IPr Flashcards

(58 cards)

1
Q

Lung

A

meningothelial-like nodule (MLN)

How well did you know this?
1
Not at all
2
3
4
5
Perfectly
2
Q

Lung

A

Alveolar adenoma

How well did you know this?
1
Not at all
2
3
4
5
Perfectly
3
Q

Blood Agar

A

Metallic sheen; Pseudomonas aeruginosa

How well did you know this?
1
Not at all
2
3
4
5
Perfectly
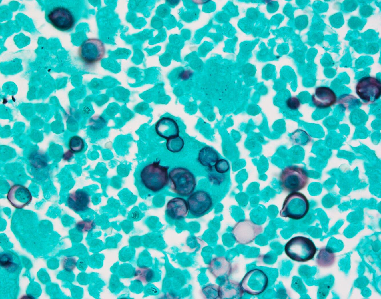
4
Q

GMS Stain Lung

A

blastomycosis

How well did you know this?
1
Not at all
2
3
4
5
Perfectly
5
Q

“Spherical yeasts measuring approximately 12 µm with double contour walls and broad based budding”

A

blastomycosis

How well did you know this?
1
Not at all
2
3
4
5
Perfectly
6
Q

Rat-bite fever is primarily caused by

A

Streptobacillus moniliformis

How well did you know this?
1
Not at all
2
3
4
5
Perfectly
7
Q

Which genes confers resistance to colistin?

A

mcr-1 gene

How well did you know this?
1
Not at all
2
3
4
5
Perfectly
8
Q

blaKPC gene confers resistance to

A

beta-lactam antibiotics

How well did you know this?
1
Not at all
2
3
4
5
Perfectly
9
Q

mecA gene confers resistance to

A

beta-lactam antibiotics via production of the low-affinity penicillin binding protein (PBP2a)

How well did you know this?
1
Not at all
2
3
4
5
Perfectly
10
Q

erm gene confers resistance to

A

erythromycin and clindamycin (detected by erythromycin mediated induction) via ribosome methylation

How well did you know this?
1
Not at all
2
3
4
5
Perfectly
11
Q

Which species of plasmodium are capable of creating dormant hypnozoites in the host liver?

A

Plasmodium ovale and Plasmodium vivax

How well did you know this?
1
Not at all
2
3
4
5
Perfectly
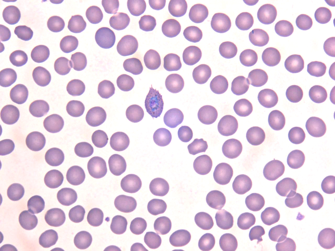
12
Q

Peripheral Blood Smear

A

coarse basophilic stippling and an infected red blood cell with a fimbriated membrane; Plasmodium ovale

How well did you know this?
1
Not at all
2
3
4
5
Perfectly
13
Q

Which species of plasmodium causes “Blackwater Fever” and severe neurologic disease?

A

Plasmodium falciparum

How well did you know this?
1
Not at all
2
3
4
5
Perfectly
14
Q

Which Enterococcus species are considered intrinsically resistant to vancomycin?

A

Enterococcus gallinarum and Enterococcus casseliflavus

How well did you know this?
1
Not at all
2
3
4
5
Perfectly
15
Q

What mutation in Gastric MALT lymphoma associated with chronic gastritis secondary to Helicobacter pylori infection makes it refractory to antibiotic treatment?

A

t(11;18)(q21;q21) (API2-MALT1)

How well did you know this?
1
Not at all
2
3
4
5
Perfectly
16
Q

Clear cell sarcoma Translocation

A

(12;22)(q13;q12) EWSR1-ATF1

How well did you know this?
1
Not at all
2
3
4
5
Perfectly
17
Q

Lynch Syndrome is most often caused by mutations in

A

MSH6 or MLH1

How well did you know this?
1
Not at all
2
3
4
5
Perfectly
18
Q

Lynch Syndrome associated with which cancers

A

Colorectal, endometrial, ovarian

How well did you know this?
1
Not at all
2
3
4
5
Perfectly
19
Q

Translocation in myxoid and round cell liposarcoma

A

t(12;16)(q13;p11) DDIT3-FUS

How well did you know this?
1
Not at all
2
3
4
5
Perfectly
20
Q

Most cases of acute myeloid leukemia (AML) in Down Syndrome are what subtype

A

acute megakaryoblastic leukemia

How well did you know this?
1
Not at all
2
3
4
5
Perfectly
21
Q

Guidelines for the detection of malignancy of bladder cancer with FISH?

A

If ≥4 cells show gains for two or more chromosomes, or if ≥12 cells have zero 9p21 signals within the first 25 cells analyzed; analysis should continue until either the criteria for malignancy are met or until the entire specimen has been analyzed

How well did you know this?
1
Not at all
2
3
4
5
Perfectly
22
Q

ALK+ anaplastic large cell lymphoma translocation

A

t(1;2) (TPM3-ALK)

How well did you know this?
1
Not at all
2
3
4
5
Perfectly
23
Q

Translocation in Extraskeletal myxoid chondrosarcoma (EMC)

A

t(9;22) (EWS-CHN)

How well did you know this?
1
Not at all
2
3
4
5
Perfectly
24
Q

chronic myeloid leukemia

A

t(9;22) (BCR-ABL)

25
Alveolar Rhabdomyosarcoma translocation
t(2;13) (PAX3-FOXO1)
26
Peripheral Blood Smear
numerous blasts with “cleaved” and “butterfly” nuclei; acute promyelocytic leukemia (APL)
27
standard-risk Plasma cell myeloma genetic profile
Hyperdiploidy, t(11;14), and t(6;14)
28
Intermediate-risk PCM genetic profile
Hypodiploidy, deletion 13q, and t(4;14)
29
High-risk Plasma cell myeloma genetic profile
Deletion 17p (TP53), t(14;16), and t(14;20)
30
Hairy cell leukemia Driver mutation
BRAF V600E mutation
31
factors appear to adversely affect prognosis in AML with t(8;21)(q22;q22.1)
presence of KIT mutations in adults and CD56 expression
32
What does EBER in situ hybridization (ISH) identify?
small nuclear viral RNAs present in tumor cell nuclei
33
most common mutation reported in therapy related myeloid neoplasms
TP53
34
Which rearrangement is most prevalent in Burkitt lymphoma
t(8;14)(q24;q32) Myc-IGH
35
Most common alteration in B-lymphoblastic leukemia/lymphoma, BCR-ABL1-Like (Ph-Like ALL)
CRLF2 translocation
36
What is the correct order of the steps required to analyze the NGS data and generate a report
Sequence alignment, variant calling, variant annotation, variant prioritization, and reporting
37
Chronic neutrophilic leukemia is characterized by mutations in which gene
CSF3R
38
Mutated gene in hereditary diffuse gastric cancer (HDGC)
CDH1 (E. cadherin)
39
Most commonly rearranged gene in Microphthalmia-associated transcription factor (MiT)-family translocation renal cell carcinoma (RCC)
TFE3
40
SF3B1 mutations in myelodysplastic/myeloproliferative neoplasm with ring sideroblasts and thrombocytosis (MDS/MPN-RS-T) often found in conjunction with mutations in
JAK2 V617F mutation
41
What can be used for maintenance therapy in patients with BRCA1/2 mutations after relapse to platinum-based chemotherapy
PARP inhibitors
42
Translocation in mantle cell lymphoma
t(11;14)(q13;q32) bcl1-IGH
43
Most common translocation in CyclinD1-negative mantle cell lymphoma
CCND2 translocations, usually with an IG partner (often either IGK or IGL)
44
3 promoter sites recognized by RNA polymerase II
-The TATA box, usually in the -25 position (bases upstream of the transcription start site), usually a TATAAA or similar sequence, in genes with restricted expression (either temporal restriction or restriction to a specific cell type). -The GC box, usually for housekeeping genes -The CAAT box, usually in the -80 position
45
IDH1 and IDH2 mutations are present in what histologic subtype of mesenchymal neoplasm
cartilaginous neoplasms
46
What is a supernumerary marker chromosome (SMC)
an additional chromosomal fragment that lacks sufficient banding information to allow for identification of its origins by classic cytogenetic methods
47
Gorlin Syndrome abnormalities
basal cell carcinomas of the skin, medulloblastomas, ovarian fibromas, and OKC, often multiple
48
Dorsal tongue nodule
Mucosal neuroma
49
In what location within the larynx is a worse prognosis associated with squamous cell carcinomas?
Subglottis/trachea
50
DIF findings in Oral mucous membrane pemphigoid (OMMP)
linear deposition of immunoglobulin and/or complement along the epithelial basement membrane zone (BMZ)
51
autoantibodies In Pemphigus vulgaris
desmoglein1 and 3
52
DIF findings in Erythema multiforme
deposition of IgM and C3 along BMZ and blood vessel walls
53
DIF findings in Lichen planus (LP)
occasionally show granular deposits of fibrin or fibrinogen and, less commonly, C3, IgM, IgG, and IgA
54
Palate
clear cell carcinoma of salivary gland (CCC) (AKA hyalinizing clear cell carcinoma)
55
tumor behind the tympanic membrane
jugulotympanic (middle ear) paraganglioma
56
Vocal cord
vocal cord nodule/polyp
57
salivary gland
Salivary duct carcinoma (SDC)
58
Nasopharynx
Nasopharyngeal angiofibroma (NAF)