L. intracellularis
Obligate intracellular, proliferative enteritis
Not encountered in research colonies
Mycoplasmosis
M. pulmonis, M. arthritidis, M. neurolyticum, M. collis, and M. muris
M. pulmonis
Gram negative
Murine respiratory mycoplasmosis
Suppurative rhinitis, otitis media, chronic pneumonia - CHATTERING, head tilt
Can be transmitted aerosol, venerally, transplacental (rats)
Rats are only significant resevoir for mice
Serology may not detect difference between M. pulmonis/M. arthritidis
Athymic mice not more susceptible (T-cell response exacerbates)
M. pulmonis - pathology
Colonizes apical surface of respiratory epithelium
Extracellular
B6 resistant, BALB/c, C3H, SJL, CBA, AKR, SWR, DBA/2 varying degrees of increased susceptibility
Inital lesions is suppurative rhinitis ->squamous metaplasia, syncytia sometimes

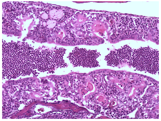
M. pulmonis rhinitis
Turbinate mucosa contains accumulations of plasma cells and lymphocytes, epithelial is decreased in thickeness and has lost most cilia, lumen contains neutrophilic exudate

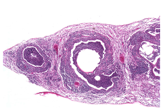
M. pulmonis
Bronchiolitis and bronchiolectasis
Bronchioles are dilated, contain neutrophilic exudate and are surrounded by accumulations of plasma cells and lymphocytes. Mucosa is infiltrated with inflammatory cells
M. arthritidis
Antigentically related to M. pulmonis, nonpathogenic during natural infection
M. neurolyticum
Rolling disease
usually die within 4 hours
Experimental innculation with exotoxin
Astrocytic swelling

CAR bacillus induced bronchiolitis and pneumonia in mouse. Bronchiole is surrounded by lymphocytes, the lumen contains neutrophilic exudate, and the epithelium is hyperplastic. Adjacent alveoli contain neutrophils and macrophages

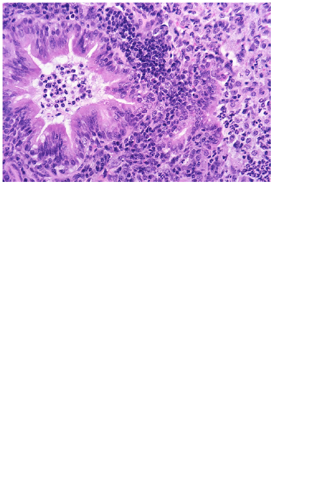
CAR bacillus induced rhinitis in a mouse
Epithelium is infiltrated by neutrophils and lymphocytes and the underlying tissue is hyperplastic. Basophilic CAR bacilli are visible among the cillia at the left
Hemotropic mycoplasmas
Mycoplasma hemomuris and Mycoplasma coccoides
Tropic for RBCs, anemia, hemolytic disease
Splenomegaly
Either acute febrile anemia or latent/subclinical infection that can be reactived by splenectomy/irradiation
Vector: Polyplax serrata (mouse louse)

Tranmissible Murine Colonic Hyperplasia
Descending colon is thickened and opaque
CAR Bacillus
Gram negative, non-spore forming
Produces clinical disease in rats
Transmitted through direct contact
Peribronchiole cuffing with lymphocytes and plasma cells
Warthin-Starry
tx: sulfamerazine

Colonic inflammation, edema, mild hyperplasia of the epithelium, and significant development of mucosa-associated lymphoid tissue (MALT) caused by C. rodentium

Multiple abscesses in a nude mouse caused by P. pneumotropica
Transmissible Murine Colonic Hyperplasia
C. rodentium, gram negative
Self-limiting to severe colitis
Retarded growth, ruffled fur, soft feces or diarrhea, rectal prolapse, and moderate mortality in older suckling or recently weaned
Contaminated mice, food, bedding
Model EPEC/EHEC
DBA, NIH/Swiss, C57BL resistent, C3H susceptible

Electron micrograph of H. hepaticus in hepatic bile canaliculi

H. bilis induce non suppurative hepatitis and hepatic necrosis. Inflammation originates in portal triads
TMCH - pathology
Attaches to mucosa of descending colon and displaces normal flora
Attaching and effacement lesions
Lasts 2-3 weeks in surviving animals
Can be cultured on MacConkey’s during early stages only
Psuedomoniasis
Pseudomonas aeruginosa, gram negative rod
Immunodeficient animals can be prone to septicemia
Equilibrium disturbances, conjunctivitis, serosanguinous nasal discharge, edema of the head, weight loss, skin infections, torticollis
Acidification/hyperchlorination of water
Antibiotic and quat resistant
P. pneumotropica
Gram negative
Usually subclinical, opportunistic pathogen
Suppurative lesions - preputial and orbital abscesses
Does not transmit from infected mice to contact/bedding sentinels
Tx: enrofloxacin
Helicobacter hepaticus
Chronic active hepatitis, hepatic tumors, IBD
Colonizes crypts of lower bowels
Helicobacters - mice
hepaticus, bilis (rats also), rodentium, ganmani, mastromyrinus, magdeburgensis, typhlonius
H. bilis
Isolated from livers and intestines of aged mice and experimentally induces IBD in SCID