What is Menorrhagia?
Heavy but regular uterine bleeding
What is Metrorrhagia?
•Bleeding between menses
What is Menometrorrhagia?
Heavy, irregular bleeding
How would you advise an adolescent who has just begun menstruating and is worried about how irregular her cycles are or the presence of spotty bleeding?
Reassure her that everything is fine, she will not need an exam typically, and that her body is adjusting to puberty. In these pts. the body is making plenty of estrogen but not enough progesterone yet so if the situation requires treatment, oral contraceptives or course of cyclic progesterone. (all in attempt in reproduce normal cycle)
How would a 45-45 yo woman with ireegular menses be managed?
Again, like adolescent girls, these women are entering an anovulatory phase where the absence of the corpus luteum will prevent adeuqate porduction of progesterone causing the endometrium to slough more frequently/irregularly. Thus, if the diagnosis of anovulatory bleeding is made, the pt should be reassured or started on solo progesterin (or a low dose oral contraceptive).
Also need to consider risk of neoplasm is obese, HTN, diabetic, etc.

D.
Note that if theres enough estrogen to start menses, there will not typically be any additional growth
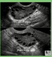
What is Polycystic ovary syndrome (PCOS)?
is a set of symptoms due to elevated androgens (male hormones) in women
Ultrasound: pearls on a string

What are the symptoms of PCOS?
Signs and symptoms of PCOS include irregular or no menstrual periods, heavy periods, hirsutism, acne, pelvic pain, difficulty getting pregnant, and patches of thick, darker, velvety skin.
What are some associated conditions with PCOS?
Associated conditions include type 2 diabetes (insulin resistance), obesity, obstructive sleep apnea, heart disease, mood disorders, and endometrial cancer.
How does PCOS develop?
Obesity results in increased adipocyte tissue which contains aromatase to convert androstenedione to estrone. Estrone then stimulates release of LH, which stimulates the ovaries to produce more androsteneidione (which can then travel to fat cells are stimulate the cycle to occur over and over).
All of the excess andostenedione is converted to testosterone which causes the signs and symptoms of PCOS
What is this and why does it occur in PCOS?

This is called acanthosis nigracans, which is caused in PCOS by the accumulation of insulin due to insulin resistance. More common in AA females
How would PCO be treated?
Typically depends on what parts of the syndrome pts. are most unhappy with but ALL will be consouled to lose weight
What if a pt. with PCOS mainly wants to regularize periods?
What if a pt. with PCOS mainly wants to decrease unwanted hair?
What if a pt. with PCOS wants help getting pregnant?
What are some other causes of irregular bleeding during reproductive years?
What would FSH and LH levels be like if a girl was not menstruating because she was anorexic?
Very low (hypogonadotropic hypogonadism)
Other causes of irregular bleeding during reporductive years?
Only if the diagnosis is hormonal

What happens to the levels of estrogen and progesterone around menopause?
Ovulation does not occur normally so estrogen levels are normal but progesterone levels are very low. So tx in this time typically including progesterone. At menopause, estrogen levels then drop drastically

Submucosal usually causes bleeding

Management of uterine leiomyomata depends on symptoms, age, desire for future fertility. How would an aymptomatic uterine leiomyomata be tx?
•May be asymptomatic: discovered on exam: No TX if not causing any problems
Management of uterine leiomyomata depends on symptoms, age, desire for future fertility. How would a uterine leiomyomata causing menorrhagia and/or anemia be tx?
•NSAIDs to prevent bleeding by stopping prostaglandin production which promotes contraction of the endometrium (stops cramps and contractions) and vessel production (take up to 800mg 3x a day) or
hormonal agents to stop her from ovulating,
iron if anemic