Amigdalite Flashcards

(21 cards)

1
Q

Definição de amigdalite:

A
How well did you know this?
1
Not at all
2
3
4
5
Perfectly
2
Q

Agentes mais comuns da amigdalite:

A
How well did you know this?
1
Not at all
2
3
4
5
Perfectly
3
Q

Principais agentes bacterianos na amigdalite:

A

Strepto beta hemolítico do grupo A.

How well did you know this?
1
Not at all
2
3
4
5
Perfectly
4
Q

Quadro clínico da amigdalite:

A
How well did you know this?
1
Not at all
2
3
4
5
Perfectly
5
Q

Exames para Dx da amigdalite:

A
How well did you know this?
1
Not at all
2
3
4
5
Perfectly
6
Q

Motivos de tratar a amigdalite:

A

Obs: não previne glomerulonefrite pós Streptococcica.

How well did you know this?
1
Not at all
2
3
4
5
Perfectly
7
Q

ATB de escolha para amigdalite:

A
How well did you know this?
1
Not at all
2
3
4
5
Perfectly
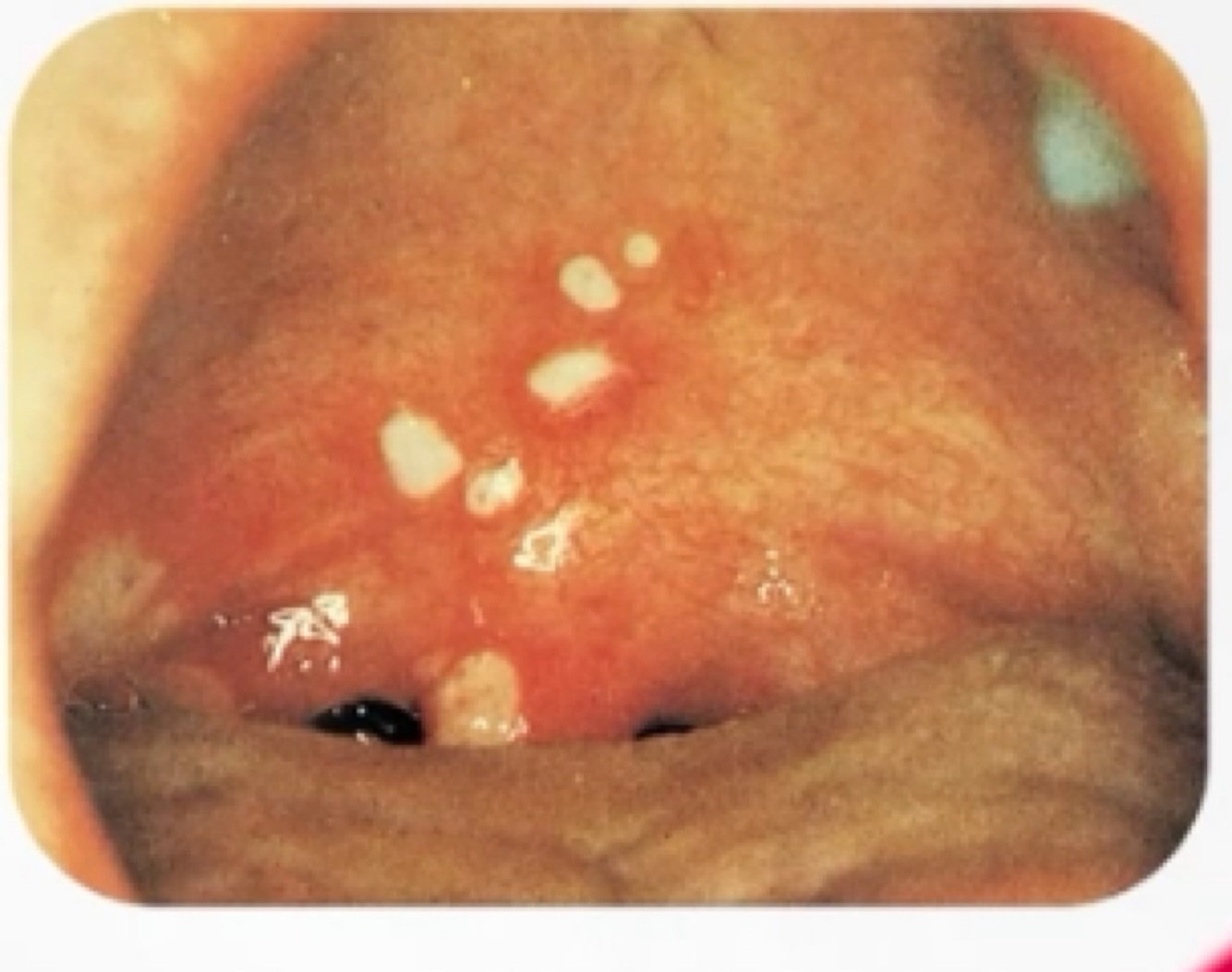
8
Q

Dx:

A
How well did you know this?
1
Not at all
2
3
4
5
Perfectly
9
Q

Dx:

A

Dx com anti-VCA.

How well did you know this?
1
Not at all
2
3
4
5
Perfectly
10
Q

Critérios de Centor:

A
How well did you know this?
1
Not at all
2
3
4
5
Perfectly
11
Q

Exames Dx da faringoamigdalite pós estreptocócica:

A
How well did you know this?
1
Not at all
2
3
4
5
Perfectly
12
Q

Tto da fatingite estreptocócica:

A
How well did you know this?
1
Not at all
2
3
4
5
Perfectly
13
Q

Indicações relativas da amigdalectomia:

A
How well did you know this?
1
Not at all
2
3
4
5
Perfectly
14
Q

Características da difteria causando amigdalite:

A
How well did you know this?
1
Not at all
2
3
4
5
Perfectly
15
Q

Tto da difteria:

A
How well did you know this?
1
Not at all
2
3
4
5
Perfectly
16
Q

Características e Tto da Angina de Plaunt Vincent:

17
Q

Qual a principal causa de febre periódica na infância e o seu tratamento?

19
Q

Características da fasceíte necrotizante cervical:

20
Q

Tto da faringite streptocócica:

21
Q

Resumo da faringoamigdalite estreptocócica: