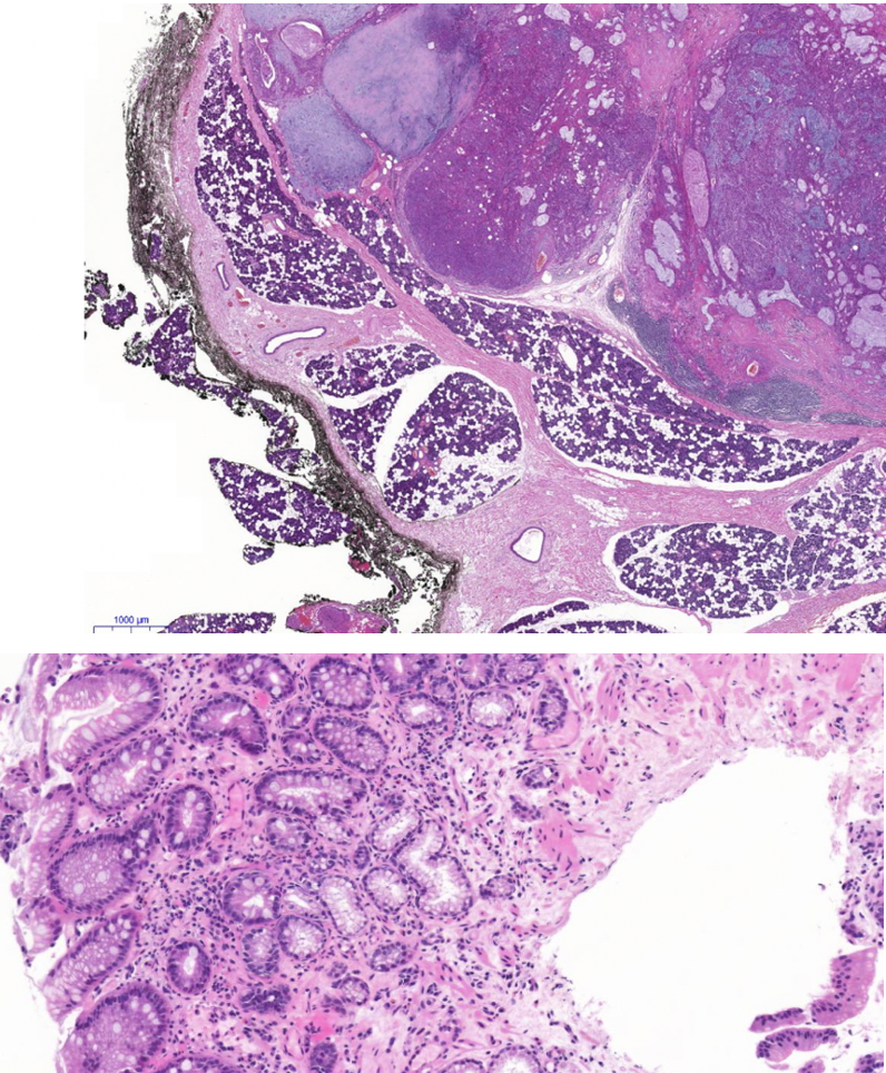
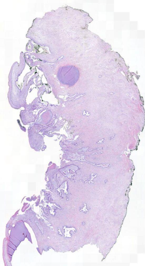
Diagnose?

Pleomorphes Speicheldrüsenadenom = BENIGNE
80% in der Parotis -> nicht destruktiv, nicht invasiv, nur verdrängend
v.a .Parotis, benigne, aufgebaut aus bindegewebiger Kapsel und epithelialen und mesenchymalen Gewebe (v.a. Knorpelgewebe)

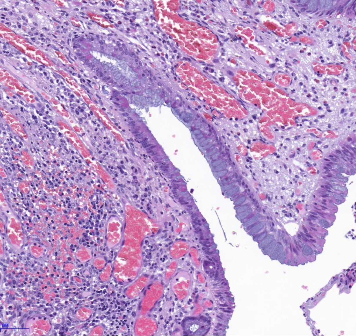
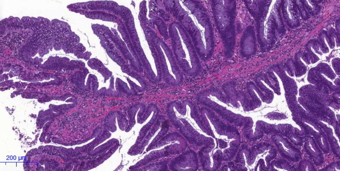
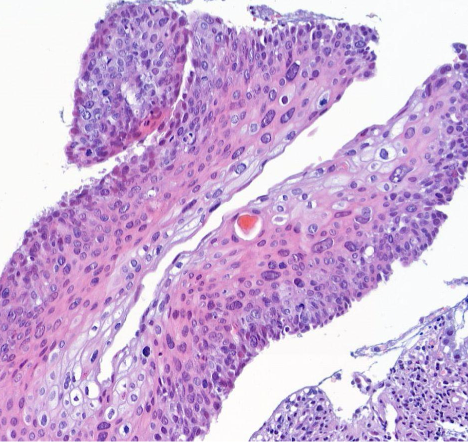
Diagnose?

Barettmetaplasie (dunkelviolett = mit Dysplasie)
Durch Reflux -> Metaplasie (nicht maligne) der Epithelien, intestinalisiertes Epithel/ Becherzellen, Biopsate mit Plattenepithel und Zylinderepithel (nur dann weiß man es ist Übergangsbereich)
Barrett-Zelle = Becherzelle

