anatomy Flashcards

(56 cards)

1
Q

identify

A

A right atrium
B left atrium
C aortic knuckle

How well did you know this?
1
Not at all
2
3
4
5
Perfectly
2
Q

what does bundle of HIS split into

A

L and R bundle branches either side of interventricular septum

How well did you know this?
1
Not at all
2
3
4
5
Perfectly
3
Q

what 3 things make up cardiac plexus

A

vagus
sympathetic
general visceral afferents

How well did you know this?
1
Not at all
2
3
4
5
Perfectly
4
Q

where does cardiac plexus go into heart

A

SAN

How well did you know this?
1
Not at all
2
3
4
5
Perfectly
5
Q

which symp nerves in cardiac plexus

A

T1-T5

How well did you know this?
1
Not at all
2
3
4
5
Perfectly
6
Q

what do GVA nerves travel with

A

sympathetic nerves

How well did you know this?
1
Not at all
2
3
4
5
Perfectly
7
Q

where is cardiac pain perceived

A

T1-T5 dermatomes more or less

How well did you know this?
1
Not at all
2
3
4
5
Perfectly
8
Q

Why is LCA stenosis less serious in R dominant heart

A

because interventricular septum gets blood from both R AND L coronary arteries

How well did you know this?
1
Not at all
2
3
4
5
Perfectly
9
Q

where does Inter ventric septum get blood in L dominat heart

A

PDA only which is branch of L circumflex

How well did you know this?
1
Not at all
2
3
4
5
Perfectly
10
Q

2 signs of bundle branch block

A

prolonged QRS complex
loss of ventricular synchrony

How well did you know this?
1
Not at all
2
3
4
5
Perfectly
11
Q

how to identify LAD on angiogram

A

goes towards apex

How well did you know this?
1
Not at all
2
3
4
5
Perfectly
12
Q

3 most common regions of CA stenosis

A

top of LAD
top of L circ
Top of R CA

How well did you know this?
1
Not at all
2
3
4
5
Perfectly
13
Q

what is angioplasty

A

balloon catheter + stent

How well did you know this?
1
Not at all
2
3
4
5
Perfectly
14
Q

which artery used commonly for coronary bypass

A

internal thoracic

How well did you know this?
1
Not at all
2
3
4
5
Perfectly
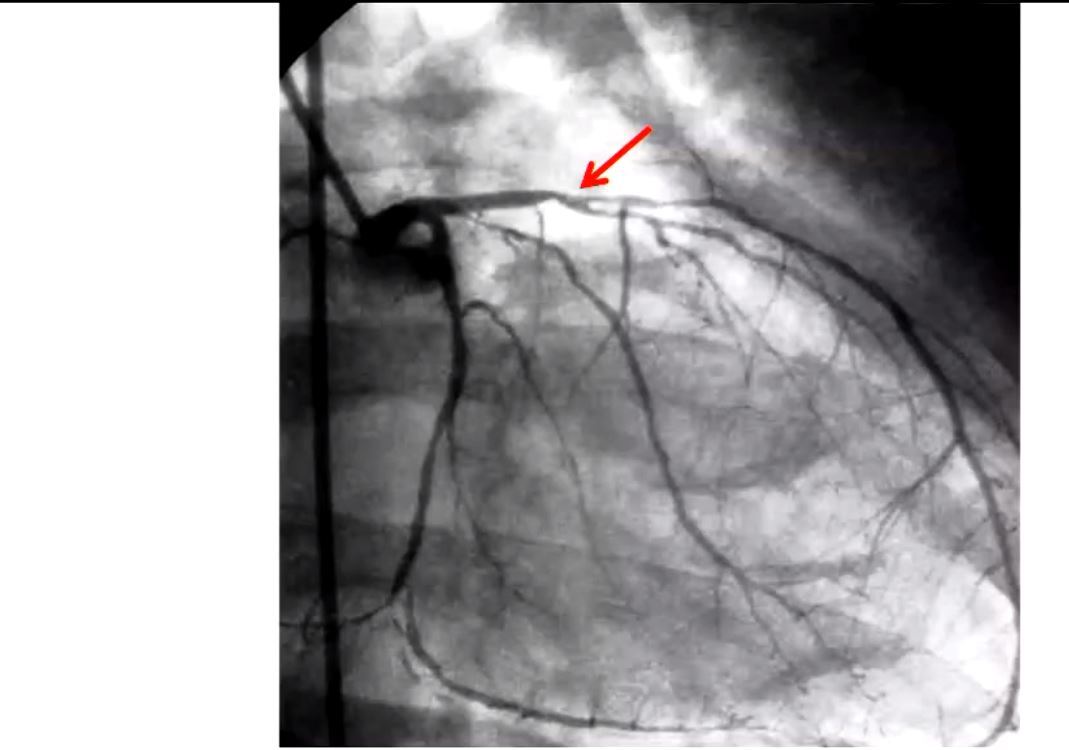
15
Q

