Options for this young (

Contraindications to HTO
Inflammatory arthritis
Less than 90 deg flexion
Flexion contracture > 10 deg
Ligament instability (varus thrust)
Lateral tibial subluxation > 1cm
Medial compartment bone loss
Lateral compartment joint space narrowing
Predictors of failure of HTO
Smoking
> 60
Varus > 10
Other arthritides
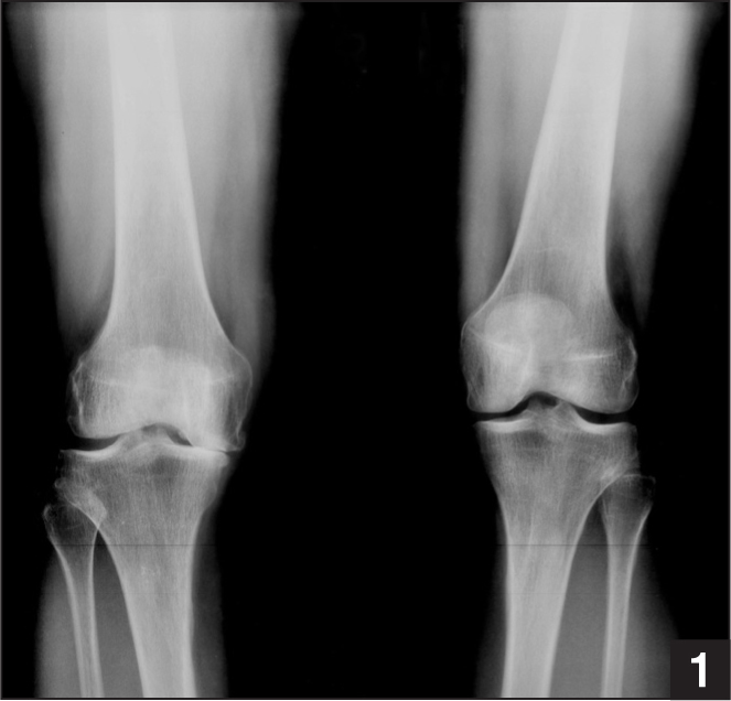
Options for this 65yo male with painful right knee?

Normal alignment of the knee
Lateral proximal femoral angle: 90 degrees
Mechanical Lateral distal femoral angle: 88 degrees
Anatomic Lateral distal femoral angle: 81 degrees
Medial proximal tibial angle: 87 degrees
Lateral distal tibial angle: 89 degrees

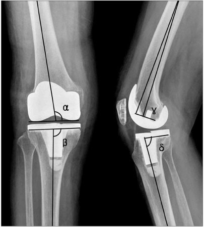
What is this depicting and what are your considerations when measuring the deformity?

CORA - center of rotation of angulation
What is your appraoch to this patient?

Technical goals of TKA
You are planning a TKA for this patient. What are the order of releases

Order of release for a flexion contracture
Important considerations for planning your TKA cuts
Femur
Tibia

This patient comes in with knee pain. What is the most common complications of TKA? How can you prevent it?


Where should the joint line be in TKA? What problems can you run into if you move it
Saggital balancing. Go. All of it. You have 30 sec.

You are planning a TKA on this patient. What is your order of release. What are some important considerations?

You do a TKA on this patient and surprise! He gets a peronal nerve palsy. What are some risk factors? How do you treat?

Amount of antibiotics to put in antibiotic cement
What’s the most important factor in post-op TKA ROM?
Pre-op ROM
Pros and Cons of a CR knee
Pros and cons of anteriorly stabilized knee
Indications, pros and cons of a PS knee
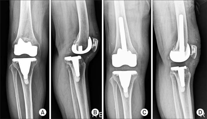
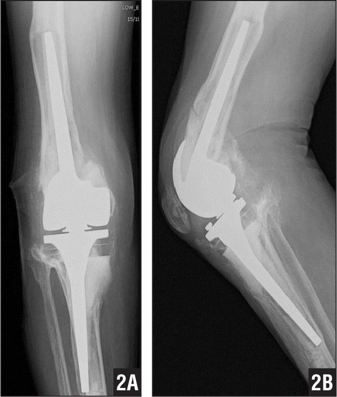
Indications for the use of this prosthesis?

