Upper extremity blocks Flashcards

(104 cards)

1
Q

How many approaches are there to block the BP?

A

4 total, 2 above and 2 below the clavicle

How well did you know this?
1
Not at all
2
3
4
5
Perfectly
2
Q

what are the 4 approaches to block the BP?

A

interscalene, and supraclavicular

infraclavicular and axillary

How well did you know this?
1
Not at all
2
3
4
5
Perfectly
3
Q

Indications for interscalene block?

A

shoulder, arm, and proximal forearm

basically shoulder to just below the elbow

How well did you know this?
1
Not at all
2
3
4
5
Perfectly
4
Q

Is it okay to do bilateral interscalene blocks?

A

NO!! risk of bilateral phrenic nerve block and bilateral pneumos

How well did you know this?
1
Not at all
2
3
4
5
Perfectly
5
Q

name a clinical scenario when you should be very careful with an ISB?

A

contralateral pneumothorax

How well did you know this?
1
Not at all
2
3
4
5
Perfectly
6
Q

absolute contraindications for PNB?

A

pt refusal

allergy to local anesthetic

local infection at or near the needle insertion site

How well did you know this?
1
Not at all
2
3
4
5
Perfectly
7
Q

relative contraindications for PNB?

A

uncooperative patient

severe resp compromise (subjective, could still be better than giving opioids for pain control)

coagulopathy

traumatic nerve injry

preexisting neuro deficits

previous surgery that may have distorted nerve anatomy

contralateral pneumothorax

How well did you know this?
1
Not at all
2
3
4
5
Perfectly
8
Q

should you pass needle through actively inflamed or infected tissue?

A

no

How well did you know this?
1
Not at all
2
3
4
5
Perfectly
9
Q

what dermatomes does ISB cover?

A

C5 C6 C7

C8 & T1 poor coverage if at all thus, “ulnar sparing”

How well did you know this?
1
Not at all
2
3
4
5
Perfectly
10
Q

how can you ensure coverage of C8 and T1 in ISB?

A

if you can see the actual rami/nerve roots on US, you can go block them individually which would then provide full arm anesthesia

How well did you know this?
1
Not at all
2
3
4
5
Perfectly
11
Q

This is just to help see ISB coverage

A

Cool right!?

How well did you know this?
1
Not at all
2
3
4
5
Perfectly
12
Q

More visuals to see what ISB will cover

A

word

How well did you know this?
1
Not at all
2
3
4
5
Perfectly
13
Q

At what level of BP is the ISB blocking?

A

Level of roots/trunks

How well did you know this?
1
Not at all
2
3
4
5
Perfectly
14
Q

what other structures are close to BP in the area where ISB is performed?

A

vertebral artery
phrenic nerve

How well did you know this?
1
Not at all
2
3
4
5
Perfectly
15
Q

what forms the post triangle?

A

trapezius, SCM, clavicle

How well did you know this?
1
Not at all
2
3
4
5
Perfectly
16
Q

where is interscalnce groove in relation to surface landmarks?

A

just post. to SCM around C6 vertebral level

How well did you know this?
1
Not at all
2
3
4
5
Perfectly
17
Q

how do you find C6 vertebral level?

A

usually at level of cricoid cartilage

How well did you know this?
1
Not at all
2
3
4
5
Perfectly
18
Q

what structure usually crosses the interscalene groove at the level of the trunks?

A

external jugular vein

How well did you know this?
1
Not at all
2
3
4
5
Perfectly
19
Q

volume for ISB?

A

30-40ml

Can also do 15-20ml low volume technique, but this is prone to fail without US guidance

How well did you know this?
1
Not at all
2
3
4
5
Perfectly
20
Q

what meds for ISB?

A

0.5% bupivicaine with epi

lidocaine / ropivicane are okay too

How well did you know this?
1
Not at all
2
3
4
5
Perfectly
21
Q

pt position for ISB?

A

supine with head turned away

How well did you know this?
1
Not at all
2
3
4
5
Perfectly
22
Q

describe needle placement for nerve stimulator ISB

A

3-4cm above clavicle (about C6 level)

perpendicular to skin (slightly caudal)

BP is usually 1-2cm deep

How well did you know this?
1
Not at all
2
3
4
5
Perfectly
23
Q

what do you want to happen with the nerve stimulator during ISB?

