What is arthropathy?
Any joint disease
What is arthrosis?
A joint; “wear and tear” (human term)
What is arthritis?
Inflammation within a joint
What is polyarthritis?
Inflammation within several joints simultaneously
What is an osteophyte?
Outgrowth of bone; forms at synovial or articular margins
Where do enthesiophytes form?
Tendon/ligament attachments
What is a joint mouse?
Mobile fragment within a joint
Loose osteophyte or fragment of cartilage
What is a joint capsule?
Sac that encloses a joint
What does the suffix “-rrhaphy” mean?
To suture in place; to close
What is ankylosis?
Spontaneous fusion of a joint
End stage of joint disease
What is arthrodesis?
Surgical fusion of a joint
Define “arthrotomy”
Incision into a joint
What are the 3 types of joints?
What is osteoarthritis?

How can you differentiate between inflammatory and non-inflammatory arthritis?
Joint tap
Determine whether highly cellular or not
How is the treatment of inflammatory arthritis different from that of non-inflammatory arthritis?
Inflammatory = medical treatment
Non-inflammatory = surgical treatment
What is the sub-classification of inflammatory arthritis?
What causes primary arthritis? What species is it more common in?
How does secondary arthritis differ from primary arthritis?
What are the pros and cons to using radiographs as a diagnostic tool in arthritis?
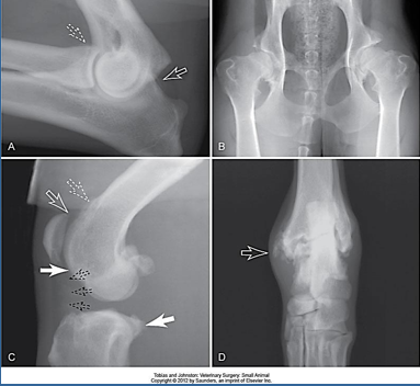
What are some radiographic signs of arthritis?
What are the arrows pointing to?

Osteophytes
What is the single most important element of medical treatment for osteoarthritis?
What are some other non-surgical treatment options?
WEIGHT MANAGEMENT IS THE SINGLE MOST IMPORTANT ELEMENT OF MEDICAL TREATMENT
Other options:

What are the specific weight management goals/techniques (puppies and adults)?