TB Flashcards

(28 cards)

1
Q

TB pathogen

A

Mycobacterium tuberculosis

anaerobic bacillus

How well did you know this?
1
Not at all
2
3
4
5
Perfectly
2
Q

how many resistant strains are there for TB?

A

2
Multidrug-resistant (MDR)
Extensively drug-resistant (XDR)

How well did you know this?
1
Not at all
2
3
4
5
Perfectly
3
Q

Top 4 TB countries

A

china, inida, philippines, vietnam

How well did you know this?
1
Not at all
2
3
4
5
Perfectly
4
Q

how is TB transmitted?

A

inhaling aeroslized droplets containg it

How well did you know this?
1
Not at all
2
3
4
5
Perfectly
5
Q

TB presentation

A

fever, night sweats, cough, HEMOPTYSIS, WT LOSS, sometimes pleuritic chest pain

similar to cancer

How well did you know this?
1
Not at all
2
3
4
5
Perfectly
6
Q

How long does it take for TB to come out of hiding in macrophages and trigger an immune response

same amnt of time to wait for (+) test

A

2-12 wks

How well did you know this?
1
Not at all
2
3
4
5
Perfectly
7
Q

How to Dx TB

A

PPD skin welt test

purified protein derivative

How well did you know this?
1
Not at all
2
3
4
5
Perfectly
8
Q

do you measure the redness or bump for TB skin test?

A

BUMP

How well did you know this?
1
Not at all
2
3
4
5
Perfectly
9
Q

Single positive PPD is not helpful diagnostically. Must have _____to confirm diagnosis.

A

CXR

How well did you know this?
1
Not at all
2
3
4
5
Perfectly
10
Q

Rx for TB

A
  • RIPE =
  • Rifampin
  • Isoniazid (INH)
  • Pyrazinamide (PZA)
  • Ethambutol (EMB)

ALL 3 TIMES A WEEK FOR 6 MONTHS
FORCE PPL TO COME IN AND TAKE MEDS IN FRONT OF US

How well did you know this?
1
Not at all
2
3
4
5
Perfectly
11
Q

Does a (-) PPD rule out acute TB?

A

NOOOOOOO

How well did you know this?
1
Not at all
2
3
4
5
Perfectly
12
Q

gold standard for dx of active disease?

A

Sputum for AFB stains

acid-fast bacillus

How well did you know this?
1
Not at all
2
3
4
5
Perfectly
13
Q

Work up for TB

A
  • PPD skin test for latent dz
  • CXR will likely be norm in latent dz
  • Sputum for AFB (gold standard)
How well did you know this?
1
Not at all
2
3
4
5
Perfectly
14
Q

Criteria of a (+) PPD skin test?

A

5mm -> if HIV
10mm -> if high-risk grp
15mm -> if low risk

read 72 hrs later

How well did you know this?
1
Not at all
2
3
4
5
Perfectly
15
Q

Will CXR show anything if not showing symptoms?

A

likely not. more used as a dx criteria for symptomatic pts

How well did you know this?
1
Not at all
2
3
4
5
Perfectly
16
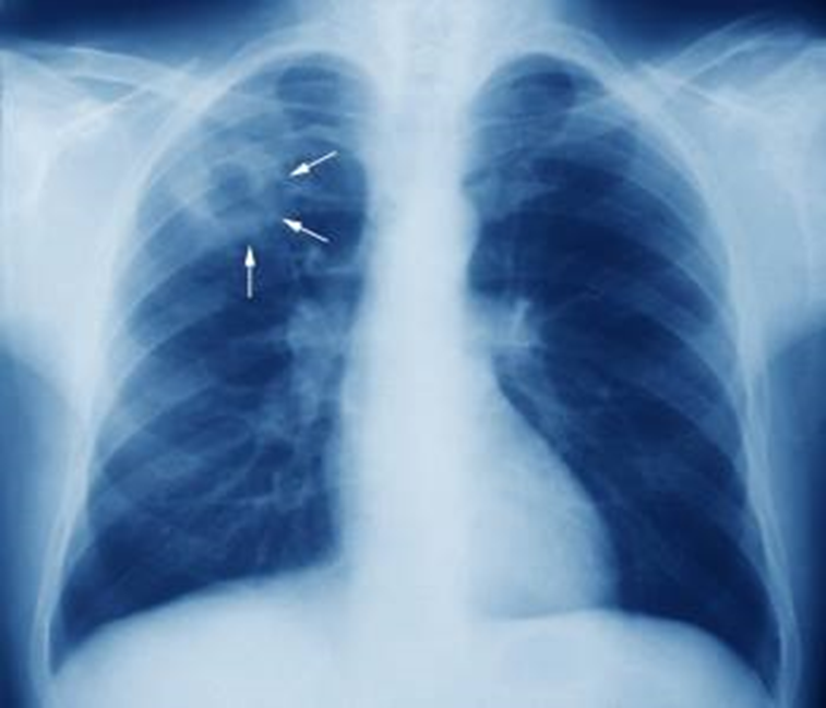
Q

