
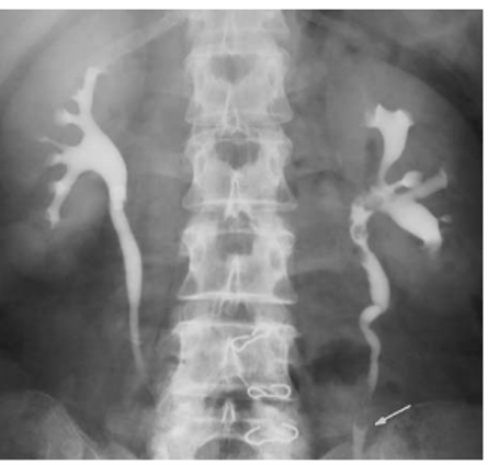
ureteral pseudodiverticulosis
multiple ureteral outpouchings that are smaller than 5 mm
most common location of ureteral pseudodiverticulosis
bilateral, upper 2/3 of ureter

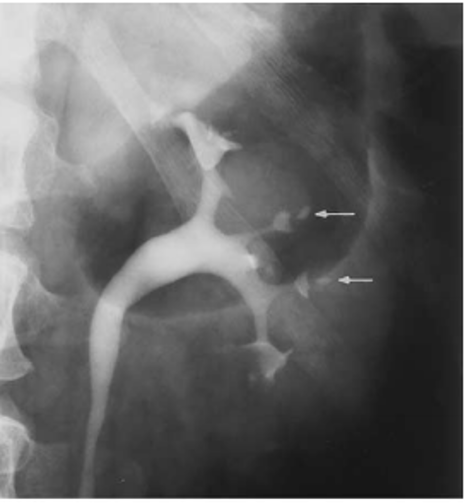
focal urethritis cystica
multiple small 2-5 mm smooth-walled rounded lucent filling defects projecting into the lumen
condition is seen in diabetics with recurrent urinary tract infections. As such, it is most frequently seen in older patients and is more common in women.
condition is seen in diabetics with recurrent urinary tract infections. As such, it is most frequently seen in older patients and is more common in women.
ureteritis cystica






medullary sponge kidney

neurogenic bladder

papillary necrosis

papillary necrosis

renal sinus cysts





TCC in the renal sinus

multifocal TCC

