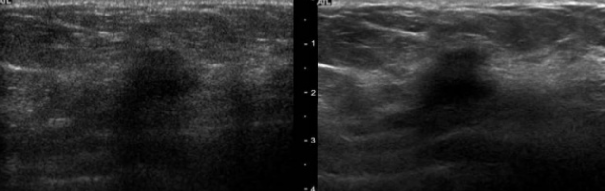
Name the artifact in the image on the left (improved appearance on the right)
What is the cause of the artifact? How can you fix it?

Speckle: interference of echoes from the distribution of scatter in tissue, causing a granular appearance of the image
FIX: increase frequency, spatial compounding, THI
Name the artifact in the image on the left (improved image on the right).
What is the cause of the artifact? How would you (try to) fix it?

Clutter artifact: Acoustic noise arising from side-lobes, grating-lobes, and multipath reverberation. Typically seen in fluid-filled structures.
FIX: spatial compounding, THI
Name this artifact.
What is the cause of the artifact?

Reverberation: Occurs at highly reflective surfaces (e.g., tissue-gas interface). Some echoes are reflected back and forth between gas and transducer, then interpreted to exist at twice the depth of the original interface.
Name this artifact.
What is the cause of the artifact?

Comet tail artifact: a form of reverberation artifact with reflections occurring from two closely spaced reflective surfaces (calculi, surgical clips, etc)
Name this artifact.
What is the cause of the artifact?

Acoustic shadowing artifact: Structures that are strong reflectors or attenuators cause reduction in the beam intensity distal to them, resulting in a dark shadow.
What is refraction and in what situation is it most likely to occur? Which specific artifacts arise from refraction phenomenon?
Refraction: Occurs when the beam strikes a highly oblique interface, such as the lateral aspect of a curved surface, and with interfaces between substances such as fat and muscle with disparate speeds of sound
Includes: misregistration, ghosting, and edge-shadowing
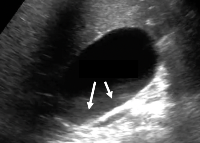
Name this artifact.
What is the cause of the artifact? How would you (try to) fix it?

Edge shadowing artifact: Refractive artifact that occurs at the edge of a large curved boundary with a different speed of sound than that of the surrounding tissues
FIX: spatial compounding, change angle of insonation
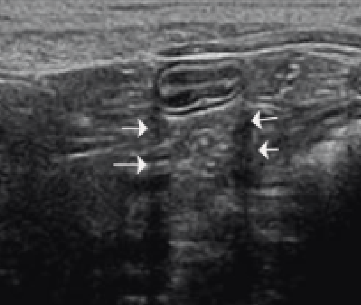
Name this artifact.
What is the cause of the artifact?

Misregistration artifact: The actual location of an object is altered by refraction of the beam at an interface superficial to it; object appears to be in a different place than it actually is.
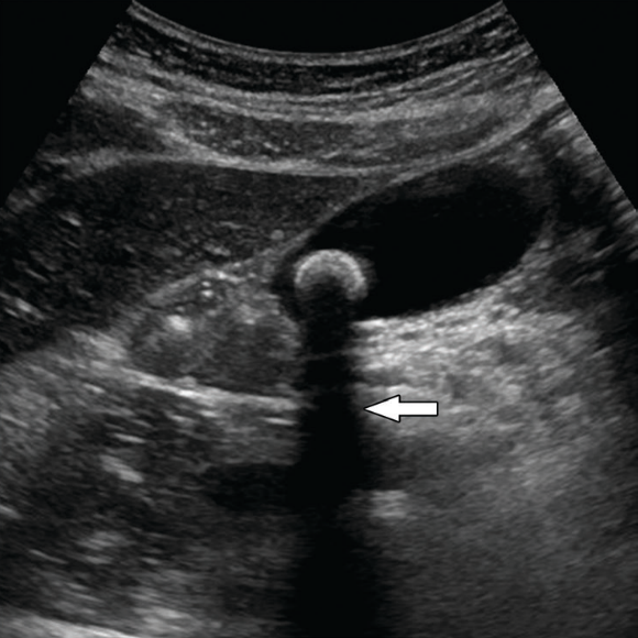
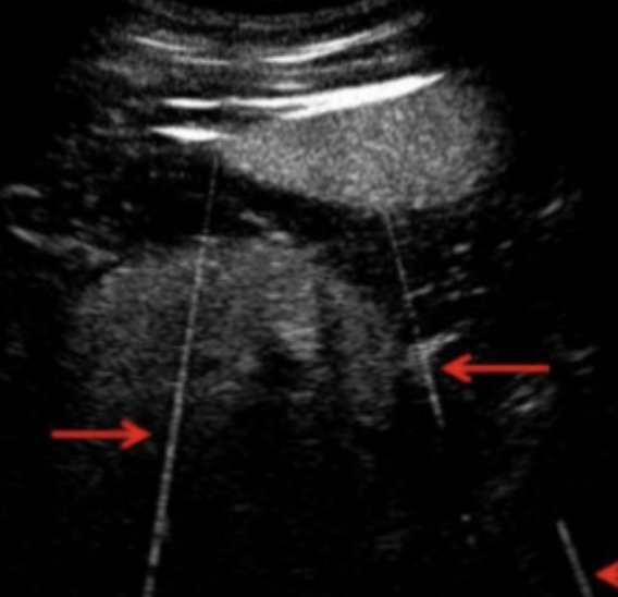
Name this artifact.
What is the cause of the artifact? How would you (try to) fix it?

