Additonal Blocks Flashcards

(64 cards)

1
Q

Key points about paravertebral blocks

A

profound analgesia
can do single shot or continuous catheter
okay in anticoagulated patients
preserve bladder sensation
intact motor/sensory distal to block

How well did you know this?
1
Not at all
2
3
4
5
Perfectly
2
Q

absolute contraindication for PVB?

A

empyema

How well did you know this?
1
Not at all
2
3
4
5
Perfectly
3
Q

what makes up each side of paravertebral space?

A

parietal pleura
posterlateral aspect of vertebral body
sup. costotransverse ligament (SCT) / internal intercostal membrane (IIM)

How well did you know this?
1
Not at all
2
3
4
5
Perfectly
4
Q

what is the sup costotransverse ligament continuous with?

A

internal intercostal membrane

How well did you know this?
1
Not at all
2
3
4
5
Perfectly
5
Q

sup costotransverse ligament runs from what to what?

A

inf aspect of transverse process to rib below it

How well did you know this?
1
Not at all
2
3
4
5
Perfectly
6
Q

volumes for single shot and continous catheter in PVB?

A

single shot: 5-7cc per segment
continuous: 6-10cc/hr

How well did you know this?
1
Not at all
2
3
4
5
Perfectly
7
Q

where do you inject if using landmark approach to PVB?

A

2.5cm lateral from midline and 2-6cm deep

How well did you know this?
1
Not at all
2
3
4
5
Perfectly
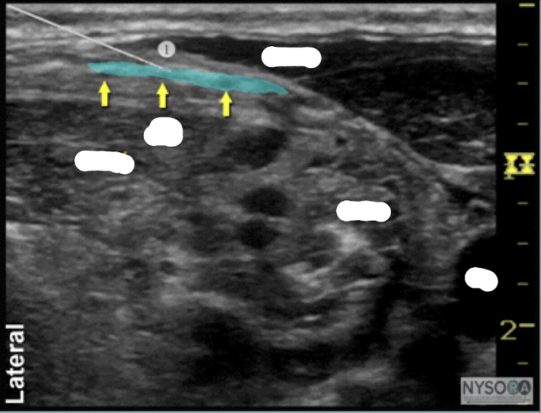
8
Q

name this block

A

transverse in plane PVB

How well did you know this?
1
Not at all
2
3
4
5
Perfectly
9
Q

Name the block and structures

A

transverse in plane PVB
pleural line
internal intercostal muscle
transverse process

How well did you know this?
1
Not at all
2
3
4
5
Perfectly
10
Q

name this block and structures

A

parasaggital in plane approach to PVB

transverse process
costotransverse ligament
paravertebral space
pleura

goal is depression of the pleura, shimmer may be seen

How well did you know this?
1
Not at all
2
3
4
5
Perfectly
11
Q

volume for intercostal block?

A

3-5cc of LA at each level blocked

How well did you know this?
1
Not at all
2
3
4
5
Perfectly
12
Q

tell me about the intercostal block

A

insertion site is at the angle of the rib, 6-8cm to spinous process

How well did you know this?
1
Not at all
2
3
4
5
Perfectly
13
Q

how many methods to cervical plexus block? and do they block motor or sensory?

A

2:
superficial: only sensory
deep: sensory and motor

How well did you know this?
1
Not at all
2
3
4
5
Perfectly
14
Q

how do you do a deep cervical plexus block with landmark technique?

A

at post border of SCM

C2 2cm below mastoid
C3 4cm below mastoid
C4 6cm below mastoid

insert needle at desired level, hit TP, withdraw slightly and inject

How well did you know this?
1
Not at all
2
3
4
5
Perfectly
15
Q

volume for deep cervical plexus block with landmark technique?

A

5cc

How well did you know this?
1
Not at all
2
3
4
5
Perfectly
16
Q

what is chassaignacs tubercle

A

TP of C6

How well did you know this?
1
Not at all
2
3
4
5
Perfectly
17
Q

what is this? how do you do it?

A

superficial cervical plexus
halfway between mastoid process and C6 TP subq injection at post border of SCM, perpendicular, caudal, cephalad

How well did you know this?
1
Not at all
2
3
4
5
Perfectly
18
Q

what is this block?

