Trauma
Atendimento primário (sequência) ?
ABCDE

O que define via aérea definitiva?
Tubo locado na traquéia com cuff e balão insuflado.

A via aérea avançada pode ser obtida por…
ou
Via aérea avançada
Indicações? (4)
APITo
Principais causas de dessaturação em pacientes intubados? (4)
DOPE
Intubação nasotraqueal
Indicações? (4)
Intubação nasotraqueal
Contraindicações? (3)
Na impossibilidade da realização da IOT, opta-se pela…
Cricotireoidostomia.

(é um acesso temporário, pode ser cirúrgica ou por punção)
Cricotireoidostomia cirúrgica
Principal contraindicação?
Crianças < 12 anos.
(nesse caso realizar crico por punção)
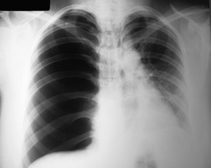
Pneumotórax Hipertensivo
Sinais? (6)

Qual a conduta IMEDIATA para o Pneumotórax Hipertensivo?
Atualização ATLS 2018
Toracocentese de Alívio no 5º EIC na
Linha Axilar Média.
Pneumotórax Hipertensivo
Conduta definitiva?
Toracostomia + Drenagem em selo d’água
(5º EIC na Linha Axilar Anterior Média)

Qual a condição para formação de um Pneumotórax Aberto?
Trauma Penetrante
(> 2/3 diâmetro da Traquéia).

Pneumotórax Aberto
Conduta imediata?
Curativo de 03 pontas

imediatamente
Pneumotórax Aberto
Conduta definitiva?
Toracostomia.
(Drenagem torácica).
Tamponamento Cardíaco
Clínica? (2)
Tríade de Beck;
Pulso Paradoxal.
↓ PA sistólica durante a inspiração
Tamponamento Cardíaco
Conduta imediata?
Pericardiocentese
Tamponamento Cardíaco
Conduta definitiva?
Toracotomia.
Acesso venoso do trauma…
Dois PERIFÉRICOS.
Se eu não conseguir acesso venoso PERIFÉRICO no Trauma, posso tentar…
Central
Safena
Intraósseo.
No trauma deve-se infundir o quê?
Cristalóide AQUECIDO.
Qual o tipo de choque no trauma?
HIPOVOLÊMICO.
Trauma
Jugular Túrgida no… (Diagnóstico diferencial)
Pneumotórax e
Tamponamento cardíaco.
Trauma
Percussão timpânica do tórax no…
PNEUMOTÓRAX.