kidneys Flashcards

(43 cards)

1
Q

muscles in afferent and/or efferent arterioles of kidney?

A

yes

How well did you know this?
1
Not at all
2
3
4
5
Perfectly
2
Q

bowman’s space becomes

A

proximal tubule

How well did you know this?
1
Not at all
2
3
4
5
Perfectly
3
Q

renal bloodflow amount/m and % total

A

1.5l/m 20% total bloodflow

How well did you know this?
1
Not at all
2
3
4
5
Perfectly
4
Q

normal gfr is

A

~120ml/min

How well did you know this?
1
Not at all
2
3
4
5
Perfectly
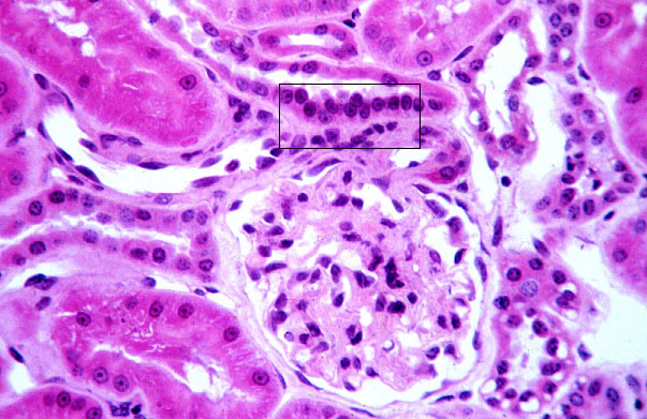
5
Q

what’s in the box

A

macula densa/jga

How well did you know this?
1
Not at all
2
3
4
5
Perfectly
6
Q

endothelium in glomerulus

A

fenestrated

How well did you know this?
1
Not at all
2
3
4
5
Perfectly
7
Q

order of things in glomerulus

A

plasma, fenestrated endothelium, basement membrane, podocyte

How well did you know this?
1
Not at all
2
3
4
5
Perfectly
8
Q

podocytes are tied together by which 2 proteins?

A

podocin and nephrin

How well did you know this?
1
Not at all
2
3
4
5
Perfectly
9
Q

basement membrane has which charge

A

-

How well did you know this?
1
Not at all
2
3
4
5
Perfectly
10
Q

charge of albumin

A

-

How well did you know this?
1
Not at all
2
3
4
5
Perfectly
11
Q

what molecular weight can’t get through gbasement membrane

A

5200daltons ish

How well did you know this?
1
Not at all
2
3
4
5
Perfectly
12
Q

can albumin get through gbm? why?

A

no. too big and negative charge

How well did you know this?
1
Not at all
2
3
4
5
Perfectly
13
Q

what is substance measured in eGFR

A

creatitine

How well did you know this?
1
Not at all
2
3
4
5
Perfectly
14
Q

regarding serum creatinine - musclular person vs malnourished

A

high but no problem
low but could be a problem

How well did you know this?
1
Not at all
2
3
4
5
Perfectly
15
Q

apical side of tubular cells faces..

A

wee tube lumen

How well did you know this?
1
Not at all
2
3
4
5
Perfectly
16
Q

tubular cells held together by..

A

tight junctinos

How well did you know this?
1
Not at all
2
3
4
5
Perfectly
17
Q

most absorption in PCT uses which gradient

A

sodium

How well did you know this?
1
Not at all
2
3
4
5
Perfectly
18
Q

what gets pulled in via symporters in pct (3)

A

glucose
amino acids
phosphate

19
Q

renal glycosuria

A

sglt2 doesn’t work

20
Q

Bartter type 1 disease imitates which drug

21
Q

pct role

A

bulk of reabsorption

22
Q

what is renal threshold

A

carriers get saturated so stuff gets peed out eg glucose in diabetes

23
Q

what exists to turn the medullary pyramids into a desert

A

loop of Henle

24
Q
A

A pelvis
B pyramid
C papilla

25
thick ascending limb is permeable/impermeable to
permeable to salt impermeable to water
26
thin descending limb is permeable/impermeable to
permeable to water impermeable to salt
27
what prevents loop of henle
28
where is nakatpase pump on tubular cells
basolateral (blood side)
29
4 functions of distal nephron
K excretion Regulation of sodium delivery to collecting duct Urine acidification Urinary concentration
30
whcih channel controlled by aldosterone
ENaC
31
where is EnaC channel
principal cell of collecting duct
32
thiazides work on
Na/Cl symporter distal tubular cell
33
which molecule Diabetes insipidus
ADH doesn't work
34
aldosterone analogue drug
fludrocortisone
35
excess hydrocortisone metabolic acid or alkalosis
alkalosis because HCO3 is reabsorbed with the H+ exchanged for the K+ which leads to hypokalemia
36
tx for thyrotoxic storm
Lugol's iodine and then thyroidectomy
37
meds for Graves disease
propanolol - symptoms radio iodine - kill off cells propylthiouracil - ? carbimazole - inhibits thyroid peroxidase thereby preventing the iodination of the tyrosine residue on thyroglobulin
38
what is wolff chaikoff effect
large amounts of iodine stop thyrotoxic storm temporarily
39
what is serum and urine sodium pattern in SiADH
low normal (diluted) serum high concentration in urine
40
what are metanephrines
metabolites of catecholamines (adrenalin/noradrenalin)
41
when would metanephrines be raised?
pheochromocytoma/paraganglioma
42
symptoms of carcinoid syndrome... why?
cough flush wheeze seratonin-producing tumour
43