Acute appendicitis Flashcards

(15 cards)

1
Q

What is acute appendicitis?

A

Acute appendicitis is the most common acute abdominal condition requiring surgery. It can occur at any age but is most common in young people aged 10-20 years.

How well did you know this?
1
Not at all
2
3
4
5
Perfectly
2
Q

What is the pathogenesis of acute appendicitis?

A

Lymphoid hyperplasia or a faecolith leads to obstruction of the appendiceal lumen, allowing gut organisms to invade the appendix wall, resulting in oedema, ischaemia, and possibly perforation.

How well did you know this?
1
Not at all
2
3
4
5
Perfectly
3
Q

What type of abdominal pain is associated with appendicitis?

A

Patients typically experience peri-umbilical abdominal pain that radiates to the right iliac fossa (RIF) due to localized parietal peritoneal inflammation.

How well did you know this?
1
Not at all
2
3
4
5
Perfectly
4
Q

What does the migration of pain from the center to the RIF indicate?

A

The migration of pain from the center to the RIF is one of the strongest indicators of appendicitis.

How well did you know this?
1
Not at all
2
3
4
5
Perfectly
5
Q

What are common symptoms of acute appendicitis?

A

Common symptoms include abdominal pain, vomiting, mild pyrexia, and anorexia.

How well did you know this?
1
Not at all
2
3
4
5
Perfectly
6
Q

What is the typical temperature range in appendicitis patients?

A

Mild pyrexia is common, with temperatures usually between 37.5-38°C.

How well did you know this?
1
Not at all
2
3
4
5
Perfectly
7
Q

What examination findings are associated with appendicitis?

A

Findings may include rebound tenderness, guarding, rigidity, and possibly a boggy sensation on digital rectal examination if a pelvic abscess is present.

How well did you know this?
1
Not at all
2
3
4
5
Perfectly
8
Q

What laboratory findings are typical in appendicitis?

A

Typically, there is a neutrophil-predominant leucocytosis seen in 80-90% of cases.

How well did you know this?
1
Not at all
2
3
4
5
Perfectly
9
Q

What imaging is used for diagnosing appendicitis?

A

Ultrasound is useful in females with suspected pelvic organ pathology, while CT scans are commonly used in the US but less so in the UK due to radiation concerns.

How well did you know this?
1
Not at all
2
3
4
5
Perfectly
10
Q

What is the management for acute appendicitis?

A

Management typically involves appendicectomy, which can be performed via open or laparoscopic approach, with laparoscopic appendicectomy being the treatment of choice.

How well did you know this?
1
Not at all
2
3
4
5
Perfectly
11
Q

What role do antibiotics play in appendicitis management?

A

Prophylactic intravenous antibiotics reduce wound infection rates, and patients with perforated appendicitis require copious abdominal lavage.

How well did you know this?
1
Not at all
2
3
4
5
Perfectly
12
Q

What should be considered for patients with an appendix mass?

A

Patients without peritonitis who have an appendix mass should receive broad-spectrum antibiotics and consideration for interval appendicectomy.

How well did you know this?
1
Not at all
2
3
4
5
Perfectly
13
Q

What is the outcome of treating appendicitis with intravenous antibiotics alone?

A

While intravenous antibiotics alone may be successful in most patients, it is associated with a longer hospital stay and up to 20% may require appendicectomy within 12 months.

How well did you know this?
1
Not at all
2
3
4
5
Perfectly
14
Q
A

Laparoscopic Appendicectomy is becoming increasingly popular

How well did you know this?
1
Not at all
2
3
4
5
Perfectly
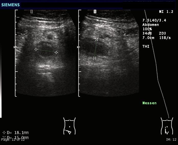
15
Q
A

Ultrasound examination may show evidence of lumenal obstruction and thickening of the appendiceal wall as shown below

How well did you know this?
1
Not at all
2
3
4
5
Perfectly