What is this artifact? Why does it occur?

FIX: spatial compounding, THI
What is this artifact? Why does it occur? How can it be minimized?


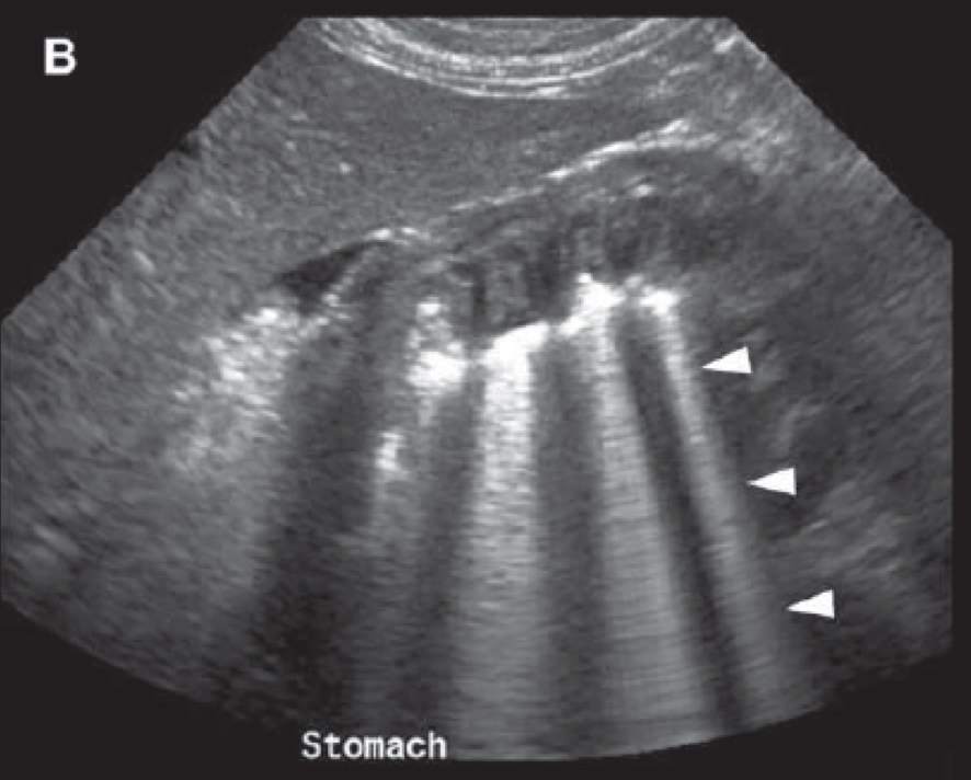
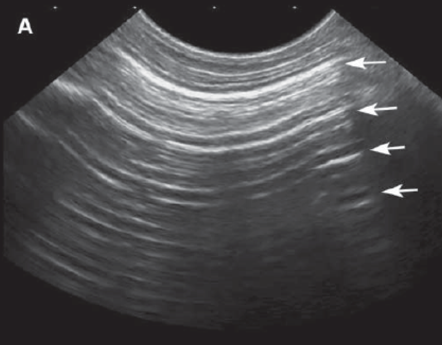
What is the cause of reverberation, comet tail, and ring-down artifact?
What is this artifact? What is responsible for its shape? When does it occur?

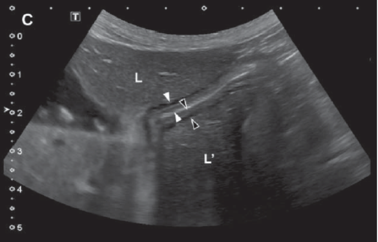
What is this artifact? When does it occur?


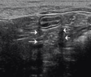
What is this artifact?


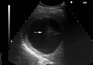
What is this artifact? Why does it occur?


What is this artifact? Why does it occur?


What is this artifact? Why does it occur? How can you minimize the effect?


What is this artifact? What causes it? How is it fixed?

Name this artifact.
What is the cause of the artifact? How would you (try to) fix it?

