Mitkä ovat eri akne tyypit?
Komedoakne
Tavallinen akne
Kystinen akne
Mikä ihomuutos?

Komedoakne
Mikä ihomuutos?

Komedoakne (avoimia komedoja)
Mikä ihomuutos?

Komedoakne (suljetut komedot)
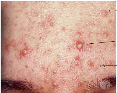
Nimeä muutokset? Mikä tauti?

Tavallinen akne
Ylin nuoli on papula
Keskimmäinen pusteli
Alin komedo
Mikä tauti ja miten sitä hoidetaan?

Kystinen akne. Arpeuttaa herkästi joten nopea hoito tärkeää. Aloita tetrasykliini ja lähete ihotautilääkärille
Mikä tauti ja miten hoidat?

Kystinen akne. Arpeuttaa herkästi joten nopea hoito tärkeää. Aloita tetrasykliini ja lähete ihotautilääkärille
Mikä tauti ja miten hoidat?

Kystinen akne. Arpeuttaa herkästi joten nopea hoito tärkeää. Aloita tetrasykliini ja lähete ihotautilääkärille
Tarvitseeko akne lisätutkimuksia? Jos tarvitsee, niin mitä?
Hormonitestit, jos hyperandrogenismin viitteitä eli hirsutismia, kuukautiskierron häiriöitä, hedelmättömyyttä tai nuorena alkanut akne
S-testo ja S-SHBG (PCOS tai synnynnäinen lisämunuaisen hyperplasia?)
Ulkoiset syyt aknea pahentamassa?
Hygienia-ja kosmetiikkatuotteet (rasvaiset voiteet)
Kuuma ympäristö
Hikinen työ
Sisäiset syyt aknea pahentamassa?
Kortikosteroidit, anaboliset steroidit
Testosteroni
Litium
Jodi
Epilepsialääkkeet
Lievän komedoaknen hoito?
Säännöllinen ihon puhdistaminen
Differin geeli tai Avitcid voide
Lievän tavallisen aknen hoito?
Ihon säännöllinen puhdistaminen
Epiduo, Clindoxyl tai Acnatac paikallishoidot
Miten hoitoa voi tehostaa keskivaikeassa tavallisessa aknessa?
Paikallishoitoon yhdistetään tetrasykliini per os
Vaikean aknen hoito?
Erikoislääkärin toimesta isotretinoiini
Aknen erotusdiagnoosit?
Follikuliitti (parta-alueen yksittäiset tai ylävartalon laaja-alaiset märkänäppylät)
Perioraalidermatiitti (suun, silmäluomien ja sierainten ympäristö, ei komedoja)
Rosacea (taustapunoitus, ei komedoja)
Hidradenitis suppurativa
Mikä sairaus?

Selän kystinen akne. Etenkin nuorilla miehillä akne on usein voimakasoireisena myös selän yläosassa. Märkäonteloinen tautimuoto edellyttää yleensä sisäiseen isotretinoiinikuuriin turvautumista. Sen teratogeenisyys on johtanut tiukkaan hoidon turvallisuuskontrolliin.
Mikä sairaus?

Kystinen akne rintakehällä. Kystisessä aknessa ilmaantuu kipeitä ihonsisäisiä pahkuroita pinnallisempien muutosten sekaan. Potilas tarvitsee usein pitkän isotretinoiinilääkityksen ja joskus peroraalisen glukokortikoidin ja mikrobilääkkeen siihen yhdistettynä. Aloita tetrasykliini 0.5 g/vrk ja lähetä potilas spesialistin hoitoon.
Aknen kasvojenhoito-ohjeet?
Iho pestään aamuin illoin vedellä, saippualla tai antibakteerisilla pesunesteillä
Lääkevoide levitetään yleensä iltaisin kaikille niille alueille, joilla aknea on esiintynyt
Hoidon teho tulee hitaasti ja voi tulla ärsytysreaktioita
Tyypillinen ruusufinni-potilas?
30-50v nainen, perinnöllinen ja monitekijäinen
Ruusufinnnin tyypillinen ensioire?
Äkillisesti ilmaantuva läiskäinen punoitus kasvoilla (flush) on yleinen ruusufinnin ensioire. Se kestää yleensä pidempään kuin fysiologinen punastuminen.
Ruusufinnin neljä alatyyppiä?
Erytematoteleangiektaattinen: kasvojen punoittavat lehahdukset, laajentuneet verisuonet, teleangiektasiat ja punoitus tyypillisiä
Papulopustulainen: märkänäppylät ja papulat kasvoilla, painottuu kasvojen keskiosiin
Rinofyyma: talirauhasten hyperplasia nenän alueella
Silmärosacea: ruusufinnin aiheuttama krooninen blefariitti ja muut silmäoireet
Ruusufinnin erotusdg?
Akne : esiintyy usein nuoremmilla, ja siihen liittyy komedoja
Perioraalidermatiitti: esiintyy suun ympäristössä, ei teleangiektasioita
Atooppinen ekseema: usein silmäluomien alueella, atooppinen taipumus
Seborrooinen ekseema: hilseilee, nähtävissä myös esim. hiuspohjassa
Allerginen kontaktiekseema: voi olla näppyläinen, kutisee usein
Systeemiseen punahukkaan viittaavaa perhosihottumaa voi joskus olla vaikea erottaa ruusufinnistä: yleisoireita ja positiivinen S-ANA.
Erytematoteleangiektaattinen ruusufinnin hoito?
Punastumiseen brimonidiinigeeli tai beetasalpaaja