AVE hemorrágico
A hemorragia pode ser…
Intraparenquimatosa
ou
Subaracnóide
AVE com maior letalidade?
Hemorrágico: 50%.
Isquêmico: 20%.
No AVE _________ (isquêmico/hemorrágico) a recuperação neurológica é melhor (hematoma é reabsorvido).
Hemorrágico.
AVE
Em até quanto tempo fazer a TC?
20 min.
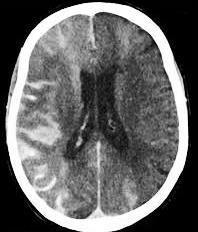
Hemorragia Subaracnóide (HSA)
O que mostra a TC?
Lesão hiperdensa (branca),
logo no início dos sintomas.
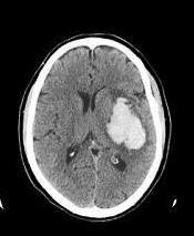
AVE hemorrágico intraparenquimatoso
O que mostra a TC?
Lesão hiperdensa (branca) com edema ao redor (halo hipodenso - cinza), logo no início dos sintomas.

Hemorragia Subaracnóide (HSA)
Principal causa?
Ruptura de aneurisma sacular
(a. comunicante anterior).
Hemorragia Subaracnóide (HSA)
Principal causa em jovens (15-30 anos)?
Malformação arteriovenosa
HSA
Fatores de risco? (4)
HSA
Clínica? (3)

HSA
O que podemos encontrar no fundo de olho?
Hemorragias sub-hialoides.

HSA
Quando aparece o déficit focal?
Só após o 3º dia.
HSA
O aneurisma da comunicante posterior pode causar…
Estrabismo divergente + midríase
“Jato de sangue no III par”.
HSA
Exames diagnósticos?
TC sem contraste: “mickey”;
Arteriografia: localiza a lesão vascular.

HSA
Qual a sensibilidade da TC?
95%.
HSA
Escala usada para classificação tomográficado prognóstico?
Gradue.
Fisher.
Graus 3 a 4 = pior prognóstico!

HSA
Escala usada para classificação clínica do prognóstico? Gradue.
Hunt-Hess
Grau 1: lúcido, leve cefaleia;
Grau 2: cefaleia + rigidez;
Grau 3: sonolento;
Grau 4: torpor, déficit focal;
Grau 5: Coma.
Graus 4/5 = elevada mortalidade!
HSA
Se TC normal, pode-se fazer…
Punção lombar!
Líquor hemorrágico (primeiras 12h)
Líquior xantocrômico/amarelado (após 12h).
HSA
Complicações? (4)
HSA
Ressangramento: conduta?
Intervenção precoce!
HSA
Vasoespasmo: acompanhamento e conduta?
TTo -> 3 H’s: HAS, hemodiluição e hipervolemia.
HSA
Vasoespasmo: refratários?
Infusão intra-arterial vasodilatadores e
Angioplastia.
HSA
Hidrocefalia: conduta?
HSA
Hiponatremia: conduta?
Hipovolemia (SCPS): repor volume;
Normovolemia (SIADH): restringir volume.