which CA is occluded

A

LAD

How well did you know this?
1
Not at all
2
3
4
5
Perfectly
16
Q

which are systolic murmers

A

mitral regurgitation and aortic stenosis

How well did you know this?
1
Not at all
2
3
4
5
Perfectly
17
Q

which are diastolic murmurs

A

mitral stenosis and aortic regurgitation

How well did you know this?
1
Not at all
2
3
4
5
Perfectly
18
Q

how can you see LA enlargement on chest xray

A

doubledensity

How well did you know this?
1
Not at all
2
3
4
5
Perfectly
19
Q

what do GVA transmit

A

chemical and bp, pain

How well did you know this?
1
Not at all
2
3
4
5
Perfectly
20
Q

Branches of LCA

A

LAD (anterior interventricular) and circumflex

How well did you know this?
1
Not at all
2
3
4
5
Perfectly
21
Q

Branches of RCA

A

marginal and posterior interventricular

How well did you know this?
1
Not at all
2
3
4
5
Perfectly
22
Q

circumflex supplies

A

l atrium
side and back of l ventricle

How well did you know this?
1
Not at all
2
3
4
5
Perfectly
23
Q

LAD supplies

A

front and bottom of l ventricle
front of septum

24
Q

RCA supplies

A

r atrium
r ventricle
bottom of both ventricles
back of septum

25
40/50% MI in
LAD
26
septal branches of LAD supply
AVN
27
SAN suplied by
RCA
28
AVN aupplied by
both LAD and RCA
29
inferior wall infarction
RCA
30
posterior infarction coronary artery
RCA
31
anterior wall infarction
LAD
32
lateral wall infarction -which artery
circumflex
33
green inferior RCA blue anterior LAD red lateral circumflex purple septal RCA and or LAD
34
rv enlargement apex of heart is too high boot shaped heart Tetralogy of Fallot
35
ra enlargement r border more convex and elongated birth defect hypertension
36
lv enlargement hypertension athletes
37
la enlargement double density
38
mitral stenosis ra enlargemenet elevated l bronchus
39
whre does transthoracic plane lie
T4/T5
40
how many areas of mediastinum
4 PMAS
41
A neurovascular byndle B lung root C phrenic nerve D vagus E sympathetic chain
42
where does phrenic nerve pass in the neck
anterior to anterior scalene muscle
43
where does vagus pass in lung
posterior to lung root
44
where does phrenic pass in lung
anterior to lung root
45
veins for central line
subclavian, femoral or IJV
46
A mitral B aortic C pulmonary D tricuspid
47
A tricuspid B pulmonary C mitral
48
when does ductus arteriosus clsoe
1-3 days after birth
49
where are the base of the lungs on the outside?
mid-clav 6th rib Mid-axill 8th rib post 10th rib
50
posterior intercostal arteries arise from
Descending aorta
51
anterior intercostal arteries arise from
internal thoracic artery
52
pus-o-thorax name
empyema
53
what nerve supplies sensation to the mediastinal pleura and pericardium
phrenic
54
visceral pleura innervation
vagus
55
what make these indentations
A arch of aorta B L subclavian C SVC D azygos vein E oesophagus
56