
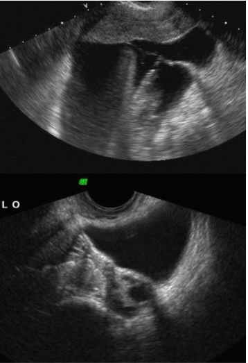
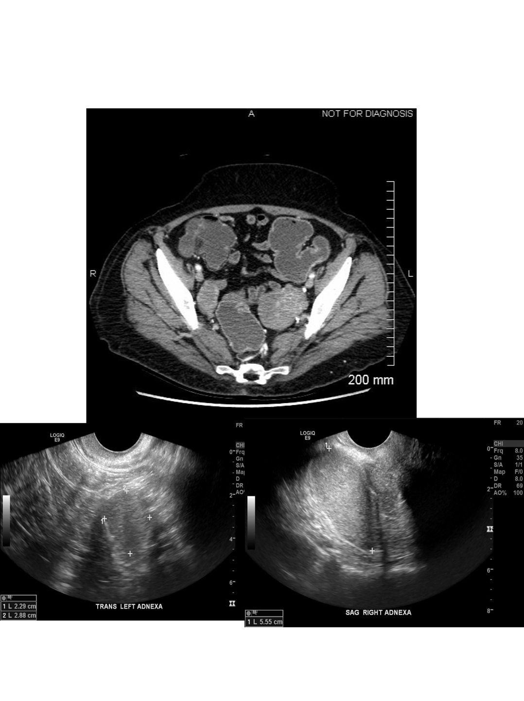
twisted vascular pedicle
image shows a twisted vascular pedicle extending into an enlarged and hypoechoic ovary. a twisted vascular pedicle is detected in about 88% of torsion cases. It is considered the most specific and definitive sign of torsion.
(board vitals)


appearance of teratomas on in and out of phase imaging
ovarian teratomas are characteristically bright on IP and OOP imaging. Aka: they have MACROscopic fat and NOT microscopic fat. And because they don’t have microscopic fat, they won’t drop signal of OOP.

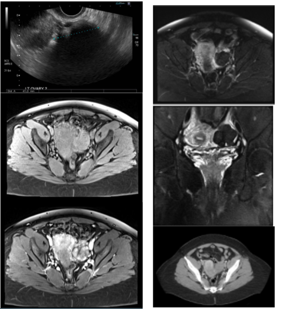
27 yoF with history of prior pelvic surgery

peritoneal inclusion cyst
occur almost exclusively in premenopausal women with active ovaries, pelvic adhesions, and impaired absorption of peritoneal fluid which leads to formatio of fluid filled cysts tha conform to the shape of the peritoneal cavity
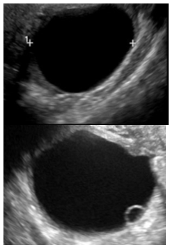
Next step?

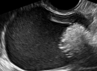
nothing. this is a simple follicular cyst with a small peripheral follicle (cumulus oophorus)
right ovarian mass shown in the image.
most common complication?

ovarian torsion
dermoid is shown in the picture
most likely metastasis to the ovary?

gastric cancer (most common!)
shown in the CT images are “Krukenberg” tumors - characterized by mucin sectreting “signet ring” cells
other cancers that met to ovaries are breast, lung, and contralateral ovarian cancer

brenner tumors
5th decade of life, small solid ovarian mass.
sometimes have internal calcs

fibrothecoma
T2 dark = hypercellular
US shadowing
Rotterdam criteria for PCOS
current imaging criteria defines the presence of polycystic ovaries

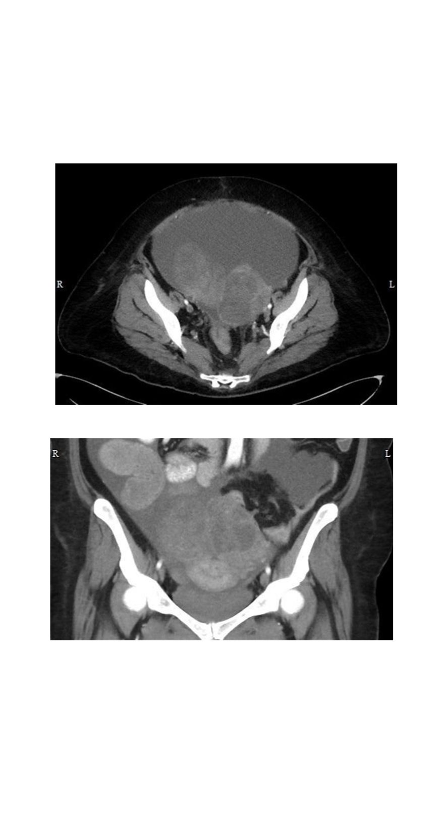
ovarian torsion
The first image demonstrates a normal right ovary. The left ovary is enlarged, midline, does not enhance normally, and demonstrates regions of restricted diffusion, compatible with ovarian torsion. The patient underwent removal of the nonviable left ovary.
most sensitive and specifics signs for ovarian torsion
sensitive sign: enlarged ovary (typically > 25mL)
Specific sign: whirpool sign (twisting of the pedicle)
Additional findings include: