Ancillary Studies Flashcards

(5 cards)

1
Q

IF findings in Goodpasture Syndrome

A

Linear staining with IgG and anti-C3 along alveolar septal basement membrane

How well did you know this?
1
Not at all
2
3
4
5
Perfectly
2
Q

IF findings in lung Antibody-mediated Rejection (AMR)

A

C4d deposition along vascular endothelium within capillaries of the alveolar septa

How well did you know this?
1
Not at all
2
3
4
5
Perfectly
3
Q

Hans algorithm

A
How well did you know this?
1
Not at all
2
3
4
5
Perfectly
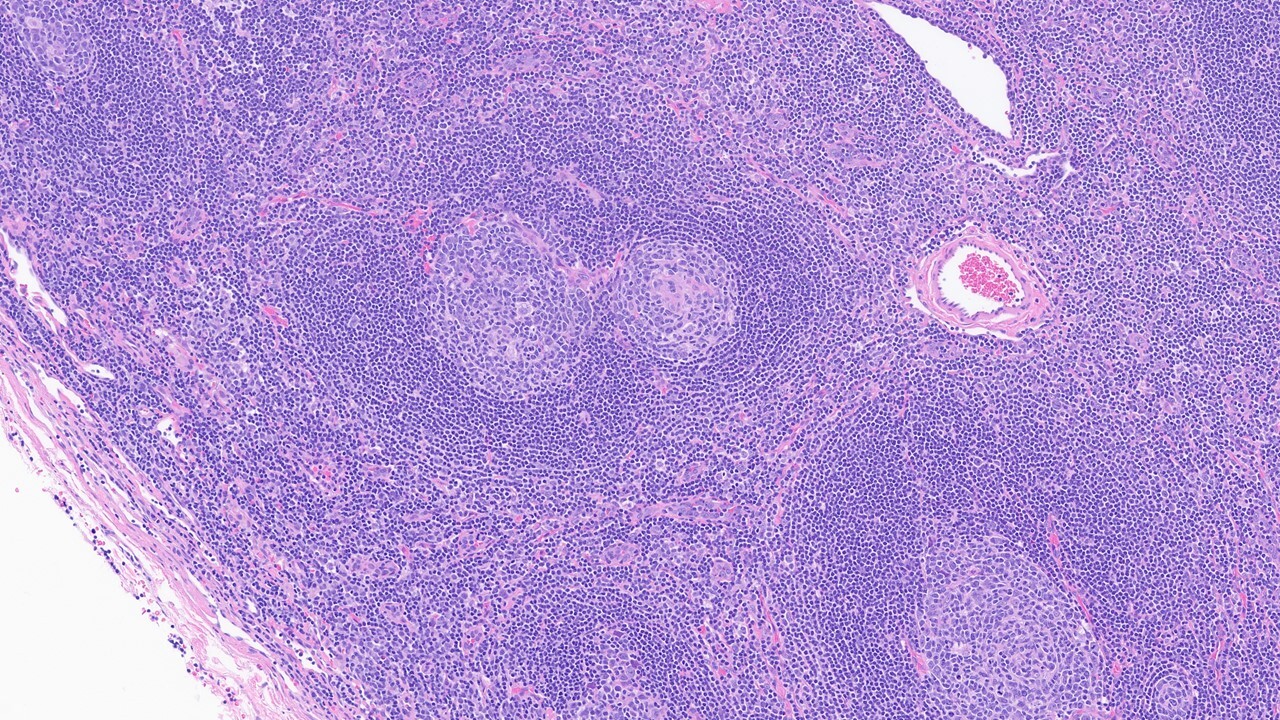
4
Q
A

Twinning and is pathognomonic for Castleman disease

How well did you know this?
1
Not at all
2
3
4
5
Perfectly
5
Q

diagnostic criteria for HLH

A

Pathologic mutation of PRF1, UNC13D, Munc18-2, Rab27-a, STX11, SH2D1A, or BIRC4

5 out of 8 criteria below:
–Fever 38.3°C
–Splenomegaly
–Cytopenias (at least 2 of 3 lineages in the peripheral blood)
Hemoglobin <9 g/dL
Platelets <100 x103/mL
Neutrophils <1 x 103/mL
–Hypertriglyceridemia (fasting, 265 mg/dL) and/or hypofibrinogenemia (≤150 gm/dL)
–Hemophagocytosis in bone marrow, spleen, lymph nodes, or liver
–Low/absent NK-cell activity
–Ferritin >500 ng/mL
–Elevated soluble CD25 (soluble IL-2 receptor alpha)

How well did you know this?
1
Not at all
2
3
4
5
Perfectly