Side lobe artifact:
Usually too low energy to make a big difference, however in an anechoic structure, can appear to be sludge in the GB or urinary bladder
What is the difference between side lobe and grating lobe artifact?
Grating lobe artifact: same concept but occur at more oblique angles and higher amplitude than side lobe
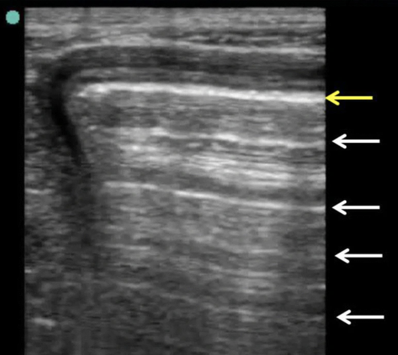
Name this artifact (image on the right)
What is the cause of the artifact? How would you (try to) fix it?

Anisotropy artifact: angle of insonation alters reflective pattern. Normal or hyperchoic when perpendicular; hypoechoic appearance (‘false lesion’) when off angle.
To fix: change the angle of the transducer
Name this artifact.
What is the cause of the artifact?

Distal enhancement (through transmission): As sound passes through low-attenuating structure, there is less attenuation than expected and the returning echo will be stronger.
CAUTION: a homogeneous solid lesion with a lower attenuation than the adjacent tissues will also exhibit increased through transmission.
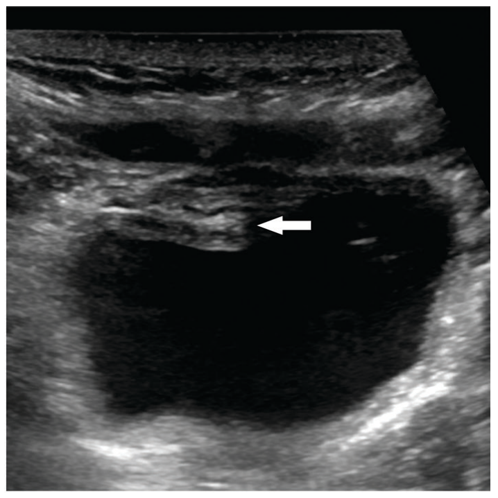
Name this artifact.
What is the cause of the artifact?

Mirror image artifact: Created when sound reflects off a strong reflector and is redirected toward a second structure (target), where it then reflects back to the first reflector, then back up to probe. This creates a second image of the target in the path of the original beam and deeper than the actual target
Name this artifact.
What is the cause of the artifact?

Electronic noise artifact: Stray electric signal from electric equipment such as lights, clippers, and electrocautery units may cause artifacts to appear that remain when the transducer is not in contact with the animal.
Name this artifact.
What is the cause of the artifact?

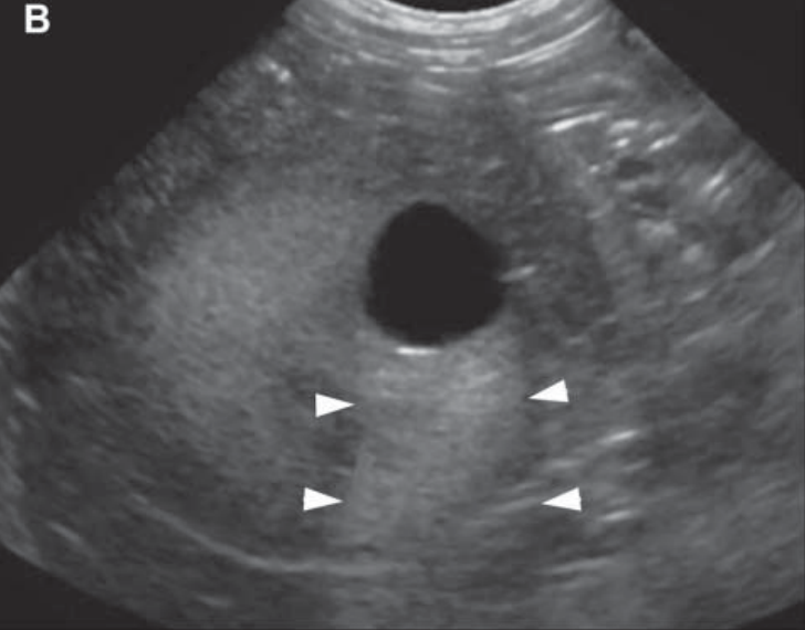
Slice thickness/Volume Averaging Artifact – if two structures of differing attenuation are present in the same slice width, their intensities are averaged
Example: pseudosludge
Name this artifact.
What is the cause of the artifact? How would you (try to) fix it?

