  • plus hyperéchogène
  • rebords arrondis
How well did you know this?
1
Not at all
2
3
4
5
Perfectly
15
Q

DX? (foie)

A

microhépathie

  • parenchyme hépatique est très peu large, on a l’impression que la VB prend toute la place

=> causes possibles : shunt porto-systémique, cirrhose

How well did you know this?
1
Not at all
2
3
4
5
Perfectly
16
Q

DX? (foie)

A

foie hypoéchogène

17
Q

Décrire l’apparence échographique de la rate par rapport au foie.

A
  • échogénicité supérieure à celle du foie et parenchyme bcp + homogène (on n’a pas les parois hyperéchogènes des vaisseaux porte comme dans le foie)
  • les vaisseaux de la rate n’ont pas de paroi hyperéchogène
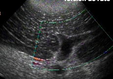
18
Q

DX? (rate)

A

torsion de rate

19
Q

V ou F : Les altérations d’échogénicité a/n des organes sont souvent non spécifiques.

20
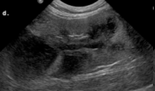
Q

Néphropathie aiguë ou chronique?

A

aiguë à gauche
chronique à droite

à D : le rein est + petit qu’à G + contours bosselés, irréguliers => chronique. Épaississement du cortex rénal avec hyperéchogénicité du cortex => signe de néphropathie chronique.

à G : cortex est hyperéchogène

21
Q

DX? (reins)

A

calcul + abcès rénal

*on voit bien l’artéfact du cône d’ombre distalement au calcul

22
Q

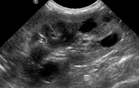
DX? (reins)

A

polykystose

=> multiples kystes rénaux (zones anéchogènes)

23
Q

DX? (reins)

24
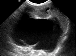
Q

DX? (reins)

A

énorme structure anéchogène => bassinet extrêmement dilaté de liquide => hydronéphrose (obstruction urétérale)

25
Écho de la vessie, vous avez cette image, qu'est-ce qui est recommandé de faire?
Soit il y a réellement un épaississement de la paroi ou pt que c'est juste pcq la vessie peu distendue => reprendre une écho après avoir donner à boire au patient (image de droite) => qd la vessie est bien distendue, sa paroi est normalement très fine
26
DX? vessie
zone de fibrine intraluminale (inflammation)
27
DX? vessie
calculs
28
Quelles sont les applications échographiques pour l'évaluation du tube digestif?
RX : excellent outil de départ ÉCHO : bcp d'informations complémentaires (paroi, péristaltisme, nature d'une obstruction)
29
Identifiez chacune des 5 couches du tube digestif.
1 : interface lumière / muqueuse intestinale 2 : muqueuse intestinale 3 : sous-muqueuse intestinale 4 : musculeuse intestinale 5 : séreuse intestinale
30
DX? (tube digestif)
épaississement diffus de la musculeuse qui devient + épaisse que la muqueuse => IBD
31
DX? tube digestif
lymphangiectasie => plusieurs stries hyperéchogènes dans la muqueuse
32
Nommez des maladies a/n du tube digestif causant : A) un épaississement diffus et symétrique B) un épaississement focal
A) diffus et symétrique : - IBD/lymphome à petites cellules T - lymphangiectasie B) focal : - néoplasies +++ - en général avec perte de définition des couches pariétales
33
DX? (tube digestif)
34
DX? tube digestif
CÉ linéaire (intestins en accordéon)
35
DX? tube digestif
intussusception => 2 anses intestinales emboitées l'une dans l'autre (couche d'oignon)
36
L'échographie du pancréas est utile pour quoi? (2 réponses à donner)
- pancréatite - néoplasme => rx est pas superbe pour évaluer le pancréas, donc écho utile
37
Nommez 3 applications échographiques à l'évaluation du système génital.
1) Gestation : - écho + tôt que la radio - évaluation de la vitalité des foetus, mais comptage moins précis que la radio 2) Pathologies utérines et ovariennes 3) Pathologies prostatiques (ddx prostatomégalie)
38
Nommez 2 applications échographiques à l'évaluation des glandes surrénales.
1) nodule, hyperplasie | 2) aide au ddx hyperadrénocorticisme d'origine surrénalienne vs hypophysaire
39
Décrire l'apparence échographique (échogénicité) des vaisseaux du foie.
1) vaisseaux porte : paroi d'apparence plus hyperéchogène | 2) vaisseaux hépatiques : pas de paroi => anéchogène