What is the genome of Herpes simplex virus?
Enveloped, large ds DNA virus
____ is the most common etiology of sexually transmitted genital ulcers
Herpes Simplex Virus
How does a primary herpes infection present?
Can be severe including painful ulcers, dysuria, fever, tender LAD, and HA
Ulcers typically last around 3 weeks

What does HSV do after primary infection?
HSV establihses a latent state followed by viral reactivation and recurrent local disease (note that genital disease resides latently in sacral ganglia)
How does recurrent HSV infection present/
Can be mildly symptomatic or asymptomatic and lesions tend to only last around 10 days
How is HSV diagnosed?
PCR of lesions is gold standard. If you have an intact vesicle, want some of the fluid underneath for PCR
Tzanck smear (no longer used- below)

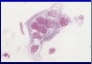
Tzanck smear for HSV
Shows multinucleated giant cells from lesion scarpings- has a low specificity and sensivity and cannot differentiate HSV 1 from 2
T or F. Only PCR or viral culture can tell if a lesion is HSV 1 or 2
T.
How is HSV treated?
There is no cure, but acyclovir and valacyclovir when given within 72 hrs of lesion appearance may decrease the duration and severity of illness. Simialrly, chronic suppression via daily medication can decrease frequency of recurrences and the potential to spread disease to a partner
What causes Syphillis?
Trepneoma pallidum
Describe Trepneoma pallidum
This is a spirochete that is too thin to see on gram stain, so most commonly visualized via darkfield screening (below)

How does primary syphillis present?
Typically as a painless chancre, a shallow ulcer with a clean base and rolled edges, located at the site of treponemal invasion.

When do chancres typically appear?
About 3 weeks after infection
T or F. Syphillis chancres heal with or without therapy
T.
Remember that chancres can arise at any site but are always at the site of primary treponemal entry

How does secondary syphilis present?
This typically occurs about 2-10 weeks after chancre appearance in untreated people and is marked by nonpainful maculopapular rash, that may also be scaly or pustular (can look like anything!)
Where are 2ndary syphillis rashes most commonly found?
palms or soles
What are some other potential symptoms of 2ndary syphillis?
Condylomata lata formation in the anogential region, axillae, and inner thighs
How do the sores/patches/lesions of 2ndary syphillis progress?
They typically last a few weeks then resolve with or without treatment
condyloma lata is more smooth, whereas warts are more cauliflower like (HPV caused)

How common is teritary syphillis?
Occurs in about 1/3 of untreated of pts, usually after a latent period of 5+ years
What are the CV manifestations of teritary syphillis?
Syphilitic aortitis leading to slowly progressive dilation of the aortic root and arch, which causes aortic valve insufficiency and aneurysms of the proximal aorta
What are the CNS manfiestations of tertiary syphillis?
This can be symptomatic or not. CNS abnormalities can include:
What are cerebral gummas?
mass lesions composed of plasma cells. These can also occur in bone, skin, and mucuous membranes!