Range ambiguity artifact: Occurs when the echo from a distant structure reaches the transducer after a second pulse has been emitted. Transducer thinks that this echo is associated with the second pulse and therefore in the near field instead of the far field.
FIX: reduce number of focal zone, especially when imaging fluid-filled structures
Name this artifact.
What is the cause of the artifact?

Registration/propagation speed error: distance is calculated based on speed of sound through tissue. In fluid-filled structures, this may mean that the distal wall is actually farther from transducer than is displayed. In more dense objects, the distal wall may be closer than it appears.
Name this artifact.
What is the cause of the artifact? How would you (try to) fix it?

Aliasing artifact: occurs when the doppler shift frequency exceeds the Nyquist limit (1/2 PRF) –> information is mapped to the wrong side of baseline.
FIX: increase PRF, move baseline, decrease frequency, increase Doppler angle

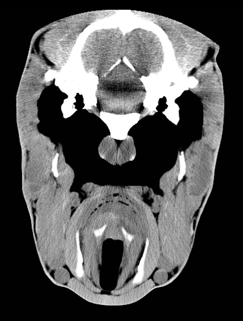
What are the four general types of artifacts encountered in CT?
Barrett, J.F. & Keat, N. (2004) Artifacts in CT: Recognition and Avoidance. RadioGraphics 24, 1679–1691


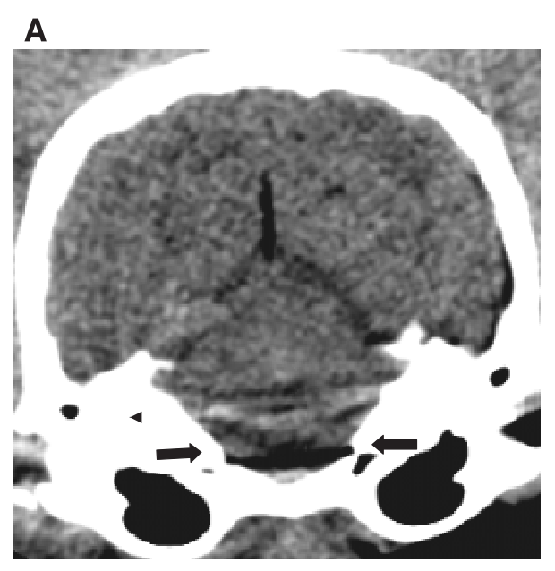
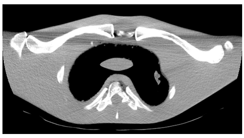
What is this artifact and how do we fix it?
What was the technique for reducing this artifact as suggested by Mosenco et. al (2004) for dogs and horses?

Porat-Mosenco, Y., Schwarz, T. & Kass, P.H. (2004) Thick-section reformatting of thinly collimated computed tomography for reduction of skull-base-related artifacts in dogs and horses. Veterinary Radiology and Ultrasound 45, 131–135
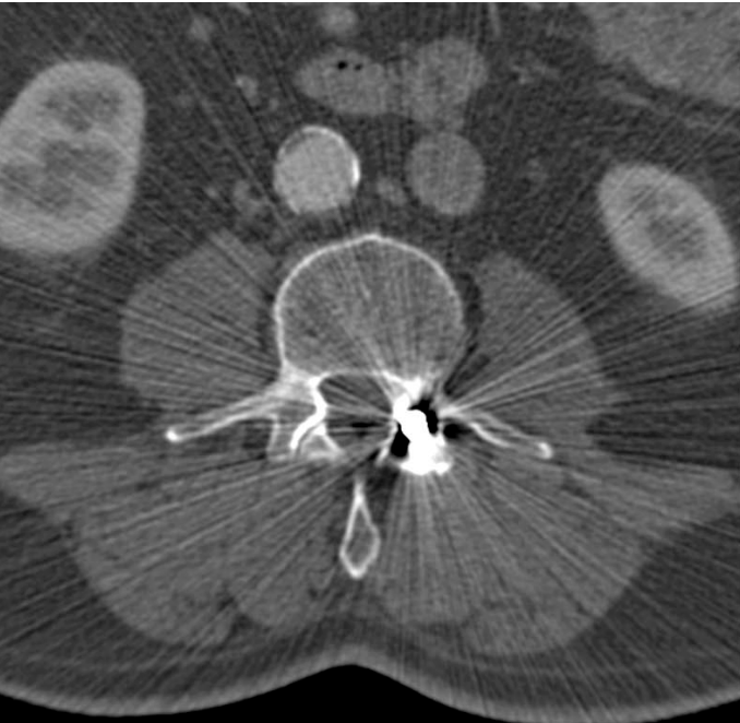
What is this artifact and how is it fixed?


What is this artifact? How do we fix it?

What is this artifact? How is it reduced?