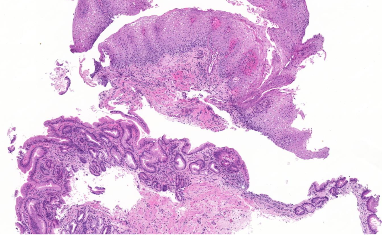
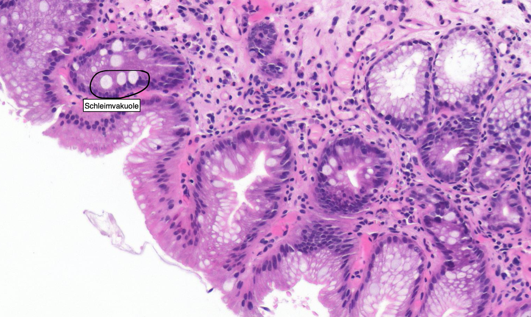
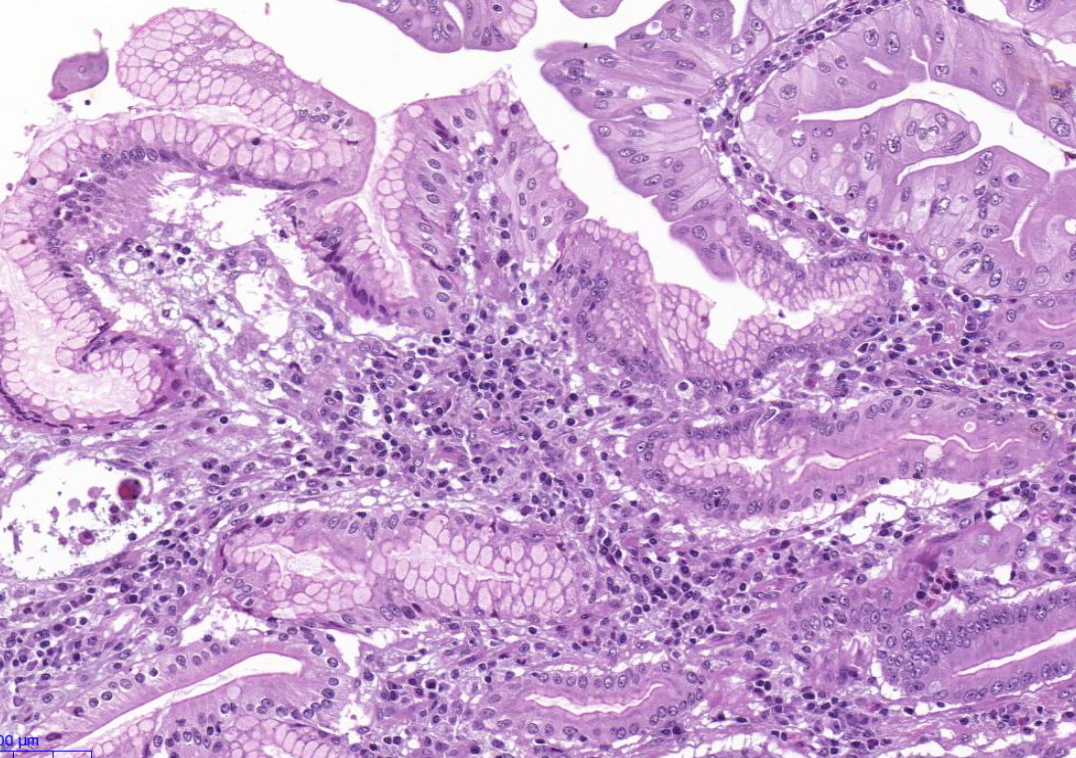
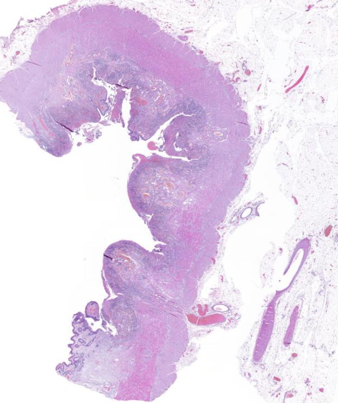
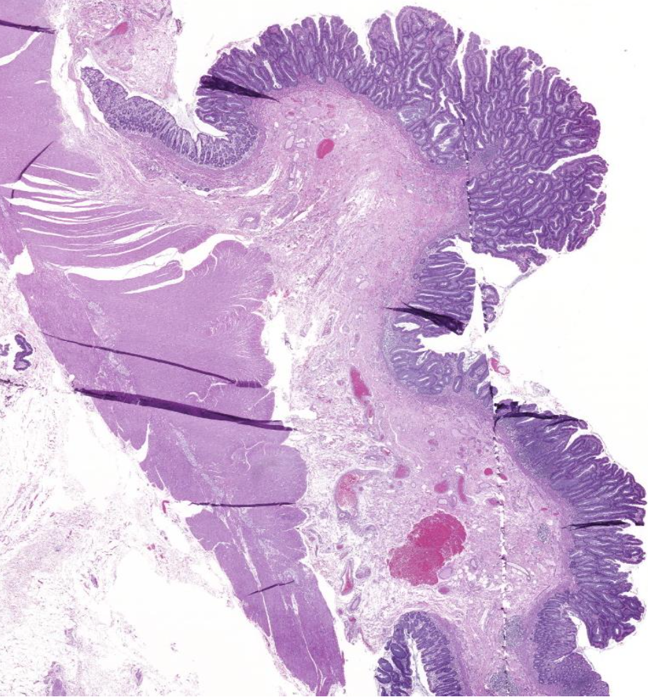
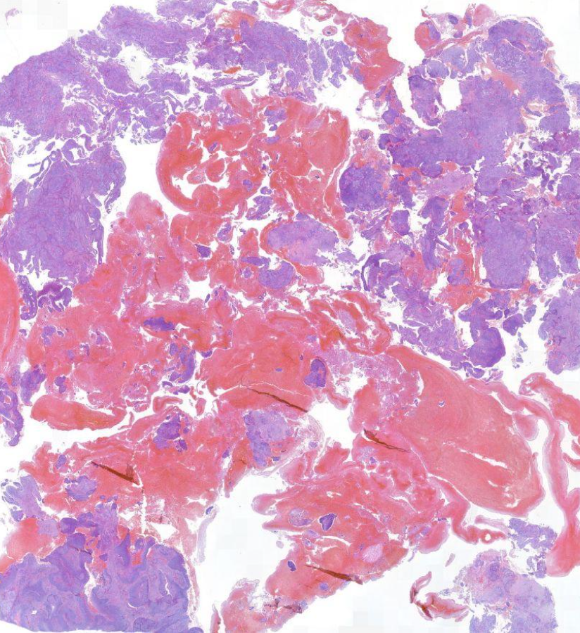
Diagnose?

Barettmetaplasie mit Dysplasie
-> Erkennt man an Becherzellen

Diagnose?

Adenokarzinom des gastroösophagealen Übergangs = Barettkarzinom
Viel häufiger als Plattenepithel-CA, wird immer irregulärer je höhergradig und tieferreichender der Tumor ist, Dysplasie ist Vorstufe und Notwendigkeit zur Therapie

