Diagnose?

Zentralvenenverschluss
Diagnose?

Astarterienverschlüsse
Diagnose?

Zentralarterienverschluss
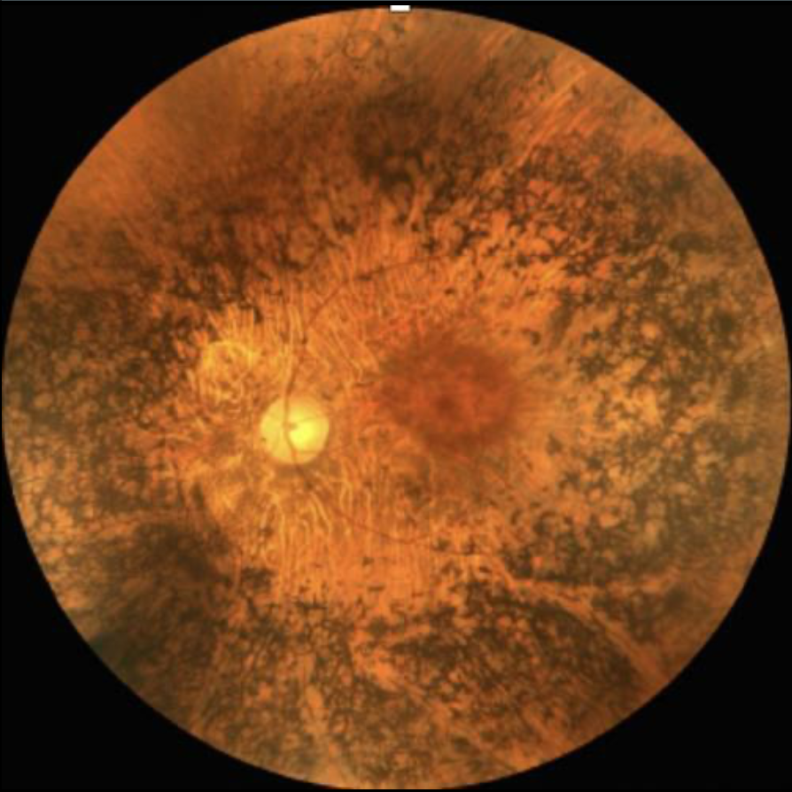
Diagnose?

Retinitis Pigmentosa
Diagnose?

Glaukomatöse Papillenexkavatio


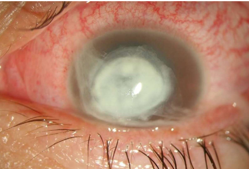
Rubeosis iridis - Hyphaema
Diagnose?

Trabekulektomie -> Chron. Offenwinkelglaukom

Feuchte Alterbedingte Makuladegeneration

Nd YAG – Laser (1064 nm)
Iridektomie bei Winkelblockglaukomanfall

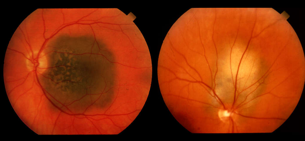
Trockene altersbedingte Makuladegeneration

Harte und weiche Drusen -> zw. retinalem Pigmentepithel + Bruch Membran

Mb.Wilson

Bakterielle Konjunctivitis

Keratoconjunctivitis epidemica

Einschlusskörperchen-Konjunktivitis

Keratokonjunctivitis vernalis -> Riesenpapillen

Ulcus cornea

Kontaktlinsen-infektion: Pseudomonas aeruginosa

Endophytisch wachsendes Retinoblastom

Exophytisches Retinoblastom

Aderhautnävus

Aderhautmelanom

Aderhautmelanom -> Pilzform / Kragenknopfphänomen

Retinales Hämangioblastom -> vHL
Multiple Angiome = 100% vHL