Images Flashcards

(8 cards)

1
Q

Venn diagram showing shared features and differences between ulcerative colitis and Crohn’s disease. Note that whilst some features are present in both, some are much more common in one of the conditions, for example colorectal cancer in ulcerative colitis

A
How well did you know this?
1
Not at all
2
3
4
5
Perfectly
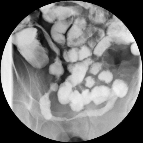
2
Q
A

Barium study is shown from a patient with worsening Crohn’s disease. Long segment of narrowed terminal ileum in a ‘string like’ configuration in keeping with a long stricture segment. Termed ‘Kantor’s string sign’.

How well did you know this?
1
Not at all
2
3
4
5
Perfectly
3
Q

Crohns vs UC - features, extra intestinal, complications, pathology, histology, endoscopy, radioscopy

A
How well did you know this?
1
Not at all
2
3
4
5
Perfectly
4
Q

Extra intestinal features of IBD

A
How well did you know this?
1
Not at all
2
3
4
5
Perfectly
5
Q
A
How well did you know this?
1
Not at all
2
3
4
5
Perfectly
6
Q
A
How well did you know this?
1
Not at all
2
3
4
5
Perfectly
7
Q

Classification of flares of UC

A
How well did you know this?
1
Not at all
2
3
4
5
Perfectly
8
Q
A
How well did you know this?
1
Not at all
2
3
4
5
Perfectly