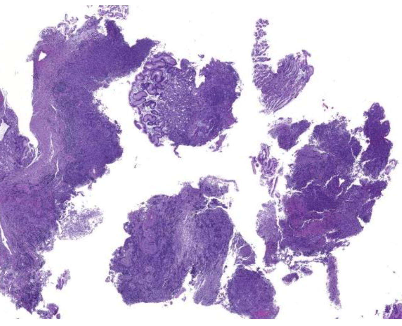
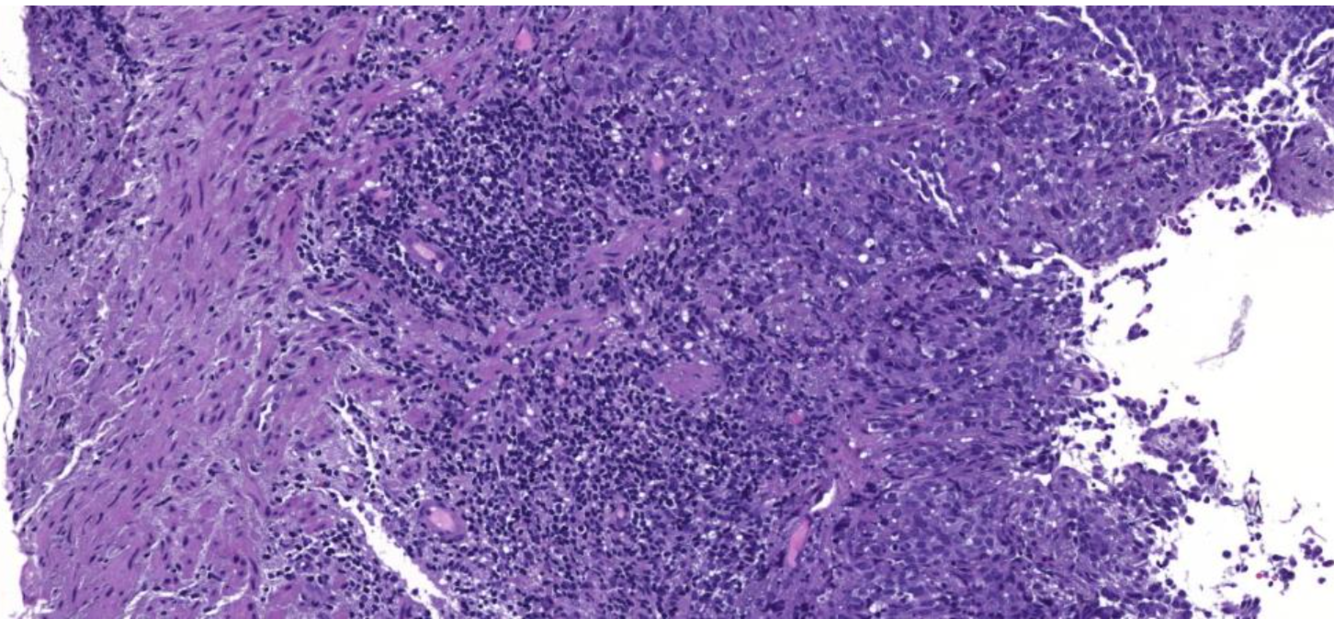
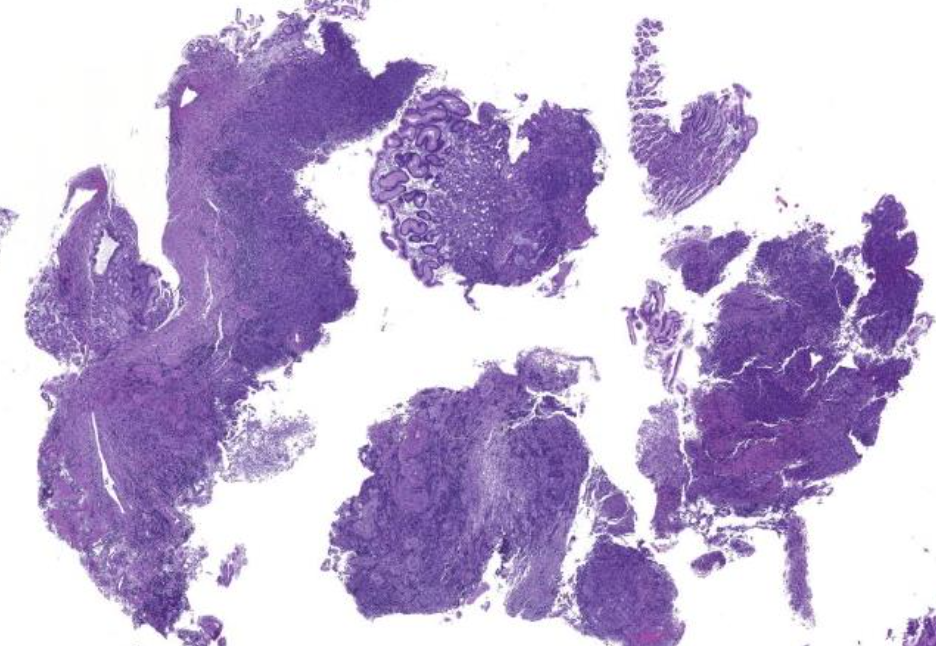
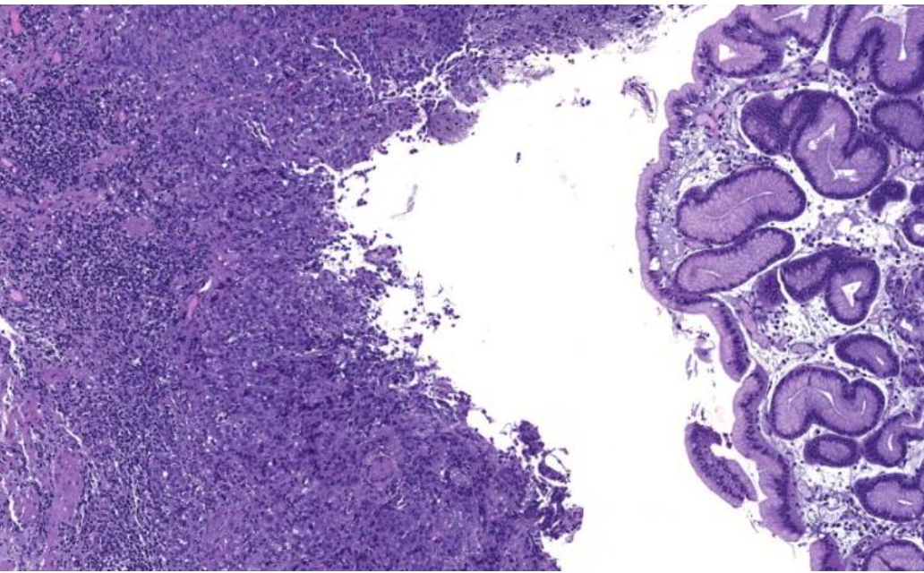
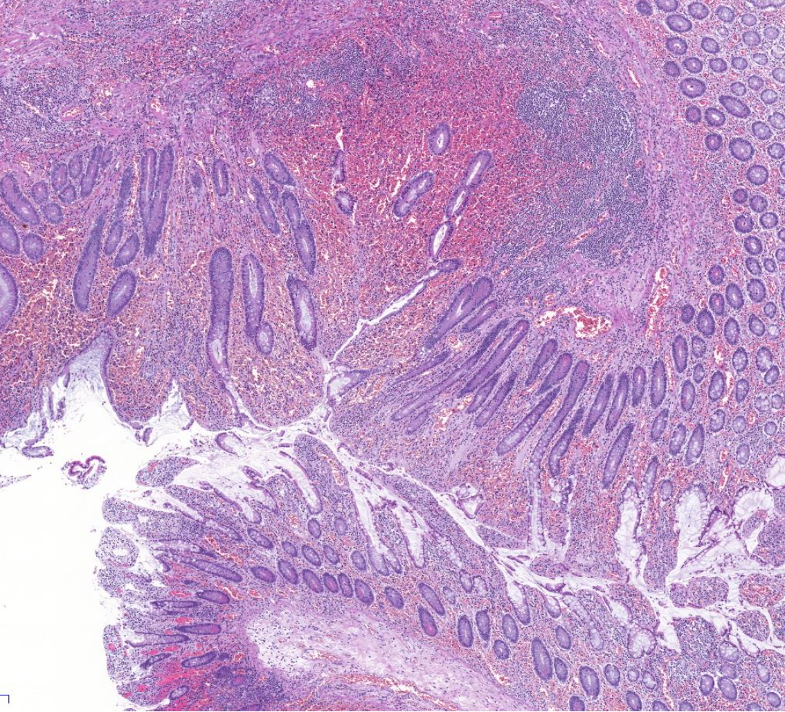
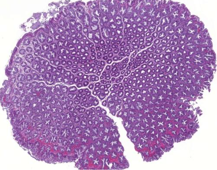
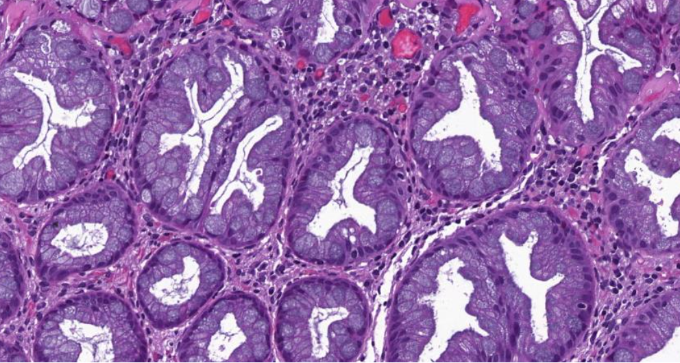
Diagnose?

