Okada, M., Kitagawa, M. & Ito, D. (2010) Magnetic resonance imaging features and clinical signs associated with presumptive and confirmed progressive myelomalacia in dogs: 12 cases (1997–2008). Journal of the American Veterinary Medical Association 237, 1160–1165
Gilmour, L.J., Jeffery, N.D., Miles, K., et al. (2017) SINGLE-SHOT TURBO SPIN ECHO PULSE SEQUENCE FINDINGS IN DOGS WITH AND WITHOUT PROGRESSIVE MYELOMALACIA. Veterinary Radiology & Ultrasound 58, 197–205
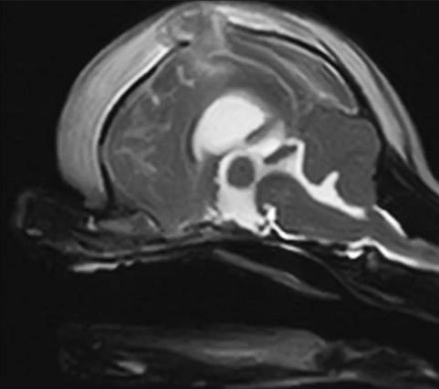
Name the labeled structures and determine the anomaly.

Intrahepatic PSS
Bruehschwein, A., Foltin, I., Flatz, K., et al. (2010) Contrast-enhanced magnetic resonance angiography for diagnosis of portosystemic shunts in 10 dogs. Veterinary Radiology and Ultrasound 51, 116–121
Simeoni, F., Signore, F. Del, Terragni, R., et al. (2020) Diagnostic Imaging of Gastrointestinal Tumours in Dogs and Cats : A Review. American Journal of Animal and Veterinary Sciences 15, 89–101
More GB sludge:
DeMonaco, S.M., Grant, D.C., Larson, M.M., et al. (2016) Spontaneous Course of Biliary Sludge Over 12 Months in Dogs with Ultrasonographically Identified Biliary Sludge. Journal of Veterinary Internal Medicine 30, 771–778
Regarding radiographic changes associated with mycobacterium infection in cats (Bennett, 2011 JFMS):
Bennett, A.D., Lalor, S., Schwarz, T., et al. (2011) Radiographic Findings in Cats with Mycobacterial Infections. Journal of Feline Medicine & Surgery 13, 718–724

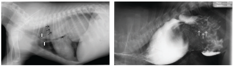
Likely diagnosis?

Gastroesophageal intussusception
Pollard, R.E. (2012) Imaging Evaluation of Dogs and Cats with Dysphagia. ISRN Veterinary Science 2012, 1–15
Regarding the sonographic features of thymomas and mediastinal lymphoma:
Patterson, M.M.E. & Marolf, A.J. (2014) Sonographic characteristics of thymoma compared with mediastinal lymphoma. Journal of the American Animal Hospital Association 50, 409–413
Describe the normal progression (phases) of a excretory urogram
Pugh, C.R., Rhodes, W.H. & Biery, D.N. (1993) Contrast Studies of the Urogenital System. Veterinary Clinics of NA: Small Animal Practice 23, 281–306
Regarding MRI of vertebral endplate changes in dogs (Gendron, VRU 2012):
GENDRON, K., DOHERR, M.G., Gavin, P., et al. (2012) MAGNETIC RESONANCE IMAGING CHARACTERIZATION OF VERTEBRAL ENDPLATE CHANGES IN THE DOG. Veterinary Radiology & Ultrasound 53, 50–56
Regarding MRI of dogs with head trauma:
Yanai, H., Tapia-Nieto, R. & Cherubini, G.B. (2015) Results of magnetic resonance imaging performed within 48 hours after head trauma in dogs and association with outcome: 18 cases (2007–2012). Journal of the American Veterinary Medical Association 246, 1222–1229

