Ihokeliakian tyypillinen kliininen kuva?
Voimakas polttava kutina Papulat, läiskät ja pienet vesikkelit, jotka raavitaan nopeasti rikki Raapimajälkiä ja rupia
Ihokeliakian tyyppipaikat?
Kyynärpäät, polvet, hartiat, ristiselkä-pakarat ja päänahka
Ovatko suolioireet tyypillisiä ihokeliakissa?
Vain noin 10%:lla on suolioireita
Ihokeliakin diagnoosi?
Ihotautilääkäri tekee, mutta normaalit keliakin verikokeet voi ottaa ja lisäksi gastroskopia sekä biopsia tulee jatkoon Sukuanamneesi
Ihokeliakin hoito?
Gluteeniton ruokavalio Dapsoni 25-50-100 mg/vrk on tehokas kutinaan Paikalliset kortikosteroidivoiteet
Mikä tauti pemfigoidi on?
Ikääntyneiden autoimmunitauti (ihon tyvikalvoa vastaan vasta-aineita), jossa iholle nousee vesikelloja
Pemfigoidin tyypillinen kliininen kuva?
Pääosin yli 60-vuotiaiden tauti Punoittavalla pohjalla vartalolla tai raajojen proksimaaliosissa suuria rakkuloita, melko vahvaseinäisiä, kirkkaita ja kutisevia Yleensä limakalvot oireettomat Ei vaikuta yleiskuntoon
Millä oireella pemfigoidi voi joskus alkaa?
Yleistyneellä kutinalla
Voiko pemfigoidi tulla limakalvoille?
Usein ne ovat oireettomat, mutta myös limakalvoille rajoittuvaa tautia esiintyy.
Pemfigoidin diagnoosi?
Pemfigoidi-vasta-aineet 90%:lla Biopsia Ihotautilääkärille epäilyssä lähete
Pemfigoidin hoito?
Prednisolon Tetrasykliini Dapsoni/metotreksaatti Paikallinen glukokortikoidi
Mikä muutos?

Dermatitis herpetiformis polvissa. Dermatitis herpetiformis, ihokeliakia, tyyppipaikallaan polvien seudussa. Punoittavalle pohjalle tulee selviä kirkkaita rakkuloita. Potilas raapii ne pian rikki voimakkaan kutinan vuoksi. Oire reagoi vuorokaudessa dapsoniin. Suoliston tilanne on syytä selvittää ja nykyisin kaikki DH-potilaat pyritään saamaan keliakiadieetille. Tavallista koepalaa ei kannata juuri ottaa, sen sijaan immunohistologinen tutkimus on diagnostinen.
Mikä muutos?

Ihokeliakia kyynärpäässä. Ihokeliakia: punoittavia läiskiä ja rakkuloita kyynärpäässä.
Mikä muutos?

Ihokeliakia polvissa. Ihokeliakia: monimuotoisia ihomuutoksia polvissa. Rakkulat menevät nopeasti rikki ja jättävät rupikatteisen leesion.
Mikä muutos?

Kyynärpään dermatitis herpetiformis. Dermatitis herpetiformis, ihokeliakia, sijaitsee tavallisimmin kyynärpäissä, polvissa tai ristiselkä-pakaraseudussa. Kirkkaat, voimakkaasti kutisevat rakkulat ovat ominaisia. Diagnoosi varmistuu kuitenkin parhaiten oireettoman ihon immunohistologiasta.
Mikä muutos?

Ihokeliakia pakaroissa. Ihokeliakiaan liittyvä ihottuma pakaroissa. Muita mielipaikkoja ovat hartiat, polvet ja kyynärpäät. Rakkulat ovat hauraita ja raavitaan heti rikki eikä niitä tässäkään erotu ihorikkojen ja raapimajälkien seasta. Immunologista värjäystä varten otetaan näytepala terveeltä iholta, ei ihottumasta. Diagnoosi varmistetaan veren transglutaminaasivasta-ainemäärityksellä ja ohutsuolibiopsialla.
Mitä tauti?

Pemfigoidi ylävartalolla. Pemfigoidi kuuluu immunologisiin rakkulatauteihin. Se on tavallisin yli 70-vuotiailla. Rakkulointia voi edeltää kova kutina ja iholla on myös punoittavia laikkuja ja rengasleesioita. Rakkulat ovat kookkaita ja melko vaikeasti rikkoutuvia. Sisällä on seröösiä nestettä. Suun limakalvoille rakkulointi leviää harvoin. Diagnoosi varmistetaan ihokoepalan immunofluoresenssitutkimuksella.
Mikä tauti?

Pemfigoidi. Pemfigoidi, krooninen, autoimmuunimekanismilla syntynyt rakkulatauti. Rakkulat ovat vaihtelevan kokoisia, melko lujia, subepidermaalisia. Tämä on vanhusten tauti. Ohjaa potilas dermatologin hoitoon.
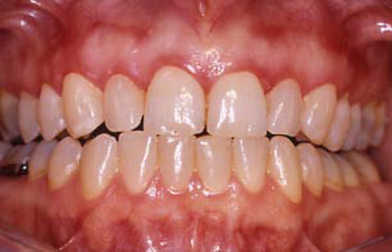
Mikä muutos?

Limakalvopemfigoidin suumanifestaatio. Tavallisin hyvänlaatuisen limakalvopemfigoidin kliininen ilmenemismuoto suussa on ikenen punoitus ja ulseroituminen, ns. deskvamatiivinen gingiviitti.