Typ B Gastritis

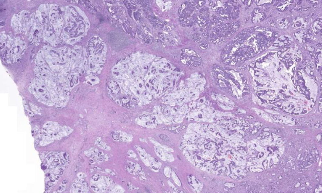
Diagnose?

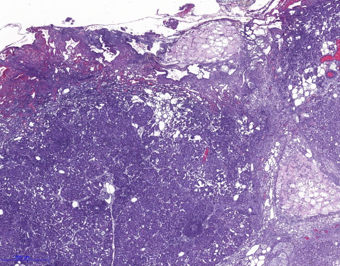
Adenokarzinom des Magens

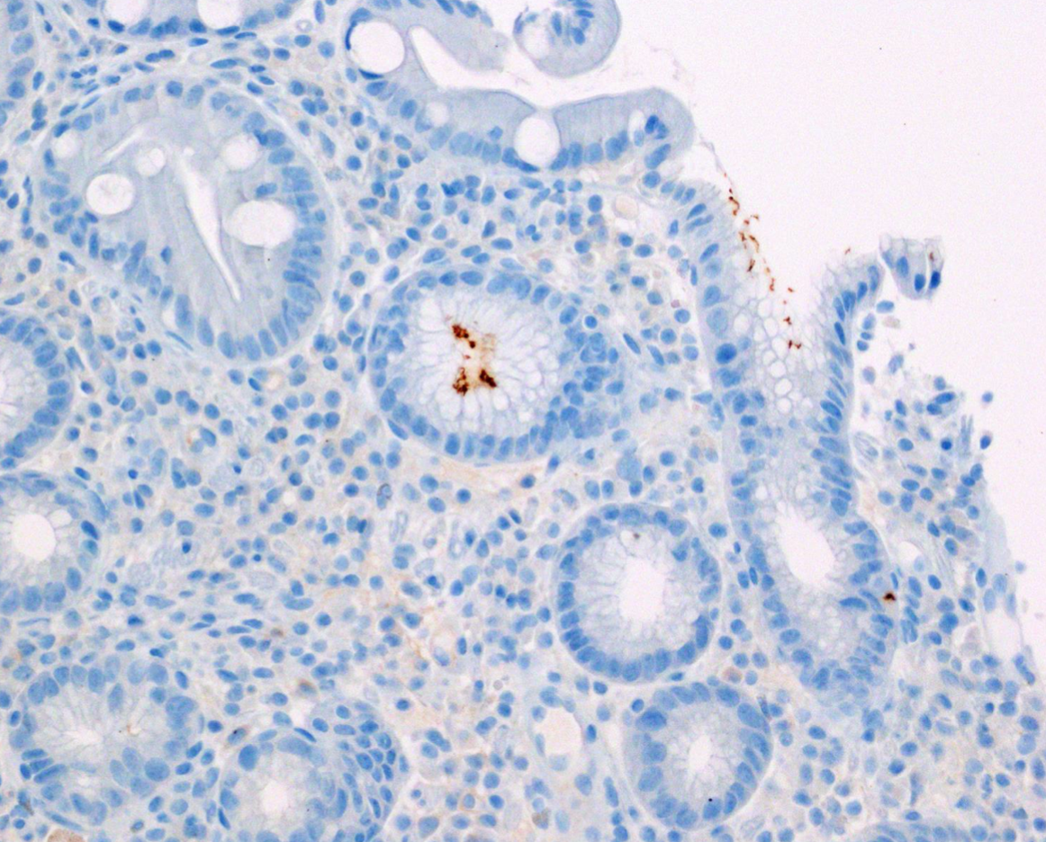
Diagnose?

Neuroendokriner Tumor des Gastrointestinaltrakts/NET

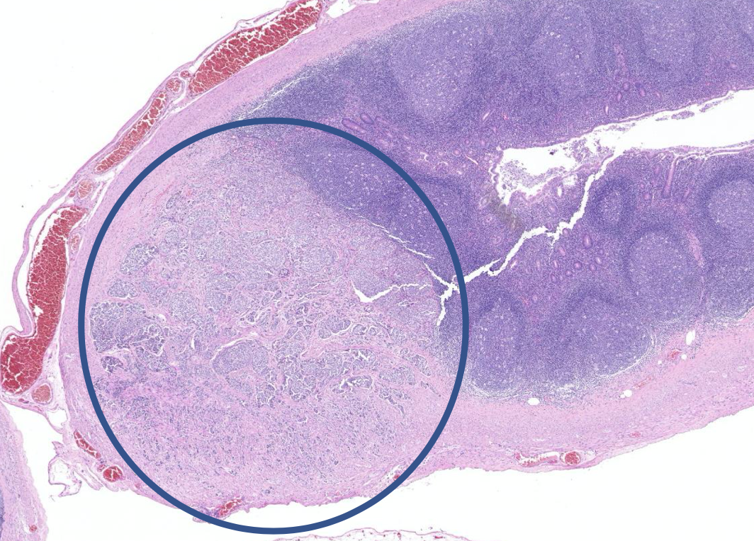
Diagnose?

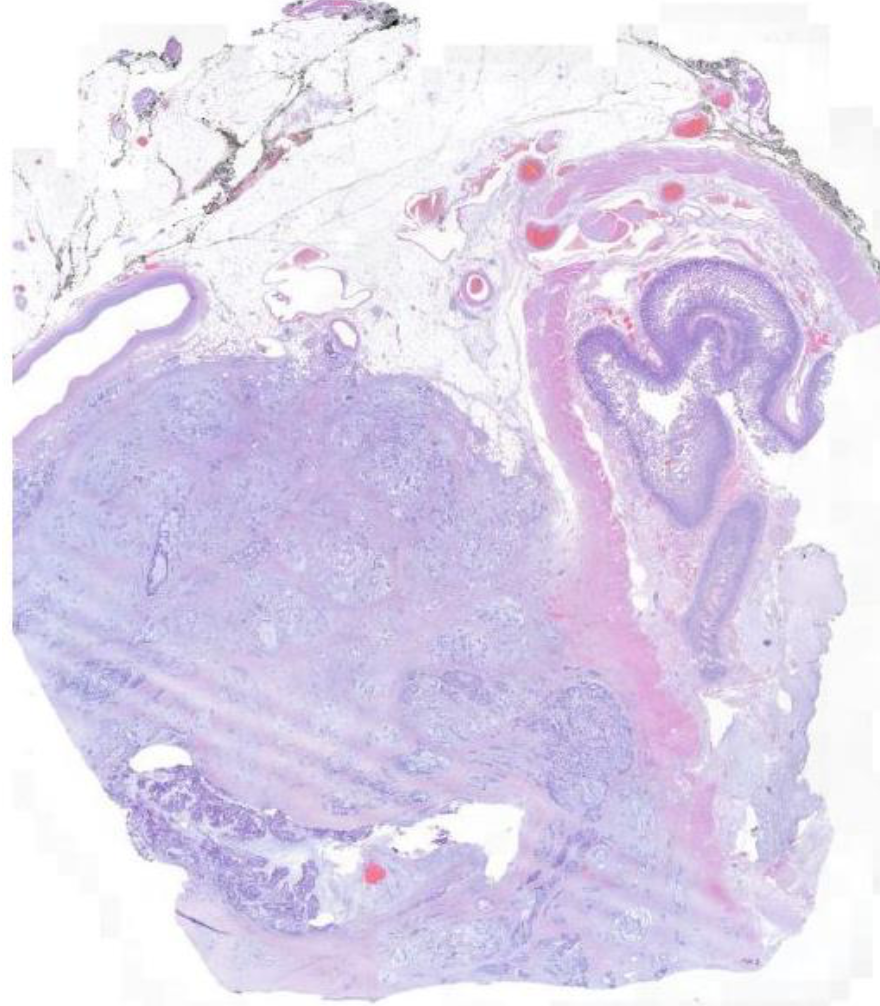
Ulcerophlegmonöse Appendizitis

Diagnose?

Morbus Crohn

Diagnose?

Colitis Ulcerosa

Diagnose?

Hyperplastischer Colonpolyp

Diagnose?

Dickdarmadenome

Diagnose?

Kolorektales Adenokarzinom

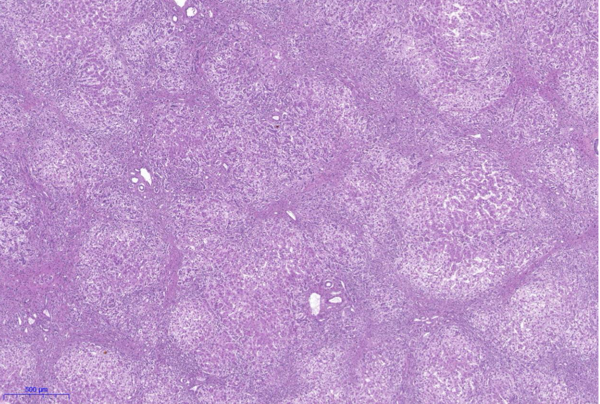
Diagnose?

Leberzirrhose

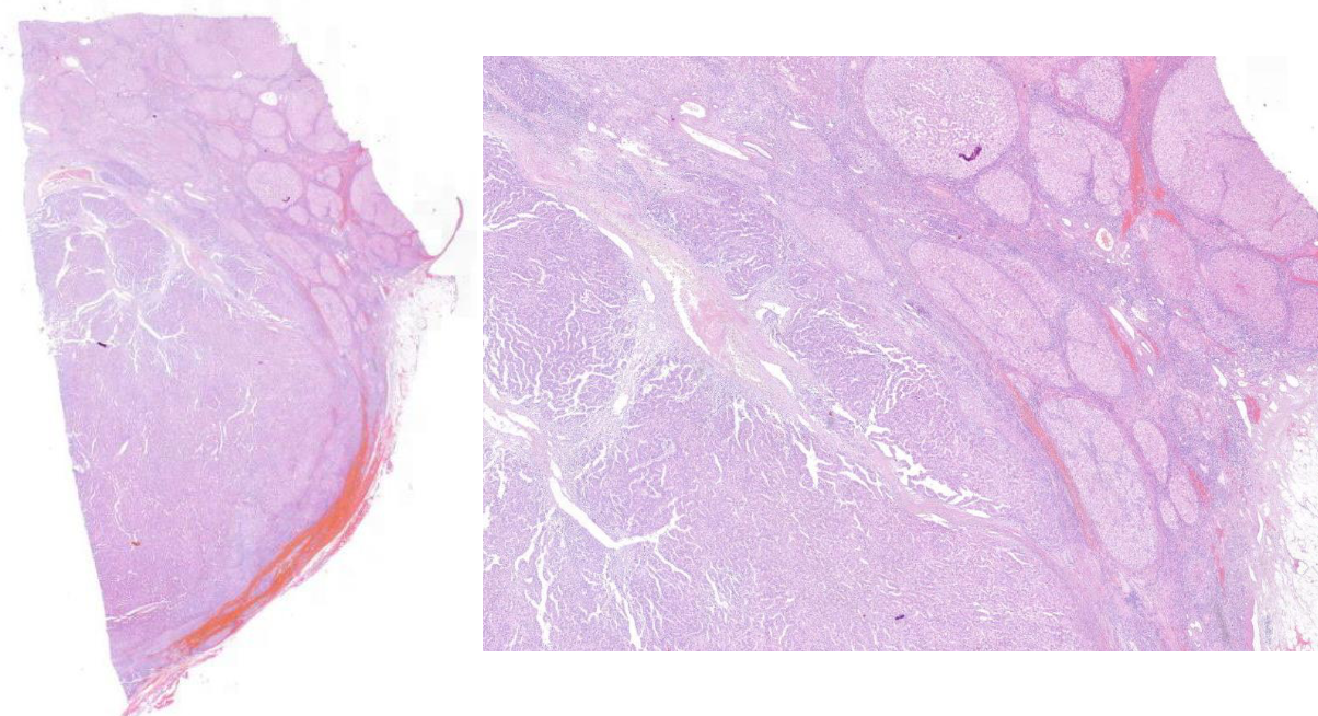
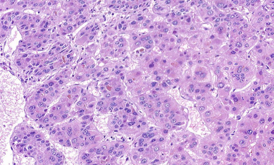
Diagnose?