the patient depicted had instability following CR knee and PCL rupture
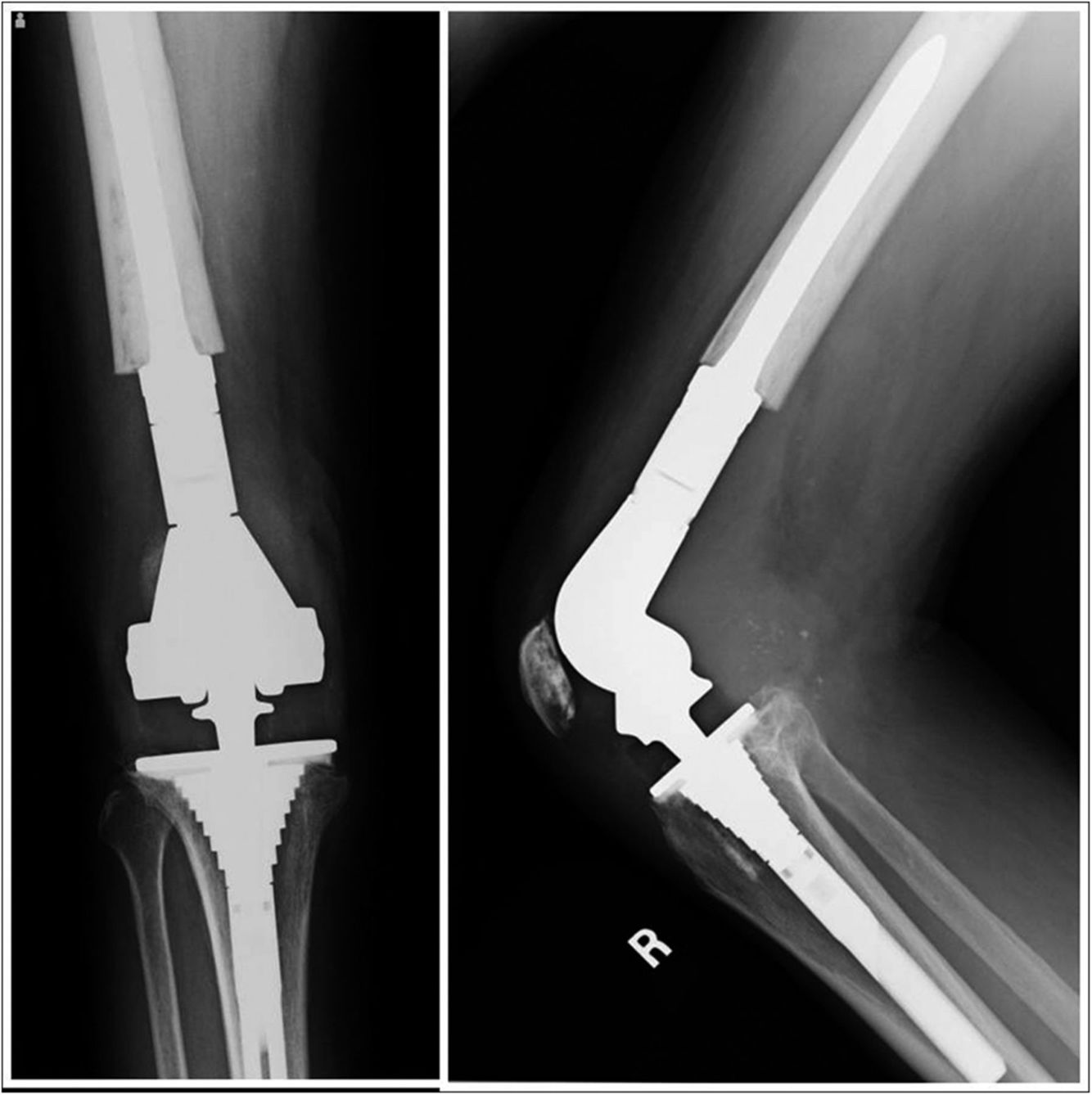
Indications for the following prosthesis

Constrained hinge with rotating platform
Why was this prosthesis choosen?

Tumour Prosthesis