A

superficial cervical plexus block

How well did you know this?
1
Not at all
2
3
4
5
Perfectly
19
Q

What block and what structures?

A

superficial cervical plexus block
SCM
middle scalene muscle
cervical plexus
ant scalene
carotid artery

How well did you know this?
1
Not at all
2
3
4
5
Perfectly
20
Q

nerves of the nose?

A

greater and lesser platine
ant ethmoid

How well did you know this?
1
Not at all
2
3
4
5
Perfectly
21
Q

gen sensation to upper and middle larynx?

A

internal branch of sup laryngeal nerve

How well did you know this?
1
Not at all
2
3
4
5
Perfectly
22
Q

gen sensation below lower larynx

A

recurrent laryngeal nerve

How well did you know this?
1
Not at all
2
3
4
5
Perfectly
23
Q

motor innervation of all larynx intrinsic muscles except the cricothyroid?

A

recurrent laryngeal

How well did you know this?
1
Not at all
2
3
4
5
Perfectly
24
Q

innervation of the cricothyroid muscle

A

external branch of super laryngeal nerve

How well did you know this?
1
Not at all
2
3
4
5
Perfectly
25
sensory to post 1/3 of tounge?
glossopharyngeal
26
gen sensation of ant 2/3 of tounge?
trigeminal, not part of gag reflex
27
what else does glossopharyneal innervate?
post 1/3 of tounge vallecula ant surface of epiglottis walls of pharynx tonsils
28
dose and time for nebulized lidocaine?
2-4% for 15-30min
29
volume for glossopharyngeal block?
5ml
30
name this block. How do you do it?
sup laryngeal block hit hyoid cornu, walk off inf edge and peirce thyrohyoid membrane, inject 2ml, contact cornu, withdraw 1-2mm, inject 2ml need to get on both sides of the membrane
31
name this block. How do you do it?
recurrent laryngeal block (transtracheal block) use 20g angiocath, pierce while aspirating, have them take a deep breath, rapidly inject so they will cough and atomize it all over
32
what approaches to TAP block?
2 quadrant and 4 quadrant
33
volumes for TAP blocks?
34
where is tap plane?
between internal oblique and transversus abdominus m.
35
name the two approaches to TAP block and their use?
36
What are we looking at?
TAP block
37
what are we looking at?
TAP block after injection
38
extra risk with rectus sheath block?
bowel perforation
39
how do you do rectus sheath block?
try to inject in muscle near where the nerve runs, if you go too deep you might perforate bowel
40
What block?
rectus sheath block
41
what block?
rectus sheath block
42
What block and what do we see?
rectus sheath block
43
what block? used for what? what risk?
ilioinguinal/iliohypogastric inguinal hernias peroneal pierced
44
what are we looking at?
ilioinguinal/iliohypogastric block
45
what two blocks for shoulder if you dont want to risk phrenic nerve involvement?
suprascapular and axillary nerve block
46
what is suprascapular block used for?
post shoulder pain, can be used in pacu as rescue block for failed interscalene block
47
name the block and structures
suprascapular
48
what block would you use for ant shoulder pain?
axillary block
49
where is axillary nerve?
in quadrangular space
50
what makes up quadrangular space?
teres minor, medial and lateral heads of triceps muscle
51
name this block
axillary nerve block
52
what are we looking at?
axillary block
53
lateral pec nerve supplies?
sensory to pec major
54
medial pec nerve supplis?
sensory to pec major and pec minor
55
what does long thoracic nerve innervate?
ant serratus muscle
56
what does thoracodorsal nerve innervate?
latissimus dorsi
57
what does Pec 1 block?
medial and lateral pec nerves
58
what does pec2 block?
medial and lateral pec nerves T2-T4 long thoracic nerve
59
is pec 1 or pec 2 better for more extensive surgeries?
pec 2
60
name the block
pec 1 block
61
name this block
pec 2
62
where do you inject for pec 1 block? and what volume?
between pec major and pec minor and 10cc
63
where do you inject for pec 2 block? and what volume?
between pec minor and serratus ant 20ml (maybe also do pec 1 block too on the way out?) 10ml
64
what volume for serratus plane block?
40ml LA