Hepatozelluläres Karzinom

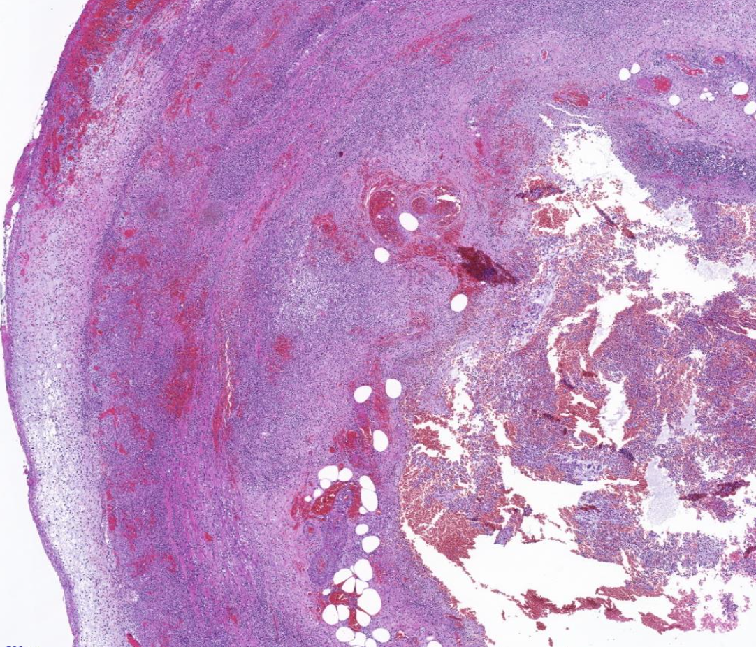
Diagnose?

Pankreatitis

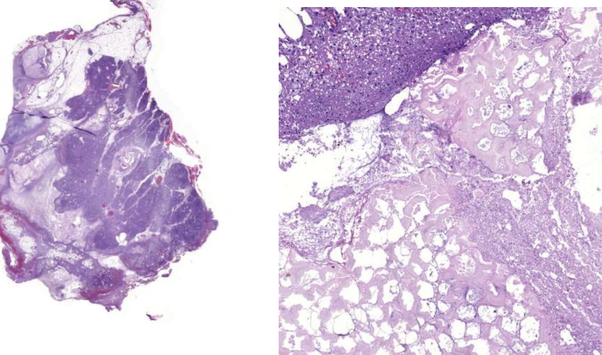
Diagnose?

