ARDS Flashcards

(9 cards)

1
Q

Form of noncardiogenic pulmonary edema that results from acute alveolar damage.
Characteristics: acute diffuse, infiltrative lung lesions, interstitial and alveolar edema, severe hypoxemia, and respiratory failure

A

Acute Respiratory Stress Syndrome (ARDS)

How well did you know this?
1
Not at all
2
3
4
5
Perfectly
2
Q

Per the Berlin Definition of ARDS, for it to be “acute”, you must develop signs within ___ of the primary cause

A

1 wk

How well did you know this?
1
Not at all
2
3
4
5
Perfectly
3
Q

Berlin Definition of ARDS

A
  1. must be within 1 wk of cause
  2. PaO2/FiO2 ratio ≤ 300 mmHg
  3. AP CXR shows bil infiltrates

PaO2/FiO2 = ratio of partial pressure of O2 in the blood vs fractional inspired air

How well did you know this?
1
Not at all
2
3
4
5
Perfectly
4
Q

ARDS

Pathophysiology

A

Lung injury → alveoli swell → disrupts surfactant → alveoli collapse (atelectasis) → O2 cannot perfuse (ventilation-perfusion rate uneven) → SHUNT -> blood in lungs backs up -> blood in pulm a. cannot go into lungs -> pulm HTN

How well did you know this?
1
Not at all
2
3
4
5
Perfectly
5
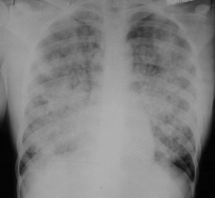
Q

CXR Findings: Alveolar infiltrates (cotton balls)

A

ARDS

How well did you know this?
1
Not at all
2
3
4
5
Perfectly
6
Q

ARDS WU

A

CXR
ABG
Blood & urine cultures
BNP - elev in HF
Lactate level - elev in sepsis

How well did you know this?
1
Not at all
2
3
4
5
Perfectly
7
Q

Trmnt

A
  1. High-flow O2 therapy
  2. Mechanical vent if O2 sat <90% despite trying #1
How well did you know this?
1
Not at all
2
3
4
5
Perfectly
8
Q

Purpose of PEEP?

A
  • (PEEP) Positive end-expiratory pressure is given to patient’s to keep their alveoli from collapsing when inhaling AND exhaling
  • PEEP should be set slightly lower than pt’s norm % pressure. Want it high enough to keep alveoli open but not TOO high -> rupture*
How well did you know this?
1
Not at all
2
3
4
5
Perfectly
9
Q

nasal cannula O2 flow:
anything greater than ____% FiO2 is useless

A

40%
only need enough to fill nasopharynx

How well did you know this?
1
Not at all
2
3
4
5
Perfectly