TB CXR looks like what?

A

Apical cavitation with calcification and hilar lymphadenopathy

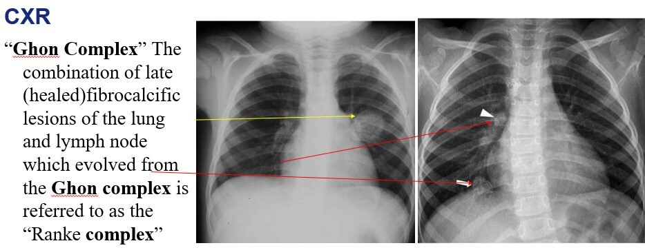
17
Q

What does TB look like when its healed?

18
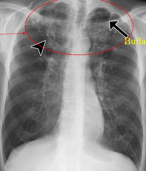
Q

Pt has Hx of TB and their CXR shows bullae. What’s happening

A

Reactivation of TB

19
Q

Rx CAUTIONS

A

RIPE
Rifampin: Red urine, jaundice
Ethmabutol: Eye, vision loss, photosensitivity
Isoniazid (INH): Hepatitis, neuropathy (take B6 to prevent neuropathy)
Pyrazinamide: Hepatitis

20
Q

TB Trmnt for immunocomp (HIV)

A

9 months total therapy =
- 2 months RIPE daily until smear negative and sensitivity confirmed
- then INH and rifampin qid for 7 months

Continue all treatment at least 3 months following conversion to negative cultures

21
Q

Trmnt for latent TB or asymp contact prevention

A

WU: (+) skin test, (-) CXR and/or sputum
highest risk in immunocomp (think HIV)
3 trmnt opts (choose one):
- 9 mo INH
- 4 mo Rifampin
- 3 mo INH + Rifampin

Billman updated trmnt options after test 1

22
Q

Trmnt for ACTIVE TB

A

WU: (+) skin test AND (+)CXR or Sputum required
Norm: RIPE 3x a week for 6 months
Immunocomp: RIPE 4x a day for 2 months, then when CXR (-) -> INH + Rifampin for 7 months

23
Q

FU for TB

A
  • Will have visits 3 times a week for witnessed medication taking x 6 months
  • At 2 to 4 weeks, sputum culture, assess for lack of recent fevers
  • At 2-3 months confirm chest x-ray regression
24
Q

Pts predisposed to neuropathy (ex. alcoholics, DM, uremia, malnutrition, and HIV) taking Isoniazid (INH) should also be taking _____

A

Pyridoxine (Vit B6) supplements

25
TB is a ____ mediated immune response
T-Cell
26
TB Pathophysiology
Aersolized droplets inhaled -> macrophages try to phagocytose mycobacterium -> forms into caseating granuloma (cheese center) -> macrophages get stuck in hilar lymph nodes (hilar lymphadenopathy on CXR) -> cavitates into lung -> eventually breaks free from granuloma and runs wild in your body -> body finally recognizes the foreign antingens -> immune response -> symptoms show -> (+) skin test whole thing can take about 12 weeks long
27
is TB caseating or non-caseating?
Caseating granuloma (cheese curd center of yuck)
28
Pleural effusions in TB are exudative or transudative?
exudative bc infection