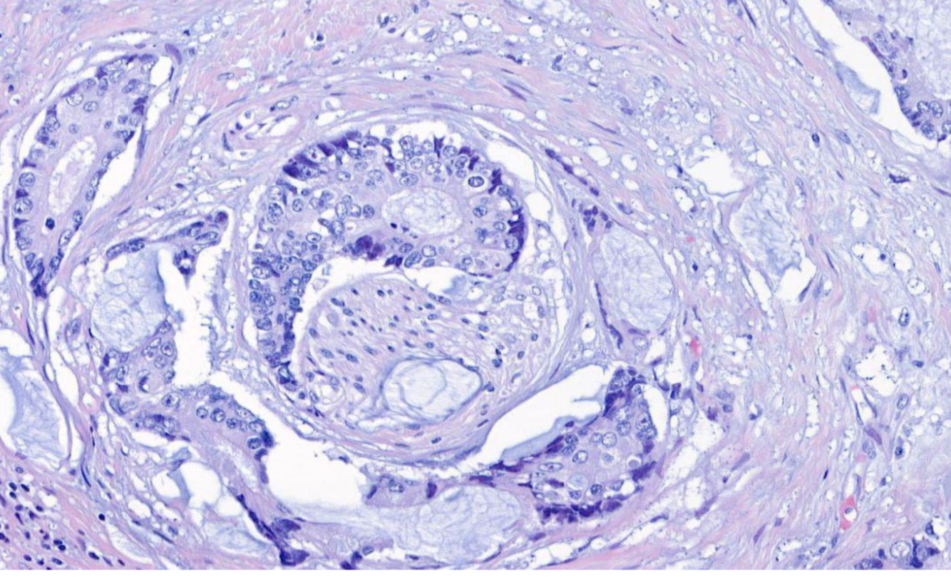
Adenokarzinom Pankreas

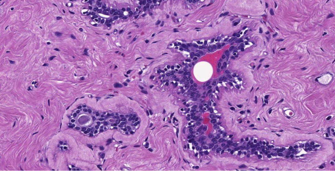
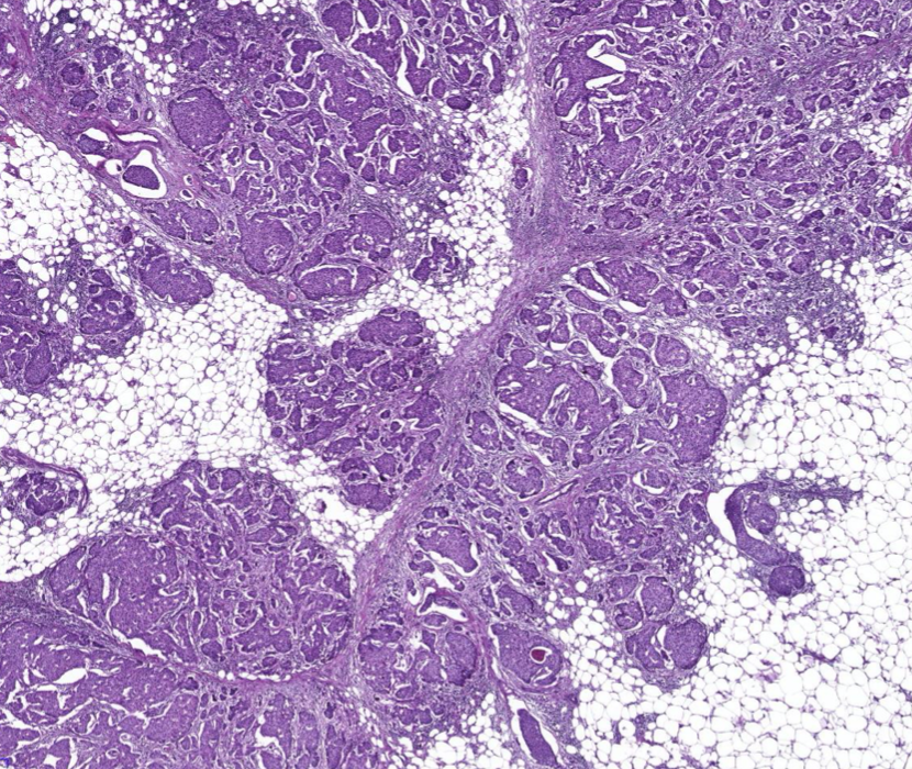
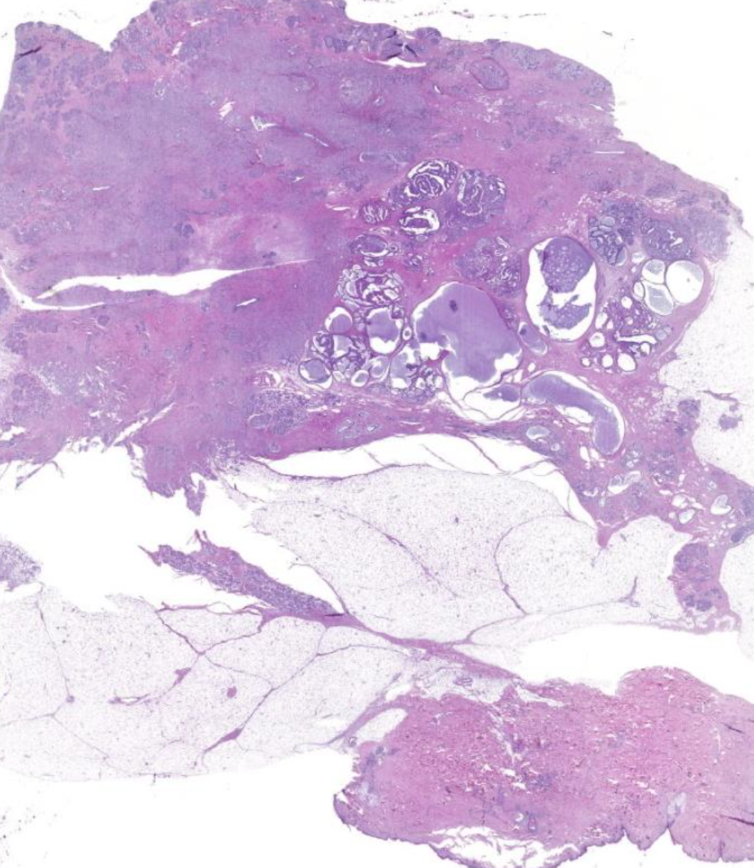
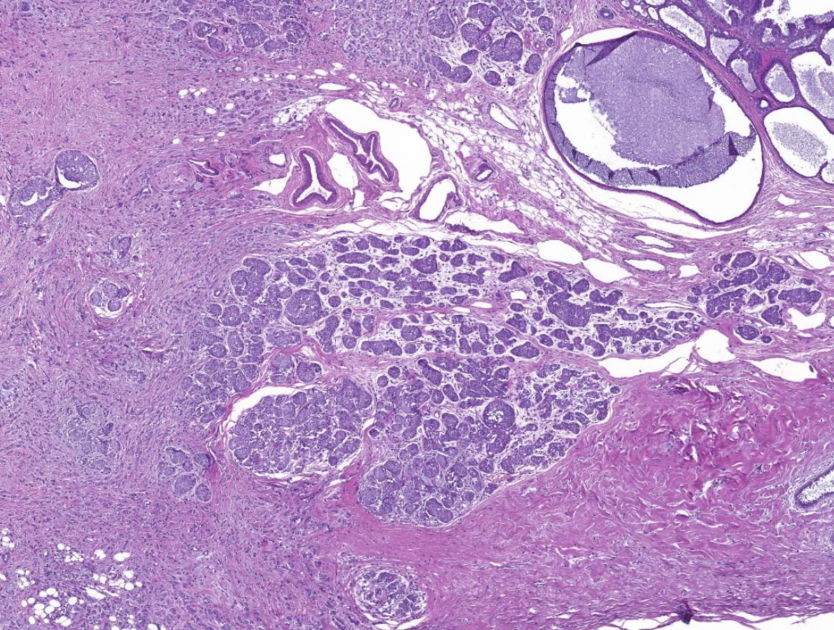
Diagnose?

