TCE Flashcards

(34 cards)

1
Q

Epidemiologia do TCE em crianças:

A
How well did you know this?
1
Not at all
2
3
4
5
Perfectly
2
Q

Tipo de fratura a seguir:

A

Linear.

How well did you know this?
1
Not at all
2
3
4
5
Perfectly
3
Q

Qual o tipo de fratura a seguir?

A

Aberta.

As bolhas de ar indicam pneumoencéfalo.

How well did you know this?
1
Not at all
2
3
4
5
Perfectly
4
Q

Tipo de fratura a seguir:

A
How well did you know this?
1
Not at all
2
3
4
5
Perfectly
5
Q

Sinal a seguir:

A

Olhos de guaxinim.

How well did you know this?
1
Not at all
2
3
4
5
Perfectly
6
Q

Sinal de Battle:

A

Não se deve colocar sonda quando houver suspeita de trauma de base de crânio.

How well did you know this?
1
Not at all
2
3
4
5
Perfectly
7
Q

Dx:

A

Fratura de base de crânio.

How well did you know this?
1
Not at all
2
3
4
5
Perfectly
8
Q

Qual a teoria a seguir?

A

Teoria de Monro Kelly.

How well did you know this?
1
Not at all
2
3
4
5
Perfectly
9
Q

Qual o quadro clínico da hipertensão intracraniana grave? (Tríade de Cushing)

A
How well did you know this?
1
Not at all
2
3
4
5
Perfectly
10
Q

Quadro clínico da herniação do uncus:

A
How well did you know this?
1
Not at all
2
3
4
5
Perfectly
11
Q

Significado de herniação:

A

Passagem das estruturas do encéfalo pelo forame magno.

How well did you know this?
1
Not at all
2
3
4
5
Perfectly
12
Q

Tipos de lesões focais no TCE:

A
How well did you know this?
1
Not at all
2
3
4
5
Perfectly
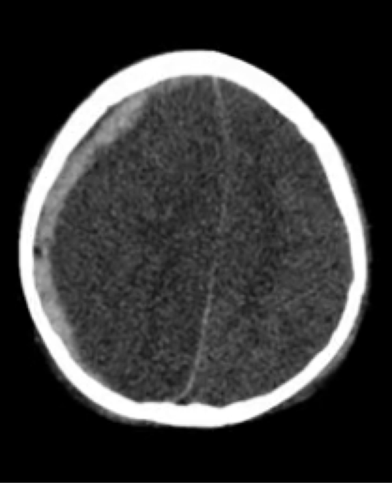
13
Q

Características do hematoma epidural:

A
How well did you know this?
1
Not at all
2
3
4
5
Perfectly
14
Q

Dx a seguir:

A

Hematoma epidural.

How well did you know this?
1
Not at all
2
3
4
5
Perfectly
15
Q

Características do hematoma subdural:

A
How well did you know this?
1
Not at all
2
3
4
5
Perfectly
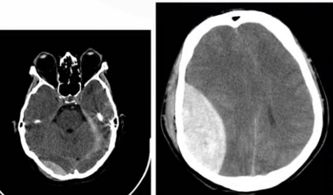
16
Q

Dx a seguir:

A

Hematoma subdural.

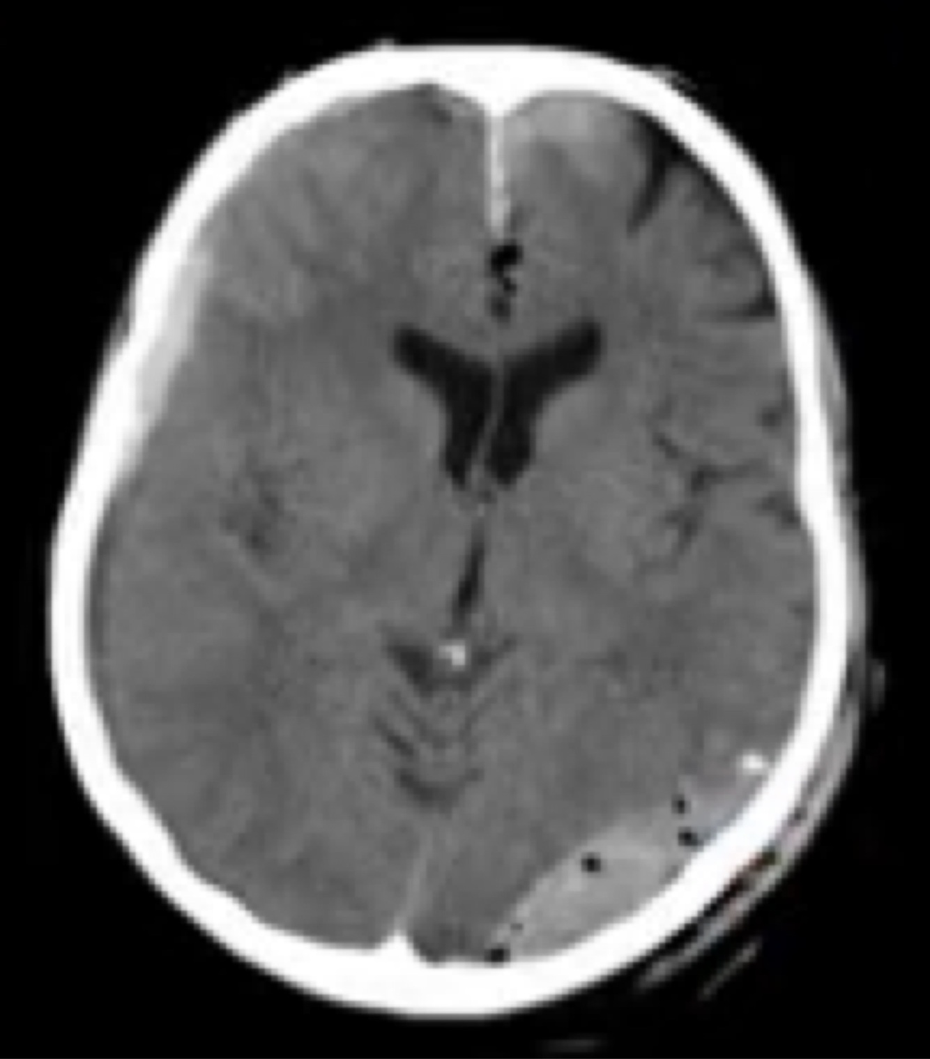
17
Q

Qual o Dx a seguir?

A

Lesão intraparenquimatosa.

18
Q

Como são produzidas as lesões cerebrais difusas?

19
Q

Definição de concussão cerebral:

20
Q

Características da lesão axonal difusa:

21
Q

O quê investigar inicialmente frente ao TCE?

22
Q

Escala de coma de Glasgow, como calcular?

23
Q

Como classificar o TCE em leve, moderado ou grave?

24
Q

Quando fazer a TC de crânio no TCE em menores de 2 anos?

25
Quando fazer a TC de crânio no TCE em maiores de 2 anos?
26
TCE moderado a grave é tratado em UTI?
Sim.
27
Prevenção de lesão secundária no TCE:
28
Tto da HIC clínico:
29
Indicações de neurocirurgia:
30
Glasgow para lactentes, pontuações:
31
Fatores de alto risco e moderado risco para crianças menores de 2 anos com TCE:
32
Qual o tempo de observação no TCE?
33
Quando pedir TC de crânio em pacientes menores e maiores de dois anos?
34
Tipos de herniação: