
Sebaceous adenitits
Endocrine disease
Follicular dysplasia
You receive this histopath description. What is your top differential?
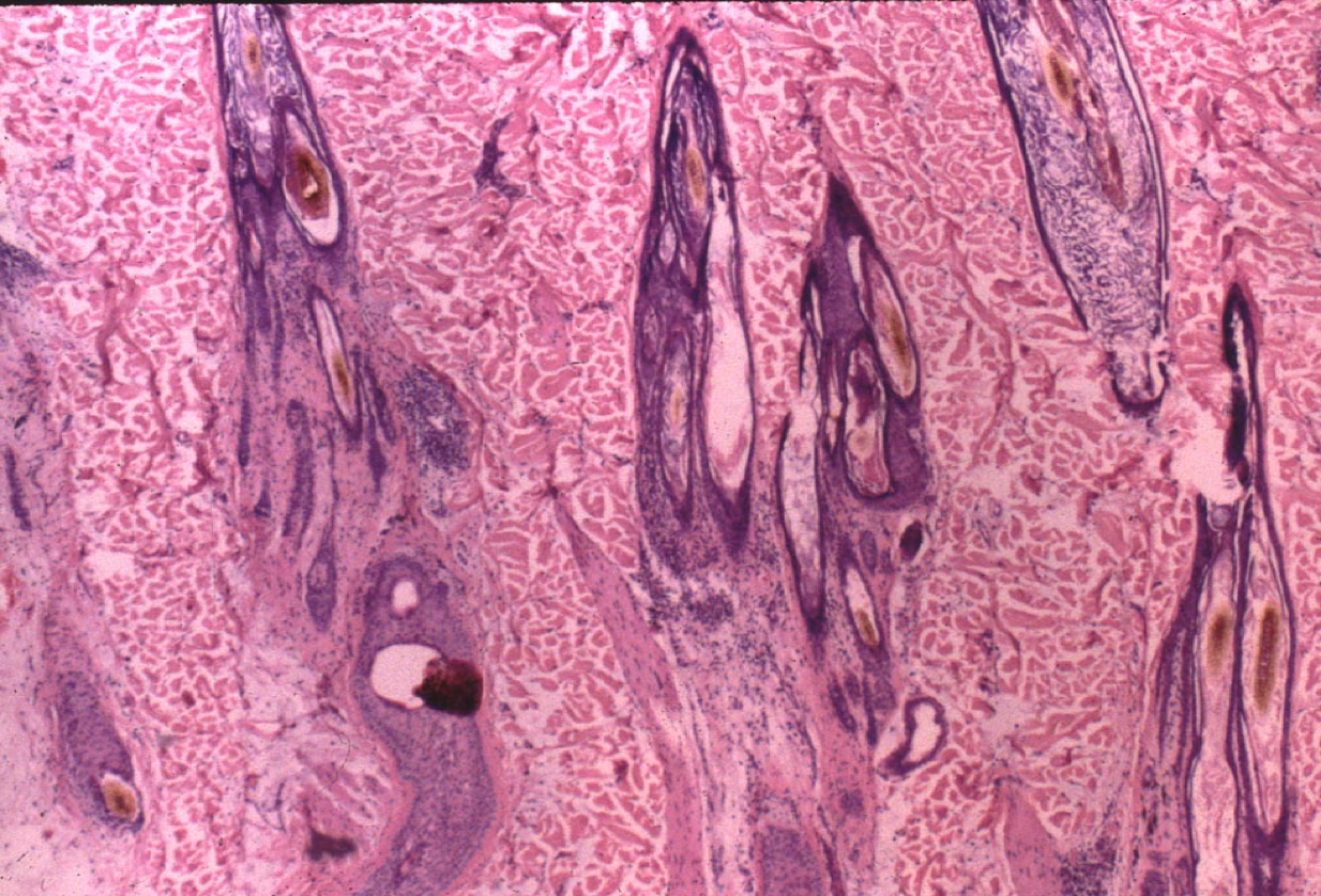
“Epidermis is characterized by moderate basket-weave orthohyperkeratosis. Hair follicles are mildly dilated and hyperkeratotic and thin walled. There is a mild mixed periadnexal and perifollicular infiltrate present. The cells consist of lymphocytes and plasma cells predominantly. Follicle activity is marginal to poor. Sebaceous glands are limited in number. In some sections, complete sebaceous gland dropout is noted. Apocrine glands are present, with foci of hidradenitis also seen.”
Sebaceous adenitis

You receive this biopsy report. What is a systemic or topical treatment plan?
Epidermis is characterized by moderate basket-weave orthohyperkeratosis. Hair follicles are mildly dilated and hyperkeratotic and thin walled. There is a mild mixed periadnexal and perifollicular infiltrate present. The cells consist of lymphocytes and plasma cells predominantly. Follicle activity is marginal to poor. Sebaceous glands are limited in number. In some sections, complete sebaceous gland dropout is noted. Apocrine glands are present, with foci of hidradenitis also seen.”
SYSTEMIC: Cyclosporine
TOPICAL: Propylene glycol, baby oil, emollient rinses, antiseborrheic shampoos, phytosphingosine and most recently Dermoscent topically at weekly to bimonthly intervals

Cutaneous xanthoma
You see this patient. You think that the cat has xanthoma. What stain would you order to confirm your suspicion?
Oil Red O
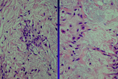
Here is your histopath description. What is your top differential?
“The epidermis is mildly acanthotic. There is diffuse granulomatous inflammation composed of large macrophages containing abundant, foaming cytoplasm. Foamy macrophages are between the collagen bundles as well as in diffuse sheets along the dermis obscuring the normal architecture. Giant cells are seen. There are small lakes of extracellular, amorphous and pale staining lipid deposits”

Xanthoma
What metabolic abnormalities are seen with this particular condition?
What concurrent disease or medications has been associated with this disease?

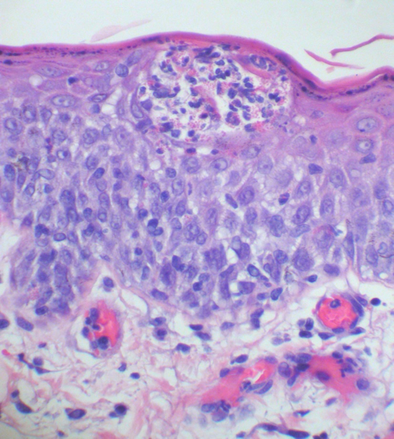
What is this?
What does it suggest?

Eosinophilic epidermal vesicopustules
Suggests direct aeroallergen contact
When it comes to histopath, PF is a ____ .
Subcorneal pustular acantholytic dermatitis
You see something that is pale blue and/or granular on histopath. What are your choices?
Bacteria
Mucin
Mineral