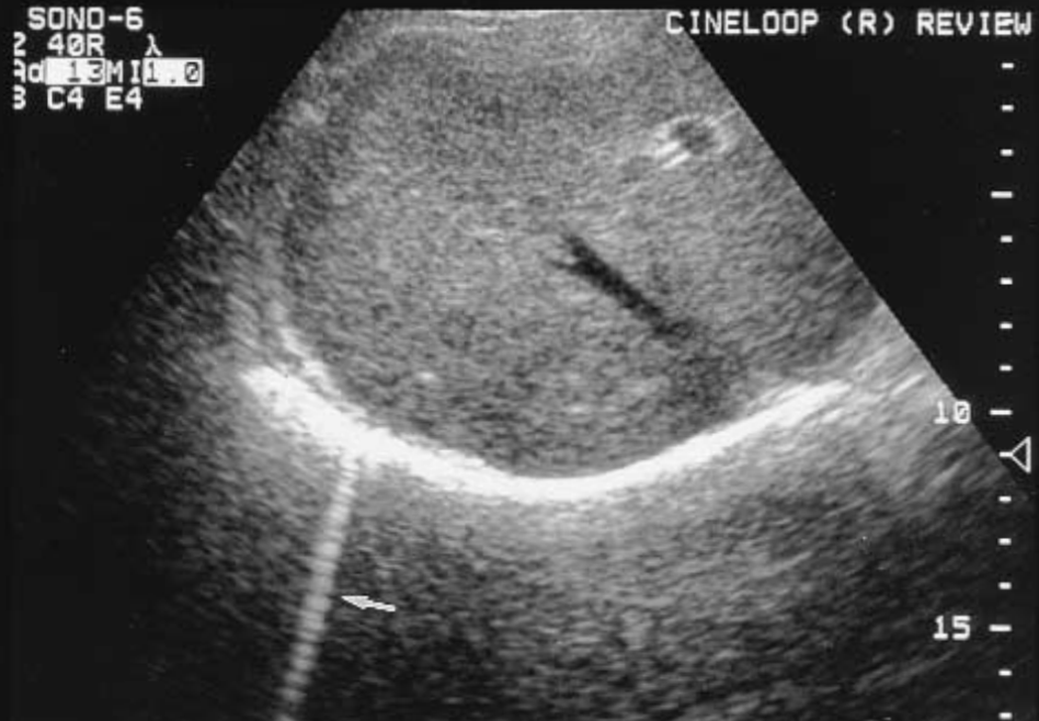
Range ambiguity artifact: Occurs when the echo from a distant structure reaches the transducer after a second pulse has been emitted. Transducer thinks that this echo is associated with the second pulse and therefore in the near field instead of the far field.
FIX: reduce number of focal zone, especially when imaging fluid-filled structures
Name this artifact.
What is the cause of the artifact? How would you (try to) fix it?