A

muscle twitch at 0.3-.0.5mA @ 0.1ms

pectorals, deltoid, tricpes, biceps, hand or forearm

How well did you know this?
1
Not at all
2
3
4
5
Perfectly
24
Q

how to trouble shoot ISB with nerve stimulator?

A

systematically move needle ant. and post to find BP. dont need to move medial/lateral because the BP runs in that plane.

How well did you know this?
1
Not at all
2
3
4
5
Perfectly
25
If you have twitch at <0.3mA is it okay to inject?
No! always in the nerve if you have a twitch at < 0.3mA
26
Name this block and technique
ISB via nerve stimulator
27
With nerve stimulator ISB illicits local twitch of neck muscles what may be the problem?
needle is in the wrong plane and directly stimulating anterior scalene or SCM
28
if needle is too anterior during nerve stimulator ISB what can happen?
diaphragm twitches (phrenic nerve stim) blood in tubing (carotid a. puncture)
29
what can happen if needle is too post. during nerve stimulator ISB?
hit bone (transverse process or 1st rib) twitch of serratus ant muscle or thoracodorsal n. stimulation accessory nerve stimulation
30
how is needle position / advancement with US vs nerve stimulator different for ISB?
with US, needle is advanced more post to ant. and the US probe itself is in the interscalene groove
31
does nerve stimulator ISB or USG ISB use a longer needle?
US, it uses 80-100mm nerve stimulator only uses 50mm
32
how is pt positioned for USB ISB?
supine, with HOB slightly elevated can also be done in lateral position. head turned away
33
Name this bock and approach
USB ISB
34
name this block
ISB
35
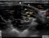
Name this block, and what are the white arrow indicating?
ISB intermediate/superficial cervical plexus
36
What does this image show?
initial supraclavicular probe placement for ISB where BP runs next to (lateral) subclavian artery
37
How do you achieve this view?
Start with US probe in supraclavicular position, then sweep probe cephalicly until you get this view
38
what muscle does needle pass through on USG ISB?
middle scalene muscle
39
is dull pressure or fulness in the neck a normal feeling during USB ISB?
yes
40
is there a risk of partial anesthetizing the BP with ISB?
yes, of course
41
Ideally what should BP look like after LA is deposited all around the plexus under direct visulization?
like an island floating in LA
42
Since you should always use nerve stimulator along with US, how should that be set?
set it at like 0.4 and just go. As long as you never get a twitch you're good.
43
Can you use continuous catheter with ISB?
yes
44
steps for placing perinural ISB cather?
single shot 15-30ml initially to dilate space place catheter dress catheter with dermabond to secure catheter and stop leakage mastesol tegaderm dressing
45
is some LA leaking with ISB catheter normal?
yes
46
pump infusion rate for indwelling inter scalene catheter?
6-10ml/hr
47
how full should a 400ml OnQ pump be?
overfilled to 550ml
48
what should you do for breakthrough pain when you have an inter scalene catheter?
give a bolus and then turn the infusion up. just turning the infusion up will rarely work.
49
what incidental blockage can occur with ISB?
phrenic nerve recurrent laryngeal nerve cervical sympathetic ganglion
50
is there a risk of total spinal anesthesia with an ISb?
yes
51
because of incidental phrenic nerve blockade, when should ISB be avoided?
in pts with respiratory compromise, especially restrictive disease. this is subjective though
52
what happens with recurrent laryngal nerve involvement in ISB?
ipsilateral vocal cord paralysis, and hoarseness
53
what happens with ipsilateral sympathetic cervical ganglion involvement in ISB?
Horners syndrome
54
what are S/S of horners syndrome?
blood shot conjunctiva miosis ptosis facial flushing anhydrosis (no facial sweating)
55
why is it important to educate pt about risk of horners syndrome?
they could think they are having a stroke
56
how long should you apply pressure after inadvertant arterial puncture during PNB?
at least 5min
57
how much does an epi marker increase HR?
>10%
58
What are these symptoms?
LAST
59
why can a total/high spinal occur with ISB?
from LA injection into the cervical neural foramina or dural cuff
60
S/S of total/high spinal?
immediate severe hypotension, bradycardia, resp insuficiency/arrest
61
how to treat high/total spinal?
early recognition is paramount communicate with pt airway and ventilation aggresive hemodynamic support wide open fluids trendelenberg pressors ephedrine and neo might not be enough, may need epi and or dopamine