Some normal measurements of the horse LUT:
Peterson, M.E. & Broome, M.R. (2015) Thyroid scintigraphy findings in 2096 cats with hyperthyroidism. Veterinary Radiology and Ultrasound 56, 84–95
Positive contrast MRI bursography for assessement of the structures of the foot:
MAHER, M.C., Werpy, N.M., Goodrich, L.R., et al. (2011) POSITIVE CONTRAST MAGNETIC RESONANCE BURSOGRAPHY FOR ASSESSMENT OF THE NAVICULAR BURSA AND SURROUNDING SOFT TISSUES. Veterinary Radiology & Ultrasound 52, 385–393
What is the normal appearance of horse urine on US?
Swirling, echogenic. Likely due to mucus and calcium carbonate.
doi: 10.1111/j.1740-8261.2007.00297.x

Wong, D.M., Belgrave, R.L., Williams, K.J., et al. (2008) Multinodular pulmonary fibrosis in five horses. Journal of the American Veterinary Medical Association 232, 898–905
Regarding the appearance of muscular metastasis on CT:
Vignoli, M., Terragni, R., Rossi, F., et al. (2013) WHOLE BODY COMPUTED TOMOGRAPHIC CHARACTERISTICS OF SKELETAL AND CARDIAC MUSCULAR METASTATIC NEOPLASIA IN DOGS AND CATS. Veterinary Radiology & Ultrasound 54, 223–230
Regarding the CT features of lipomatous masses in dogs:
Tumor definition and shape were most useful for differentiating lipoma vs. infiltrative lipoma
Soft tissue, heterogeneous mass with mineralization and regional lymphadenopathy was useful for liposarcoma
Spoldi, E., Schwarz, T., Sabattini, S., et al. (2017) Comparisons Among Computed Tomographic Features of Adipose Masses in Dogs and Cats. Veterinary Radiology and Ultrasound 58, 29–37
EASLEY, J.T., BROKKEN, M.T., Zubrod, C.J., et al. (2011) MAGNETIC RESONANCE IMAGING FINDINGS IN HORSES WITH SEPTIC ARTHRITIS. Veterinary Radiology & Ultrasound 52, 402–408
GASCHEN, L., LEROUX, A., TRICHEL, J., et al. (2011) MAGNETIC RESONANCE IMAGING IN FOALS WITH INFECTIOUS ARTHRITIS. Veterinary Radiology & Ultrasound 52, 627–633

Stadler, K.L., HARTMAN, S., MATHESON, J., et al. (2011) COMPUTED TOMOGRAPHIC IMAGING OF DOGS WITH PRIMARY LARYNGEAL OR TRACHEAL AIRWAY OBSTRUCTION. Veterinary Radiology & Ultrasound 52, 377–384
Zwingenberger, A.L., Marks, S.L., Baker, T.W., et al. (2010) Ultrasonographic Evaluation of the Muscularis Propria in Cats with Diffuse Small Intestinal Lymphoma or Inflammatory Bowel Disease. Journal of Veterinary Internal Medicine 24, 289–292
This paper had discordant results about the sonographic appearance of IBD and LSA in comparison to other studies. What was the significant difference in this patient population?
IBD was not associated with muscularis thickening.
Regarding incomplete longitudinal fractures of the proximopalmar aspect of MCIII in horses:
Morgan, R. & Dyson, S. (2012) Incomplete longitudinal fractures and fatigue injury of the proximopalmar medial aspect of the third metacarpal bone in 55 horses. Equine Veterinary Journal 44, 64–70
Regarding aortic lesions in dogs with spirocercosis:
Kirberger, R.M., Stander, N., Cassel, N., et al. (2013) Computed tomographic and radiographic characteristics of aortic lesions in 42 dogs with spirocercosis. Veterinary Radiology and Ultrasound 54, 212–222

Stadler, K.L., HARTMAN, S., MATHESON, J., et al. (2011) COMPUTED TOMOGRAPHIC IMAGING OF DOGS WITH PRIMARY LARYNGEAL OR TRACHEAL AIRWAY OBSTRUCTION. Veterinary Radiology & Ultrasound 52, 377–384