Aliasing artifact: occurs when the doppler shift frequency exceeds the Nyquist limit (1/2 PRF) –> information is mapped to the wrong side of baseline.
FIX: increase PRF, move baseline, decrease frequency, increase Doppler angle
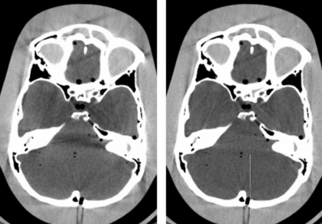
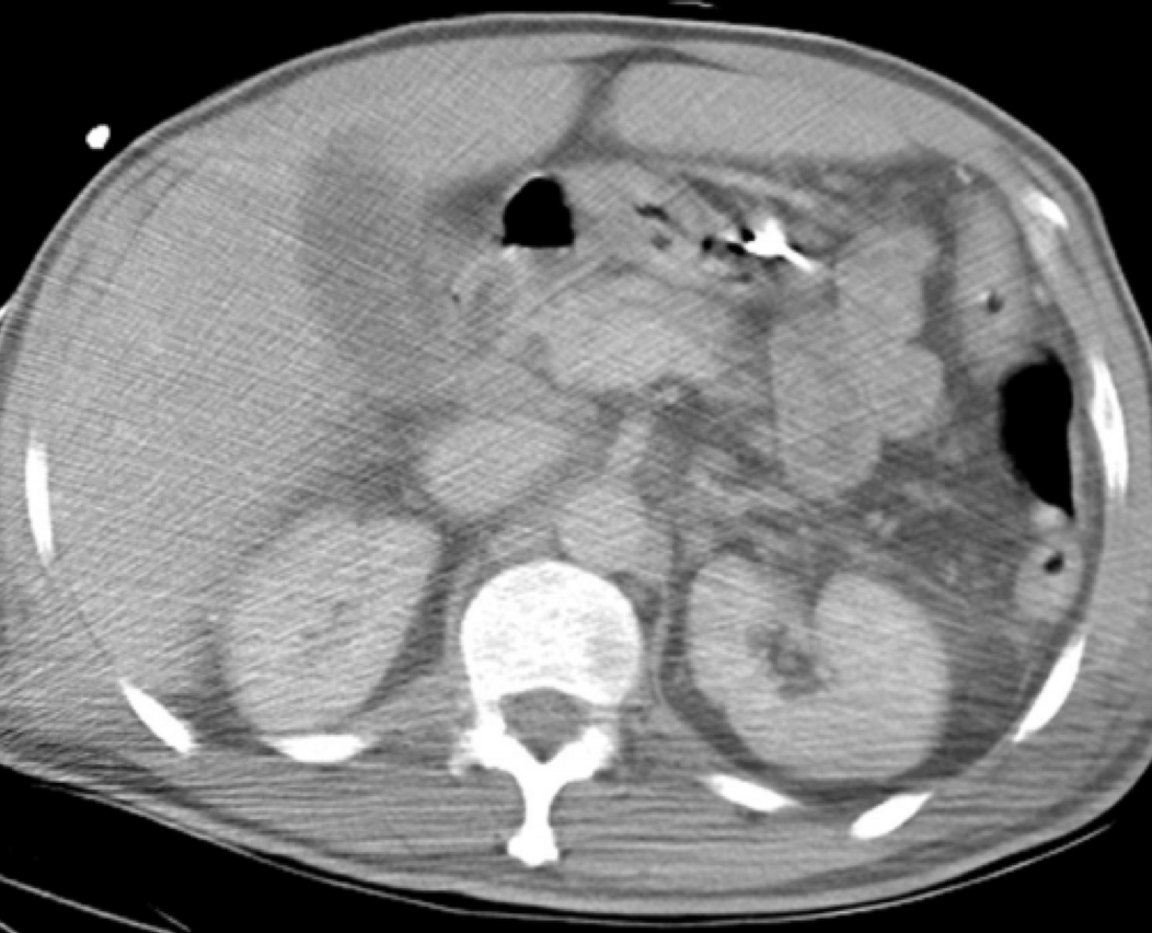
What is beam hardening artifact? What are two examples?
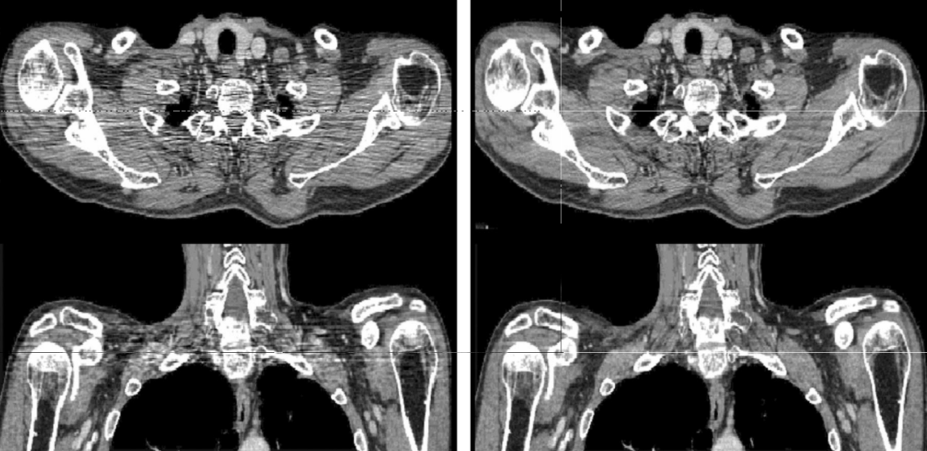
What is this artifact (left)? How is it corrected (right)?


What is this artifact (left)? How is it corrected (right)?

What is this artifact? Why does it occur? How is it fixed?


What is this artifact? Why does it occur? How is it corrected?

What is this artifact? Why does it occur? How is it fixed?

What is this artifact? Why does it occur? How is it fixed?

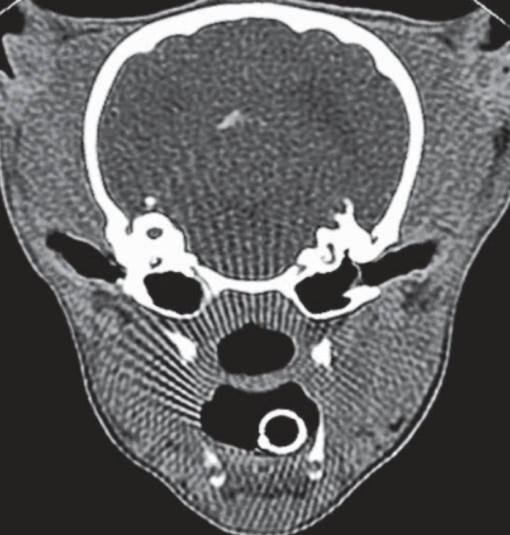
What causes metal artifact? How can you resolve it?
How can you avoid motion artifact or minimize its appearance?

What is this artifact? Why does it occur? How is it avoided?

What is this artifact? Why does it occur? How is it fixed?