62
Name this block
supraclavicular approach to BP block with nerve stimulator
63
AKA total spinal of the arm?
supraclavicular approach to BP block
64
Does supraclavicular approach to BP leave any neverves out?
Yes, intercostobrachial nerve
65
what nerves may be missed with ICB and Axillary approach to BP?
medial brachial cutaneous nerve and intercostobrachial nerve
66
how do you block medial brachial cutaneous and intercostobrachial nerves?
superficial skin wheel
67
what two nerves provide cutaneous innervation to the medial upper arm?
medial brachial cutaneous nerve and intercostobrachial nerve
68
when can you have pain issues if the medial upper arm is not blocked?
tourniquet pain
69
indications for supraclavicular approach to BP block?
entire upper extremity distal to shoulder
70
what is the most reliable block for entire upper extremity?
supraclavicular approach to BP
71
what level is the supraclavicular approach to Bp block anesthetizing?
distal trunks / proximal divisions
72
absolute and relative contraindications for supraclavicular block?
same is ISB
73
risks of supraclavicular block?
same as ISB, except it has the highest risk of a pneumo
74
relevant anatomy for supraclavicular block?
clavicle SCM 1st rib and pleural dome subclavian artery
75
Name this block and technique
nerve stimulatr technique for supraclavicular block
76
how should pt be positioned for nerve stimulator technique or US technique of supraclavicular block?
supine, slighty raise HOB to decrease venous structures
77
technique for nerve stimulator method of supraclavicular block?
locate lateral border to SCM clavicular head palpate plexus 2-3cm lateral to SCM place fingers in this groove needle initially inserted AP or plumb bob systematically redirect needle more caudally/posterior until contact made (upper trunk should be encountered first)
78
what needle use with nerve stim method of supraclavicular block?
50mm
79
volume for supraclavicular block?
25-35ml of LA
80
nerve stimulation of upper trunk will cause what?
shoulder twitching
81
nerve stimulation of middle trunk will cause?
bicep tricep or pectoral twitching
82
nerve stimulation of lower trunk will cause?
finger twitching
83
nerve stimulator goal for supraclavicular block?
get lower trunk twitching at 0.3-0.5mA
84
how does US improve safety in supraclavicular block?
can avoid pleura and SCA with needle
85
technique for US supraclavicular block?
probe positioned above calvicle use lateral to medial in plane approach
86
US view in supraclavicular block includes what?
SC artery, BP, and 1st rib
87
what needle to use for USG supracalvicular block?
50-100mm Eddie uses the same 80mm needle for every block
88
name this block and technique
US guided supraclavicular block
89
where is LA injected for USG supraclavicular block?
both above and below plexus. ensure good LA coverage
90
what should you be mindful of around partially anesthetized nerves?
needle movements
91
can continuous catheter be placed for supraclavicular block?
yes
92
how many needle approaches are used in USG supraclavicular block?
2
93
Name this block
supraclavicular block
94
name this block
infraclavicular approach to BP block
95
indications for infraclavicular block?
basically the same supraclavicular any procedure of the mid arm, elbow, forearm, or hand
96
what is infraclavicular block better for than supraclavicular block?
continuous catheter. the catheter will anchor in the Pec
97
what level of BP is infraclavicular block?
cord level
98
contraindications to infraclavicular block?
same as ISB and SCB, but lower risk of phrenic nerve involvement
99
relevant anatomical relation ships of the BP cords?
below the clavicle they wrap the axillary artery lie deep to pectoral muscles inferior and slightly medial to coracoid process
100
how is patient positioned for infraclavicular block?
supine, head turned away
101
how do you find the right spot to needle insertion in infraclavicular block?
ID coracoid process, and medial clavicular head, and draw a line between them. insert needle 3cm caudal to the midpoint of your line.
102
how is needle inserted during infralclavicular block?
45 degree angle to the skin, parallel with landmark line
103
which muscles twitches are not accepted during infrclavicular block and why?
bicep and deltoid twitches because axillary and MC nerves can leave the sheath early
104
Name this block and technique
infraclavicular block with nerve stimulation