NHEJ?
Doppelstrangbrüche G1-Phase

HR (Homologe Rekombination)?
S-Phase
G2-Phase
Hinter Replikationsgabel

Die Wahrnehmung ist ein konstruktiver Prozess
weil
die bewusst verarbeitete Information 30 bis 50 bit/s beträgt
+/+
HWZ IgG-AK?
3 Wochen
Welche AS im Kollagen muss hydroxyliert werden?
Prolin
Nervenleitgeschwindigkeit?
Elektroneurographie (ENG)
Knochenabbau?
NTX
CTX
TRAP

Schenkelhalsfrakturen?


Autoinflammatorisch?
Gicht
Pseudogicht
Mittelmeerfieber
Therapie bei Fraktur BWK 6/7, Distorsion + Kyphose 23° ohne Symotome?
Dorsale Dusion (Versteifungsoperation)

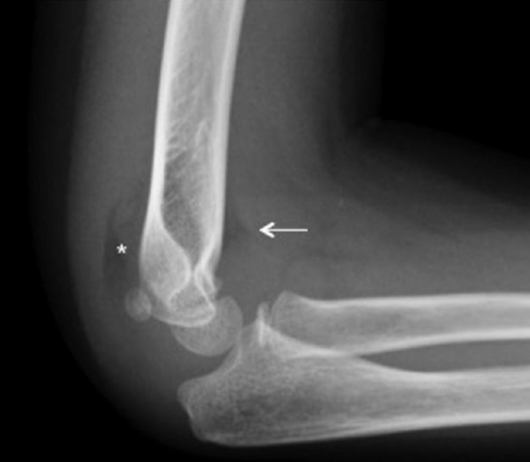
Fat-pad-sign = indirektes Frakturzeichen
Antihypertensiva?
Alpa-methyldopa
Reserpin
Wozu führt erhöhtes ROS?
1) Inaktivierung NO
2) Hemmung Aconitase
3) Hemmung Ribonukleotidreduktase #
- > NICHT Insulin
Veränderung Presbyakusis?
Sjörgen Syndrom?
Xerophtalmie (Trockenes Auge)
Xerostomie (Mundtrockenheit)
positive SS-A Antikörper
Positive Lippenbiopsie

Osteopetrose?
!Verminderte! Osteoklastenaktivität

Klumpfuß? (Pes equinovarus)

-> Bei Fußkitzelreiz KEINE normale Stellung
-> Die Achsen von Talus und Kalkaneus stehen parallel
-> Bilateral, Therapie mittels Gips 6 Wochen, KEIN Hallux Valgus
-> Häufigste Fehlstellung des Fußes
Rezeptor der am Osteoklasten an Osteopontin bindet
Integrin

Reparaturmechanismen die in G1-Phase greifen gehören zu ____.
Defekt im _____ führt zu MIN.
Reparaturmechanismen die in G1-Phase greifen gehören zu Homolougous End Joining.
Defekt im MMR führt zu MIN.
Was hilft nicht bei infiltrierendem Tumor?
Defekt von Matrix-Metallproteasen ist schlecht!
-> Metalloproteasen: Fähigkeit zum Abbau extrazellulärer Matrix
Kontraindiziert in SS?
Tetrazyklin
Metronidazol
Chinolone
Tet fährt mit der Metro ins Kino
Rifampicin
Aminoglykoside
Cotrimoxazol
Chloramphenicol
-> Amis riechen Chlor & Kot
Impfung in der SS vermeiden?
Röteln
Masern
Cholera
Japan-Enzephalitis
Gelbfieber
VZV
Fetoplazentare Einheit Hauptorodukt?
Östriol
Perinatale Infektion?
GBS
Candida
HSV
Salmonellen