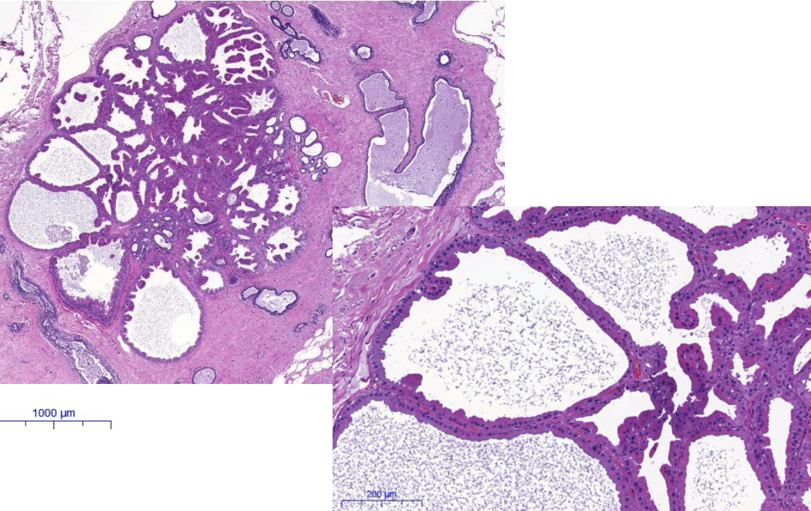
Normale Mamma

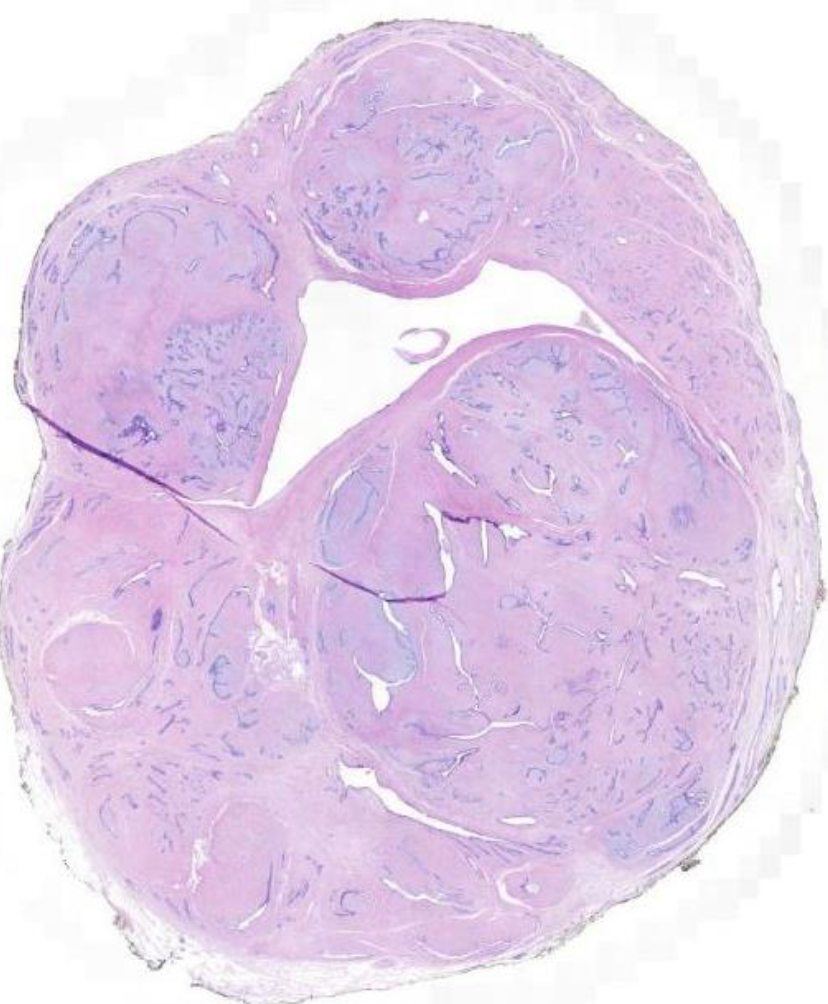
Diagnose?

Fibroadenom

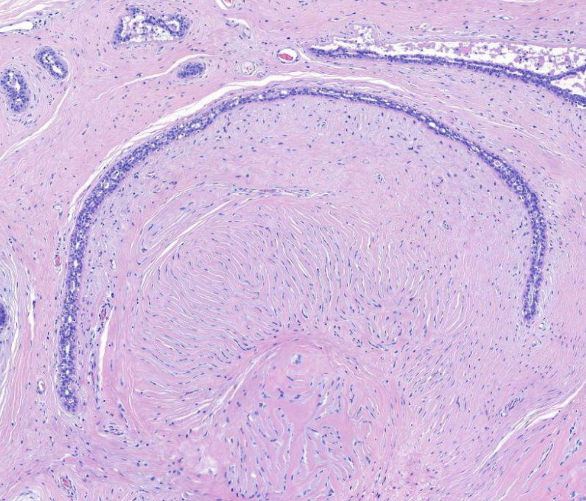
Diagnose?

Duktales Carcinoma in situ

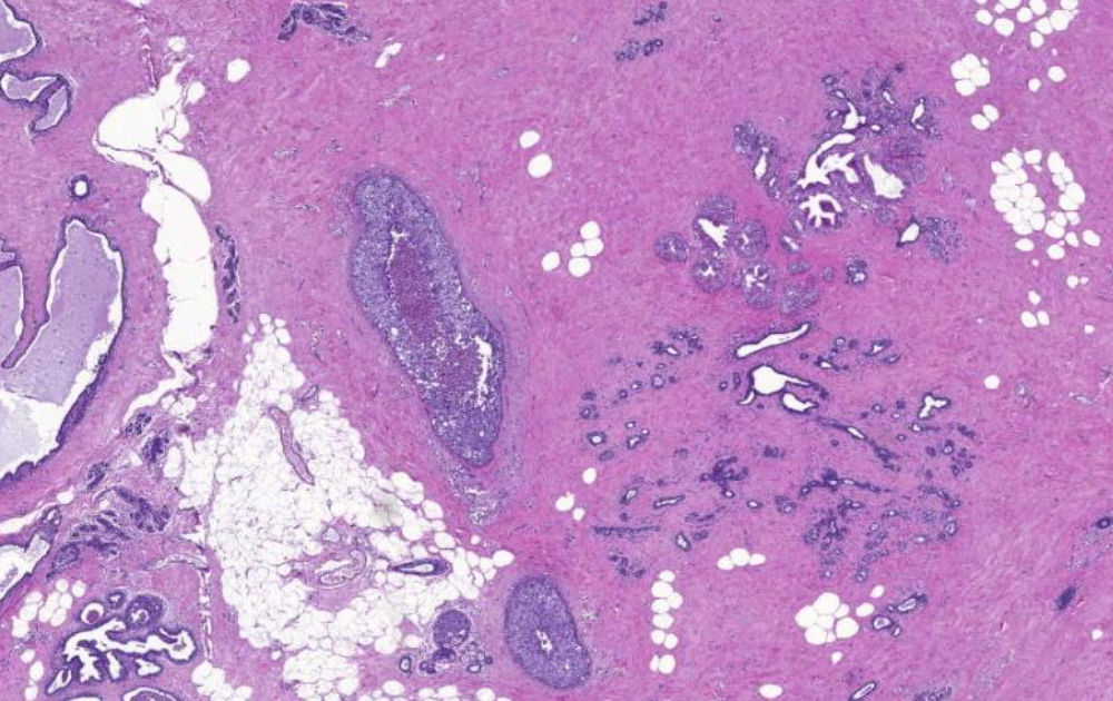
Diagnose?

Invasives unspezifisches duktales Mamma-CA

Diagnose?

Lobuläres Mamma-CA

Diagnose?

Squamöse intraepitheliale Läsion (SIL)
Zervikale intraepitheliale Neoplasie (CIN)

Diagnose?

Plattenepithelkarzinom der Zervix
