A patient presents with reduced facial expression, slower than normal movements, slower than normal walking, and a resting tremor. This disorder can be directly linked to:
Loss of dopaminergic input to the neostriatum
Degeneration of neurons in the substantia nigra pars reticulata
Degeneration of the subthalamic nucleus
Loss of inhibitory input from the striatum to the globus pallidus
Loss of dopaminergic input to the neostriatum
A patient suffered a vascular accident. Upon scratching the plantar surface of her foot, the physician observed that the great toe dorsiflexed, and the remainder of her toes flared. The previous finding could be an idication of
An UMN lesion
A LMN lesion
A peripheral nerve lesion
An ipsilateral dorsal column lesion
An UMN lesion
All of the following have connections with the basal ganglia except:
Brainstem
Cortex
Spinal cord
Thalamus
Spinal cord
Anatomically, the subthalamic nucleus is part of the _______
diencephalon
mesencephalon
mylencephalon
telencephalon
diencephalon
During the “terminal stance” phase of the gait cycle, the heel starts to lift off the ground. Which two muscles lift the heel from the ground in this phase of the gait cycle?
Extensor digitorum
Gastrocnemius
Soleus
Tibialis anterior
NOT gastrocnemius
NOT tibialis anterior
Functionally, the globus pallidus _______ and the substantia nigra ______ act together.
externus; pars compacta
externus; pars reticulata
internus; pars compacta
internus; pars reticulata
Internus; pars reticulata
Functionally, which of the following structures are part of the basal ganglia? (select all that apply)
Neostriatum
Paleostriatum
Amygdala
Substantia nigra pars reticulata
Neostriatum
Paleostriatum
Substantia nigra pars reticulata
In a horizontal brain section, what is the correct order of structures from medial to lateral?
thalamus - internal capsule - putamen - globus pallidus
putamen - globus pallidus - internal capsule - thalamus
thalamus - internal capsule - globus pallidus - putamen
putamen - internal capsule - head of caudate -thalamus
thalamus - internal capsule - globus pallidus - putamen
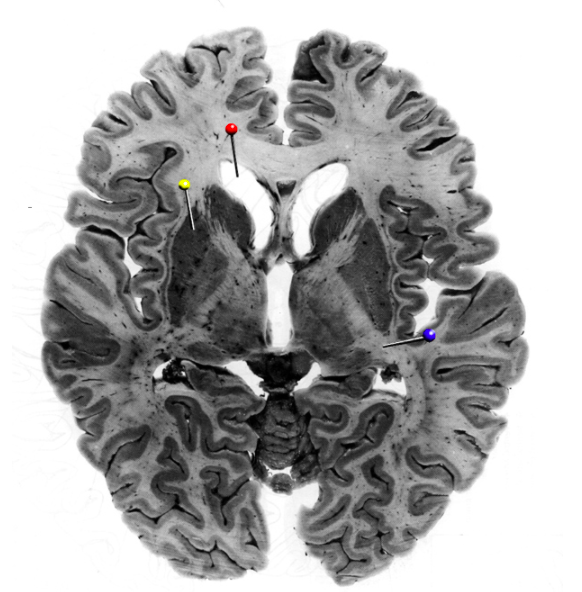
In this horizontal brain slice, the yellow pin is in
the thalamus
the caudate nucleus
the putamen
the globus pallidus

putamen
Initiation of the direct pathway causes excitation of the cortex via the:
caudate
globus pallidus
putamen
thalamus
thalamus
Nigrostriatal fibres project to:
The caudate nucleus and globus pallidus
The caudate nucleus and lentiform nucleus
The putamen and caudate nucleus
The putamen and globus pallidus
The putamen and caudate nucleus
The indirect pathway involves an ______ of ______ of the globus pallidus externus from the striatum.
increase; disinhibition
increase; inhibition
decrease; disinhibition
decrease; inhibition
increase, inhibition
The lentiform nucleus is directly supplied via the:
Anterior cerebral
Internal carotid
Middle cerebral
Posterior cerebral
middle cerebral
The main function of the basal ganglia in relation to movement is:
initiation and control
reflex control
synergy
proprioception
initiation and control
The nuclei that form the corpus striatum are derived from the:
diencephalon
mesencephalon
myelencephalon
telencephalon
telencephalon
Which nucleus is not part of the basal ganglia?
Caudate
Globus pallidus
Putamen
Thalamus
thalamus
A person’s gait pattern can be affected by their: (select all that apply)
age
footwear
height
weight
age
footwear
height
weight
Which of the following is considered a hypokinetic movement disorder?
Huntington’s disease
Parkinsons
Hemiballismus
Chorea
Parkinsons
Which of the following is true about muscle spindles and golgi tendon organs?
Are osmoreceptors
Transmit proprioceptive information
Transmit vibration information
Are chemoreceptors
Transmit proprioceptive information
Which of the following is true about the caudate nucleus and the putamen?
Together are classified as the lentiform nucleus
Together are classified as the neostriatum
act as the efferent nuclei of the basal ganglia
neurons projecting from these structures are always excitatory
Together are classified as the neostriatum
Which of the following is true regarding the golgi tendon organ?
Lies in parallel to the muscle fibres
Give rise to 1b afferent fibres
Detect changes in muscle length
Is a chemoreceptor
Give rise to 1b afferent fibres
Which of the following is true regarding the inverse myotactic stretch reflex?
there is indirect excitation of the agonist muscle
there is indirect inhibition of the agonist muscle
there is direct inhibition of the agonist muscle
there is direct excitation of the antagonist muscle
there is indirect inhibition of the agonist muscle
Which of the following is true regarding the myotactic stretch reflex?
there is indirect excitation of the agonist muscle
there is direct inhibition of the antagonist muscle
there is direct inhibition of the agonist muscle
there is indirect inhibition of the antagonist muscle
there is indirect inhibition of the antagonist muscle
Which one of the following muscle groups limits pelvic drop towards the swing side during walking?
Abductors of the stance side
Abductors of the swing side
Adductors of the stance side
Adductors of the swing side
NOT Abductors of the swing side